【Ref: Nguyen HS, et al. Neuroradiol J. 2016 Jul 6. pii: 1971400916658795. [Epub ahead of print]】
颅内轴外血肿(Extra-axial hematoma),包括硬膜外血肿(epidural hematoma,EDH)和硬膜下血肿(subdural hematoma,SDH)均压迫脑组织。通常手术清除血肿的依据是影像学表现,包括中线移位、血肿厚度或体积以及GCS评分和ICP监测结果。脑组织受压造成全脑CT密度的改变,美国威斯康辛医学院神经外科的Ha Son Nguyen等通过观察发现轴外血肿可导致全脑CT 密度HU值增加,经过减压手术后全脑CT密度HU值降低。结果发表在2016年7月的《The Neuroradiology Journal》上。
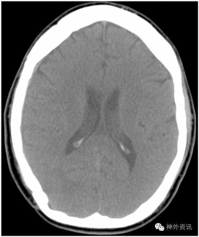
该研究纳入22例患者,平均年龄59.15岁。其中,5例急性硬膜外血肿(epidural hematoma,EDH),17例亚急性或慢性硬膜下血肿(subdural hematoma,SDH)。采集患者年龄、性别、血肿类型和部位等临床资料以及术前、术后和术后1-2月随访的脑CT图像。将CT图像资料输入OsiriX软件,应用分割图像协定法计算全脑HU值(图1、2)。通过重复测量方差分析,结果显示术前与术后(p=0.03)、随访期(p<0.1)的CT图像HU值有显著差异;而CT密度与患者年龄、性别、血肿部位及血肿类型等没有明显相关性。

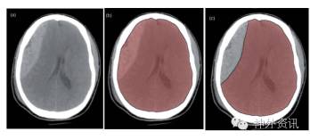
图1. 将图像分割协定法应用于硬膜外血肿患者的实例:a.右侧硬膜外血肿;b.全脑结构的图像分割;c.从图像中手工去除血肿。

图2. 硬膜外血肿清除术后随访期间的CT扫描图像。
作者指出,判断脑组织受压程度对颅内疾病的诊治十分重要,而全脑组织密度又与受压程度相关。轴外血肿造成脑组织变形,致使CT密度HU值升高,手术减压可以使CT密度HU值下降。因此全脑CT密度HU 值可以用于判断脑组织受压程度,作为手术指征之一。
(福建医科大学附属第一医院陈帆编译,复旦大学附属华山医院花玮博士审校,《神外资讯》主编、复旦大学附属华山医院陈衔城教授终审)
相关回顾
更多资讯请关注神外资讯微信公众号:neurosurgerynews




