儿童出生时头颅在产道受压、被牵拉或器械助产等所致头颅损伤性出血形成血肿。约3%-5%患儿的产伤性血肿吸收不全而钙化。血肿占据颅腔的一定空间,由于新生儿头颅的可塑性大,随脑发育而向外凸出,影响美观;但一般不会导致神经功能障碍。意大利罗马A. Gemelli医院神经外科的Vera Vigo等报道1例罕见的头颅血肿引起脑电图异常的病例,发表在2016年10月《J Neurosurg Pediatr》在线上。
11岁女性患者,出生时借助产钳分娩导致双侧顶部头颅血肿。产后1月左右左侧血肿基本吸收,右侧血肿逐渐钙化,当时医生没有建议手术。女孩成长过程中没有出现与血肿相关的躯体或神经精神方面的问题。然而,神经心理测试发现有学习上的障碍,包括轻度的注意力不集中。为此,进行脑电图检查(EEG),当时没有显示异常。10岁左右的随访EEG中出现不对称α波活动背景下的右侧额顶部低振幅、散在的棘波(图1)。头颅MRI检查提示,右顶部头颅血肿,厚度25mm,伴有颅骨内层改变和脑实质中度受压(图2)。3月后复查EEG的结果同前。患儿有轻度头痛,并要求美容手术。

图1. 术前EEG显示不对称的脑电活动背景下右侧额顶部散在棘波。

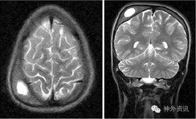
图2. 术前MRI-T2像显示右额顶部头颅血肿。
作右额顶部圆形骨窗开颅,切除头颅血肿,并进行颅骨重建手术。患儿术后头痛消失。MRI显示,重建颅骨下方大脑受压缓解(图3)。术后6月复查EEG表明,右侧额顶部异常脑电活动消失(图4)。患儿的学习和注意力轻度障碍也得到改善。

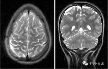
图3. 术后1月MRI-T2像显示,头颅血肿切除,占位效应消失。

图4. 术后6月EEG显示之前右侧额顶部异常脑电波消失。
作者认为,新生儿产后头颅血肿钙化极少见,但头颅血肿侵占颅腔、压迫大脑可导致临床症状不典型的脑电图异常,因此必须严密随访此类患儿。
(浙江大学医学院附属第二医院沈醉编译,复旦大学附属华山医院王知秋教授审校,《身外资讯》主编、复旦大学附属华山医院陈衔城教授终审)
相关回顾
更多资讯请关注神外资讯微信公众号:neurosurgerynews




