病史简介
患者:男,54岁,因“头胀嗜睡1月余”入院。
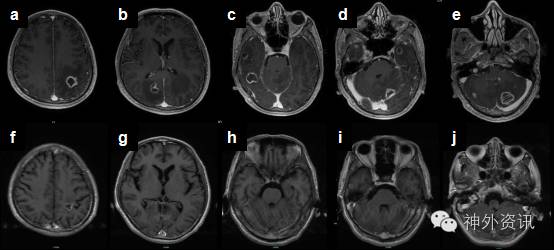
患者1月前无明显诱因下出现头胀嗜睡,伴记忆力下降,查头颅MRI提示:两侧大脑、小脑半球多发占位,环形强化,伴周围水肿,考虑转移性肿瘤(图1a-e)。
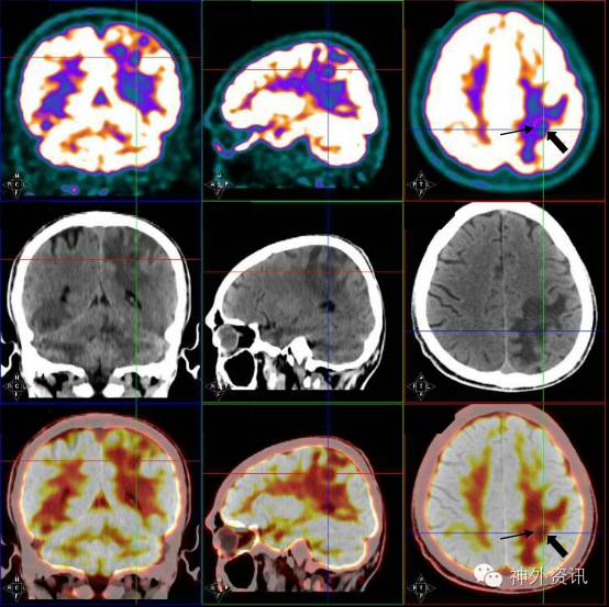
门诊进一步查PET-CT提示:①颅内多发病灶,左侧顶叶可见囊性灶,周围水肿效应明显,病灶中心及水肿带糖代谢减低,囊壁糖代谢稍增高(图2),右侧颞叶、顶叶、双侧小脑可见低密度灶,放射性摄取不高,考虑恶性病变;②右肺中叶内侧段炎症首先考虑,建议随访;③双颈部淋巴结、腹股沟淋巴结反应性增生考虑。
4月前患者体检发现白细胞减少症,白细胞2.0×109/L。行骨髓穿刺活检提示“骨髓象无典型血液病表现”。患者近期反复感冒,咳嗽咳痰,查胸部CT提示:右肺中叶炎症。近1月来患者体重减轻近10公斤。
入院查体:面容消瘦,精神较萎靡,体温正常。双肺呼吸音粗,右肺可闻及啰音。神经系统查体未见明显阳性体征。
入院诊断:①颅内多发占位:转移瘤?;②右侧肺炎
诊治过程
根据MRI等检查结果,患者颅内多发占位性病变,性质待定。拟行开颅活检术收治入院。入院后完善相关检查:血常规提示“白细胞 2.7×109/L,红细胞3.69×1012/L”,肿瘤标记物未见明显异常,胸片提示“右下肺野内带炎性渗出”,肝胆胰脾及泌尿系B超提示“肝血管瘤、前列腺增生伴钙化”,均未提示肿瘤性病变,术前四项结果初步报告提示“HIV抗体待确证”,经重复再检查后,报告“HIV抗体阳性”。结合既往病史,患者HIV感染基本明确,颅内多发占位病灶性质考虑中枢神经系统感染性病灶可能性大。经与患者家属沟通后,逐转传染病专科医院就诊。
经专科医院感染科医生会诊后,根据脑部MRI增强检查显示特点,诊断考虑“弓形体脑病”。即行血和脑脊液弓形虫抗体检查,并启动磺胺类药物治疗。虽然患者血清和脑脊液检查结果阴性,但治疗2周后患者头颅增强MRI复查提示大部分病灶消失,左侧顶叶和小脑病灶明显缩小(图1 f-j)。病人症状也有明显好转。结合MRI影像学特点及临床治疗效果,最后诊断考虑为“AIDS继发弓形体脑病”。目前在继续治疗及随访中。

图1. a-e:治疗前头颅MRI可见患者左侧顶叶,右侧枕叶,双侧颞叶及小脑多发占位,环形强化,周围可见水肿暗带;f-j:磺胺类药物治疗2周后,见左侧顶叶和小脑病灶明显缩小,其余病灶基本消失。

图2. PET-CT所示左侧顶叶病灶,考虑为囊性病灶,周围可见水肿带,周围正常脑皮质呈高代谢,SUVmax=15.1,囊壁糖代谢稍增高,SUVmax=3.7,病灶中心(粗黑色箭头)及水肿带糖代谢减低。
讨论
获得性免疫缺陷综合征(Acquired Immune Deficiency Syndrome,AIDS),又称为艾滋病,是一种因感染艾滋病毒导致人体免疫系统功能逐步衰退,从而罹患各种感染性疾病及恶性肿瘤,最终可导致患者死亡的疾病。10%-20%的AIDS以神经系统症状为首发表现[1],而高达39%-70%的患者最终出现各种神经系统并发症[2]。其中以中枢神经系统(central nervous system,CNS)机会性感染最为常见,病原学鉴别诊断包括弓形虫,结核分枝杆菌,新型隐球菌和梅毒螺旋体。肿瘤性病变亦不少见,以原发CNS淋巴瘤为主。这些疾病症状相似,影像学上往往难以鉴别[3],容易误诊,从而延误治疗。
Raymond等人分享了他们的检查流程和诊断经验,包括胸片、CD4+淋巴细胞数,血弓形体IgG水平,腰穿脑脊液墨汁染色、隐球菌抗原、细胞学、ADA、结核分枝杆菌PCR、细菌/真菌/分枝杆菌涂片和培养,血清、脑脊液梅毒螺旋体筛查,以及SPECT或PET检查。CD4+细胞数<200/ml者以弓形虫、隐球菌等机会性感染和恶性肿瘤多见,而>200/ml则以结核、细菌等非机会性感染颅为主。如影像学提示多发占位,弓形虫病首先考虑,结合抗体阳性,可启动抗弓形虫病治疗;如为孤立性病灶,需结合胸片和ADA测定,均阳性则启动抗痨治疗,若胸片阴性则进一步行PET或SPECT检查,病灶代谢增高需考虑淋巴瘤,活检并行放疗治疗,代谢减低则需结合各病原学血清、脑脊液检查结果,如全为阴性则考虑活检明确诊断(图3)[4]。

图3.AIDS患者发现颅内占位性病变的诊断流程。
弓形体脑病(toxoplasma encephalitis,TE)是AIDS患者最常见的脑内占位姓病变,在美国HIV感染患者中10%-40%弓形体血清学检查阳性,其中高达25%-50%的患者出现神经系统症状[5]。在亚洲这个比例可能相对低一些,随着抗逆转录病毒治疗的普及,TE的发病率在逐渐下降[6]。弓形虫是专性细胞内寄生虫,主要包括卵囊、组织囊和速殖子等三种形态,猫科动物为其最终宿主,由粪便排出后卵囊后,由进食受感染的猪肉、羊肉等传染给人,在肠道中释放出速殖子,通过血流播散,并在有核细胞内增殖,存活的虫体主要藏身于脑、心肌、肺、骨骼肌和视网膜中,一般处于休眠状态直至宿主死亡。据报道全世界约有1/3的人群存在弓形虫慢性感染,随着AIDS患者细胞免疫的不断衰退,尤其当CD4+T淋巴细胞数低于100/ml时,弓形虫潜伏感染被激活,转而攻击宿主,导致TE的发生[7]。TE的神经病理特征是多发坏死性脑炎,额叶和顶叶是最常受累的脑区,尤其是皮髓交界区和基底节区,颞叶、枕叶、小脑或丘脑亦可受累。头痛和发热是TE最常见的临床表现,发生率高达90%,意识模糊、嗜睡亦很常见,也有以癫痫为首发症状者,50%-60%的患者伴有神经系统阳性体征[1]。
TE患者大多数血清抗弓形体抗体阳性,亦有血清学阴性的弓形虫感染报道[8]。脑脊液化验可以正常或轻度异常,抗体检测可能有助于诊断。通过留取脑脊液标本行PCR检测弓形体基因组中一条529bp的特征性片段,其诊断灵敏度为68.8%,但特异性高达100%[2]。TE在影像学上特征性地表现为多发环状强化病灶,周围伴有水肿和占位效应,MRI检查较CT更为敏感。DWI/ADC序列可能在鉴别TE和脑脓肿、原发淋巴瘤方面具有一定的价值,研究发现TE病灶核心部分未见弥散受限,ADC值较淋巴瘤更高[3]。SPECT和PET上则表现为低代谢病灶,可与肿瘤性疾病鉴别。本病例PET-CT可见左侧顶叶病灶中心低代谢,囊壁稍高代谢。颅内炎性病变糖代谢可呈不同程度增高,急性期一般代谢不高,如进入慢性期,转为肉芽肿性病变,代谢可明显增高,此时与恶性肿瘤不易区分,因此在解读PET-CT时,需结合患者具体病情,进行个体化分析。多数情况下,依据CD4+T淋巴细胞数,血清学检查,临床表现,以及特征性的影像学表现,即可拟诊TE并启动治疗,如果经验性治疗有效,便可确定诊断,仅仅在上述证据不足而导致诊断困难时才考虑开颅活检[1]。
磺胺嘧啶联合乙胺嘧啶是TE的首选治疗方案。磺胺嘧啶具有骨髓移植、过敏反应、肝肾功能损害、溶血性贫血、胃肠道反应以及中枢神经系统毒性等副作用,高达40%的AIDS患者因无法耐受而中止治疗[9]。对于这类患者,可改用克林霉素、阿奇霉素或甲氧卞氨嘧啶联合乙胺嘧啶的治疗方案[9,10]。新近的一项RCT研究,对比了不同剂量的乙胺嘧啶联合磺胺嘧啶,以及甲氧卞氨嘧啶联合磺胺嘧啶的治疗方案,结果发现50mg/d乙胺嘧啶联合4g/d磺胺嘧啶,辅以25mg/d叶酸缓解骨髓抑制副作用,6周内的死亡率最低[11]。而对于标准治疗方案无效或无法耐受的患者,可选择阿托伐醌作为挽救治疗方案[12]。鉴于上述方案只能杀灭弓形虫速殖子,对组织囊无效,在完成急性期的六周治疗后,如贸然停药仍可导致TE复燃,因此仍然需要长期维持治疗。TE患者往往预后不佳,住院治疗期间死亡率即可高达30%,其中感觉功能改变、局灶性体征、颈部强直和CD4+细胞数低均为患者死亡的预测因子。为预防TE发病,HIV感染患者需尽早开始抗病毒治疗,尤其在严重免疫功能缺陷的患者中,可考虑预防性治疗[7]。
参考文献
1. Mamidi A, DeSimone JA, Pomerantz RJ. Central nervous system infections in individuals with HIV-1 infection. J Neurovirol. 2002;8(3):158-67. doi: 10.1080/13550280290049723. PubMed PMID: 12053271.
2. Nogui FL,Mattas S, Turcato Junior G, Lewi DS. Neurotoxoplasmosis diagnosis for HIV-1patients by real-time PCR of cerebrospinal fluid. Braz J Infect Dis.2009;13(1):18-23. PubMed PMID: 19578625.
3. Maschke M,Kastrup O, Forsting M, Diener HC. Update on neuroimaging in infectious central nervous system disease. Curr Opin Neurol. 2004;17(4):475-80. PubMed PMID:15247545.
4. Smego RA, Jr.,Orlovic D, Wadula J. An algorithmic approach to intracranial mass lesions in HIV/AIDS. Int J STD AIDS. 2006;17(4):271-6. doi: 10.1258/095646206776253390.PubMed PMID: 16595052.
5. Cohen BA.Neurologic manifestations of toxoplasmosis in AIDS. Semin Neurol.1999;19(2):201-11. doi: 10.1055/s-2008-1040838. PubMed PMID: 10718541.
6. Choe PG, Park WB, Song JS, Song KH, Jeon JH, Park SW, Kim HB, Chang KH, Oh MD, Choe KW, Kim NJ. Spectrum of intracranial parenchymal lesions in patients with human immunodeficiency virus infection in the Republic of Korea. J Korean Med Sci. 2010;25(7):1005-10. doi: 10.3346/jkms.2010.25.7.1005. PubMed PMID: 20592890; PMCID: PMC2890875.
7. Luma HN,Tchaleu BC, Mapoure YN, Temfack E, Doualla MS, Halle MP, Joko HA, Koulla-Shiro S. Toxoplasma encephalitis in HIV/AIDS patients admitted to the Douala general hospital between 2004 and 2009: a cross sectional study. BMC Res Notes. 2013;6:146. doi: 10.1186/1756-0500-6-146. PubMed PMID: 23587093; PMCID:PMC3636036.
8. Renold C, Sugar A, Chave JP, Perrin L, Delavelle J, Pizzolato G, Burkhard P, Gabriel V, Hirschel B. Toxoplasma encephalitis in patients with the acquired immunodeficiency syndrome. Medicine (Baltimore). 1992;71(4):224-39. PubMed PMID: 1355579.
9. Dannemann B,McCutchan JA, Israelski D, Antoniskis D, Leport C, Luft B, Nussbaum J, Clumeck N, Morlat P, Chiu J, et al. Treatment of toxoplasmic encephalitis in patients with AIDS. A randomized trial comparing pyrimethamine plus clindamycin to pyrimethamine plus sulfadiazine. The California Collaborative Treatment Group. Ann Intern Med. 1992;116(1):33-43. PubMed PMID: 1727093.
10. Saba J, MorlaP, Raffi F, Hazebroucq V, Joly V, Leport C, Vilde JL. Pyrimethamine plus azithromycin for treatment of acute toxoplasmic encephalitis in patients with AIDS. Eur J Clin Microbiol Infect Dis. 1993;12(11):853-6. PubMed PMID: 8112357.
11. Kongsaengdao S, Samintarapanya K, Oranratnachai K, Prapakarn W, Apichartpiyakul C. Randomized controlled trial of pyrimethamine plus sulfadiazine versus trimethoprim plus sulfamethoxazole for treatment of toxoplasmic encephalitis in AIDS patients. J Int Assoc Physicians AIDS Care (Chic). 2008;7(1):11-6. doi:10.1177/1545109707301244. PubMed PMID: 17517949.
12. Torres RA,Weinberg W, Stansell J, Leoung G, Kovacs J, Rogers M, Scott J. Atovaquone for salvage treatment and suppression of toxoplasmic encephalitis in patients with AIDS. Atovaquone/Toxoplasmic Encephalitis Study Group. Clin Infect Dis. 1997;24(3):422-9. PubMed PMID: 9114194.
(本文由浙二神外周刊原创,浙江大学医学院附属第二医院神经外科王勇杰医生整理,周景义副主任医师审校,杭州西溪医院崔亚辉医师提供部分资料,张建民主任终审)
往期回顾
浙二神外周刊(三十七)--垂体瘤伴发鞍结...
浙二神外周刊(三十六)--脑膜血管瘤病...
更多资讯请关注神外资讯微信公众号:neurosurgerynews




