今天为大家分享的是由中南大学湘雅医院苏燕东医师翻译的第二章“神经外科常见手术入路”中的:乙状窦后入路(Retromastoid Craniotomy),由于相关视频较多,我们将11个视频合并为一个,文末也有单个视频的二维码链接,方便大家阅读、观看。
相关回顾
概论
如同翼点入路在幕上鞍旁病变的角色一样,乙状窦后入路是处理桥小脑角及脑干腹外侧病变的最常用途径。
翼点入路中,为了更好地暴露额下及鞍旁区域,可以削平眶上裂外侧的蝶骨嵴与眶顶壁,我们称之为扩大翼点入路;同理,可以将去处部分乙状窦表面骨质的做法称为扩大乙状窦后入路。
这种方法使得乙状窦可以随剪开的硬膜由缝线往前牵开,从而更好地从外侧暴露桥小脑角,同时小脑的牵拉反而减轻。
乙状窦表面骨质的去除范围一定是由具体病变的暴露需求决定,本篇我们只讨论扩大乙状窦后入路的一般原则,聚焦于特殊病变(如颅神经受压综合征)的各篇会描述该入路在各病变中的实际应用。
适应症
乙状窦后入路灵活、高效,并为所有神经外科医师熟识。通过轻微牵拉小脑,该入路的灵活性与多向性使得它可以处理几乎所有桥小脑角及脑干腹外侧的病变。
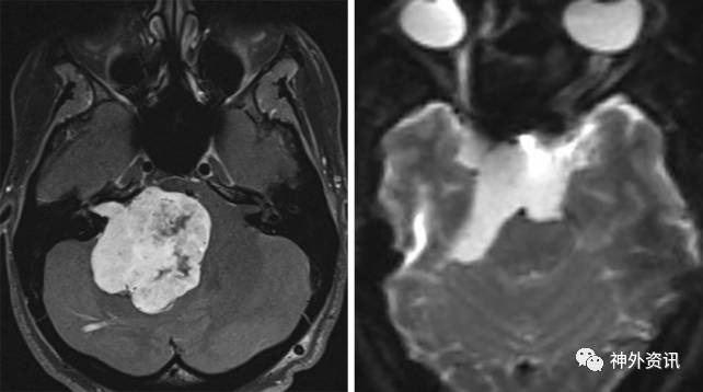
与各种岩骨切除术比较,并发症更低的扩大乙状窦后入路在暴露脑干腹外侧及腹侧病变时同样具有许多相似的优点,这样看来,前者似乎被过度使用了。肿瘤的位置及大小对选择合适的手术入路起决定性作用,但是当我们犹豫是否需要更大的入路时,肿瘤的质地具有非常重要的参考意义。例如,乙状窦后入路可以切除跨越脑干腹侧的巨大表皮样囊肿,然而包裹血管的脑干腹外侧的质韧脑膜瘤却需要选择岩骨切除术。

图1. 巨大的前庭神经鞘瘤(左)和脑干腹侧的表皮样囊肿(右)皆可通过扩大乙状窦后入路切除。
简而言之,在暴露腹外侧中脑及上斜坡的基础上,扩大乙状窦后入路可以额外获得往腹外侧延髓和下斜坡的视角。
术前准备
对于术中可能需动态牵拉或者影响面听神经束的手术,如面肌痉挛的微血管减压术,推荐监测脑干听觉诱发电位(BAERs),V波波峰延迟是指示蜗神经损伤的最佳电生理学指标。对侧听力丧失可能是乙状窦后入路的一个禁忌征。
横窦、乙状窦的位置存在变异。颈项短或者头型宽短者有时可见乙状窦短小或横窦-乙状窦的交界处下移,术前应仔细研究影像学资料并在术中留意,因为这些解剖学变异会误导术者造成静脉窦损伤或者限制骨窗的暴露。
气化良好的乳突气房会增加术后脑脊液漏的概率,应引起重视。
相关解剖

图2. 上图展示了乙状窦、横窦及两者与乳突尖等骨性结构的关系;下图为乙状窦后入路暴露桥小脑角的术野。三叉神经位于远离术者的术野深面,而面听神经束位置表浅,位于上手术通道的斜下方。
乙状窦后开颅

图3. 术者站着开颅,进行显微操作时则取坐位。洗手护士位于术者对面,以便于传递手术器械。麻醉医师站在患者足端以为助手及其他手术团队成员腾出更多空间。我本人习惯坐着进行显微操作,因此,在后颅窝手术时,患者的体位是侧卧位。

图4. 患者取公园长椅卧位,头架固定。消毒铺单前,行腰穿释放大约35-40cc脑脊液降低后颅窝压力,有利于安全切开硬膜,以及在早期硬膜下操作时可以无牵拉地到达桥小脑角池。不行腰穿放液可能难以到达桥小脑角,脑脊液引流至一个杯子,同时,术者可以在术区备皮并标记切口。
若患者取仰卧位,需极度扭转颈项使其处于非生理性位置,并造成静脉淤血,而公园长椅卧位则可以有效避免上述缺点并降轻术后颈项部疼痛。
患者术侧的肩膀(尤其是短颈的肥胖者)会影响外科医师在枕下区域进行操作,因此,同侧肩膀应该前倾并向足端拉拽。不重视这些细节将严重限制手术操作。
必须确保患者被良好地固定在手术床上以防移位,固定带直接作用于腓骨头会导致腓总神经麻痹,应予以避免。

图5. 乳突位于术野的最高点,头架固定。稍微旋转头部可以扩大手术通道,因此术者可以绕过小脑暴露桥小脑角。同时,头钉的位置应远离术区。
患者的头部稍屈曲并垂向地面,床头上抬15度,随后手术床取Trendelenburg位以使患者的头下移10度,这样术区便位于水平平面。
位于中斜坡水平并移位脑干的肿瘤,垂头是没有必要的,因为小脑半球会阻挡往内侧面脑干的视角。

图6. 以假想的横窦与乙状窦交界处下缘为最高点做一倒“u”形切口,该切口优点见后叙。过乳突沟做一垂直横窦(连接颧弓根与枕外粗隆的白色水平虚线)的线(图中的白色垂直虚线),交点即为切口最高点。对于大的前庭神经鞘瘤,可以加宽切口的基底以扩大颅骨切开的范围。
和广泛接受的直线形切口相比,使用Walter Dandy提出的这种倒“U”形切口具有许多明显的优势:
1. 不需分离肌肉至枕骨大孔平面,从而减轻术后枕下区疼痛。
2. 将皮肌瓣下翻可以远离工作区域,而直线形切口中,皮肤肌肉层推积于头皮牵开器下方,增加了手术距离。

图7. 弧形切口将皮肌瓣往下翻以远离操作区域(左图);而直线形切口中,肌肉推积于头皮牵开器下方,增加了手术距离(下图)。(图片使用经iu health同意)

图8. 到达桥小脑角的手术通道及方向。通往面听神经束上方病变的途径由蓝色箭头表示,而下方的病变(如小脑下外侧或者绒球下入路)依绿色箭头所示方向暴露。纯粹水平面上由外往内牵拉小脑的矢量方向与易感的前庭蜗神经平行,增加了听力损失的风险,应予以避免。

图9. 辨认横窦-乙状窦交界处并在其下缘钻孔。白色水平虚线连接颧弓根与枕外粗隆,代表横窦位置,过乳突沟作一线(白色垂直虚线)与之垂直,交点即为钻孔位置。
以上钻孔方法常常恰好显露两静脉窦交界处的内侧缘和下缘。术中并非总是能找到星点(尤其是年长患者),而且在星点上钻孔暴露的往往是横窦全宽,有潜在的损伤风险。同时,使用撑开器和鱼钩分别牵开肌皮瓣和皮瓣增加了骨面的显露范围。

图10. 钻孔与颅骨成形(tn:三叉神经痛;hs:面肌痉挛;gn:舌咽神经痛;an:听神经瘤)。hs和gn的钻孔与骨瓣位置应稍微偏下方,这将在相应章节详细介绍。
术中只钻一孔,在静脉窦交界处的边缘钻孔可以使术者预判颅骨成形/切除的边界。静脉窦的位置存在变异,因此钻孔时应留意,不妨先试钻一小孔,然后沿正确位置扩大。
钻孔完成后可尝试剥离硬膜。剥离静脉窦边缘时要小心,乙状窦可能嵌入内板,因此更应小心。这种情况下不要尝试去剥离,应先“蛋壳化”乙状窦表面骨质,待后颅窝骨瓣翻开后再完全去除。若是微血管减压术,1.5-2倍于25美分硬币大小的骨窗就足够了。
骨瓣成形的第一步是铣刀先往后、往下、再往前止于乙状窦后界附近,随后从上往下沿乙状窦后缘铣除。对于老年患者或者硬膜与内板粘连紧密者,不应做颅骨成形,相反,颅骨切除是更安全的选择。

图11. 扩大乙状窦后入路:裸露后半部分乙状窦是该入路获得更大术野的关键步骤。
掀起骨瓣后,磨除部分乳突,显露乙状窦全长的后份。同时,去除外侧的乳突骨板和任何阻挡骨质使乙状窦可随硬膜往前翻转。因此,可能对小脑的牵拉减轻了,但是从前外侧方观察桥小脑角的视野增加了,术者的操作角度也更灵活。
移除乙状窦表面的骨质时,最佳方法是使用磨钻的“蛋壳化”技术,因为两者之间常常粘连紧密。钻头与钻柄的移动方向保持一致,以免误伤。

图12. 使用kerrison咬骨钳去除乙状窦表面的蛋壳样骨质,咬骨钳的张口应背向静脉窦,防止撕裂窦壁。如果出现一个小破口并引起大出血,在邻近骨缘涂抹骨蜡将其封闭,避免使用止血材料如明胶海绵致密填塞,以防静脉栓塞形成。遇到导静脉后可将其烧灼离断。

图13. 完成颅骨成形以及后续的硬膜缝合结束前都应当仔细封闭乳突气房。在硬膜外反复做冲洗杜绝骨粉等碎屑进入硬膜下间隙,以降低术后无菌性脑膜炎的风险。
手术通道:上外侧和下外侧途径
如前述,平行前庭蜗神经的外内方向牵拉小脑可能导致术后听力下降,因此,有上外侧和下外侧两种途径可以到达桥小脑角。
上外侧途径:适用于面听神经束后、上方的病变

图14. 上外侧途径中,距离横窦及乙状窦边缘数毫米、平行于静脉窦走形切开硬膜(左图),乙状窦后方的牵引缝线可以往前往外移位、翻转乙状窦,从而获得更大的操作空间(右图)。
剪开硬膜时,如果出现明显的静脉窦撕裂或者遇到静脉湖,可将一小块肌肉组织缝合于破口以达止血效果,双极电凝破口使得硬膜边缘进一步回缩,造成裂口扩大和更复杂的问题。

图15. 往下往内牵拉小脑显露桥小脑角内位于面听神经束后上方的病变,术前的腰穿放液大大松弛了小脑,使得牵拉变得容易。
剪取一小块比棉片稍大的橡胶手套作为缓冲垫,放置于小脑表面与棉片之间,以避免操作时棉片与脑组织摩擦。棉片是往岩骨这一侧移动的,且方向平行于岩上窦。识别岩幕交界有利于防止:
1. 意外显露和损伤小脑天幕面的桥静脉;
2. 平行面听神经束的牵拉引起听力损害。
使用吸引器动态牵拉小脑来选择性地暴露三叉神经根脑干端区域,因而不用僵硬的自动牵开器,也不需牺牲岩上静脉。
下外侧途径:适用于面听神经束前、下方的病变
平行乙状窦与枕骨大孔平面剪开硬膜,丝线牵开切缘使其紧贴骨缘,上文描述的技术这里同样适用。

图16. 往上、往内牵拉小脑,此处依然可见作为缓冲垫的橡胶手套。随着分离的深入,橡胶垫可以自由地在小脑表面滑行(上图),免于后者直接接触粗糙的棉片。之后辨认岩骨与后颅窝底(p,下图术中照)的移行处,朝着后组颅神经方向逐步在橡胶垫上推进棉片。
分离时,吸引器动态移位小脑,此时,牵拉的矢量平行于舌咽神经。为了减小对颅神经及小脑的损 伤,建议锐性分离桥小脑角下部分的蛛网膜。
若术者不能早期识别岩幕交界(上外侧途径)或岩骨-后颅窝底交界处(下外侧途径),可能会迷失方向、出现困惑。
关颅

图17. 硬膜缝合。
硬膜边缘应对合良好。对于微血管减压这类手术,术后颅压升高少见,术中并不需水密缝合硬膜,术后脑脊液漏的发生概率也很低。
但是肿瘤手术时必须水密缝合硬膜,乳突气房用骨蜡里三层外三层彻底封闭,然后回纳骨瓣或者使用甲基丙烯酸甲酯塑形颅骨,最后分层缝合肌层和皮瓣。
术后管理
术后当晚患者送icu监护,随后转回普通病房,数天后便可出院。术后加强观察患者的血流动力学变化、神经功能状态与伤口愈合情况。使用激素预防无菌性脑膜炎,同时减轻头痛、恶心等不适。
偶尔会出现迟发性面瘫和听力丧失,尤其是面神经减压和表皮样囊肿切除术后,多数为暂时性并且对地塞米松治疗反应良好,疗程1周,逐渐减量。
拓宽手术通道的其他补充:小脑幕切开
通过联合乙状窦后和小脑上入路显露小脑幕,随后将其广泛切开,腹外侧岩斜区、颞底后份(即海马旁回后份)及中颅底便一览无遗,因此延伸至中颅底的后颅窝肿瘤可获得一期切除,免去二期的幕上手术。这将在“小脑上入路”一篇中详细介绍。
乙状窦后入路的其他类型切口

图18. 直线形切口广泛用于微血管减压术及切除小的桥小脑角肿瘤,切口的1/3位于横窦上方,2/3位于下方,图中这条小的水平交叉线大致为横窦的位置。
总结
扩大乙状窦后入路是处理桥小脑角病变的灵活实用途径,使用该入路有时可以避免更大范围的岩骨切除。
为了防止损伤前庭蜗神经,只能平行于三叉神经或者舌咽神经的方向牵拉小脑。锐性分离蛛网膜、吸引器动态牵拉小脑可降低颅神经损害风险。
参阅《Jackler Atlas》获取更多关于乙状窦后入路显露内听道和桥小脑角的美图。

参阅《Jackler Atlas》获取更多关于乙状窦后入路显露颈静脉孔的美图。

(神外资讯编辑、中南大学湘雅医院神经外科苏燕东医师翻译)
1. Dural Closure-Retromastoid Craniotomy
2. Dural Opening-Retromastoid Craniotomy
3. Intracanalicular acoustic-Retromastoid craniotomy
4. Opening the Arachnoid Membranes during Retromastoid Craniotomy
5. Patient Positioning and Incision for Retromastoid Craniotomy
6. Retromastoid Bony opening
7. Retromastoid Craniotomy- Expanding the Operative Corridor
8. Retromastoid Craniotomy
9. Retromastoid Incision
10. Retromastoid myocutaneous flap and positioning
11. Shortcomings of the Linear Incision for Retromastoid Craniotomy
更多资讯请关注神外资讯微信公众号:neurosurgerynews




