患者YJS,男性,75岁,因反复头晕1月,加重2天入院。既往脑梗死,高血压病病史多年。患者既往住院发现右侧颈内动脉狭窄,未处理。此次入院后彩超提示右侧颈内动脉起始部重度狭窄,局部峰值血流400cm/s,左侧颈内动脉峰值血流220cm/s。
头颅CT示双侧半球多发陈旧性腔梗。
MRA示颅内段血管正常。
核磁示双侧半球多发陈旧性腔梗。
结合病史及影像,考虑患者颈内动脉狭窄,为进一步明确诊断,拟行脑血管造影评估。
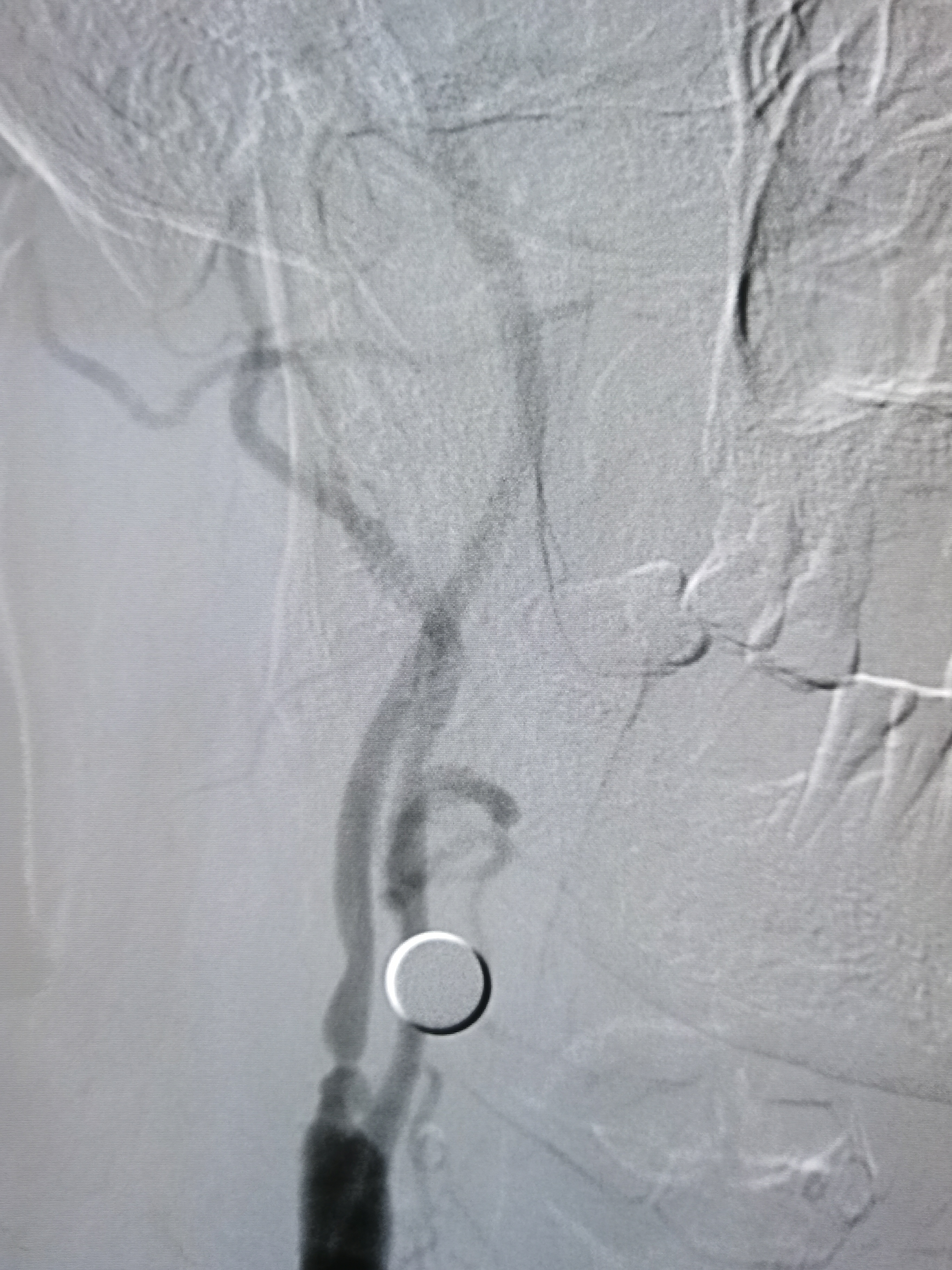
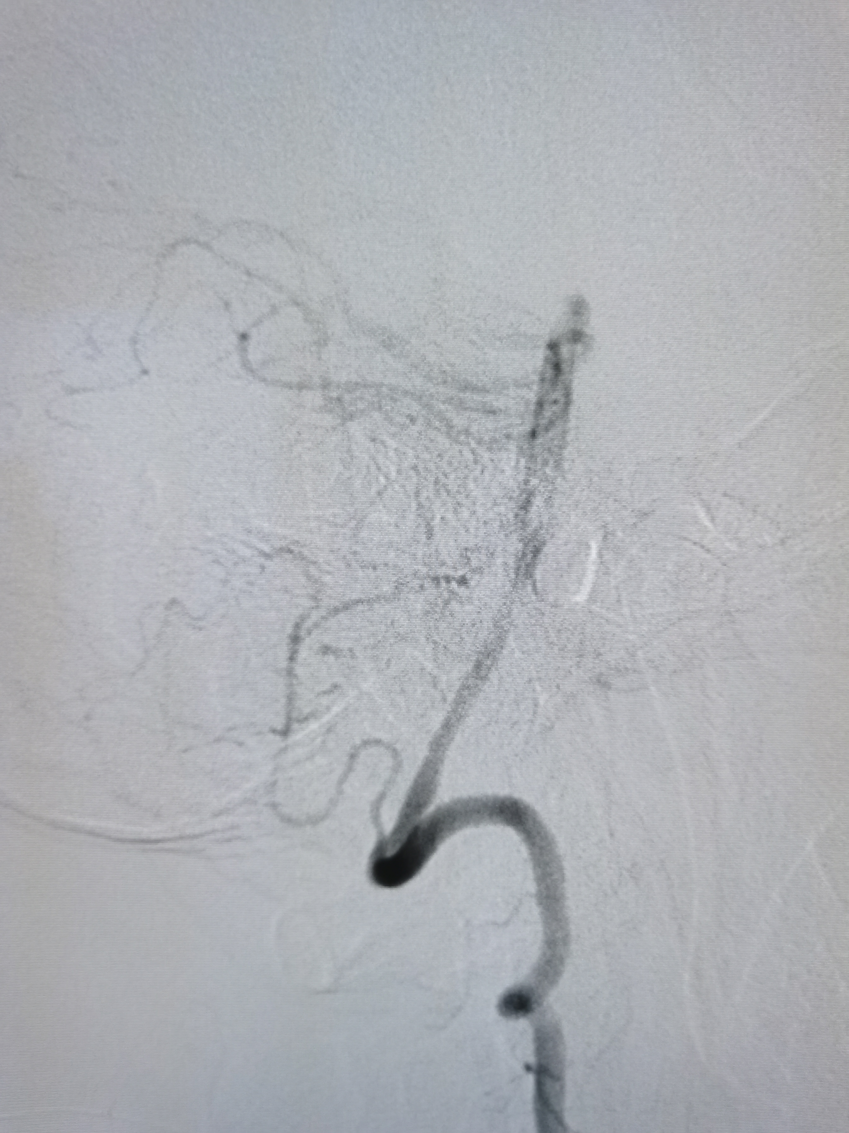
右侧颈内动脉起始部重度狭窄。
右侧颈内动脉起始部重度狭窄。
颅内段显影可。
右侧孤立大脑中动脉,M1轻度狭窄。
左侧颈内动脉狭窄伴溃疡形成。
颅内段显影可。
双侧大脑前动脉共干。
左侧锁骨下动脉硬化,左椎优势。
基底动脉正常。
右椎动脉劣势。
颅内段显影可。
造影分析:
患者双侧颈内动脉狭窄,右侧线性狭窄,左侧重度狭窄伴溃疡形成,均局部介入治疗指征,是分期处理还是同期处理双侧颈内动脉狭窄均有优缺点,综合分析评估后拟同期处理,术后便于管理血压。
8F导引导管到位右侧颈总动脉末端,明确狭窄。
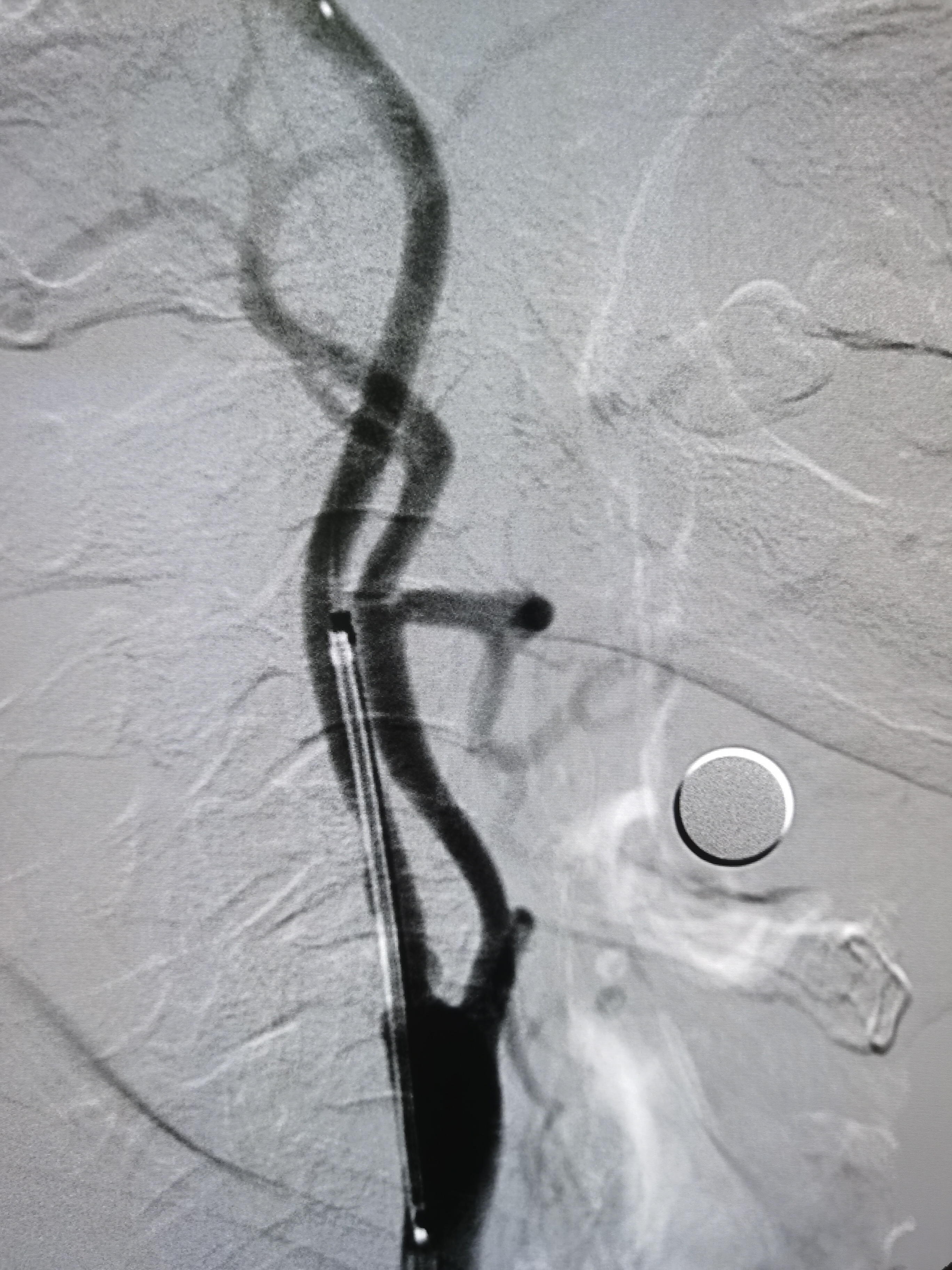
微导丝顺利通过病变,交换入远端保护伞。
2/20,4/30球囊渐进性预扩后狭窄改善。
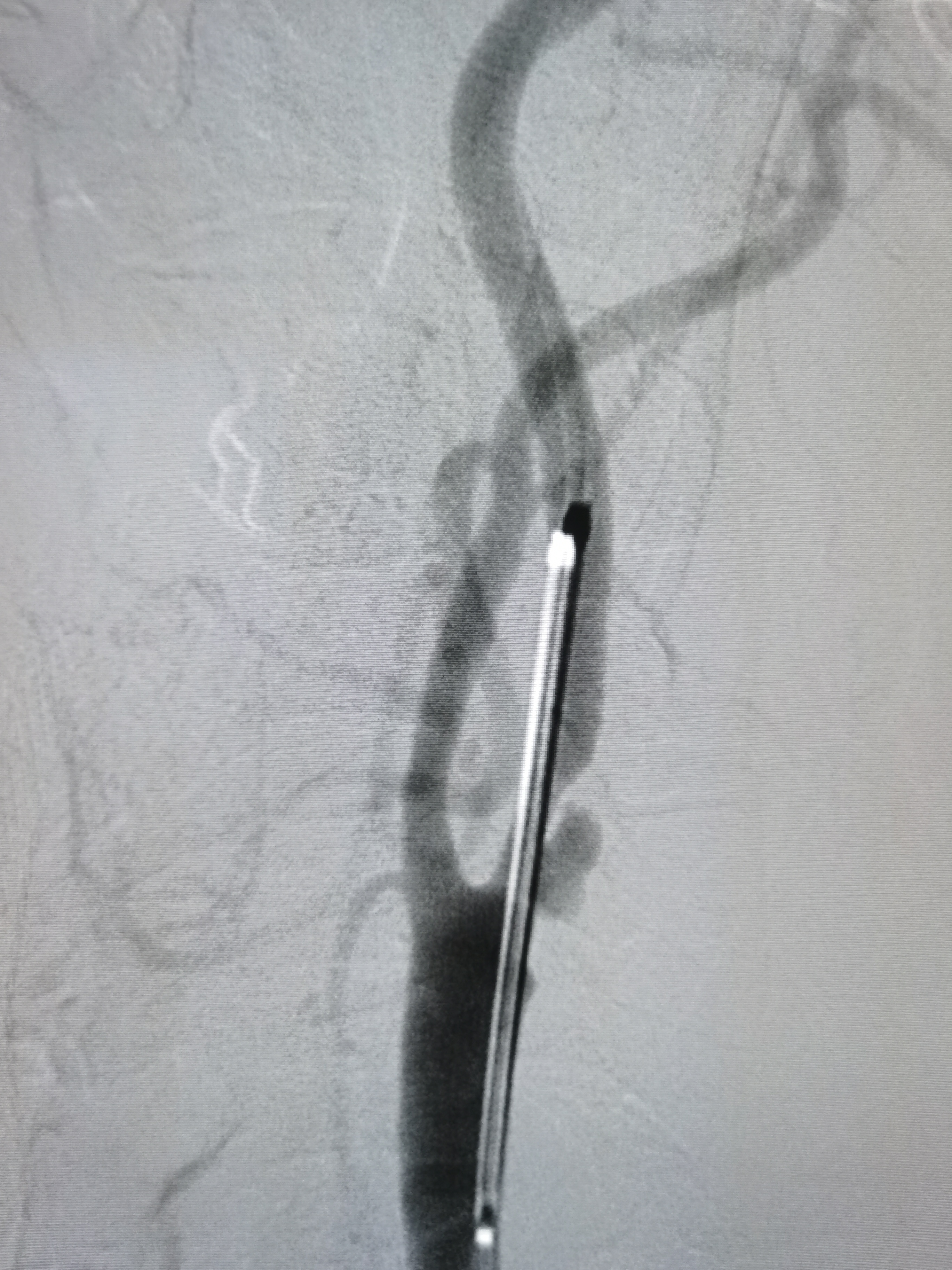
9/30支架定位后释放。
支架释放后狭窄解除。
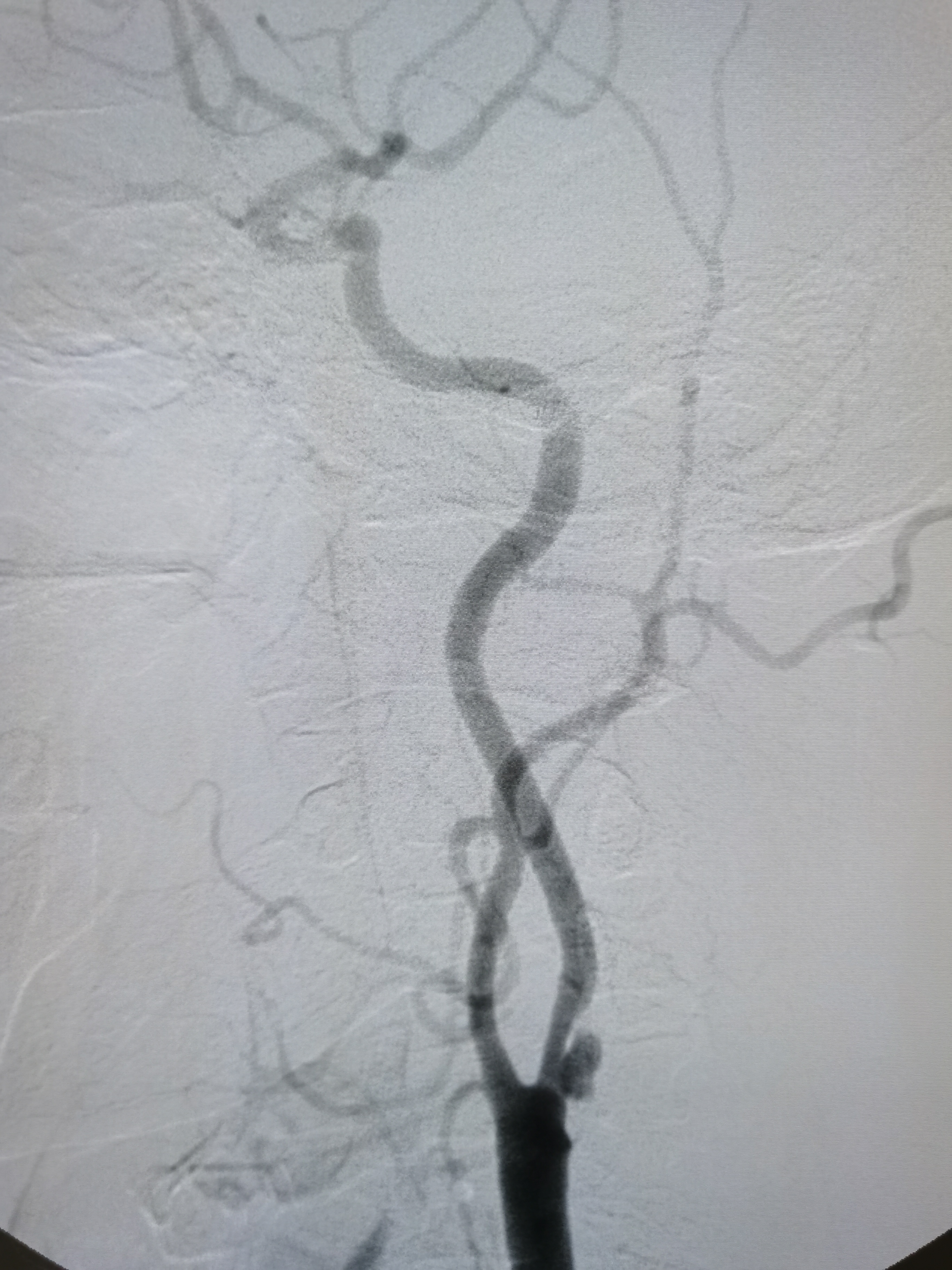
支架释放后颅内血供改善。
颅内血供良好。
将导引导管调至左侧颈总动脉末端,远端置入保护伞。
9/30支架定位。
支架释放后狭窄改善,覆盖不稳定斑块。
支架释放后颅内血供良好。
颅内血供良好。
术后患者无不适主诉,积极控制血压,避免高灌注损伤。
术者体会:
1、本例患者为老年男性双侧颈内动脉狭窄,右侧线性狭窄,左侧重度狭窄伴溃疡,均具备介入治疗指征。
2、同期处理双侧颈内动脉可便于术后积极控制血压,避免出现高灌注出血,但也存在严重窦反射可能,患者先行右侧颈内动脉支架后未见明显窦反射,遂同期处理左侧颈内动脉。




