病史简介
患者:男,66岁,因“左侧手指麻木伴活动不利,进行性加重1年”入院。
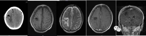
患者1年前无明显诱因下出现左侧手指麻木,中指和无名指为甚,当时无活动障碍,未予重视。后手指麻木症状逐渐加重,伴远端关节活动不利,遂于当地医院就诊,查头颅增强MRI示:右侧额顶部占位,星形胶质细胞瘤首先考虑(图1)。为求进一步治疗转来我院。
查体:左手中指及无名指麻木伴活动不利,余查体未见异常。

图1. 右侧额顶叶内见不规则囊实性占位,前内方为囊样信号影,边界清楚无强化,后外方可见一不均匀结节,T2WI混杂低信号,不均匀强化,周围可见水肿带。脑室、脑池和脑沟形态及位置无殊。中线结构未见移位。
入院诊断:右额顶叶高级别胶质瘤。
诊疗经过
经术前科室讨论,认为患者左额顶叶病灶与临床症状有关联,病灶周围水肿明显,高级别胶质瘤可能。有明确手术指征。完善术前检查后,全麻下行开颅右侧额顶叶肿瘤切除术。术中见肿瘤上方淡黄色囊液,肿瘤呈乳白色,边界清楚,质地硬,血供一般,与周围组织粘连明显(图2)。显微镜下全切肿瘤,手术顺利。

图2. 术中见右额顶叶皮质下白色钙化状肿块,前部为淡黄色囊液。
患者术后手指麻木好转,手指活动也恢复正常。术后复查头颅CT及增强MRI,提示肿瘤全切(图3)。随访3个月,临床症状基本恢复正常。

图3. 术后头颅CT及增强MRI检查示术后改变,肿瘤全切。
病理诊断
我院术后病理报告:(右额顶叶)大量钙化及骨化的结节,边界清楚,考虑钙化性假瘤(图4)。为求进一步明确病理诊断,提请美国UCLA会诊。
UCLA病理会诊意见:显微镜下检查:组织标本显示广泛钙化、纤维化和骨化及其这些区域周围的组织细胞反应和局灶的慢性炎症。钙化肿块中的一些区域可疑毛细胞性胶质突起。免疫组化显示:CD163巨噬细胞和小胶质细胞阳性;NF神经轴索阳性;GFAP阳性,主要为邻近脑组织的增生神经胶质细胞;P53罕见核阳性;IDH1 R132H阴性;ATRX阳性;BRAF阴性;Ki-67阳性,整体增值指数约1-2%(炎症细胞被标记)。
诊断意见:倾向神经轴钙化性假瘤(CAPNON)。但是放射学表现为囊性相关性不规则结节。在CAPNON中并不常见。而且伴随钙化及骨化的毛细胞性星型细胞瘤不能完全排除。未见恶性诊断依据。

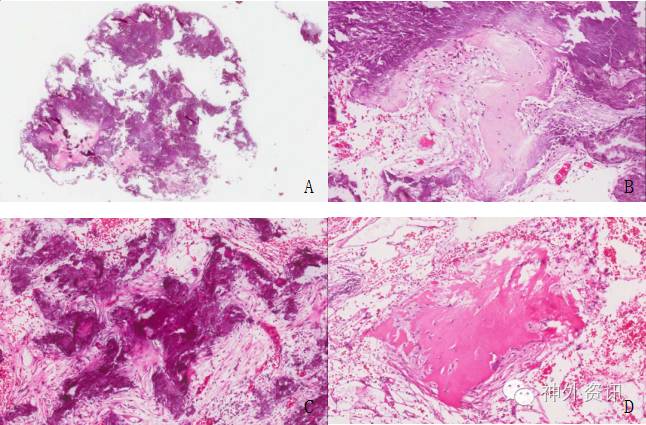
图4. 镜下病理学表现:A肿块呈边界清楚的结节状;B纤维性间质、骨化及钙化;C钙化;D骨化。
讨论
神经轴钙化性假瘤(calcifying psedoneoplasms of the neuraxis , CAPNON)又称中枢神经系统纤维骨病变,是神经系统罕见的非肿瘤性钙化灶,可发生于神经系统任何部位。1978年由Rhodes和Davis首次在尸检中描述该疾病[1],国外已报道59例[2],国内仅报道8例。但至今对于其病因及自然发展过程等知之甚少。尽管存在诸多不明确,但文献中多认为是一个缓慢生长的反应性过程,而非肿瘤性病变[3]。CAPNON的发病年龄为6-67岁不等,男性偏多,男女比例约为1.92:1。颅内CAPNON中,大部分病灶发生于轴外(66.3%,图5),椎管内则以硬膜外多见(81.48%,图6)[2]。
临床症状:临床上颅内CAPNON以癫痫伴头痛最为常见,其他可表现为偏瘫、感觉缺失、呕吐、视乳头水肿、垂体功能紊乱、发育异常、头晕、耳鸣、幻觉、听力下降、肢体麻木、颅神经影响、经静脉孔综合征等[2],椎管内则以颈部、背部疼痛及放射性疼痛为主要症状,但无特异性症状及体征。临床症状多为病变局部压迫或对邻近组织刺激引起。部分病例无任何临床症状,为体检时偶然发现。本病例临床表现为左侧手指麻木伴活动不利与病变部位相吻合。

图5. 32例颅内CAPNON相关临床资料。

图6. 27例椎管内CAPNON相关临床资料。
(图5、6资料源自于参考文献2)
影像学特征:CAPNON影像学检查中,CT上表现为实质性钙化团块,MRI上通常表现为T1WI和T2WI呈低信号,无明显强化或边缘轻度强化肿块,不伴有周围水肿[2,4,5]。Shrier等报道的1例轴外枕骨大孔区肿块显示了类似脑膜瘤样的强化[6](图 7)。Guilherme等报道的1例四叠体区CAPNON,表现为T2均匀低信号,增强后明显强化[7](图8)。Duque等报道的4例均无明显增强,病灶周围也无明显的水肿[2]。但鉴于目前的文献大多缺少完整影像学资料,其特征表现仍需进一步探究。本例当地医院就诊时直接做了MRI,无法了解其CT表现的特征,影像学表现为不规则囊实性占位,与文献报道的病例少见囊性成分不同。但就术中所见,后部病变应为钙化或骨化的高密度肿块。

图7. 枕骨大孔区CAPNON,表现为类似于脑膜瘤样强化。

图8. 四叠体区CAPNON,表现为T2均匀低信号,增强后明显强化。
病理学特征:CAPNON的典型组织病理学呈结节状,含以下成分:①软骨黏液样基质;②栅栏状排列的梭形细胞及上皮样细胞;③纤维性间质;④钙化、骨化和散在的砂粒体;⑤异物反应性巨细胞。不同的病灶中,上述成分可全部出现或部分出现[8]。
免疫组化染色中,波形蛋白、胶质纤维酸性蛋白(GFAP)、骨钙素、S-100蛋白均有阳性报道,其中以波形蛋白阳性最为典型及常见。本病例中,免疫组化显示GFAP阳性。I. Mohapatra等认为,CAPNON可能是对一系列刺激(创伤、感染、炎症等)产生的修复反应,以此来解释组织病理学特征的多样性,但尚未得到证实[9]。组织可能起源于蛛网膜或脉络膜基质的纤维母细胞,但亦未等到完全证实[1]。本例病例UCLA会诊认为伴随钙化及骨化的毛细胞性星型细胞瘤不能完全排除。对于该病例目前汇总资料亦无法完全排除毛细胞星性细胞瘤的可能。
鉴别诊断:CAPNON虽然罕见,但正确诊断仍至关重要。位于轴外颅底部的肿块首先需要与脑膜瘤相鉴别,也有一些学者认为还需要与脊索瘤、软骨肉瘤、神经鞘瘤鉴别[2]。CAPNON在T2WI上表现为特征性低信号且不伴强化,可作为与脊索瘤、软骨肉瘤和神经鞘瘤等的鉴别点。轴内的钙化团块需要与钙化性肿瘤(如神经节胶质细胞瘤、少突胶质细胞瘤)、血管性病变(如海绵状血管瘤)、感染性疾病(如结核)鉴别[10]。脑室内的团块要考虑脉络丛肿瘤、脑膜瘤、室管膜瘤的可能。椎管内需与室管膜瘤、钙化性椎间盘突出、神经鞘瘤、滑膜囊肿、砂砾型脑膜瘤等鉴别,同时还应考虑硬膜外脓肿、老年钙化性血肿的可能[11]。通过影像学尤其是MRI特征,能缩小其鉴别范围。
有文献报道,钙化性假瘤可并发室管膜瘤(图9)[4]、胚胎发育不良性神经上皮瘤[12]、脂肪瘤和胼胝体发育不良[13]等。

图9. 钙化性假瘤合并室管膜瘤。
治疗及预后:钙化性假瘤为非肿瘤性病变,且生长缓慢,条件许可情况下尽可能全切,预后良好。部分病变位置特殊、难以达到全切的病例,部分切除亦可达到良好的手术效果。目前未发现其他有效的辅助治疗方案。若病变位置特殊,或与周围神经、血管粘连明显而无法全切,则需加强随访[14]。
参考文献
[1] R.H. Rhodes, R.L. Davis, An unusual fibro-osseous component in intracranial lesions, Hum. Pathol. 9 (3) (1978) 309–319.
[2] Duque, Sara García, et al. "Calcifying pseudoneoplasms of the neuraxis: Report on four cases and review of the literature." Clinical neurology and neurosurgery 143 (2016): 116-120.
[3] F.J. Rodriguez, B.W. Scheithauer, D.R. Fourney, C.A. Robinson, Ependymoma and intraparenchymal calcifying pseudoneoplasm of the neural axis: incidental collision or unique reactive phenomenon? Acta Neuropathol. 115 (3) (2008) 363––366.
[4] 李代兵等, 神经中轴钙化性假瘤的影像特征。 中华放射学杂志 2012 年 08 (2012): 708-711.
[5] A.H. Aiken, H. Akgun, T. Tihan, N. Barbaro, C. Glastonbury, Calcifying pseudoneoplasms of the neuraxis: CT, MR imaging, and histologic features, AJNR Am. J. Neuroradiol. 30 (6) (2009) 1256–1260.
[6] D.A. Shrier, D. Melville, D. Millet, J. Qian, D. Millet, C. Nelson, et al., Fibro-osseous lesions involving the brain: MRI, Neuroradiology 41 (1) (1999) 18–21.
[7] Montibeller G R, Stan A C, Krauss J K, et al. Calcifying pseudoneoplasm of the inferior colliculus: an unusual location for a rare tumor: case report[J]. Neurosurgery, 2009, 65(5): E1005-E1006.
[8] I. Mohapatra, R. Manish, A. Mahadevan, C. Prasad, S. Sampath, S.K. Shankar, Calcifying pseudoneoplasm (fibro osseous lesion) of neuraxis (CAPNON)—a case report, Clin. Neuropathol. 29 (4) (2010) 223–226.
[9] J. Qian, A. Rubio, J.M. Powers, M.K. Rosenblum, W.H. Pilcher, D.A. Shrier, et al., Fibro-osseous lesions of the central nervous system: report of four cases and literature review, Am. J. Surg. Pathol. 23 (10) (1999) 1270–1275.
[10] F. Bertoni, K.K. Unni, D.C. Dahlin, J.W. Beabout, B.M. Onofrio, Calcifying pseudoneoplasms of the neural axis, J. Neurosurg. 72 (1) (1990) 42–48.
[11] G. Liccardo, P. Lunardi, A. Menniti, R. Floris, F.S. Pastore, B. Fraioli, Calcifying pseudo-tumor of the spine: description of a case and review of the literature, Eur. Spine J. 12 (5) (2003) 548–551.
[12] Yan, X., W. R. Marsh, and B. W. Scheithauer. "Dysembryoplastic neuroepithelial tumor and calcifying pseudoneoplasms of the neuraxis: a collision of two seizure-associated lesions." Clinical neuropathology 30.4 (2010): 197-202.
[13] Salim A A, Wilson P J, Cherukuri R K, et al. An unusual association of calcifying pseudoneoplasm of the neuraxis with interhemispheric lipoma and agenesis of corpus callosum[J]. Pathology-Journal of the RCPA, 2012, 44(7): 657-659.
[14] M.N. Stienen, A. Abdulazim, O.P. Gautschi, T.M. Schneiderhan, G. Hildebrandt, S. Lucke, Calcifying pseudoneoplasms of the neuraxis (CAPNON): clinical features and therapeutic options, Acta Neurochir. 155 (1) (2013) 9–17
(本文由浙二神外周刊原创,浙江大学医学院附属第二医院神经外科张钟圆研究生整理,虞军副主任医师审校,浙医二院病理科许晶虹副主任医师提供病理图片及诊断意见,张建民主任终审)
往期回顾
浙二神外周刊(三十七)--垂体瘤伴发鞍结...
浙二神外周刊(三十六)--脑膜血管瘤病...
更多资讯请关注神外资讯微信公众号:neurosurgerynews




