
病例展播
病例信息
患者:男性,38岁,“五一”来京旅游。
主诉:突发意识障碍3小时于2024-05-04 03:30就诊我院急诊。
现病史:患者入院前3小时在酒店洗澡时无明显诱因突发意识障碍,呼之不应,无呕吐,无肢体抽搐,急诊120就诊我院,急诊行一站式卒中影像,CT未见脑出血,CTA提示基底动脉顶端闭塞,CTP提示后循环缺血性改变,向患者家属交代病情后急诊行颅内动脉取栓术。
既往史:既往体健,烟酒史不详。
入院查体:血压 150/73mmHg,心率70次/分,律不齐。神志昏迷,双侧瞳孔不等大,右侧4mm,左侧2mm,右侧反射消失,左侧光反射迟钝,疼痛刺激可见右侧肢体收缩,左侧肢体无明显活动。NIHSS 19分。
术前影像
术前CT未见出血,pc-ASPECT 10分。

术前CTA:基底动脉顶端闭塞。


术前CTP提示后循环缺血,Tmax、MTT延长,CBF、CBV未见明显改变。




临床诊断
急性脑梗死
基底动脉闭塞
心房颤动
术前讨论
➢手术策略
根据患者病史及影像学表现,基底动脉顶端栓塞可能性大,拟采用抽吸取栓术,如不成功则支架取栓辅助甚至双支架取栓。
➢手术风险
主要是栓子逃逸、穿支破裂、取栓不成功等。
手术器械
6F长鞘
6F 125cm 通桥银蛇®颅内支持导管
0.021微导管
通桥蛟龙®取栓支架 4×30mm
治疗过程
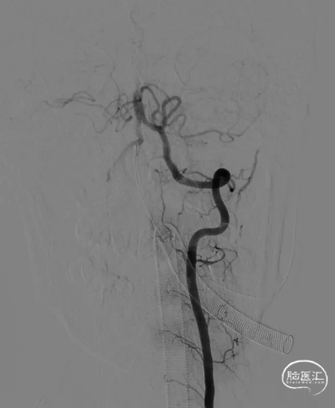
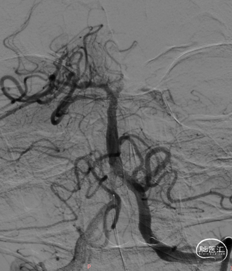
左侧椎动脉造影。


6F 125cm 通桥银蛇®颅内支持导管到位。

6F 125cm 通桥银蛇®颅内支持导管抽吸过程。

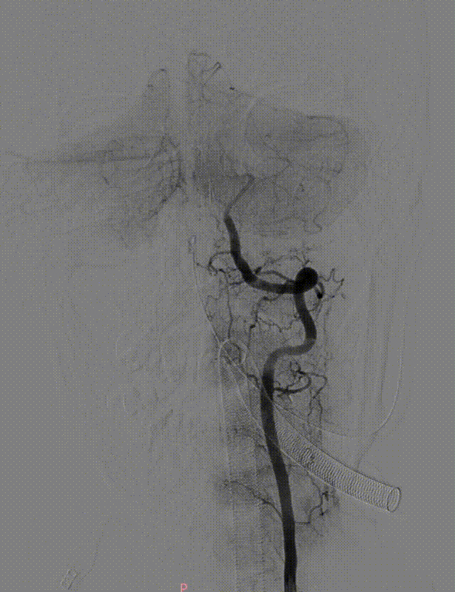
负压抽吸2次,基底动脉顶端部分再通,见栓子向双侧大脑后动脉逃逸。


微导丝携带微导管至右侧大脑后动脉P3段,抽拉结合取栓一次见右侧大脑后动脉再通。



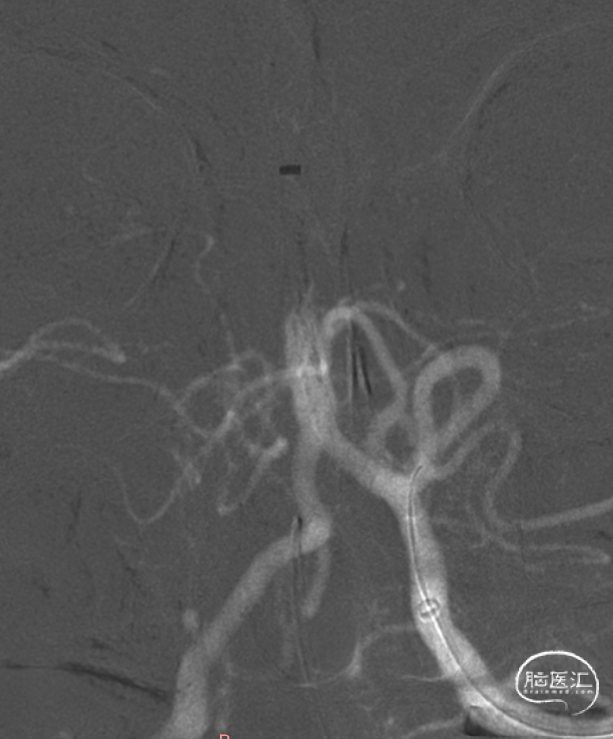
微导丝携带微导管至左侧大脑后动脉P3段,抽拉结合取栓一次见左侧大脑后动脉再通。


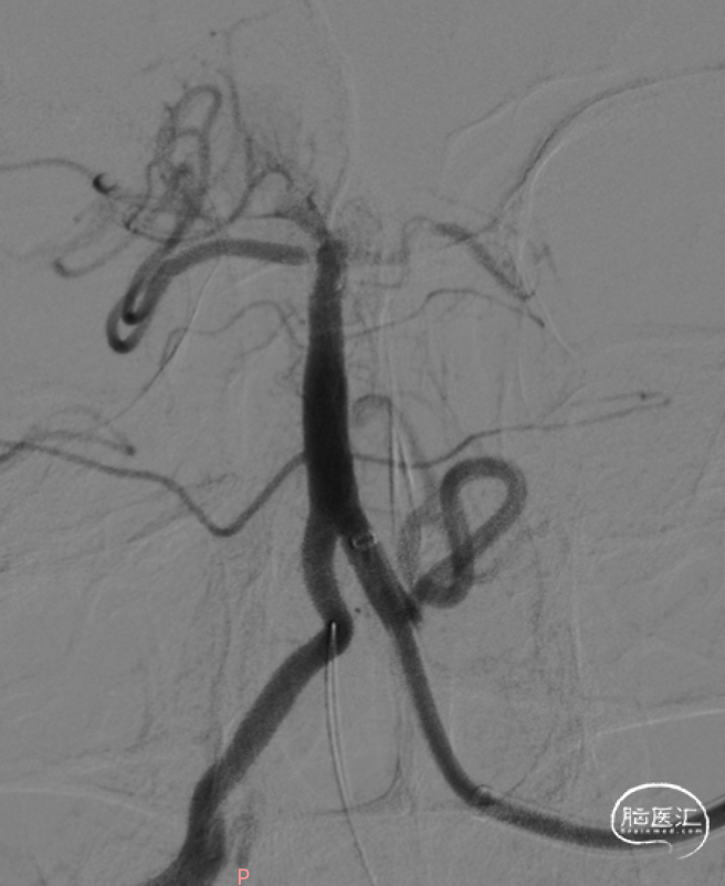
左侧大脑后动脉P1段发白,观察20min较前好转,血流状态维持良好,结束手术。


病例小结
青年卒中,突发起病,无明显动脉硬化高危因素,从发病机制考虑,栓塞可能性大。越来越多的证据证实机械取栓在急性后循环缺血性卒中的作用,对于后循环取栓抽吸取栓与支架取栓均可。
但抽吸取栓更简洁,对于路径良好的患者越来越多证据证实抽吸取栓的优势,操作时间短,穿支出血并发症少。对于抽吸取栓,大腔中间导管效力更高,6F 通桥银蛇®颅内支持导管管腔大,抽吸效力更高。术中遇到抽吸取栓不成功时,需及时更换手术策略尤为重要,快速开通血管最关键。
指导术者
汪阳
首都医科大学附属北京朝阳医院
主任医师,医学博士,教授,博士,硕士研究生导师。
中华医学会神经外科分会神经介入学组委员。
中国医师协会神经外科医师分会青年委员会副主任委员。
中国医师协会介入医师分会神经介入学组委员。
国家卫健委能力和继续教育委员会委员。
中国研究型医院学会脑血管病学专业委员会常委。
微侵袭神经外科分会委员。
中国卒中学会复合介入神经外科分会常委。
中国医促会神经外科分会委员海峡两岸医药卫生交流协会神外专委会脑血管病学组委员。
北京神经内科学会神经介入分会副主任委员。
本期术者
贾建文
首都医科大学附属北京朝阳医院
北京朝阳医院神经外科医学博士。
北京医师协会神经介入委员会委员。
中国老年学和老年医学会脑卒中分会委员。
从事神经介入工作12年,主要从事缺血性脑血管疾病的介入诊疗工作,对出血性脑血管病的介入治疗有扎实的临床经验。近两年主要从事急诊脑动脉取栓工作。

本内容仅供医学专业人士作线上专业交流
本内容不向非医学专业人士开放,敬请理解
讲课内容仅代表专家个人观点,非通桥医疗推广产品

声明:脑医汇旗下神外资讯、神介资讯、脑医咨询、Ai Brain 所发表内容之知识产权为脑医汇及主办方、原作者等相关权利人所有。
投稿邮箱:NAOYIHUI@163.com
未经许可,禁止进行转载、摘编、复制、裁切、录制等。经许可授权使用,亦须注明来源。欢迎转发、分享。
投稿/会议发布,请联系400-888-2526转3。







