肿瘤相关性三叉神经痛(tumor-related trigeminal neurolgia,TRTN)是由肿瘤压迫三叉神经引起的继发性疼痛,约占三叉神经痛的1%-13%。手术切除肿瘤是TRTN的首选治疗方法,既能解除肿瘤占位效应又能有效地缓解疼痛。立体定向放射治疗(伽马刀)能避免开颅手术带来的风险,可以作为不适合手术治疗的患者选择。既往文献已有伽马刀对肿瘤或对原发性三叉神经痛的疗效报道。韩国首尔大学医学院神经外科的Sung Kwon Kim等开展回顾性研究,分析伽马刀是否能同时瞄准肿瘤和进入脑桥的三叉神经段(root entry zone,REZ区),以达到治疗肿瘤和继发性三叉神经痛的效果,结果发表在2016年10月的《Journal of Neurosurgery》杂志。
作者从该医疗中心1998年1月至2013年12月间的280例接受伽马刀治疗的三叉神经痛患者中,按以下标准选择研究对象:①颅脑MRI证实邻近三叉神经存在肿瘤性病变;②患侧出现突发、剧烈和电击样典型三叉神经痛;③仅进行一次伽马刀治疗,同时靶向针对肿瘤和三叉神经的REZ区;④未接受过开颅肿瘤切除术或微血管减压术;⑤颅脑MRI上REZ区能清楚显示;⑥至少随访1年者。随访并评估患者的临床预后,包括疼痛缓解程度、起效时间、并发症和辐射剂量对器官,包括脑干和第VII-VIII颅神经的损伤风险(radiation dose to organs at risk,OARs)。
最终纳入15例患者,其中男性6例,女性9例;年龄45-79岁,中位数69岁(表1)。头颅MRI提示脑膜瘤11例、前庭神经鞘瘤3例和三叉神经鞘瘤1例;肿瘤体积0.1-4.9cm3,中位数1.7cm3。靶向肿瘤的放射剂量11-15Gy,平均13Gy;靶向三叉神经REZ区的放射剂量70-85Gy,平均80Gy。随访时间12-78个月,平均为38个月。伽马刀治疗后,起初有14例(93.3%)患者疼痛缓解,截止至随访结束时为13例(86.7%)疼痛缓解。随访1、3和5年的肿瘤无复发生存率分别为93%、83%和69%。3例患者出现永久性面部麻木;此外,15例均无面瘫、味觉功能改变等VII-VIII颅神经损伤症状以及躯体肌力损害和平衡障碍(表2)。脑干组织接受12Gy放射剂量的体积≤0.24 cm3。出现面部麻木患者与无面部麻木患者的脑干OARs值无明显统计学差异(图1)。
表1. 15例患者临床状况和伽马刀治疗参数。

表2. 伽马刀治疗的临床结果。


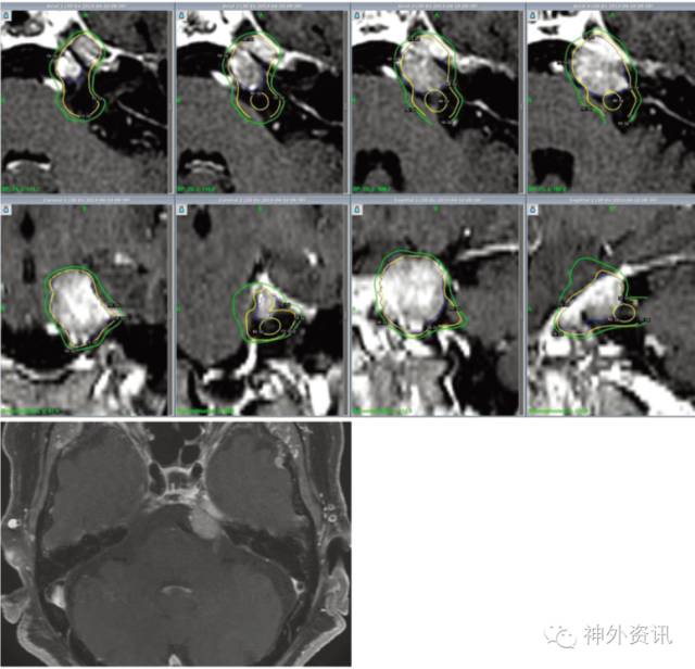
图1. 1例76岁女性患者。MRI成像显示,左侧小脑桥脑角区有1个边界清晰的肿瘤,诊断为脑膜瘤;肿瘤体积约4cm3。上图示:蓝色线条描绘肿瘤轮廓;50%等剂量线(外围黄线)的肿瘤周边放射剂量为13Gy;里面的黄线圈代表覆盖三叉神经REZ区40Gy的剂量线,REZ区的最大剂量为80Gy;绿色线圈是10Gy剂量线,代表暴露在10Gy下的脑干体积;最终,该患者的三叉神经痛由BNI(巴罗神经研究所疼痛评分)IV分下降至I分,未发生任何并发症。下图示:伽马刀治疗18个月后肿瘤无明显变化。
综上所述,对于TRTN患者,一次性同时靶向肿瘤和三叉神经REZ区的伽马刀治疗是有效的手段,能控制肿瘤的生长和三叉神经痛。
(湘南学院附属医院神经外科冯梦龙编译,复旦大学附属华山医院陈灵朝博士审校,《神外资讯》主编、复旦大学附属华山医院陈衔城教授终审)
相关回顾
更多资讯请关注神外资讯微信公众号:neurosurgerynews




