今天为大家分享的是由江西省九江市第一人民医院胡炜主任医师翻译的第二章“神经外科常见手术入路”中的:后正中小脑上开颅操作技巧(Midline Supracerebellar Craniotomy),欢迎阅读、观看。
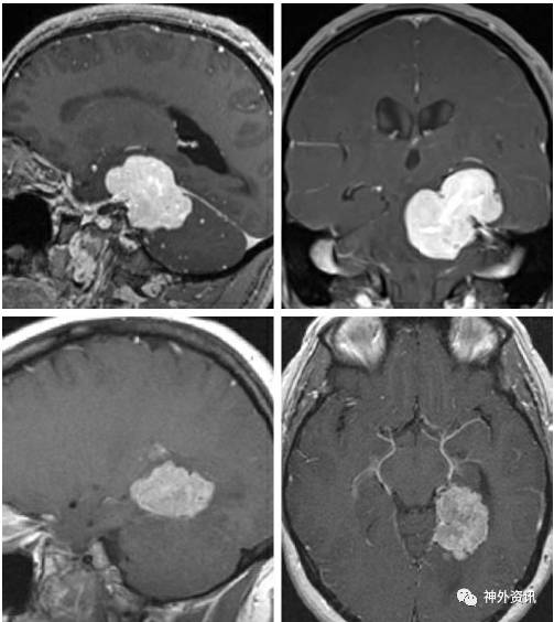
Large Midline Pineal Region Pineoblastoma-The Paramedian Supracerebellar Approach
概论
后中正小脑上开颅术是一种没有被充分利用的神经外科手术入路。它利用狭长的手术通道显露深部区域(颞叶后部、中脑的后方中线部位,丘脑、第三脑室后部)的灵活性最近一段时间被充分探讨。
小脑上入路沿着小脑上部空间,利用自然的硬膜下腔间隙,使医生在进入松果体区、后外侧中脑和第三脑室后部同时避免了过度牵拉脑组织。此入路的手术通道狭长且深在,充满技术上的挑战。
将视线从正中向两侧移动,幕下小脑上入路的变通后可以显露天幕切迹后缘及外侧的解剖空间。这些变通的入路融合经典的中线入路、侧方或旁正中入路、远外侧入路。显露该区域的其它入路包括经天幕小脑上入路、枕部经天幕入路、经胼胝体半球间入路。
我不采用经枕部经天幕入路和经胼胝体半球间入路,因为这些入路操作时可能会损伤其它正常的幕上结构。而幕下入路尽管会干扰到小脑,仍有很好的患者耐受性,且此入路经过拓展可以显露并处理此区域几乎所有病变,而不需要合并其它入路。
中线两侧的枕下小脑上入路传统上是用来显露松果体区肿瘤。这种入路的局限性包括向侧方和向下的视线受小脑幕和小脑山顶的阻碍,同时几乎所有的中线部位桥接小脑蚓部的静脉会受到损伤;这会造成一定的风险。
最近对于大型中线松果体区肿瘤,我不再使用中线两侧的枕下小脑上入路,而是选用左侧旁中央小脑上入路来弥补上述缺点。经过小脑或者菱形叶侧方的视线比经过小脑山顶的视线更直接、更短,并且旁正中入路可以避开大部分中线部位的小脑蚓部静脉。
我认为旁正中入路开颅相比经中线枕下开颅术的优势,与额外侧或翼点入路相比双额冠切开颅术切除嗅沟脑膜瘤的优势相似。
在这一章中,我描述了传统的中线小脑上入路的方法。在下一章中,我集中讨论旁正中小脑上入路显露松果体、中脑后外侧、第三脑室后部、颞叶后部底面。
入路的适应症
小脑上入路有助于显露松果体区肿瘤如生殖细胞肿瘤、松果体母细胞瘤、星形细胞瘤和其他罕见的病变如脑膜瘤、表皮样瘤、纤维性星形细胞瘤。重要的是,这是我在行第三脑室后部肿瘤切除的多个入路中的首选手术入路,因为此入路下对丘脑枕的干扰极小,病人可以良好耐受。血管性病变如天幕的动静脉漏或动静脉畸形同样可以采用这种入路。
其它中脑内部后外侧的病变,如海绵状血管畸形和纤维型星形细胞瘤,可以通过此入路手术。小脑上动脉远端动脉瘤也可以经此入路显露。

图1. 相对于中线入路,旁正中小脑上入路有许多优势: 1) 颅骨切开术多数不会威胁到优势侧(右侧)横窦和窦汇,更微创;2) 只经过一侧小脑半球进行操作;3) 通常情况小脑蚓部桥静脉受到保护;4) 经小脑外侧的视线斜度更小,为显露肿瘤下极提供较清晰的视线。再次手术可以通过对侧的小脑上入路完成。旁正中或者中线入路可以显露第三脑室后部肿瘤(下图)。

图2. 松果体区(左图)及中脑后外侧(右图)大型病变可以很容易通过小脑上入路显露。
旁中央小脑上入路中的经小脑幕扩展是在经典入路基础上的创新。经过小脑上的空间打开小脑幕,可以让我们切除延伸到小脑幕幕上的部分岩尖脑膜瘤,避免了经颞下入路的二次手术。海马后部的海绵状血管瘤、动静脉畸形、星形细胞瘤和转移瘤可以通过这种入路切除。此入路是切除中线处天幕脑膜瘤的理想入路而无需采用颞下入路而牵拉颞叶。

图3. 跨天幕的岩尖脑膜瘤(上图)和近中线天幕脑膜瘤(下图)可以通过旁中央小脑上经天幕入路单次手术切除。
术前注意事项
术前MR成像可以显示肿瘤范围,并以此来衡量是否需要联合入路或者需要经天幕入路。梗阻性脑积水需要显露Keen点或者术前行脑室额角穿刺引流。利用旁正中入路的切口可以很容易地显露Keen点的骨孔。(注:Keen点为耳廓后上各 2.5 cm)
如果外科医生准备将松果体区手术的病人在摆放为坐位。手术前需要适当措施以便检测、预防可能出现的静脉空气栓塞。这些措施可能包括右心导管、经胸廓的多普勒和经食管超声心动图。术前“泡沫测试”可以发现卵圆孔未闭的患者。坐位可能是切除松果体区肿瘤最合适的体位,因为坐位后的重力作用使小脑下坠、扩大了进入松果体区的手术显露。
横窦和乙状窦有解剖变异,术前明确其解剖走行可以提高颅骨切开时的安全性。斜度较大的天幕以及肥胖患者的短颈,虽然不是小脑上入路禁忌症,但是可以使操作的难度增加。病人颈部的屈曲可以改善经小脑上入路导致的手术视角困难,并且建议在上述情况下病人放置在坐位。
MR图片可以明确深静脉结构(Galen静脉、基底静脉、大脑内静脉和直窦) 和手术途径及肿瘤之间关系的关键信息。偶尔,后部丘脑和小脑蚓部肿瘤类似松果体区占位,逐渐向后推移间脑引流静脉,这种情况是小脑上入路的潜在禁忌。另外,肿瘤对其周围神经结构浸润的程度 (如中脑、丘脑) 必须在手术之前明确。
Operative Anatomy

图4. 松果体区入路的相关解剖 注意颞叶底部后方及顶叶和松果体区的关系(A). 经小脑上入路切开天幕后可以显露幕上区域。小脑上表面 (B) 和中脑后部(C and D)。动脉(E)和静脉(F) 解剖 (Images courtesy of AL Rhoton, Jr).

图5. 经中线小脑上入路显露松果体区的脑血管放大图。胼胝体压部在Galen静脉的前方。当术者视线随着小脑幕的走行进入到松果体区,他已经不自主的在Galen静脉周围操作。 术者必须要认识到这种误导作用,主动将手术视线向下调整到松果体区。 (Images courtesy of AL Rhoton, Jr)

图6. 相对于后正中入路(A),旁正中小脑上入路(B)可以避开几乎所有的小脑蚓部桥静脉。

图7. 后正中入路(A)的显露取决于对山顶的牵拉,而旁正中入路(B)经过的是较低位的外侧小脑。第IV脑神经位于手术区域的下缘。

图8. 通过旁正中枕下开颅切除部分左侧小脑幕,显露颞叶底面后部及相关动脉的解剖(左图)。其内侧显示了中脑后外侧的解剖 (右图)。注意,通过此入路显示的大脑后动脉远端分支。
后正中小脑上开颅
如上所述,我更倾向于将病人摆放为改良的公园长椅位,用旁正中小脑上入路到达松果体、中脑后外侧和第三脑室后部。然而,大多数医生喜欢在公园长椅位或坐位下经中线两侧枕下小脑上入路显露上述结构,我将在下面介绍中线入路。


图9. 手术室设置 (上图)。注意主刀医生及助手在手术中的位置关系。中图显示病人在改良的公园长椅位进行后正中枕骨下开颅术。下图显示了坐位的设置、以及脑室引流的钻孔位置 (如果需要)、标明的中线切口。如果需要的话,切口可以向上扩展,以便准备进行硬脑膜水密缝合的骨膜。

图10. 中线小脑上入路的钻孔位置和颅骨切开的程度如图。横窦表面的开颅时去掉铣刀踏板,只用铣刀头部(切开外板和板障),用B1 bit(金刚砂钻头)磨除颅骨。在开颅时颅骨撬开后横窦表面仅剩一层骨板时,可以应用磨钻磨开。打开硬膜(到横窦边缘)后轻轻向上翻转硬膜,缝合天幕并向上牵拉,以起到牵拉、抬起天幕(并显露)的作用 。枕骨大孔后缘的切开不是必需的。硬脑膜应该弧形切开。
枕部中线的直窦可以非常发达,其两旁可以与大的静脉湖相连。硬脑膜的这种解剖结构会导致硬膜切开时的大出血。我建议采用两个硬脑膜切口的方法,直窦的两边一边一个 (下层图像)。这样操作可以及时使用两断端缝扎的方法结扎并横断直窦。然后将小脑镰切开,将硬脑膜瓣向上翻起。


图11. 传统颅骨和硬脑膜切开方法限制了医生的工作角度,同样限制了小脑上入路的显露空间(上图)。放置固定牵开器切开小脑幕,尽管可以抬起横窦,但是不能明显扩大手术视野,事实上,它可能还会影响到手术的工作角度(中间图片)。小脑幕上缝线并牵拉、抬起小脑幕,并可以抬起横窦,扩大手术视角(图)。

图12. 中线小脑蚓部桥静脉被电凝、切断。向Galen静脉引流的小脑中央前静脉,位于厚层蛛网膜覆盖的间脑静脉后部,并连接到山顶。手术显露需要牺牲此静脉,其它更多的位于前面的间脑静脉可以保留。注意牵拉、缝合的部位在小脑幕后部,这样的缝合、牵拉可以轻轻将横窦抬起并向上移位。

图13. 解剖厚的膜样蛛网膜结构可以显露Galen静脉及其相关的静脉结构。这种解剖结构可以被其下的病变影响而发生明显改变。此时因为肿瘤位于Galen静脉下方,我们需要向下调整手术方向。如果没有调整手术方向,外科医生可能会迷失方向并损伤重要的血管。

图14. 手术者的视线应该根据手术进度重新调整,避免在间脑的引流静脉汇合处进行盲目解剖。

图15. 一旦打开肿瘤表面蛛网膜,就可以进行显微操作切除肿瘤。偶尔,梗阻性脑积水可能导致枕叶沿着小脑幕切迹的后缘疝入,形成小脑幕切迹疝。这种已经形成的脑疝,需要通过缓慢(释放幕上压力)来改善,并且术者不要被它混淆了对于术区局部解剖的认识。
结语
硬脑膜必须以水密式缝合的方式的关闭,因为脑脊液漏是后颅窝肿瘤术后的一个严重风险。相对于同种异体移植物,我更喜欢使用一块自体骨膜移植重建硬脑膜缺损。
骨质缺损可以使用颅骨板取代。我会尽量避免缝合颈深部肌肉时张力过大,以减少肌肉绞窄坏死以及术后不自主的颈部疼痛,因为这个操作会导致肌肉坏死和不受控制的术后疼痛。颈部肌肉的缝合需要轻轻拉拢,而颈部筋膜的缝合需要严密的不透水缝合。
术后注意事项
手术后病人在重症监护室观察1、2天,然后转移到病房。推荐采用类固醇预防无菌性脑膜炎。如果术前发生脑积水并进行了脑室外引流。在手术中应该保留植入的导管,手术后拔管。
暴力牵拉小脑会导致术后水肿。这可以在影像中看到,也会逐渐进展为症状性颅后窝高压并需要手术减压。因此,应该小心谨慎的进行硬脑膜关闭和骨瓣复位。如果出现脑肿胀,硬脑膜应该减张缝合,去除骨瓣。这种脑肿胀可能由于横窦局部血栓形成和小脑蚓部静脉损伤引起。
要点和注意事项
与后正中枕下小脑上入路相比,旁正中小脑上入路更微创,并且为松果体区大型肿瘤切除提供足够的显露,同时对于两侧硬膜静脉窦和小脑半球的风险更低。
小脑幕的牵拉、缝合可以抬起横窦,扩大小脑上手术的通道。
(神外资讯编辑、江西省九江市第一人民医院胡炜主任医师翻译)




