今天为大家分享的是《正海-妙术视界》第二十五期,由山东大学齐鲁医院的王东海教授团队带来的颅内血泡样动脉瘤(BBA)开颅夹闭一例精彩手术视频,欢迎观看。

王东海,医学博士、博士后,齐鲁医院神经外科主任医师,硕士生导师。
从事神经外科临床工作20余年,擅长脑动脉瘤、动静脉畸形、颈动脉狭窄和烟雾病的外科治疗,近年来致力于复杂脑血管病的复合手术治疗,在颅内多发动脉瘤的介入与夹闭治疗方面有较为丰富的经验!
亚洲首台Zeego Q版金秋十月落户齐鲁,梦幻ZQ,扬帆齐鲁!

病史简介
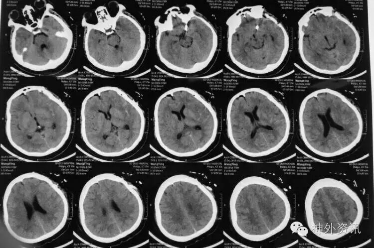
患者青年女性,3天前突发头痛伴恶心、呕吐入院。无阳性病史。Hunt一Hess分级I级。CT示SAH,左鞍上池、侧裂根部出血较多!

诊疗经过
L-ICA正位

L-ICA侧位:可见床突上段前壁一突起,结合cT出血提示BBA!

R一ICA正位未见异常!

R-ICA侧位正常

3D示BBA基底宽约3.5mm,局部突起高约1.5mm。

病人前交通开放良好,如BBA段颈A壁破损范围广,必要时可考虑ICA孤立!

术中拟采用自体硬膜包裹后夹闭!

这是夹闭后效果示意图!

术中见颈动脉前壁局部为血块覆盖,分离血块見局部血管壁正常结构破坏,似单层红色保鲜膜,累及管壁周径约1/5~1/4,IcA后方见脉前、后交通A发出,包裹术无法完成!

术中阻断IcA颅外段与同侧A1,采用一枚“L”型异形夹顺利夹闭BBA,后方脉前A通畅!

术后影像
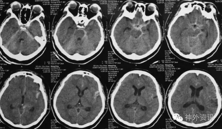
术后cT未見术区缺血,病人语言、肢体活动正常!

术后一周3-D斜位未見BBA残留、复发,IcA管腔略有狭窄,远端血流正常!

术后一w3-D造影正位所見瘤夹及远端A1、M1及以远血管正常显影!

小结
1. BBA主要为发生于颈动脉前壁无分支部位的病变,约占全部颅内破裂AN的0.5-2%。40-89%的BBA与动脉夹层有关!
2. Ishikawa报道一例BBA死后病理,見破裂点与正常血管壁区相较内弹力层、血管壁中层消失,外膜为撕裂破口散在的外膜成分,沒观察到夹层!
3. BBA高分核磁可观察到壁间血肿,有助于诊断;DsA动态检查有助于明确诊断,为金标准!
4. 介入治疗易复发,开颅治疗如颈动脉壁破损范围大可能需包裹、孤立、搭桥,并发症、二次治疗率较高!
5. 本例患者前交通开放,首选夹闭,次之孤立,由于颈动脉壁累及范围较局限,夹闭顺利!
看病需要技术,同样需要运气,本例病人病变局限,手术顺利,目前康复中!
【正海-妙术视界】往期回顾
▲ 第二十四期:徐斌教授
▲ 第二十三期:朱巍、田彦龙教授
▲ 第二十二期:王林教授
▲ 第二十一期:洪涛教授团队
▲ 第二十期:贺世明教授
▲ 第十九期:张晓华教授团队
▲ 第十八期:刘振林教授
▲ 第十七期:张义教授
▲ 第十六期:钟东教授
▲ 第十五期:陈菊祥教授
▲ 第十四期:吴哲褒教授
▲ 第十三期:洪涛教授
▲ 第十二期:佟志勇教授
▲ 第十一期:王国良教授
▲ 第十期:蒋晓帆教授
▲ 第九期:骆纯教授
▲ 第八期:张俊廷教授
▲ 第七期:Hiroyoshi Akutsu教授
▲ 第六期:朱巍教授
▲ 第五期:于加省教授
▲ 第四期:吴劲松教授
▲ 第三期:徐斌教授
▲ 第二期:贺世明教授
▲ 第一期:钟平教授
更多资讯请关注神外资讯微信公众号:neurosurgerynews





