颅底手术一直是神经外科最具挑战性的手术。颞下入路是暴露中颅窝底,到达脚间窝和间脑的常用入路。要显露足够的术野,需要牵开颞叶。目前采用锁孔颞下入路,切断颧弓,可以减少对正常脑组织的损伤。美国俄亥俄州立大学维克斯纳医学中心神经外科颅底实验室的Serdar Ercan等在尸头上解剖对比锁孔与标准颞下入路对颞叶牵拉程度和手术通道大小,结果发表在2016年9月的《J Neurosurg》在线上。
研究用标本为4具硅胶灌注的尸头。置于侧卧位,用三点头架固定后,标记“?”型手术切口,起于颧弓下缘、耳屏前1cm,向上延伸至颞上线。头皮向前方翻转,剥离颞肌翻向下方。先作锁孔入路骨窗,在颞上颌关节上方钻孔,使用铣刀尽可能向颅底切除约2.5cm×2.5cm骨瓣,此颅骨缺损处为锁孔入路的骨窗。将骨瓣向上方和后方扩大至颞鳞缝,即为标准颞下入路的骨窗(图1)。无论锁孔入路或标准颞下入路时,均可离断颧弓,颧弓的后方切口位于下颌关节前方,前方切口位于颧弓汇入颧骨处,然后连同咬肌一起翻向下方。用高速磨钻磨除颧弓深面的颞骨,向下方扩大开颅范围。马蹄形切开颞部硬脑膜,翻向下方;向上方抬起颞叶,显微镜下向深部分离,暴露目标为以下四个点围成的四边形区域:小脑上动脉与天幕缘交叉处、前床突与天幕缘交叉处、床突上颈内动脉的最远端和大脑后动脉的最远端(图2)。

图1. A.皮肤“?”型手术切口;B.锁孔入路时的2.5cm×2.5cm骨瓣,外圈较大的骨瓣为标准颞下入路骨瓣,已回纳并用钛钉、钛链固定;C.锁孔入路时切开脑膜后所见;D.标准颞下入路切开脑膜后所见,用脑压板牵开颞叶。

图2. 显露由前床突、小脑上动脉、大脑后动脉和颈内动脉围成的目标区域。
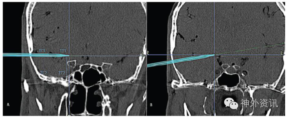
尸头每一侧均同时进行标准颞下入路和锁孔入路。显微镜下,用带有导航功能的探针定位尸头标本上的目的点,通过导航软件计算坐标和两点间距离。测量以下解剖学指标:①颞叶牵拉程度:外侧距离为骨窗处将脑牵拉向中点至同水平颅底骨质的垂直距离,内侧距离为四边形的目标区域处将脑牵拉向中点至同水平颅底骨质的垂直距离(图3);②解剖通道的容积:在目标区域的四边形范围内用棉片保护,然后往颞叶下方的解剖通道内灌注液态塑脂,待塑脂凝固后测量其体积;③手术通道容积:手术通道为手术器械在目标区域上可自由移动的空间范围,大致为一个圆锥体,底为目标区域,顶为骨窗处的暴露面积;④操作角度(angle of attack):在骨窗下缘与目标区域上缘作连线,骨窗上缘与目标区域下缘作连线,两线交角为垂直角度;骨窗前缘与目标区域后缘作连线,骨窗后缘与目标区域前缘作连线,两线交角为水平角度。

图3. 测量颞叶牵开的外侧和内侧距离。A.未离断颧弓时,颞叶牵开程度的测量;B.离断颧弓后颞叶牵开程度的测量。
锁孔与标准颞下入路的颞叶内侧与外侧距离大致相同,而离断颧弓后提供的从下方向上方暴露的视角更大,外侧距离显著缩短,起到对颞叶更大程度的保护作用。不同入路的平均解剖通道的容积大致相同,无显著性差异;但是锁孔入路的平均手术通道容积为15.875cm3,显著小于标准颞下入路的29.63cm3(p=0.026),离断颧弓后增加4.39cm3的暴露空间。对比不同入路的操作角度,锁孔入路最大的垂直角度和水平角度分别为45度和59度,而标准颞下入路的垂直和水平的操作角度,分别为89度和103度,显著大于前者(p<0.001);离断颧弓后,垂直方向上操作角度显著地增加22度(p<0.001)(表1)。
表1. 两种手术入路的解剖学指标对比。

综上所述,与标准颞下入路相比,锁孔入路并未减少对颞叶的牵拉程度,而且实际的手术操作空间和角度均受到限制。离断颧弓有利于减少颞叶外侧部分的牵拉,并可在一定程度上增加手术操作空间和垂直方向的角度。由此可见,颞下入路中并非骨窗越小越好,应根据病灶大小、部位进行合理的术前选择和设计。
(浙江大学附属第二医院王勇杰编译,复旦大学附属华山医院陈灵朝博士审校,《神外资讯》主编、复旦大学附属华山医院陈衔城教授终审)
相关回顾
更多资讯请关注神外资讯微信公众号:neurosurgerynews




