斯特奇-韦伯综合征(Sturge-Weber syndrome,SWS)是少见的体细胞突变引起的神经皮肤综合征,常常表现为三叉神经眼支分布区的葡萄酒色皮痣、同侧软脑膜血管瘤及眼血管瘤。由于软脑膜血管瘤的盗血效应,邻近皮质或白质可出现局灶性缺血。由SWS静脉异常引起的深静脉栓塞罕见,仅有极少数患者出现颅内出血。日本磐城市共立医院神经外科的Masashi Chonan等报道1例由于静脉窦血栓形成继发颅内出血的斯特奇-韦伯综合征患者。文章发表于2016年10月的《Springer Plus》杂志。
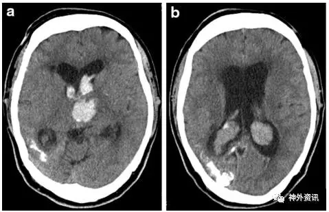
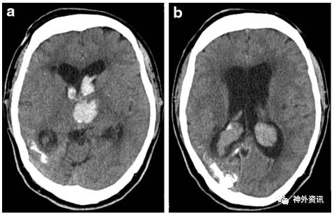
62岁患者男性,因突然昏迷入院,GCS评分6分,伴右侧轻偏瘫。在患者右侧面部三叉神经第1支分布区可见葡萄酒色血管痣,符合斯特奇-韦伯综合征皮肤表现。患者既往右眼视力下降,无青光眼、无癫痫和卒中发作病史。实验室检查提示患者有脱水表现,红细胞压积升高和D-二聚体上升。CT扫描显示左侧丘脑出血破入脑室伴急性脑积水,双侧脉络丛增大;右侧枕颞叶皮质下片状钙化(图1)。给予患者施行急诊脑室外引流术,术后7天GCS评分恢复至15分,右侧轻偏瘫逐渐好转。MRI扫描显示左侧丘脑出血、右侧颞枕叶软脑膜增强、双侧脉络丛增厚;MRA示直窦、左大脑内静脉和上矢状窦急性闭塞。予以补液和抗血栓形成治疗。2周后三维CT扫描提示直窦、左大脑内静脉和上矢状窦开放(图2)。术后3周,患者GCS评分15分,右侧轻偏瘫进一步好转,开始在辅助下行走。

图1. 头颅CT显示:a.左侧丘脑出血破入脑室伴急性脑积水;b.双侧脉络丛增大和右侧枕颞叶皮质下钙化。

图2. a.MRI增强扫描显示左侧丘脑出血、右侧颞枕叶软脑膜强化、双侧脉络丛增厚;b.MRA示直窦(红色箭头)、左大脑内静脉(红色三角)和上矢状窦(白色箭头)急性闭塞;c.治疗后2周,三维CT扫描提示直窦(白色箭头)、左大脑内静脉(红色三角)和上矢状窦开放,右侧枕叶皮质下钙化(红色箭头)。
作者强调,斯特奇-韦伯综合征并发颅内出血较为罕见,经过妥善处理其预后较好。抗血小板治疗可改善脑灌注,降低脑血栓形成的风险,可应用于斯特奇-韦伯综合征预防静脉窦血栓形成。
(浙江大学医学院附属第二医院TMC编译,复旦大学附属华山医院王知秋教授审校,复旦大学附属华山医院陈衔城教授终审)
相关回顾
更多资讯请关注神外资讯微信公众号:neurosurgerynews




