今天为大家分享的是由上海市第一人民医院昆山分院马鹏医师翻译的第二章“神经外科常见手术入路”中的:双额开颅术(Bifrontal Craniotomy),欢迎阅读、观看。
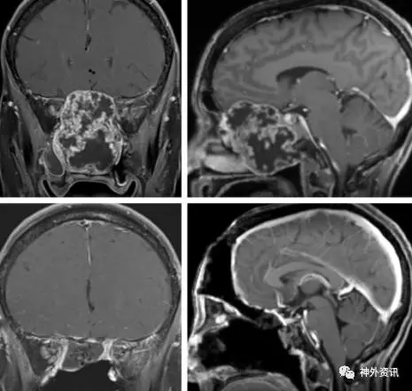
Large Bifrontal Glioma
相关回顾
概论
位于前颅窝大脑镰旁一侧或双侧的病变可以通过单侧矢状窦旁入路、翼点入路及眶颧入路相结合进行手术。这些单侧入路对于大的中线部位的病变,特别是侵犯至筛窦及蝶窦等硬膜外结构的肿瘤并不能提供足够的手术视野。
虽然有将骨窗扩大至眶上缘等双额前颅底扩展入路的讨论,但我并不认为这样的扩大骨窗是必要的;这些扩展入路并不能显著增大肿瘤的暴露范围,相反,在肿瘤切除过程中却经常会形成额外的瘤内及瘤周操作空间。而且这些扩展入路会增加颜面部外观畸形及脑脊液瘘的发生风险。
手术适应症
对于双额入路,我只将其用于侵犯前颅底的体积较大的肿瘤。本章节讨论采用双额开颅术切除中线部位侵犯前颅底的硬膜外病变。本入路对于单纯镰旁硬膜内肿瘤切除却不适用。不论体积多大,几乎所有的硬膜内局限性肿瘤(比如巨大嗅沟脑膜瘤),通过单侧扩大翼点入路或者眶上外侧入路均能够轻易达到手术部位,并且通过大脑镰横切提供对侧入路。

图1. 广泛侵犯鼻腔的前颅底软骨肉瘤(上图)。本病例用于阐明双额入路的适用对象。由于肿瘤侵犯鼻中隔导致其不能用于颅底重建,故经鼻入路在本病例并不适用。下面的两图展示的是肿瘤全切后的影像学表现。
和双额入路相比,翼点入路或者眶上外侧入路能够避开额窦,毋须牺牲上矢状窦前部,并且不需牵拉双侧额叶。单侧入路经侧裂通道有助于更早的识别视神经及颈动脉,以便在后期肿瘤切除过程中得到更好的保护。
由于双额入路具有灵活的手术操作角度及更佳的肿瘤暴露视野,我的部分同事对于大多数的前颅窝中线部位的病变都喜欢采用该入路。而我更倾向仅对侵犯硬膜外的肿瘤采用该入路,比如嗅母细胞瘤和其它侵犯到额窦及筛窦的肿瘤。
对于颅脑外伤,比如双侧额叶挫伤伴症状性脑水肿,双额开颅或去骨瓣手术能起到减压作用。同样的,该入路也能够用于修补额窦或者前颅底骨折造成的脑脊液瘘或面容畸形。
术前注意事项
由于通过双额入路抵达的大多数肿瘤体积较大,硬膜内病变切除过程中脑池暴露较晚,因此腰大池引流在松解脑组织、抵达颅底病变的过程中起到巨大作用。
一部分该区域的的脑膜瘤会侵及上矢状窦,因此术前磁共振(MRI)及CT静脉造影仍是必要的。额窦的形态术前需要进行评估,因为大额窦将会增加术后脑脊液瘘的风险。推荐常规应用带血管蒂骨膜瓣覆盖已去除粘膜的额窦及筛窦。
由于被肿瘤侵犯的前颅底的切除,额窦较宽及其大范围的切除常常造成较大的颅底缺损。这部分颅底缺损需要额外措施来修复,比如颅底骨及皮瓣重建,术后预防性腰大池引流。
手术解剖
熟知前颅底解剖知识对于双额开颅术的进行是必需的。

图2. 硬脑膜移除后前颅底解剖。图中所示额窦不对称(上图),可见术前影像学检查的必要性。骨窗下界必须达到眶顶水平。鸡冠在接近嗅球及筛板处与眶顶相比形成一“山谷”。在鸡冠及筛板水平从硬膜外切开硬膜显露硬膜内空间(图片由AL Rhoton, Jr馈赠)。
上图:Front.Sinus 额窦;Olf.Bulb嗅球;Front.Bone额骨; Crib.Plate 筛板; Eth.bone筛骨;Olf.Tr嗅束;Sphen.Bone蝶骨;Less.Wing蝶骨小翼; M.C.A.大脑中动脉;A.C.A.大脑前动脉
下图:Eth.Sinus 筛窦;Front.N.额神经; Sphen.Ridge蝶骨脊;Optic Sheath视神经鞘; CN IV滑车神经
双额开颅术
手术技术及细节回顾

图3. 患者取仰卧位,基于肿瘤垂直深度,头部轻微过伸或屈曲。调整头位使额叶受重力牵拉远离颅底。中线部位病变通过该入路手术基本不需要旋转头位。如图所示,三钉头架中的单钉固定于一侧耳后上方,对侧两根头钉固定于耳廓上方。三钉应固定在合适的位置,避免对冠状皮肤切口造成影响。

图4. 冠状切口(黑色实线)。切口位于发际内尽可能靠前。切口并不一定总是要达到耳屏水平,但至少应该达到耳廓上缘水平。患者颈部的屈曲程度依据肿瘤颅内扩展及向下扩展到鼻窦的情况而定。

图5. 头皮切开应保持骨膜、颞肌及筋膜的完整。常规分离带血管蒂的骨膜瓣作为单独一层。完全分离帽状腱膜层及骨膜层之间的腱膜下层,尽量向远离切口方向分离以便能够翻起更大的骨膜瓣(左图)。单极电凝将骨膜后部及侧方自颞上线处离断。至此形成一以眶上缘为基底,反折的带血管蒂骨膜瓣。术中将骨膜瓣翻起,伸展并用潮湿海绵包裹保持湿润(右图)。

图6. 设计骨窗:单个骨孔位于上矢状窦前部。骨窗垂直高度低于10cm,宽度没有必要超过整个眶上缘宽度。大多数病变,不管体积多大,均能通过有限“低”的双额开颅术抵达病变并切除(虚线)。
一些术者倾向更大的骨窗开颅(灰色实线)。如果发生术后感染,骨瓣去除后将造成更大的额骨缺损。术中要注意三钉的位置,偏向后部放置将增加固定失败的风险。
完成钻孔及腰大池引流后,用#3脑膜剥离子将硬膜从颅骨剥离。前额部钻孔应避免影响面容。

图7. 垂直方向颅骨切开采用带脚踏的铣刀(上图)。额窦上方最后一条水平方向的骨瓣边缘采用直边切割钻先切开额窦前壁,其次额窦后壁(下图)。
骨瓣翻起后,用垂体钳将额窦粘膜完全剥除并用单极电凝。我会用肌肉、杆菌肽或碘伏浸润的骨蜡填塞额窦,或者采用碘伏浸润的明胶海绵填塞但要在硬膜闭合后将其取出。

图8. 将骨窗下界突出的骨缘以及额窦后壁磨除以免阻挡额底手术视野。
接下来是关于侵犯颅骨及鼻窦的颅底肿瘤硬膜外切除的一些细节问题。

图9. 颞肌可用于填塞开放的额窦。进一步行腰大池引流使硬膜外剥离、脑叶脱离鸡冠、筛板的暴露成为可能。利用#1脑膜剥离子将硬脑膜从眶上缘及鸡冠剥离。

图10. 利用吸引器对额叶实现动态牵拉。将嗅球进行锐性分离,暴露硬膜外扩展的肿瘤前部(星形)。术中图像展示的是一侵犯鼻腔的前颅底软骨肉瘤切除术(上文图1)。锐性分离嗅球直接造成硬膜敞开并且显露肿瘤的硬膜内部分。

图11. 在肿瘤完全切除、采用颞肌筋膜瓣修复硬脑膜缺损使其完全闭合后,颅底可见一大的骨质缺损。本图上部显示的是完整的骨膜瓣。

图12. 如果术者希望通过双额入路抵达完全位于硬膜内的肿瘤,比如脑膜瘤,于平行骨缘方向切开硬脑膜(A和B)。上矢状窦前部用0号丝线间断结扎,然后离断。尽管矢状窦旁前部的桥静脉被认为是不重要的,但术者在牺牲它们的过程中仍要小心。吸引器头端清晰可见肿瘤组织(C)。缺损的硬脑膜采用一块颞肌筋膜瓣完全封闭,额窦利用骨膜瓣覆盖(D和E)。
在上矢状窦离断处切开大脑镰,将硬膜下垂部分反折至前方。如果需要额外的硬膜内手术通道,硬膜切开的侧方可以向后扩展直至获得做够的暴露视野。由于颈部的过伸,额叶由于重力的牵拉会远离前颅底,从而获得足够的手术通道。病变通过显微手术得到恰当的处
关颅
肿瘤切除完成后,硬膜必须严密缝合。可利用颞肌筋膜瓣行硬脑膜自体移植修补。将抗生素浸润的纱布覆盖硬脑膜,并且移除之前碘伏浸润的明胶海绵。进一步清除额窦内容物。所有残留的粘膜采用单级电凝后清除干净。额窦利用肌肉、脂肪或者骨蜡填塞,骨膜瓣向后反折覆盖额窦及前颅底缺损。

图13. 将多余的骨膜切除,采用连续缝合法将其边缘尽可能向后沿着前颅底与硬脑膜紧密缝合(上图)。骨膜瓣作为一层带血管蒂的组织将颅腔与鼻腔分开(下图)。

图14. 如果肿瘤切除后筛窦暴露并且伴有大面积骨质缺损,我会用颅骨铣开时分离的颅骨瓣覆盖在用于修复颅底骨质缺损的骨膜瓣上方(注意不是下方)。可以使用钛钉将这一骨片固定眶顶。这样的骨质重建在稳固颅底结构的同时,可以避免患者因大力咳嗽或打喷嚏引起的骨膜瓣移位。
术后注意事项
我会在术后48小时持续进行腰大池脑脊液引流。这一措施保证了颅“内部”与“外部”环境之间存在足够的界限。患者在ICU监护1到2天后转入普通病房。
有一小部分患者并未出现术后即刻发生脑脊液瘘的迹象,但术后CT却发现大量颅腔积气。如果出现这种情况,必须怀疑存在大的脑脊液瘘口,并且需要通过再次手术修复。否则持续腰大池引流会引起气体自鼻腔逆向吸入,造成颅腔积气加重。这一连续反应可能引起急性神经功能恶化及颅内感染。采用带血管蒂游离组织皮瓣行颅底重建及严密闭合硬脑膜的二次手术常常很有必要。
总结
腰大池引流对于术中松解脑组织作用巨大。术后需要短期脑脊液引流时,腰大池引流也能被用到。
本入路采用相对较小的骨窗是很有效的。大的骨窗将使发生术后感染的患者承受更大的颅骨缺损风险。
双额入路手术适应症相对有限。大部分硬膜内肿瘤可以通过扩大翼点入路行肿瘤切除术。
DOI: https://doi.org/10.18791/nsatlas.v2.ch08
参考文献
Apuzzo MLJ. Brain Surgery: Complication Avoidance and Management, Volume 1. London: Churchill Livingstone, 1983
Rhoton AL Jr. The anterior and middle cranial base. Neurosurgery 2002;51(Supplement 4): S1-121-158, 2002.
(神外资讯编辑、上海市第一人民医院昆山分院马鹏医师翻译)
更多资讯请关注神外资讯微信公众号:neurosurgerynews




