颅内不明原因的出血约占自发性颅内出血的0.75%-4.7%,大部分发生于壳核或丘脑。文献报告的对侧丘脑迟发性出血多发生于首次出血后两天内。韩国翰林大学医学院神经外科的Ji Hun Han等报道1例自发性丘脑出血17天后对侧丘脑出血,文章发表在2016年6月《J Cerebrovasc Endovasc Neurosurg》。
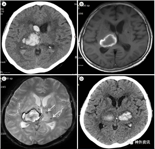
65岁女性患者,因昏睡和左侧肢体肌力减退入院。长期口服5mg苯磺酸氨氯地平,血压控制良好。实验室检查未见凝血功能障碍。CT扫描显示右侧丘脑出血破入脑室。保守治疗15天后MRI检查,示右侧丘脑亚急性血肿伴对侧丘脑微出血灶;患者的意识水平和肌力逐渐好转。第17天,患者突然出现强直性阵挛发作,急诊头颅CT发现左侧丘脑血肿(图1)。椎动脉血管造影未见丘脑穿支动脉动脉瘤。随后患者处于昏迷状态,四肢肌力减退。

图1. A.初次发病时CT扫描示右侧丘脑出血破入脑室;B、C.起病后15天MRI显示右侧丘脑亚急性血肿伴左侧丘脑微出血灶(箭头);D.第17天CT显示左侧丘脑血肿。
该病例表明,首次脑出血后17天仍有可能发生对侧半球脑出血。由于双侧丘脑出血的预后很差,因此,当一侧丘脑出血患者出现对侧丘脑微出血灶,就必须密切关注病情变化,有可能发展成对侧丘脑迟发性出血。双侧大脑半球相继出血的机制尚不明确,可能与高血压、脑动脉粥样硬化和颅内小血管病变有关,也可能与颅内出血后脑血管自动调节功能紊乱有关。
(浙江大学医学院附属第二医院TMC编译,复旦大学附属华山医院王知秋教授审校,《神外资讯》主编、复旦大学附属华山医院陈衔城教授终审)
相关回顾
更多资讯请关注神外资讯微信公众号:neurosurgerynews




