病史简介
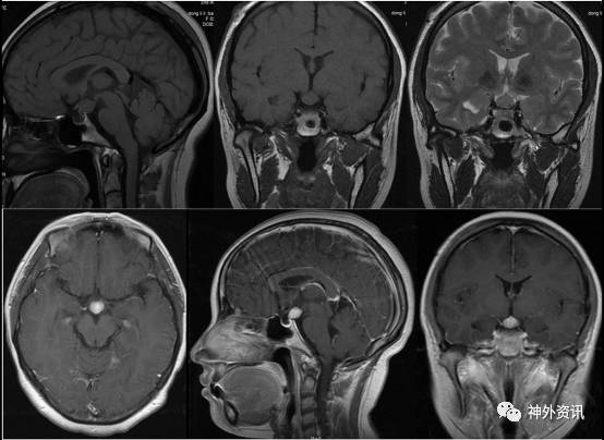
患者,女,26岁,因“ 头部外伤后发现颅内占位 40天 ”入院。患者40天前骑自行车与汽车相撞后倒地致头部出血,当时意识不清,家属诉约30分钟后自行苏醒,伴逆行性遗忘,左眼活动受限,视力无影响,也无肢体活动障碍等其他不适,至当地医院急诊,予“清创缝合及破伤风抗毒素”治疗后转来我院急诊。急诊头颅+眼眶CT显示:右侧额顶部头皮血肿、积气。同时见鞍上一占位性病变,建议MR复查(图1)”。遂以“颅底骨折,鞍上肿瘤”收住入院。
入院查体:神志清,精神良好。GCS 15分,对答切题,肢体活动良好。双眼视力粗测正常。左眼上睑下垂,左侧瞳孔约4.5mm, 直接及间接对光反射均消失,右侧瞳孔直径约为3mm,对光反射灵敏,右眼球活动正常。余神经系统检查未见异常。
诊治经过
进一步行垂体MR扫描,显示“鞍上一结节状异常信号灶,呈等T1等T2,增强后明显均匀强化,与垂体柄分界不清,视交叉略受压,三脑室底部略受压。垂体变扁呈弧形状紧贴鞍底,增强后均匀强化。考虑鞍上偏后方富血供肿瘤。鞍上占位,脑膜瘤可能性大(图2)”。

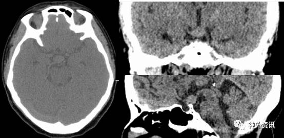
图1. CT 显示鞍上区等密度结节影,大小约 15.9×10.8mm,边界清,垂体柄显示不清。

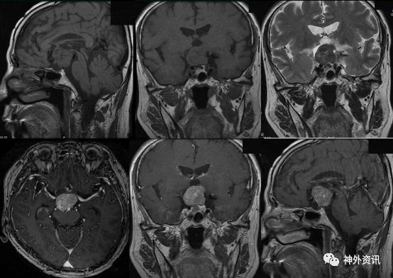
图2. 垂体 MRI 检查示:鞍上一结节状异常信号灶,呈等 T1 等 T2,增强后明显均匀强化,考虑鞍上偏后方富血供肿瘤,脑膜瘤可能大。
内分泌检验:性激素、生长激素、皮质醇、ACTH、甲状腺激素、甲状腺旁激素及β-hcg等均未见明显异常。
科室术前讨论:考虑患者外伤前无任何临床症状,根据CT及MRI检查及内分泌检查结果,考虑鞍上脑膜瘤可能大。建议手术探查。
全麻下选择经右侧翼点开颅术。术中见肿瘤与垂体柄边界不清,质地偏韧,色灰白,血供一般。术中冰冻提示(鞍区)梭形细胞肿瘤,良性。予次全切除。
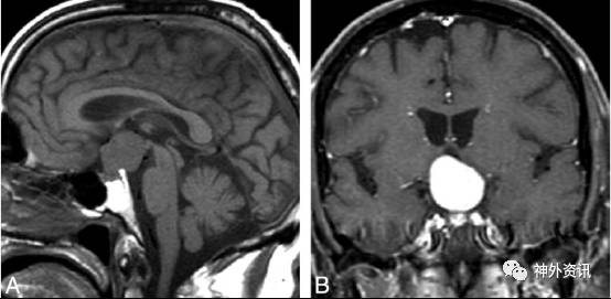
术后患者一般情况良好,意识清,无尿崩。复查头颅MRI示鞍上肿瘤部分残留,余无殊(图3)。至术后6天,患者出现精神症状,表现为烦躁,电解质、尿量、体温基本平稳,对症处理后恢复良好,于术后13天顺利出院。

图3. 术后MRI检查,提示肿瘤部分残留。
病理结果
我院病理报告:(鞍区)短梭形细胞肿瘤,结合免疫组化及特殊染色结果,考虑垂体细胞瘤。免疫组化结果:Vimentin +,EMA -,S-100 部分+,Ki-67 <3%+,P53 -,PR +,STAT6 -,CD34显示血管,ER +,GFAP +,SMA - ,TTF-1 部分+,CD68显示少量组织细胞,Galectin-3 -。特殊染色结果:PAS -,PAS-D -。因诊断尚有疑问,特请UCLA会诊,意见:组织切片显示轻度多形细胞增生,核卵圆至梭形、胞浆嗜酸性,伴突起。有丝分裂不明显。未见明确坏死或微血管增生。可见大量出血。PAS和PAS/D染色主要是血管表达。
病理诊断:垂体细胞瘤, WHO Ⅰ级(图4)。

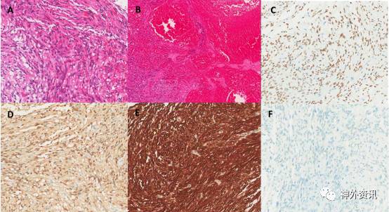
图4. 我院病理组织切片和免疫组化结果。A)肿瘤梭形细胞束状排列,细胞温和;B)梭形细胞肿瘤伴出血;C)免疫组化 TTF-1 呈部分阳性;D)S-100 呈部分阳性;E)GFAP 呈阳性;F)Ki-67 <3%阳性
讨论
垂体细胞瘤(以前被称为腺垂体瘤或漏斗瘤)是一种罕见的低级别胶质瘤,起源于神经垂体或垂体漏斗的神经胶质细胞1, 2。自 1955 年首次发现并报道垂体细胞瘤以来3,目前只有 78 例病例被报道1。2007 年,垂体细胞瘤被 WHO 分类系统列为WHO I级4。垂体细胞瘤主要发生于成人,其平均发病年龄为46.9岁(范围从 7 至 83 岁)。这类肿瘤通常位于鞍内或鞍上区域,生长缓慢。
垂体细胞瘤常见的临床症状包括视力视野障碍、头痛、垂体功能减退、性欲减退、性功能障碍、月经失调、头晕、癫痫、男性乳房发育和自发性肿瘤出血,少数病例出现恶心、呕吐或浮肿。这些临床表现通常因肿瘤的占位效应所引起,因此取决于肿瘤的大小和位置。垂体细胞瘤在 MRI 中通常表现为鞍区圆形或椭圆形的实性肿块,有时伴有鞍上扩大。肿瘤通常在 T1 像呈低信号,T2 像中度高信号,伴有均匀或混杂的增强5。极少数病例 MRI 上呈囊实性病变。
对于垂体细胞瘤准确的诊断仍有赖于组织病理学证据。显微镜下,垂体细胞瘤由圆形或梭形细胞呈束状或席纹状生长模式。肿瘤细胞具有丰富的嗜酸性细胞胞浆,可见丰富的毛细血管网。肿瘤细胞的胞核呈圆形或椭圆形,无明显异型性和核分裂(图 5)。免疫组化方面,免疫荧光染色垂体细胞瘤细胞呈 S‐100 和 Vimentin蛋白阳性,GFAP 阴性或弱阳性, EMA、Syn、CgA、角蛋白和神经丝蛋白阴性6,7。电子显微镜下可见肿瘤细胞质中间丝和肿瘤血管的基底膜,但桥粒和胞周基底膜缺如8。此外,增殖指数低预示肿瘤呈良性。本病例镜下所见与其一致,免疫组化 S-100 阳性,符合垂体细胞瘤。

图5. 垂体细胞瘤的组织形态学表现9。低倍镜下(HE 染色,100 倍)显示肿瘤细胞呈密集的交织排列(A)。高倍镜下(HE 染色,200 倍)显示梭形肿瘤细胞边界不清,胞质丰富,细胞浆丰富,核染色完好(B)。肿瘤细胞在血管周围呈假菊形团状(C),室管膜裂隙状(D)和一个涡流状排列(E)。局灶可见显著的出血性改变(F)。
垂体细胞瘤、梭形细胞嗜酸细胞瘤(SCO)和颗粒细胞瘤(GCT)的鉴别诊断
临床上鞍上垂体细胞瘤、梭形细胞嗜酸细胞瘤(SCO)和颗粒细胞瘤(GCT)具有相似的临床表现及影像学特点,有时难以鉴别。垂体细胞瘤从发现开始经历了频繁的命名和诊断标准的改变。在过去的几十年里垂体细胞瘤又被称为包括迷芽瘤、颗粒细胞肌母细胞瘤、腺垂体瘤、毛细胞型星形细胞瘤,甚至颗粒细胞瘤(Granular cell tumor, GCT)等不同的命名。直到 2007 年版中枢神经肿瘤的WHO 分型将垂体细胞瘤从 GCT 中分离出来作为独立的诊断。2007 版 WHO 分型还将梭形细胞嗜酸细胞瘤(Spindle cell oncocytoma, SCO)作为新的鞍区肿瘤类型。垂体细胞瘤、梭形细胞嗜酸细胞瘤和神经垂体来源的颗粒细胞瘤均起源于神经垂体或腺垂体,需与其他鞍区肿瘤的鉴别诊断。这三种病变无论从影像学和临床表现,还是术后病理均较为相似,与其他鞍区肿瘤如垂体腺瘤不同的是肿瘤往往是血供较为丰富,容易在手术切除过程中大出血,导致手术中止,二期或待肿瘤部分栓塞后再行手术治疗。术后常规病理是鉴别这三种病变的金标准,而后续是否需行放疗目前仍尚无定论。下文将从术前临床表现和影像学特征,病理和辅助治疗及预后三方面对这三种肿瘤进行鉴别诊断和总结分析。
1. 术前临床表现和影像学特征
垂体细胞瘤
垂体细胞瘤患者几乎不会出现尿崩症、泌乳或高泌乳素血症。当出现这些症状时,诊断是垂体腺瘤或淋巴细胞性垂体炎的可能性更大。相反,为了支持垂体细胞瘤的诊断,放射医师应仔细询问病史寻找经典的视觉障碍、头痛或两者皆有的症状表现。
Covington ME等10报道部分病患特定的影像学表现(图6)可使神经影像学医师术前诊断垂体细胞瘤。虽然少数垂体细胞瘤以这种方式在影像学上表现,但如果影像显示肿瘤完全在鞍内,并与腺垂体分界清晰,垂体细胞瘤诊断可能性较大。这样的影像学特征在 SCO 或 GCT 的病例中未见类似表现。同样在垂体腺瘤、淋巴细胞性垂体炎或生理性垂体增生的病例中也十分罕见。

图6. 垂体细胞瘤影像学表现。鞍区 MRI 矢状位(A)和冠状位(B)示鞍上一圆形占位,增强均匀,与正常腺垂体分界清晰。
本病例中影像学显示肿瘤考虑垂体柄或神经垂体来源,与腺垂体分界清晰,与 Covington ME 等人报道的垂体细胞瘤的影像学特征性表现相符合。
梭形细胞嗜酸细胞瘤(SCO)
SCO 的临床表现通常为视觉障碍,全垂体功能减退和头痛。其中全垂体功能减退症的发生率远高于垂体细胞瘤和 GCT,而尿崩症几乎未见发生于 SCO 的病患中。这可能与 SCO 完全起源于腺垂体而不是神经垂体有关。
Covington ME 等10认为对于 SCO 的病例影像学上通常表现为合并鞍内和鞍上病变(图 7)。因此一个完全位于鞍内或鞍上的肿瘤是 SCO 的可能性较小。SCO 起源于腺垂体,而垂体细胞瘤和 GCT 起源于神经垂体。因此如果影像学显示肿瘤位于或起源于神经垂体,那么 SCO 的诊断可基本排除。此外,SCO 表现为浸润性生长,与垂体分界不清,因此仅靠影像学表现难以与常见的鞍区病变如垂体腺瘤或淋巴细胞性垂体炎鉴别诊断。

图7. 梭形细胞嗜酸细胞瘤(SCO)影像学表现。鞍区 MRI 冠状位 T1 像(A)和冠状位 T2 像(B)显示鞍内和鞍上一浸润性生长的肿物。矢状位 T1 像(C)示被肿瘤浸润性生长后增大的垂体前叶,以及肿瘤未侵犯的神经垂体的移位。
本病例中影像学显示肿瘤起源于神经垂体,且内分泌检查无全垂体功能减退表现,因此术前可排除诊断 SCO 的可能性。
颗粒细胞瘤(GCT)
GCT 的临床表现是非特异性的,最常见的包括视觉障碍、头痛、闭经。其他症状包括尿崩症、泌乳和高泌乳血症较为少见。
GCT是一类起源于神经垂体和(或)垂体柄的罕见肿瘤。Covington ME等10报道显示 GCT 在增强 CT 上通常强化明显,在 MRI 中 T1、T2 像呈等信号,均匀或混杂强化。大部分 GCT 主要位于鞍上,几乎没有 GCT 完全位于鞍内。因此单纯鞍内病变不考虑诊断 GCT。周刊第七期(点击查看)曾报道一例鞍上颗粒细胞瘤病例,头颅 MRI 显示肿瘤位于鞍背上方,与垂体分界清晰,强化明显但欠均匀,边界尚清(图 8)。

图8. 本周刊第七期报道的一例颗粒细胞瘤的 MRI 影像。可见鞍上占位,呈等 T1 弛豫信号,T2 呈混杂低信号,增强明显但不均匀,界清,与垂体分界清晰。
本病例影像学中虽然肿瘤完全位于鞍上,但术前 CT 示肿瘤呈等密度,未见高密度结节影,故与 GCT 的影像学表现不符。综上所述,术前根据影像学和临床症状表现,应首先考虑垂体细胞瘤可能,术后病理也证实了该诊断。
关于垂体细胞瘤、SCO 和 GCT 的术前鉴别诊断思路可参考以下流程图(图 9):

图9. 术前鉴别诊断垂体细胞瘤、SCO 和 GCT 的关键点10
2. 病理
这三种鞍区罕见的肿瘤都是WHO I级。所有三种肿瘤的免疫组化都呈核TTF-1阳性。本病例也呈阳性。垂体细胞瘤由大量梭形细胞排列成束状,有丝分裂较为罕见。与脑膜瘤不同,垂体细胞瘤钙化或涡轮状排列较为少见。免疫反应方面垂体细胞瘤呈 S-100 蛋白强阳性,胶质纤维酸性蛋白阳性或阴性,和核 TTF-1 阳性11。
梭形细胞嗜酸细胞瘤的病理学表现与垂体细胞瘤相似,但是由上皮样细胞排列而成,轻度至中度核异型,有时有少量淋巴细胞浸润。电子显微镜或线粒体免疫组化显示线粒体数量众多,这是其区别与垂体细胞瘤的特征。
神经垂体的颗粒细胞瘤,与前两者相比,其特征是肿瘤细胞质具有丰富的溶酶体(图 10)。

图10. A-C:HE 染色下的垂体细胞瘤、颗粒细胞瘤和梭形细胞嗜酸细胞瘤。D-F:弥漫性 TTF-1 强表达于垂体细胞瘤、颗粒细胞瘤和梭形细胞嗜酸细胞瘤。G-I:电镜下垂体细胞瘤、颗粒细胞瘤和梭形细胞嗜酸细胞瘤的超微结构显示垂体细胞、颗粒细胞和嗜酸性垂体细胞形态学上相似,但梭形细胞嗜酸细胞瘤由富含线粒体的梭形或多边形细胞组成,而颗粒细胞瘤是由众多细胞膜融合、内含致密的空泡和溶酶体的细胞组成。三种肿瘤中都未见明确的分泌颗粒12。
3. 辅助治疗及预后
垂体细胞瘤预后相对良好。Secci F等13回顾既往文献报道认为由于垂体细胞瘤多数与正常腺垂体分界清晰,因此手术全切后目前尚无有肿瘤复发的报道。如手术中行大部切除或有肿瘤残瘤时,垂体细胞瘤可能在局部复发,但生长速度非常缓慢。已报道的文献中只有5例垂体细胞瘤患者术后接受了放疗。其中3例由于有肿瘤残留而在术后立即接受了分次放疗,2 例在随访中发现肿瘤增大后接受放疗。但目前尚缺乏针对垂体细胞瘤术后进行放疗的有效性的研究数据。而目前尚无文献报道使用化疗进行术后辅助治疗垂体细胞瘤。
SCO 术后复发率明显高于垂体细胞瘤和 GCT,这可能与 SCO 呈浸润性生长,与垂体分界不清,术中全切困难有关。UCSF 的 Zygourakis CC等7回顾分析了既往文献称在已报道的22例 SCO 患者中,至少有7例已发生肿瘤复发,即使部分病人术中肿瘤得以全切。近年来 SCO 的主流治疗方式是经鼻蝶肿瘤切除术联合术后辅助放疗。Dahiya 等14报道了一例大部切除的 SCO 患者术后立即接受放疗,在术后 7 年的随访期内未见复发。但 Kloub 等15报道了一例术后已接受放疗肿瘤仍复发的 SCO 病例。因此同样对于 SCO 术后是否需要接受放疗目前仍存有争议。
GCT 的预后类似于垂体细胞瘤,其生长同样较为缓慢。因此对于手术切除程度即存在争议。有文献报道16GCT 手术的目的仅限于取瘤减压和明确病理,不求全切以保留正常垂体功能。此外,针对 GCT 术后是否需要辅助放化疗,目前尚无大规模的临床研究和循证学依据。主流的观点认为放疗可作为视力视野未受损的生长缓慢的 GCT 患者在部分切除后的辅助治疗方案17。
总之垂体细胞瘤作为鞍区罕见但又十分重要的病变,不仅需与其他常见的鞍区病变如垂体腺瘤等进行鉴别,也需与 SCO、GCT 等其他鞍区罕见病变相鉴别诊断。术前的影像学表现(肿瘤完全在鞍内,并与垂体分界清晰)和症状表现(尿崩症、泌乳或高泌乳素血症)可提供一定的诊断或排除诊断的线索。术后的病理学免疫组化是诊断垂体细胞瘤的金标准。术后辅助放疗的作用仍有待研究,需更大样本量、更长随访时间的观察和分析。
参考文献
1. Yang X, Liu X, Li W, Chen D.Pituicytoma: A report of three cases and literature review. Oncology letters. 2016;12:3417-3422
2. UlmAJ, Yachnis AT, Brat DJ, Rhoton AL, Jr. Pituicytoma: Report of two cases andclues regarding histogenesis. Neurosurgery.2004;54:753-757; discussion 757-758
3. ScothorneCM. A glioma of the posterior lobe of the pituitary gland. The Journal of pathology and bacteriology. 1955;69:109-112
4. BratDJ, Scheithauer BW, Fuller GN, Tihan T. Newly codified glial neoplasms of the2007 who classification of tumours of the central nervous system: Angiocentricglioma, pilomyxoid astrocytoma and pituicytoma. Brain pathology. 2007;17:319-324
5. FurtadoSV, Ghosal N, Venkatesh PK, Gupta K, Hegde AS. Diagnostic and clinicalimplications of pituicytoma. Journal ofclinical neuroscience : official journal of the Neurosurgical Society ofAustralasia. 2010;17:938-943
6. BratDJ, Scheithauer BW, Staugaitis SM, Holtzman RN, Morgello S, Burger PC.Pituicytoma: A distinctive low-grade glioma of the neurohypophysis. The American journal of surgical pathology.2000;24:362-368
7. ZygourakisCC, Rolston JD, Lee HS, Partow C, Kunwar S, Aghi MK. Pituicytomas and spindlecell oncocytomas: Modern case series from the university of california, sanfrancisco. Pituitary. 2015;18:150-158
8. Figarella-BrangerD, Dufour H, Fernandez C, Bouvier-Labit C, Grisoli F, Pellissier JF.Pituicytomas, a mis-diagnosed benign tumor of the neurohypophysis: Report ofthree cases. Acta neuropathologica.2002;104:313-319
9. WangJ, Liu Z, Du J, Cui Y, Fang J, Xu L, et al. The clinicopathological features ofpituicytoma and the differential diagnosis of sellar glioma. Neuropathology : official journal of theJapanese Society of Neuropathology. 2016;36:432-440
10. CovingtonMF, Chin SS, Osborn AG. Pituicytoma, spindle cell oncocytoma, and granular celltumor: Clarification and meta-analysis of the world literature since 1893. AJNR. American journal of neuroradiology.2011;32:2067-2072
11. Kleinschmidt-DeMastersBK. Histological features of pituitary adenomas and sellar region masses. Current opinion in endocrinology, diabetes,and obesity. 2016;23:476-484
12. MeteO, Lopes MB, Asa SL. Spindle cell oncocytomas and granular cell tumors of thepituitary are variants of pituicytoma. TheAmerican journal of surgical pathology. 2013;37:1694-1699
13. SecciF, Merciadri P, Rossi DC, D'Andrea A, Zona G. Pituicytomas: Radiologicalfindings, clinical behavior and surgical management. Acta neurochirurgica. 2012;154:649-657; discussion 657
14. DahiyaS, Sarkar C, Hedley-Whyte ET, Sharma MC, Zervas NT, Sridhar E, et al. Spindlecell oncocytoma of the adenohypophysis: Report of two cases. Acta neuropathologica. 2005;110:97-99
15. KloubO, Perry A, Tu PH, Lipper M, Lopes MB. Spindle cell oncocytoma of theadenohypophysis: Report of two recurrent cases. The American journal of surgical pathology. 2005;29:247-253
16. KoutourousiouM, Gardner PA, Kofler JK, Fernandez-Miranda JC, Snyderman CH, Lunsford LD. Rareinfundibular tumors: Clinical presentation, imaging findings, and the role ofendoscopic endonasal surgery in their management. Journal of neurological surgery. Part B, Skull base. 2013;74:1-11
17. SchallerB, Kirsch E, Tolnay M, Mindermann T. Symptomatic granular cell tumor of thepituitary gland: Case report and review of the literature. Neurosurgery. 1998;42:166-170; discussion 170-161
(本文由浙二神外周刊原创,浙江大学医学院附属第二医院神经外科董啸整理,洪远副主任医师审校,浙医二院病理科许晶虹副主任医师提供病理图片及诊断 意见,张建民主任终审)
往期回顾
浙二神外周刊(三十七)--垂体瘤伴发鞍结...
浙二神外周刊(三十六)--脑膜血管瘤病...
更多资讯请关注神外资讯微信公众号:neurosurgerynews




