【Ref: Zetterling M, et al. J Neurosurg. 2016 Nov;125(5):1155-1166. Epub 2016 Feb 26.】
弥漫性低级别胶质瘤(diffuse low grade gliomas,DLGG)是一类常见的成人原发性脑肿瘤,不同于其他快速生长的恶性肿瘤,其不以“肿瘤团块”形式挤压周围正常脑组织,而是向大脑组织慢性浸润的弥漫性病变。在影像学上病变的浸润程度与术中肉眼可见的异常区域不一致。瑞典乌普萨拉大学神经外科的Maria Zetterling等通过分析肿瘤扩大切除的DLGG患者的MRI图像与病理学资料,探讨影像学显示的肿瘤周边正常区内是否存在肿瘤细胞。结果发表于2016年2月的《J Neurosurg 》在线。
作者选取5例适合完整切除的DLGG患者。将所有切除的肿瘤组织用IDH1突变抗体--IDH1-R132H进行免疫组化染色。并进行共注册配对校准MRI图像和IDH1阳性图像(图1),观察肿瘤细胞在白质与灰质中的侵袭模式,比较肿瘤组织病理学结果与MRI影像学上信号的关系。5例患者的术后病理学检查证实,4例为DLGG,1例为III级胶质瘤。病理免疫组化染色提示,肿瘤核心区内,无论是白质还是灰质均有IDH1-R132H浓集的阳性着色。所有患者的MRI-T2-FLAIR序列异常区外仍可发现免疫组化染色阳性的肿瘤细胞,肿瘤细胞可沿着白质纤维束向外周浸润。

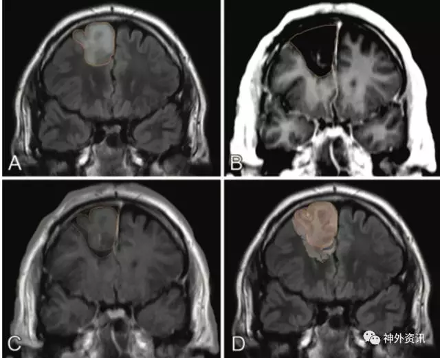
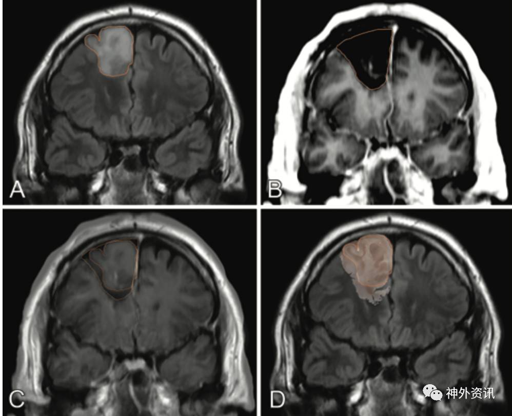
图1. 病例1患者的影像学资料。A.术前MRI冠状位T2-FLAIR成像勾画的肿瘤边界;B.术后MRI冠状位T1勾画的瘤腔边界;C.手术前、后MRI冠状位影像叠加图,可显示切除的肿瘤周边组织;D.IDH1染色图片与MGI冠状位T2-FLAIR图像叠加图。

图2. 病例1患者肿瘤周边组织的IDH1染色可见阳性的肿瘤细胞,呈棕色,沿白质纤维束浸润。肿瘤细胞聚集在白质传导束的周围,白质纤维内可见“单排”的肿瘤细胞。放大图提示,影像学显示的肿瘤边界外可见IDH1染色阳性的肿瘤细胞。

图3. 病例1患者影像学显示的肿瘤边界外肿瘤细胞富集区域。左图:在IDH1免疫组化染色图中实线为影像学显示的肿瘤边界,虚线为肿瘤边界外的肿瘤细胞富集区。右图:MRI冠状位T2-FLAIR影像图,实线为肿瘤边界,虚线为边界外的肿瘤细胞富集区。
研究结果表明,肿瘤细胞可向MRI影像学显示的肿瘤边界外浸润。因此,提醒临床医生需综合判断影像学表现,准确分析肿瘤细胞的浸润范围,对提高肿瘤全切率有一定帮助。
(广州军区广州总医院Bai HM编译,复旦大学附属华山医院花玮博士审校,《神外资讯》主编、复旦大学附属华山医院陈衔城教授终审)
相关回顾
更多资讯请关注神外资讯微信公众号:neurosurgerynews




