首页
资讯
会议
病例
云课堂
全景手术
学术资源
投审稿
文章专栏
指南共识
精选编译
科室主页
评分工具
文献速览
招聘培训
藏书阁
话题圈子
临床招募
手术复盘
器械百科
产业对接
AI问答
亚专业
医药器械
更多
关于我们
搜索历史
清空
热门搜索
发布
平台广播
0
今日早读
0
赞和收藏
0
评论
0
新增粉丝
0
品牌消息
0
邀请回答
0
周刊
0
登录
EN
评论
1
2
分享至
微信扫码分享
2023年06月04日发布 | 206阅读
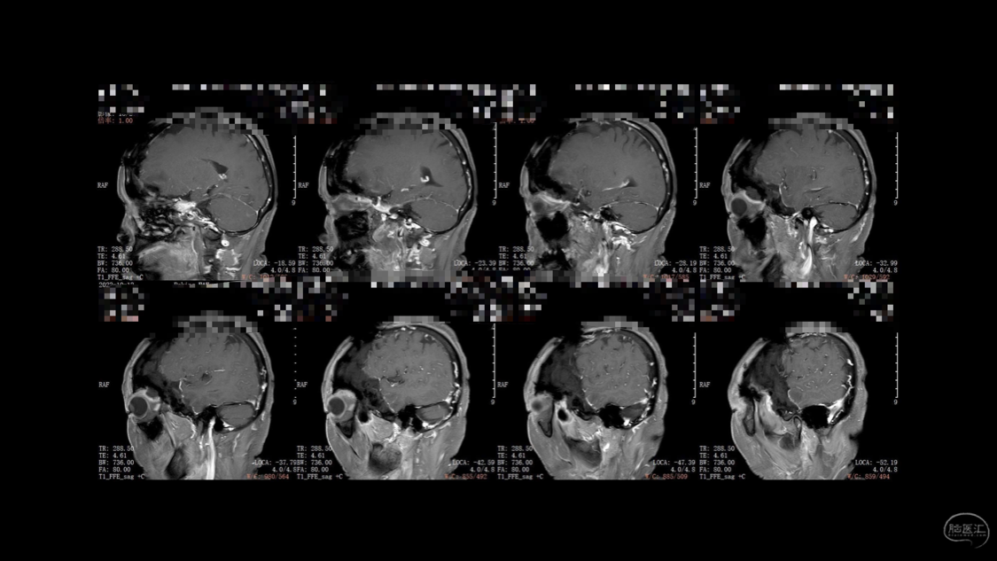
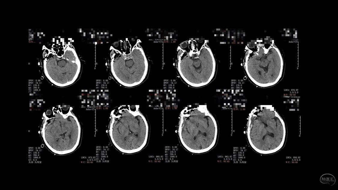
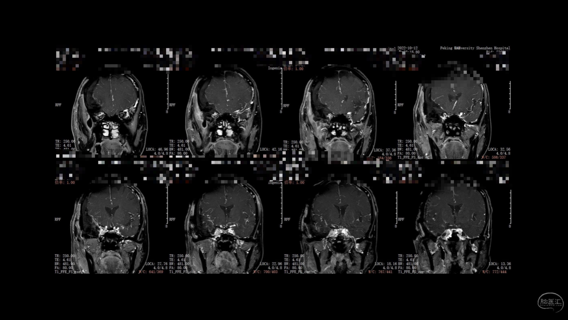
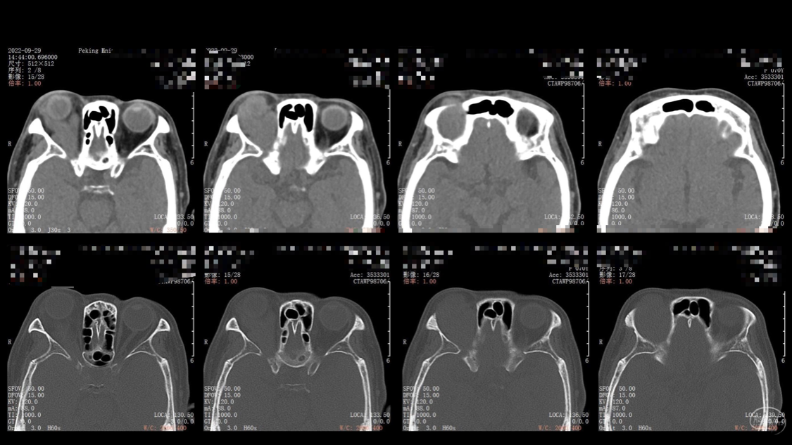
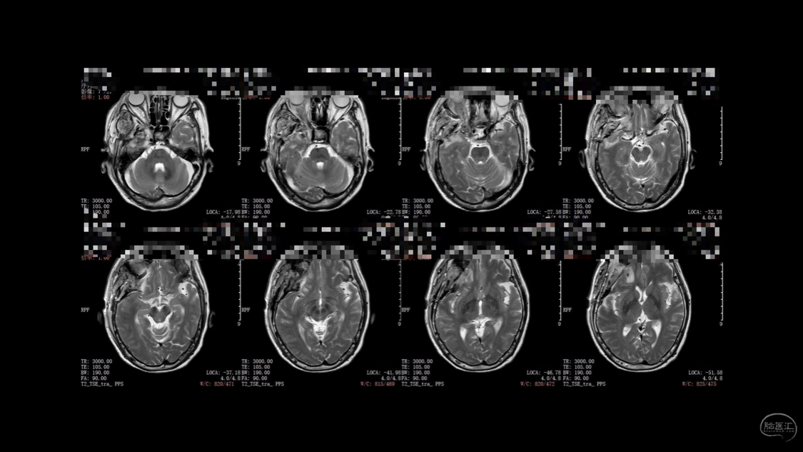
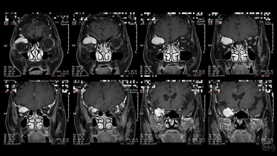
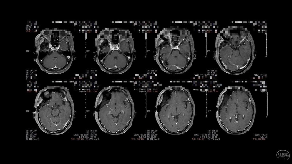
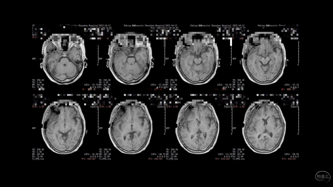
脑肿瘤-脑膜瘤
陈保东教授手术作品-右眶内及海绵窦旁孤立性纤维瘤
李益飞
广东省深圳市北京大学深圳医院
3
发布
11
粉丝
0
获赞
个人主页
关注
李益飞
广东省深圳市北京大学深圳医院
关注
达人收藏
达人收藏
蒋忠华
以下达人已收藏
查看更多
分享至:
微信扫码分享
评论
1
2
最新评论
登录
发表你的评论
登录
发表你的评论
来自于专栏
陈保东教授手术作品
479阅读 | 2内容
进入专栏
关键词搜索
海绵窦
脑医汇
App