岛叶是脑胶质瘤的好发区域之一,约占低级别胶质瘤的25%和高级别胶质瘤的10%左右。由于其独特的解剖结构和组织起源,岛叶胶质瘤的生物学表现有其特殊性,疾病进展较其他部位的胶质瘤缓慢。北京天坛医院神经外科的Yongheng Wang等回顾性研究2006年7月至2012年6月间该院的胶质瘤患者数据,分析影响岛叶胶质瘤的预后因素,结果发表在2016年8月的《J Neurosurg》在线。
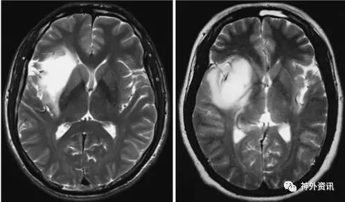
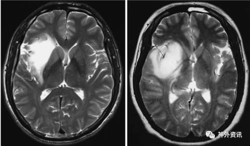
依据术前MRI扫描结果,将岛叶低级别胶质瘤分为累及壳核与未累及壳核两组(图1),应用多元分析模型对比两组患者的预后情况。

图1. 岛叶胶质瘤MRI图像:未累及壳核(左图)和累及壳核(右图)。
研究纳入211例原发性岛叶低级别胶质瘤患者,其中39例(46.9%)肿瘤累及壳核。累及壳核的肿瘤体积大于未累及壳核者(p<0.001),而且较少发生癫痫(p=0.04),累及壳核胶质瘤属野生型IDH1较多见(p=0.003),肿瘤全切的概率也较低(p=0.02)。单变量分析发现,术前KPS≥90分(p=0.007)、肿瘤切除程度高(p=0.008)、未累及壳核(p<0.001)和突变型IDH1(p<0.001)的患者预后明显较好(表1)。多因素分析发现,肿瘤切除程度高(p=0.035)、未累及壳核(p=0.014)和突变型IDH1(p=0.026)的患者预后更好。
表1. 211例岛叶胶质瘤患者临床资料。

综上所述,岛叶低级别胶质瘤累及壳核预后较差,根据术前MRI结果或许可以帮助预测患者预后状况。
(浙江大学医学院附属第二医院TMC编译,复旦大学附属华山医院陈灵朝博士审校,《神外资讯》主编、复旦大学附属华山医院陈衔城教授终审)
相关回顾
更多资讯请关注神外资讯微信公众号:neurosurgerynews




