

术者寄语
本病例中,在面对眼动脉段角度较大的情况时,心玮吞川颅内血栓抽吸导管的柔韧性确保了在推送过程中不会遇到显著的阻力,有效地促进了血管的重新通畅。
本期病例
病历简介
患者:女性,88岁。
主诉:突发右侧肢体无力2小时。
现病史:缘于入院2小时前无明显诱因发现右侧肢体无力,右侧肢体完全不能活动,伴口角歪斜,伴言语障碍。
既往史:冠心病病史,平素口服阿司匹林、阿托伐他汀治疗;高血压病史。
入院查体:体温 36.5℃,脉搏 110次/分,呼吸 19次/分,血压 153/90mmHg。NIHSS 16分;发病前mRS 0分,发病后mRS 5分。运动性失语,双眼球活动向左侧凝视,右侧鼻唇沟浅,右侧口角低,伸舌偏右,右侧病理征阳性。
影像信息




动脉早期冠状位残端

动脉早期水平位残端

动脉晚期冠状位脑膜支逆流

动脉晚期矢状位脑膜支逆流





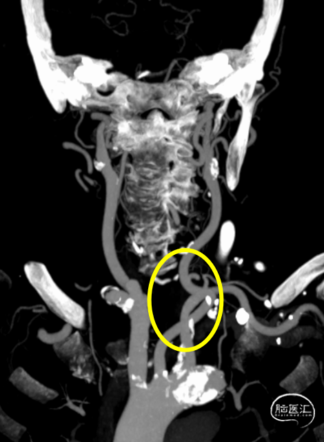
颈总动脉迂曲
颈内动脉
术前诊断
急性左侧大脑中动脉闭塞脑梗死
手术方案
路径迂曲,可予6F神经系统长鞘建立通路。
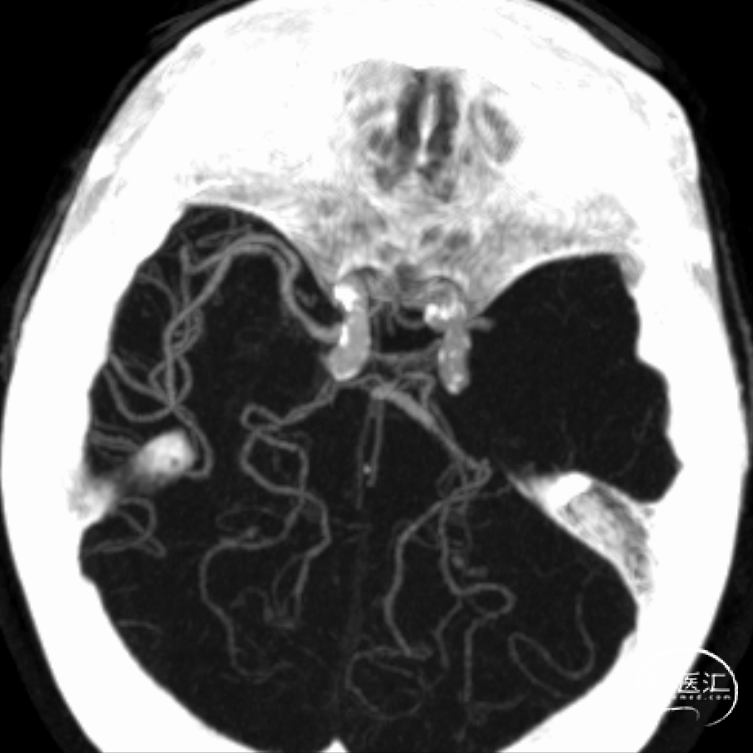
残端平齐,造影剂渗透征,晚期分叉处不能显影,考虑栓塞性病变,眼动脉段角度大,可尝试大内径导管先抽吸或抽拉结合。
术中器械
6F长鞘
6F心玮吞川抽吸导管
0.018inch支撑导丝
手术过程
正侧位造影。

正位

侧位
6F长鞘送至左侧颈内动脉C1段近端,6F心玮吞川抽吸导管内衬0.018inch支撑导丝,顺利通过C1迂曲段。

6F心玮吞川抽吸导管尝试“裸行”通过眼动脉,但于眼动脉开口处受阻。

神经导丝先送至M2段,抽吸导管沿着微导丝顺利通过眼动脉段。
6F心玮吞川抽吸导管靠近闭塞段。
6F心玮吞川抽吸导管负压下跟进。
撤出导丝。

6F心玮吞川抽吸导管继续抽吸2分钟。
负压下回撤6F心玮吞川抽吸导管。
术后影像
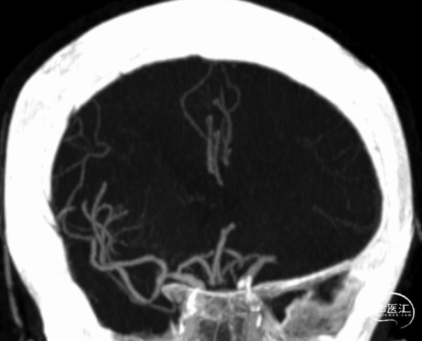
术后正侧位造影

正位

侧位
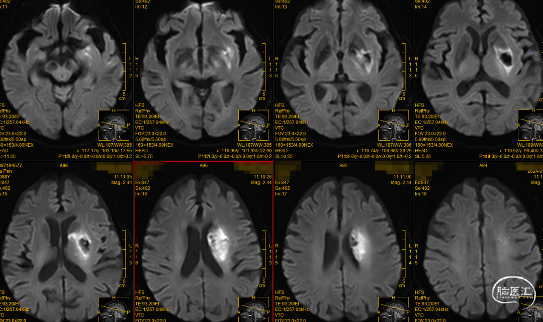
术后复查

颅脑CT平扫


CTA


CTP

颅脑MRI
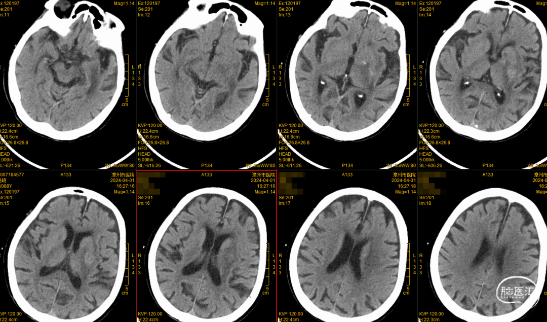
出院前复查
复查颅脑CT提示渗血吸收,予5mg利伐沙班抗凝。

出院情况
神志清楚,言语不利,右侧面舌瘫,右侧偏瘫,右侧上肢肌力2级,右侧下肢肌力3级。
病例总结
多模式影像学评估可协助血管闭塞性质的判断,特别是多时相CTA扫描;
对于迂曲路径,神经系统长鞘配合0.018inch支撑导丝可建立稳定的通路,为抽吸导管递送打好基础;
通过性良好的大内腔抽吸导管可助力快速再通。
术者简介
*仅供医疗专业人士参考
心玮医疗
HEART CARE
上海心玮医疗科技股份有限公司(股票代码:06609.HK)成立于 2016 年,公司致力于提高创新医疗技术的可及性,守护生命健康。七年时间,心玮医疗在神经介入领域开拓性地打造了国内卒中治疗及预防一站式解决方案,拥有从急性缺血性卒中和神经血管狭窄治疗、缺血性卒中预防、出血性卒中治疗到介入通路器械的全产品管线,申请专利超过300项,销售渠道覆盖了国内除香港和澳门地区以外的全部省份。


声明:脑医汇旗下神外资讯、神介资讯、脑医咨询、Ai Brain 所发表内容之知识产权为脑医汇及主办方、原作者等相关权利人所有。
投稿邮箱:NAOYIHUI@163.com
未经许可,禁止进行转载、摘编、复制、裁切、录制等。经许可授权使用,亦须注明来源。欢迎转发、分享。
投稿/会议发布,请联系400-888-2526转3。







