简要病史

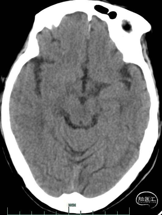
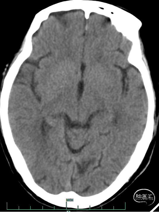
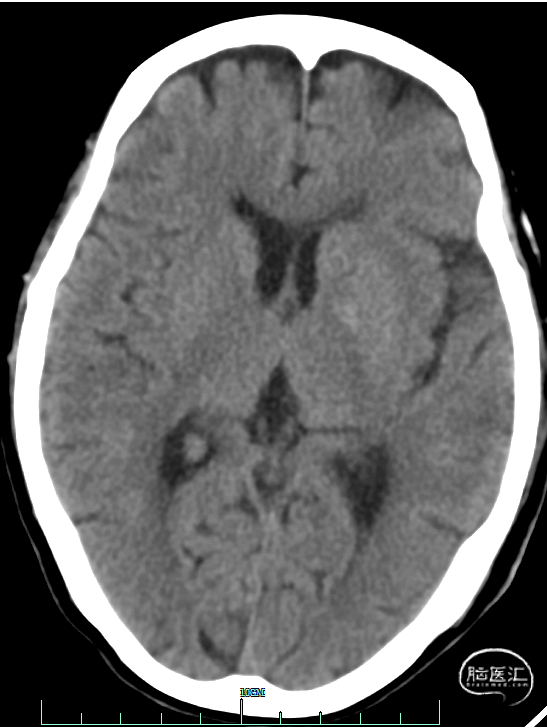
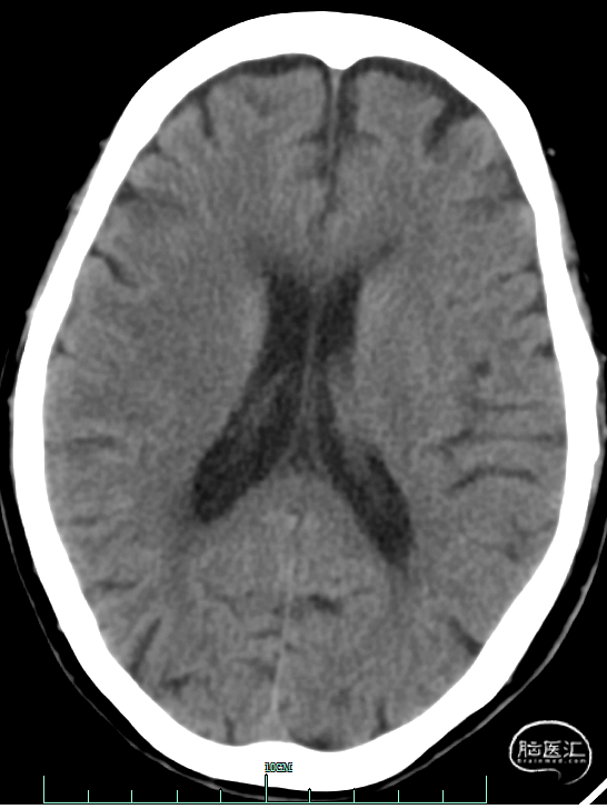
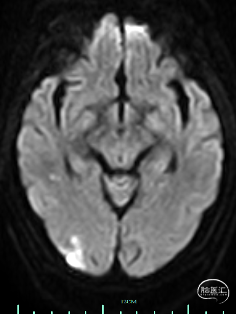
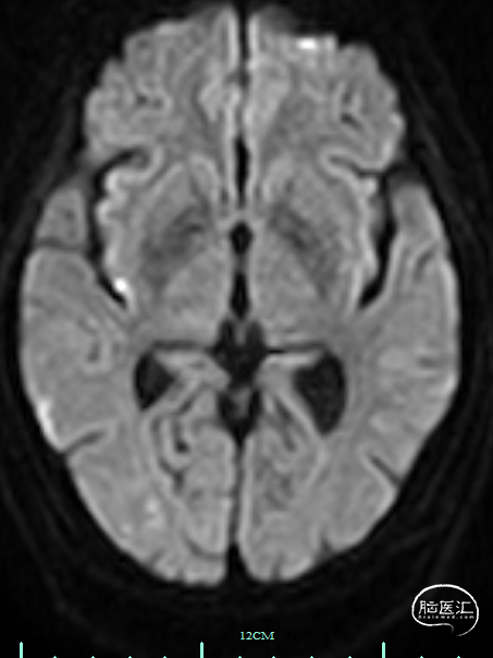
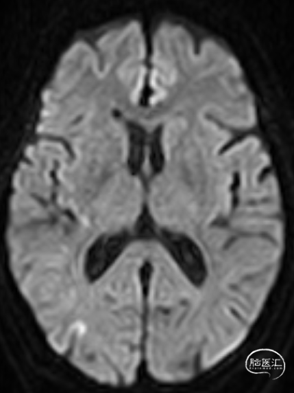
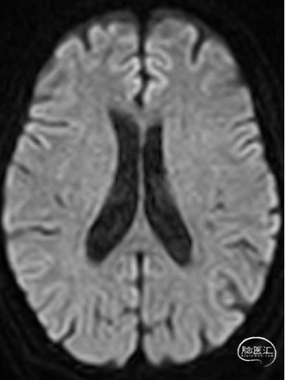
术前影像资料








手术器械:

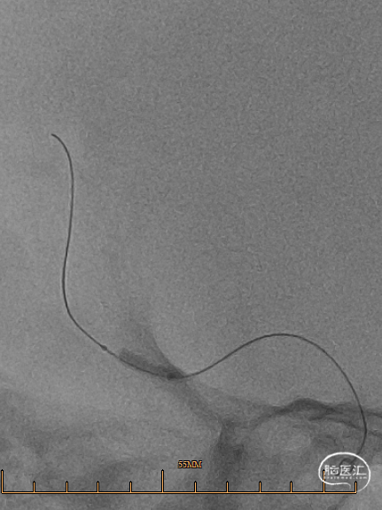
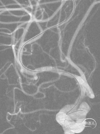
诊疗经过









小结

术者介绍
王锦华
宁波市北仑区人民医院
主任医师,从事神经内科临床工作18年,曾在浙江大学附属第一医院神经内科进修脑血管介入技术
擅长:全脑血管造影、脑动脉机械取栓术、颅内动脉血管成形术,颈内动脉支架成形术、椎动脉支架成形术、颈内动脉慢性闭塞再通术等,发表SCI及论文多篇
倪华夫
宁波市北仑区人民医院
主治医师,硕士,从事神经内科临床工作10年,曾在浙江大学附属第一医院神经内科进修脑血管介入技术
擅长:全脑血管造影、脑动脉机械取栓术、颈内动脉支架成形术、椎动脉支架成形术等
指导专家
方兴
宁波市北仑区人民医院
神经内科主任,硕士,中共党员
宁波市北仑区人民医院神经内科主任
浙江省医学会神经病学分会神经介入学组委员
浙江省医师协会神经介入分会委员
浙江省卒中学会神经内科分会委员
宁波市医学会神经病学分会委员
宁波市医学会老年医学分会青年委员
熟练掌握神经科常见病如脑血管病,慢性头痛头晕,脊髓疾病,痴呆,癫痫等诊治,擅长脑血管病介入诊疗技术,率先在北仑地区开展脑血管造影及颈动脉、椎动脉支架植入术,成功开展急性脑梗死桥接取栓和颅内静脉窦血栓介入治疗等新技术。以第一作者发表SCI及一级期刊论文5篇,主持省卫生厅课题一项,先后获得北仑科技进步一等奖2项,二等奖1项
点击或扫描上方二维码
查看更多“介入”内容