“重庆大学附属肿瘤医院神经外科月刊”每月回顾经典病例,针对神经系统疾病诊断、治疗提出最优治疗方案。病例包括神经系统肿瘤、脑血管疾病、脊柱脊髓疾病等。科室经历20余年发展,已形成以神经外科为先导、肿瘤专科为特色、专家有特长、专病专治的特点,拥有国内外先进技术并可以保持同步发展的神经外科专科队伍。科室目前可开展精准外科体系治疗脑胶质瘤、经鼻内镜下鞍区肿瘤切除手术、复杂颅内颅内动脉瘤介入及夹闭手术、脊柱脊髓肿瘤及退行性病变微创手术、神经导航或机器人辅助下脑内组织穿刺活检技术、神经内镜下脑室内、松果体区肿物切除、神经内镜与显微镜双镜联合行大脑深部、颅底的复杂肿瘤切除等。
本期为大家分享,重庆大学附属肿瘤医院神经外科病例精彩内容:额底-纵裂入路切除鞍上型颅咽管瘤。欢迎阅读和分享!
病史摘要
![]()
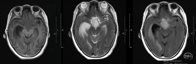
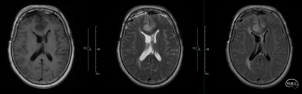
术前影像学资料
![]()





术前激素/电解质水平:术前皮质醇、性激素、促肾上腺皮质激素等垂体相关激素,电解质均未见明显异常。
术前诊断:1. 颅咽管瘤 2. 梗阻性脑积水
手术入路选择:患者病灶以囊性为主,病灶完全位于鞍上,病灶靠前,向前上方推挤,病灶主体位于中线。结合病灶实性及起源部位,以及病灶的性质,虽然经鼻具有视角广可直视,对于重要结构干扰较小的优势,常用于鞍内或鞍内-鞍上型;但是此病例主体位于鞍上,起源于垂体柄上部,开颅经额底纵裂入路能直视游离下丘脑边界,同时肿瘤上极未达到三脑室的穹顶,此入路可全切肿瘤,因此,选择开颅经额底纵裂入路。
![]()
术中情况
![]()

手术切口
点击二维码观看手术视频
![]()
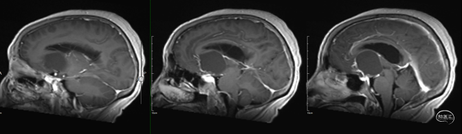
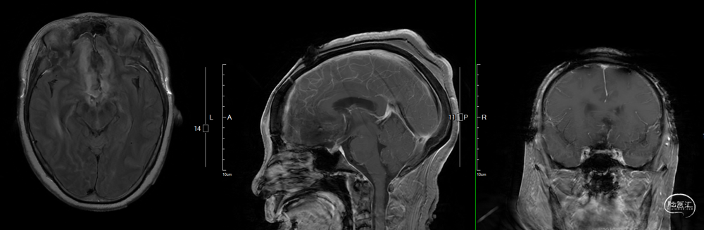
术后影像学
![]()



头部MRI提示:影像学全切,脑积水得到明显好转,实性部分未见显影,垂体组织保留良好。
![]()
术后病检结果
![]()

造釉细胞型颅咽管瘤
![]()
术后激素及电解质变化
![]()

术后激素经外源性皮质醇补充,未见明显下降,由静脉逐步过渡至口服,患者出院前未服用泼尼松片情况下,皮质醇水平正常。

术后患者Na+呈现先上升后下降过程,经过预判性予以动态调控,患者电解质逐步趋于稳定,未出现明显严重低钠血症。
术后讨论
颅咽管瘤的手术入路有哪些?
1. 颅外入路(经蝶入路):
适用于肿瘤居于中线,外侧在颈内动脉分叉部以内的情况。对于少数肿瘤累及分叉部外侧,范围较小且该部分为囊性的病灶,经蝶手术也有全切机会。
经蝶入路优势在于手术通道不经过大脑、不跨过视神经和血管间隙,可抵近观察,多数肿瘤能在直视下完成切除,对大脑、视神经和颈内动脉等重要结构干扰少,相关重要血管及神经术中损伤的机会小,相关并发症减少。
经蝶缺点:该术式操作空间受双侧颈内动脉及垂体限制,深部重要操作存在不安全因素,术后易出现脑脊液漏,且内镜下操作学习曲线长,手眼协调及术者配合需专门训练。
2. 脑外入路:
①额底纵裂入路:路径直接,沿自然裂隙直达鞍区,特别适合中线肿瘤,视野广阔,可直视下切除鞍内、三室内肿瘤,特别是直视下游离肿瘤与下丘脑界面,较其它入路盲目牵拉,大大提高了手术的安全性。该入路手术路径较短,尤其对于儿童,不适合经鼻入路,同时儿童纵裂池发达,易游离、额叶挫伤几率低。儿童额部静脉引流代偿能力强,即使电凝切断部分引流静脉,很少出现额叶水肿。但需要在第I、第IV间隙之间反复操作,应注意视交叉、前交通动脉的保护。
②经翼点入路:能处理大部分颅咽管瘤,特别是突入鞍旁、鞍背、斜坡的肿瘤,但对肿瘤突入三脑室内视野不佳,需要盲牵盲刮,可能造成下丘脑损伤。
③额外侧入路:介于额下入路与翼点入路之间,不需要磨除蝶骨嵴,较翼点入路创伤小、术式简便,暴露范围基本同翼点入路,突入第三脑室的肿瘤仍是该入路的盲区。因此,若肿瘤明显向侧方生长,可考虑侧方入路(包括翼点入路和额外侧入路)。
3. 脑实质入路(经侧脑室、经胼胝体等入路):
脑实质入路不符合颅外肿瘤应使用颅外入路的原则,相对于其他入路而言,会给神经系统带来更多的损伤。经胼胝体-穹隆间入路:只有肿瘤巨大、广泛侵袭第三脑室、肿瘤顶壁下丘脑结构受挤压变菲薄、甚至消失时,手术才相对安全;若肿瘤轻微突入第三脑室,严禁选择此入路,以免造成严重的下丘脑损伤。
手术入路的选择应采取个体化原则,一方面取决于主刀医生的擅长及经验,另一方面术前需准确评估肿瘤的起源部位及生长方向以明确肿瘤分型,从而提高肿瘤的全切率。
额底纵裂入路与前纵裂入路的区别是什么?
额底纵裂入路可理解为“额极底部之前纵裂”,它仅是前纵裂的额底部分,占比很小。此入路特别强调了骨窗前下缘不光要低至眉弓水平,还要向前下扩展至(或接近)鼻根部。如此一来,它就获得了由下至上,“绕过”胼胝体膝部,直抵三室穹顶的手术轴向。由于其居于前纵裂之最底处(额极底部),路径是进入脑底前中央空间诸多入路中最为深长的,加之,额底纵裂区域非常狭窄且双侧额底纵裂面间紧密相合少有间隙,故进入困难。但因轴向居中,这样就有了非常充分的上下左右视轴,能对深在相对宽绰的脑底前中央空间及广义脑底前中央空间之进行全域无盲区的直视观察,从而彻底消除了翼点死角。
对于此病例,主要存在以下三个方面思考和总结:①实性部分位于垂体柄,因此术中应沿垂体柄长轴打开垂体柄进一步探查垂体柄,做到全切肿瘤,减少术后复发,同时可减少垂体柄损伤,进而减轻术后激素和电解质紊乱;②打通脑脊液循环,解决脑积水,切除囊性占位后,一般情况下脑积水会得到好转,为避免术后脑积水缓解不明显,术中可行三脑室底造瘘,进一步确保术后患者脑积水得到缓解;③经额底纵裂入路应在术中尽可能保护视神经,视交叉,前交通动脉,脑室壁及丘脑组织,在直视下锐性分离囊壁,同时减少双极的使用,减少热传导带来的副损伤。
参考文献
[1]Prieto R, Juratli TA, Bander ED, Santagata S, Barrios L, Brastianos PK, Schwartz TH, Pascual JM. Papillary Craniopharyngioma: an integrative and comprehensive review. Endocr Rev. 2024 Oct 1:bnae028. doi: 10.1210/endrev/bnae028. Epub ahead of print. PMID: 39353067.
[2]Prieto R, Pascual J M, Rosdolsky M,et al.Craniopharyngioma adherence: a comprehensive topographical categorization and outcome-related risk stratification model based on the methodical examination of 500 tumors[J].Neurosurg Focus,2016,41(6):E13.
[3]Marcus HJ, Rasul F T, Hussein Z, et al.Craniopharyngioma in children:trends from a third consecutive single- center cohort study[J].J Neurosurg Pediatr,2019:1-9.
[4]Altay T, Couldwell WT.The frontotemporal (pterional) approach: an historical perspective[J].Neurosurgery,2012,71(2): 481-91; discussion 491-2.
[5]Yasargil M G, Curcic M, Kis M, et al.Total removal of craniopharyngiomas. Approaches and long-term results in144 patients[J].J Neurosurg,1990,73(1):3-11.
[6]Yasargil M G.Microneurosurgery of CNS tumors[J],1996
专家简介
杨海峰 主任医师
● 重庆大学附属肿瘤医院神经外科科主任,主任医师,医学博士,硕士研究生导师
● 主要从事神经系统肿瘤的显微手术及内镜手术治疗及恶性脑肿瘤发生发展机制研究
● 近5年主持国家及省部级课题5项,发表高水平SCI文章20余篇
● 学会任职:中国抗癌协会神经肿瘤专委会常委,中国抗癌协会肿瘤神经病学专委会常委,中国抗癌协会脑胶质瘤专委会委员,中国医师协会脑胶质瘤专委会委员,中国临床肿瘤学会神经肿瘤专委会委员,中国解剖学会神经解剖专委会委员,中国医学装备协会神经外科分会委员,中国医药创新促进会脑神经药物临床研究专业委员会委员,中国脑膜瘤多学科诊疗协作组专家委员会委员,重庆抗癌协会脑胶质瘤专委会主任委员,重庆市医药生物技术协会神经外科专委会主任委员,重庆市医师协会脑胶质瘤专委会副主任委员,重庆抗癌协会神经肿瘤专委会副主任委员,中国临床医生杂志审稿专家,美国Cleveland Clinic访问学者
黄加尚 住院医师
● 重庆大学附属肿瘤医院神经肿瘤科住院医师,医学硕士
● 重庆市生物医药技术委员会神经外科专委会委员,以第一作者或参与发表SCI 3篇,CSCD1篇
● 擅长神经胶质瘤多模态术中精准导航,术中唤醒手术及术中电生理监测
科室简介

01
科室简介:
02
科室人员构成:
03
科室特色:
(1)现代精准外科体系治疗脑胶质瘤;
(2)经鼻内镜下鞍区肿瘤切除手术,包括常见垂体腺瘤、颅咽管瘤、鞍结节脑膜瘤、侧颅底肿瘤等;
(3)复杂颅内颅内动脉瘤介入及夹闭手术;
(4)神经导航或机器人辅助下脑内组织穿刺活检技术;
(5)神经内镜下脑室内、松果体区肿物切除以及神经内镜下三脑室底造瘘技术治疗脑积水;
(6)脊柱脊髓微创切除及固定手术;
(7)神经内镜与显微镜双镜联合行大脑深部、颅底的复杂肿瘤切除。
点击上方二维码
查看重庆大学附属肿瘤医院神经外科更多内容
声明:脑医汇旗下神外资讯、神介资讯、神内资讯、脑医咨询、Ai Brain 所发表内容之知识产权为脑医汇及主办方、原作者等相关权利人所有。









