导语
血流导向密网支架的出现
对于一些难治动脉瘤
是最好的治疗方案
Surpass Evolve
使用简单、导流卓越、极致贴壁
为医生提供FDS有力武器
史赛克与中国医生一起
提供全面微创卒中解决方案
致力改善患者的临床预后
术者简介
王国卿
滨州市人民医院
教授,主任医师,滨州市人民医院神经内科主任
中国卒中学会神经介入分会全国青年委员
山东省滨州市神经内科专业委员会主任委员
国家神经介入建设中心和山东省神经介入规范化培训基地滨州市人民医院负责人
主要从事脑血管病、脑微循环的研究,尤其擅长脑、脊髓血管疾病的介入诊疗工作,包括脑梗死超早期血管内治疗、脑血管狭窄、动脉瘤、血管畸形、静脉窦血栓、狭窄等疾病的介入诊断与治疗
2008开始独立开展脑血管疾病的介入诊疗工作,目前每年实施介入手术达1000台次
课题“ANGEL”滨州分中心和国际“DIRECT”研究滨州分中心负责人
在《BioMed Research International》《中华神经科杂志》、《中国病理生理杂志》、《中华神经医学杂志》、《中国微循环杂志》、《国际脑血管病杂志》等国家级期刊发表二十余篇论文,并有7篇文章被SCI收录,主编或参编专著5部
病例简介
患者基本信息
患者:57岁,女性。
主诉:查体发现动脉瘤1月余入院。
既往史:既往无高血压、糖尿病及其它病史。
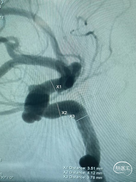
3D造影


影像显示:眼动脉段不规则动脉瘤。
8F Guiding
Catalyst5 115cm中间导管
XT-27微导管
Synchro2 200cm导丝
Surpass Evolve血流导向密网支架 4*25mm


1、Catalyst5中间导管到达海绵窦段,微导丝引领XT-27微导管到达M1的远端,Evolve密网支架通过XT-27到位后回撤释放张力,原位释放密网支架。


2、支架头端显示打开不良,固定支架导丝,轻轻推送支架,支架头端打开良好。
3、多体位造影,确认支架头端没有覆盖脉前动脉。


4、中间段过弯,使用推拉结合技术,确保密网支架贴壁更好。
5、近端密网支架释放:固定支架导丝,回撤微导管释放完成,不需要施加推力,XT-27微导管通过支架导丝向上跟进,旋转推挤确保密网支架贴靠更佳。

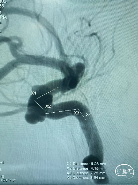
术后正位造影

术后侧位造影
造影剂滞留。
Evolve密网支架输送顺滑,无阻力,到位容易。
支架的径向力强,打开容易,贴壁好。
64根网丝编织,导流效果好,预后佳。
点击或扫描上方二维码
查看更多“介入”内容