今天为大家分享的是由钱春华医师翻译的第二章“神经外科常见手术入路”中的:显微镜下经鼻蝶入路(Microscope-Guided Endonasal Transsphenoidal Approach),欢迎阅读、观看。
1. Transsphenoidal Surgery- Complication Avoidance and Management
2. Pituitary Tumors- Pearls of Diagnosis and Technical Nuances for Transsphenoidal Resection
3. Transsphenoidal surgery-Carotid injury
概论
经鼻蝶入路是在上世纪逐步完善起来的术式。哈维库欣(Harvey Cushing)在他的外科生涯中极力倡导经鼻入路,对该手术入路的普及起到了关键的推动作用。同样推崇经鼻入路的还有Schloffer 和 Halstead。在颅脑外科发展初期,经蝶手术将Cushing送到了脑外科的探索前沿。

图1. Cushing行医生涯始终保持对垂体手术的浓烈兴趣。在这几张Cushing与病人的合照中,他展示了肢端肥大症的细节(由耶鲁大学库欣脑肿瘤注册中心提供)。

图2. 库欣手术示意图,Max Brodel作。

图3. 到1929年,库欣已经精通更利于额下入路的经颅技术而抛弃了经鼻入路。他在笔记中记录了一例颅咽管瘤额下入路的切口(左图)和术中所见(右图)(耶鲁大学库欣脑肿瘤注册中心提供)。
在过去的数十年,随着术中照明、内镜和手术器械的发展,经鼻入路原本的限制也成为可能。经蝶入路已经成为处理鞍旁病变如垂体腺瘤、脑膜瘤或颅咽管瘤的首选术式。内镜改变了垂体瘤切除需开颅手术的状况。经鼻入路避免了如翼点入路或经眶颧弓入路对脑切除的要求。
近几年中,内镜下经鼻入路被用于前颅底、鞍旁和斜坡区域的手术。本章节将回顾显微镜下经鼻入路的原则。耳鼻喉科医师经常利用内镜为我们暴露经鼻通路,在文中不阐述其区别之处。神经外科医师仍使用显微镜暴露经鼻入路,本章致力于描述该技术。神经外科内镜下经鼻入路颅底肿瘤切除将在脑肿瘤卷中的“垂体与鞍旁肿瘤”章节中讨论。
适应症
显微镜下经鼻蝶入路是到达颈内动脉间和视交叉下区域的鞍旁及鞍上病变的理想术式。肿瘤向上纵向生长并非禁忌症,因海绵窦的限制,肿瘤不会向侧方过度生长。一般病变如垂体腺瘤、拉克氏囊肿、部分鞍旁脑膜瘤、颅咽管瘤和斜坡脊索瘤,都可行显微镜下经鼻手术治疗。利用内镜可以最大程度地扩大经鼻入路的暴露,以到达鞍后甚至几乎整个颅底。
利用内镜,外科医师可以获得宽阔的视野,到达前颅底的眶沟、蝶内平台及鞍结节脑膜瘤。三脑室颅咽管瘤、斜坡旁脊索瘤和软骨肉瘤可利用内镜经鼻手术顺利暴露。对于明显向鞍上和颅中窝生长的肿瘤,笔者尝试经鼻入路初步切除肿瘤,然后准备二期开颅手术。
术前注意事项
任何鞍旁病变的患者均需行垂体轴激素水平的评估,避免围术期垂体功能储备不足。血清泌乳素、皮质醇和甲状腺素水平尤其重要。围术期糖皮质激素的常规应用可避免低皮质醇血症的发生,而本身已存在的甲状腺功能减退,可在手术后骤然进展。以下是笔者曾经遇到的偏中线生长的极不对称的泌乳素腺瘤。

图4. 不典型的泌乳素腺瘤伴癫痫患者。病灶呈偏侧生长,影像上表现类似脑膜瘤。该病例印证了术前泌乳素水平评估对避免不必要的手术的重要性。
外科医师对颈动脉定位的清晰的理解很关键。该病例扩张的动脉可能被推移到中线位置而很容易在硬脑膜打开以及切除肿瘤的过程中损伤。侵袭性肿瘤可能破坏鞍区的骨性标志,严重影响术中的定位。

图5. 注意右侧穴状扩张的颈动脉,已被侵袭性垂体瘤推移(上图)。肿瘤侵犯颅底,破坏了可识别的骨性标志。笔者在打开硬脑膜时意外撕裂了该动脉,当用棉片轻压撕裂处才得以控制大出血。因患者视力进行性下降,所以仍需继续切除肿瘤(术后早期影像:下图)。
如果动脉破损处无法立即准确定位并封闭,则应在术区填塞棉片控制出血,中止手术,立即行动脉造影排除假性动脉瘤。
CT引导下的神经导航或至少侧向透视引导非常有利于成功建立显微镜下经鼻通路。侵袭性肿瘤或术后瘢痕可以破坏正常的标志,术者容易迷路。不当入路可能导致错误地切除颅底骨质,增加邻近脑血管等结构损伤的风险。
如果计划行二次手术,且术后脑脊液漏风险较高,可以考虑术中行预防性腰大池引流。患者的腹部应常规准备,以便取皮下脂肪。
笔者选择斜向手术角度。意即,肿瘤若向左侧鞍上膨胀生长,侧宜选择右侧鼻孔进入。这样可以使操作角度指向较隐蔽的对侧鞍上角。
手术解剖

图6. 注意颈动脉和视神经对应的骨性隆起以及视神经颈内动脉隐窝。神经导航有助于界定术区这些重要结构的位置,尤其当骨性标记不能很好分辩或者已被肿瘤破坏。注意中线位置上扩张的颈动脉,提示该入路为禁忌(AL Rhoton, Jr供图)。

图7. 垂体在鞍内的位置可能存在变异。该照片显示内镜下经鼻蝶入路的解剖视野,已移除鞍底、硬脑膜和海绵窦。右侧视神经被抬高(AL Rhoton, Jr供图)。
显微镜下经鼻入颅术

图8. 手术室布置需符合外科医师的利手习惯,因为洗手护士和术者面对面,右利手术者能够方便递接器械,而轻易地与洗手护士交互。神经导航系统或透视仪需置于床头侧、术者对面。麻醉师位于床尾侧。

图9. 病人取仰卧,头部固定于马蹄形头圈使颈部轻微侧曲,呈“嗅探”位。运用神经导航则要求头颅由头架固定,限制术中任何轻微的头部调整。

图10. 右利手外科医师从患者右侧进行手术,患者头部稍向对侧倾斜,以利于术者能够获得鞍底直视视角,且患者的肩膀不会妨碍操作。

图11. 对于中线上的肿瘤,选择偏离鼻中隔的对侧、较大的鼻孔进入,首先以局麻药(利多卡因混合肾上腺素),对鼻中隔四方软骨前方或犁骨顶部的粘膜进行轻柔的水分离,可防止出血,同时较直接剥离粘膜的创伤更小。

图12. 在粘膜上行弧行切开,用剥离器切开骨膜下粘膜以保留充足的带蒂组织,供术毕关闭切口时使用。

图13. 使用1号潘菲尔德(Penfield)神经剥离子将粘膜下切口剥开至鼻中隔软骨近端,达犁骨水平。粘膜应保持完整无损,即使与软骨、骨性鼻中隔之间的微小穿孔也应避免。粘膜瓣应尽可能多地掀开,以保留鼻中隔动脉的完整。鼻中隔四方软骨(蓝色标记部分)被推移到对侧,以便到达犁骨两侧以及筛骨垂直板。

图14. 示鼻中隔骨性裂口,并向对侧推移(左图)。垂直板和犁骨可见,且应保持视野在中线位以利于入路的导向。对侧粘膜从垂直板分离(右图)。粘膜须充分抬起,暴露蝶骨嵴的两侧。

图15. 利用咬骨钳将残留的中线骨结构移除后,鼻内撑开器两翼固定,蝶骨嵴则位于术野中央,粘膜缩于两侧(左图)。咬除筛骨垂直板,进入蝶窦,骨性标志的毗邻关系清晰可辨(右图示矢状位)。解剖时依次连续暴露的是粘膜、鼻中隔,到其下方的犁骨,尔后筛骨垂直板。最终暴露蝶嘴。

图16. 骨凿打开蝶窦前壁,触及蝶窦粘膜及鞍底(左图),或者选择Kerrison咬骨钳从两侧的蝶窦开口咬除骨壁。中线部位以及暴露边界的精确定位可依赖神经导航。蝶窦分隔将窦分隔为两个以上窦腔,亦可咬除(右图)。气化不良蝶窦可使用气钻磨除。所有窦内粘膜须完全去除。
需要强调,当从单侧鼻孔进入,鼻内撑开器会偏离向对侧半鞍,直接指向对应的颈动脉。术者应该认识到这点,并有意识地纠正这个自然的斜向偏差,而保持指向中线部位。

图17. 初学医师最常见的错误之一是误认为蝶窦分隔指向蝶鞍中线。存在多个歪斜的分隔形成的窦腔易造成混淆。部分斜行的分隔甚至指向蝶鞍的侧角,而此处距颈动脉只有一层菲薄的骨壁。
最具欺骗性的情景是窦内有两条竖直的分隔,从任一侧看都呈对称分布。移除其中一处分隔,即有可能被误认为是在“中线”上的唯一分隔,从而导致术者误判蝶鞍中央部。这个错觉可能导致外科医师打开的是颈动脉下方的蝶骨。加之鼻撑开器的偏离问题,会使定位更加复杂。定位错误,导致鞍底骨质移除不充分,肿瘤切除不佳。因此,术前必须清楚了解蝶窦分隔的解剖。

图18. 经蝶窦内的鞍底视野,可见骨窗边缘的颈动脉突起(左图)。以骨凿从中线部打开鞍底骨质,尔后咬骨钳扩大骨窗(右图)。如果鞍底被肿瘤侵犯变薄,也可用神经拉钩钝性打开骨片并掀起。
笔者会在术前复习患者影像资料,了解颈动脉的解剖定位,因为侵袭性肿瘤一般都可能改变颈动脉位置,扭曲解剖结构。

图19. 进一步扩大骨窗主要为了最大限度切除肿瘤。实际上,笔者相信经蝶入路肿瘤仅实现次全切除的最重要原因,是没有形成最佳的鞍底骨窗,特别是侧方的骨窗。骨窗的开放应外延至双侧颈动脉水平,前方至鞍结节。
图中红虚线示硬脑膜“十”字切口,适用于切除鞍内及鞍上病变。不充分的硬膜开口可能使肿瘤切除困难,并且可能因为术者的盲点,妨碍肿瘤侧方最大程度的切除。便携的多普勒探头应该用于引导硬膜切开,如果动脉被推移到中央,硬脑膜开口应调整,否则可能损伤动脉。
硬脑膜两层之间形成的小静脉池可用凝血酶浸取明胶海绵压迫封闭。双极电凝烧灼脑膜切缘使缩至海绵窦内。在显微镜下利用显微技术切除肿瘤。肿瘤切除细节请参阅章节“非内镜下腺瘤切除”。

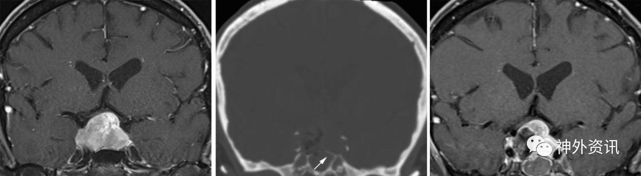
图20. 伴症状性视交叉压迫的复发垂体瘤一例(左图)。术后影像显示鞍底骨质部分移除(中图,箭头),导致肿瘤切除不全(右图)。该患者接受了再次手术,扩大鞍底骨窗,充分切除肿瘤。
关闭-结束手术
恰当的关闭对防止术后脑脊液漏至关重要。必须先获取脐周皮下脂肪以供脂肪移植。笔者在手术一开始即取得皮下脂肪,避免后续鼻腔细菌污染。
笔者以速即纱包裹脂肪粒。这样做可以使脂肪粒在鞍内的操作更方便,且避免其被吸引器吸入。
小心将脂肪填于鞍内,防止鞍上内容物的挤压。笔者更倾向于将脂肪向前方并置于鞍结节上,因为鞍膈与前鞍连接在此处变薄,是隐蔽性脑脊液漏经常发生的位置。填充的方式比填充的数量更重要。当然,如果鞍膈内有可见的漏口,则应该把脂肪填充于漏口处。
蝶窦底部的骨与硬膜开口的边界内需用方形的硬膜替代材料覆盖,如果鞍膈破口太大,鞍上内容物均暴露,那么可选择带蒂的粘膜瓣旋转覆于缺损处,从而完成颅底重建。在此层喷涂一层生物蛋白胶,形成水封层。中隔骨瓣置回,中线粘膜恢复中线位,双侧鼻孔需填塞。笔者用涂抗生素的喇叭形引流阀,保持前部的粘膜贴伏于中隔。引流装置术后第一天拔除。
术后注意事项
如果术中即见鞍膈缺损较大,可行腰大池引流数日。笔者多数患者术后回普通病房,仅选择性地予术后重症监护。库欣氏病一旦肾上腺皮质功能减退的处理不及时可能危及生命,因此这类患者术后需予重症监护监测肾上腺皮质功能减退情况。尿崩症患者如果清醒且配合,无需重症监护。笔者认为尿量连续2小时内超过400ml提示尿崩,需进一步实验室检查,包括尿比重。
抗生素使用周期同鼻内填塞时间。术后行常规MRI评估肿瘤切除程度。不断改进学习曲线,取得满意的手术切除效果的形式,对外科医师的终身培训是非常重要的。学习曲线是陡峭的,需要数年的经历。
经验与教训
神经导航(CT引导)对蝶窦气化不良、重复手术或侵袭性肿瘤患者的手术尤其重要。
误放鼻窥器到蝶窦内、过度撑开,可导致严重的并发症,如前颅底骨折、视神经损伤。
蝶鞍骨质与硬膜的暴露程度,常常决定了肿瘤切除的程度。
耐心仔细的鞍底重建,可避免令人失望的术后脑脊液漏。
DOI: https://doi.org/10.18791/nsatlas.v2.ch17.1
References
Rhoton AL Jr. The sellar region. Neurosurgery. 2002;51(suppl1):335-374.
(神外资讯编辑钱春华医师翻译)




