Shidongfeng
患者,女,55岁。
主诉:“右手指发麻20天”;
现病史:患者诉2023.04.05左右无明显诱因下开始出现右手指发麻,否认头痛、头晕恶心呕吐,否认意识障碍,否认两便失禁,2023.04.13就诊于乐清市人民医院查头颅MR+MRA示桥脑新近梗死灶、脑白质病变(Fakzekas)、腔隙性脑梗死,脑动脉硬化、右侧大脑后动脉闭塞、右侧V4段椎动脉瘤可能大;后2023.04.23就诊于上海市第一人民医院查头颈部CTA示颈动脉硬化、右侧大脑后动脉重度狭窄、右侧V4段动脉瘤;予以口服阿司匹林抗血小板、阿托伐他汀降脂稳定斑块、甲钴胺片营养神经等对症处理。目前患者仍有右手指发麻,为进一步诊治收入我科。
既往史:
一般健康状况良好。否认肝炎史。否认结核史。否认疟疾史。有脑桥梗死,服用阿司匹林1片 qn抗血小板聚集+甲钴胺片1片tid营养神经+雷贝拉唑钠肠溶胶囊1片qd保胃。否认精神病史。高脂血症,服用阿托伐他汀1片qn治疗,有高血压史5-6年,服用苯磺酸氨氯地平1片 qd治疗。否认心脏病史。有2型糖尿病史5-6年,服用二甲双胍1片bid+阿卡波糖1片tid+格列齐特缓释片1片qd治疗。否认手术史。 否认外伤史。 否认输血史。否认食物、药物过敏史。否认预防接种史。
辅助检查:
2023.04.13 乐清市人民医院 头颅MR+MRA示桥脑新近梗死灶、脑白质病变(Fakzekas)、腔隙性脑梗死,脑动脉硬化、右侧大脑后动脉闭塞、右侧V4段椎动脉瘤可能大;
2023.04.23 上海市第一人民医院 头颈部CTA示颈动脉硬化、右侧大脑后动脉重度狭窄、右侧V4段动脉瘤;
初步诊断:1.大脑动脉狭窄脑梗死(桥脑梗死)
2.右侧大脑后动脉狭窄(重度)
3.右侧椎动脉动脉瘤
4.高血压
5.2型糖尿病
6.高脂血症
7.腰肌劳损
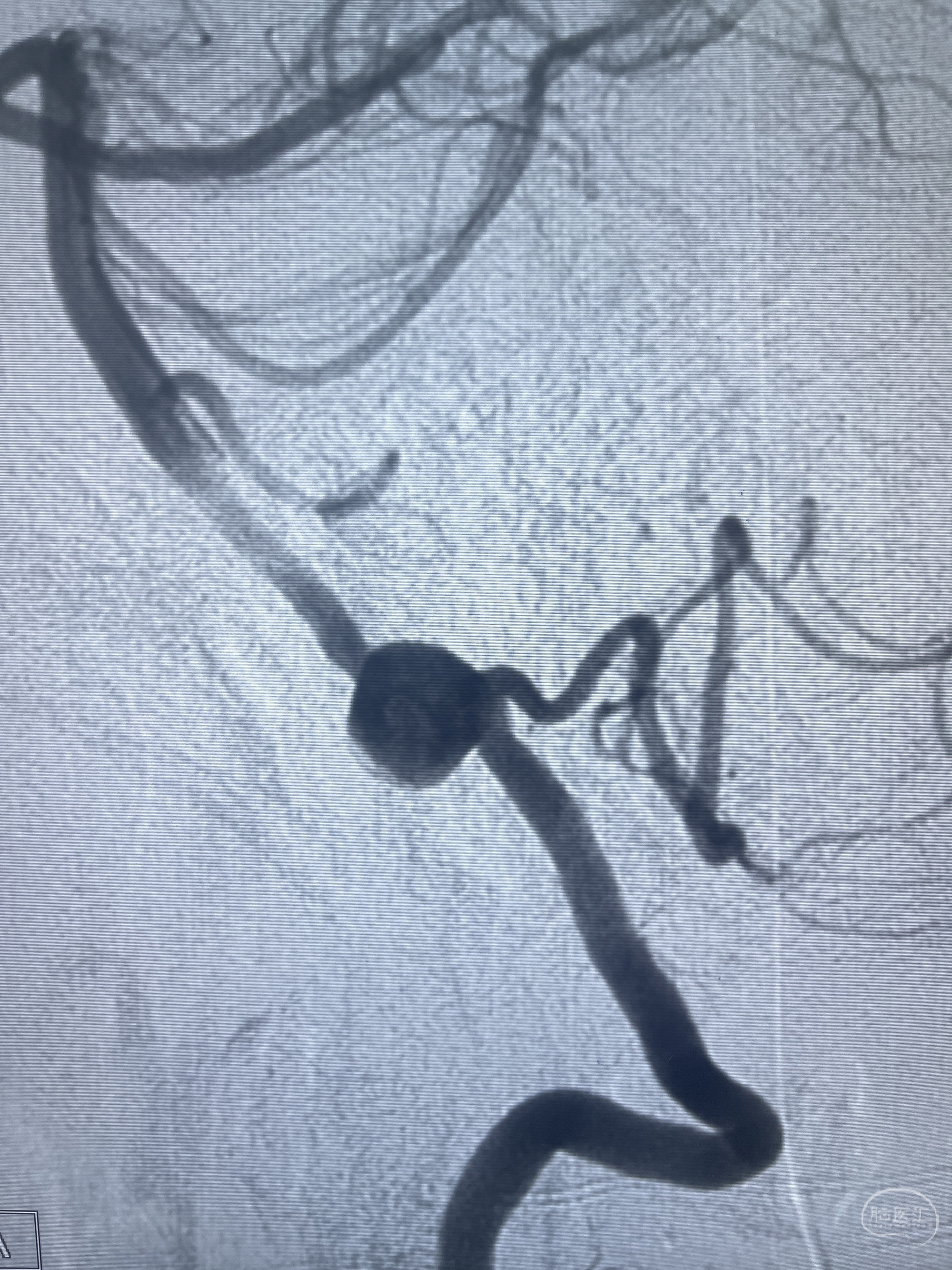
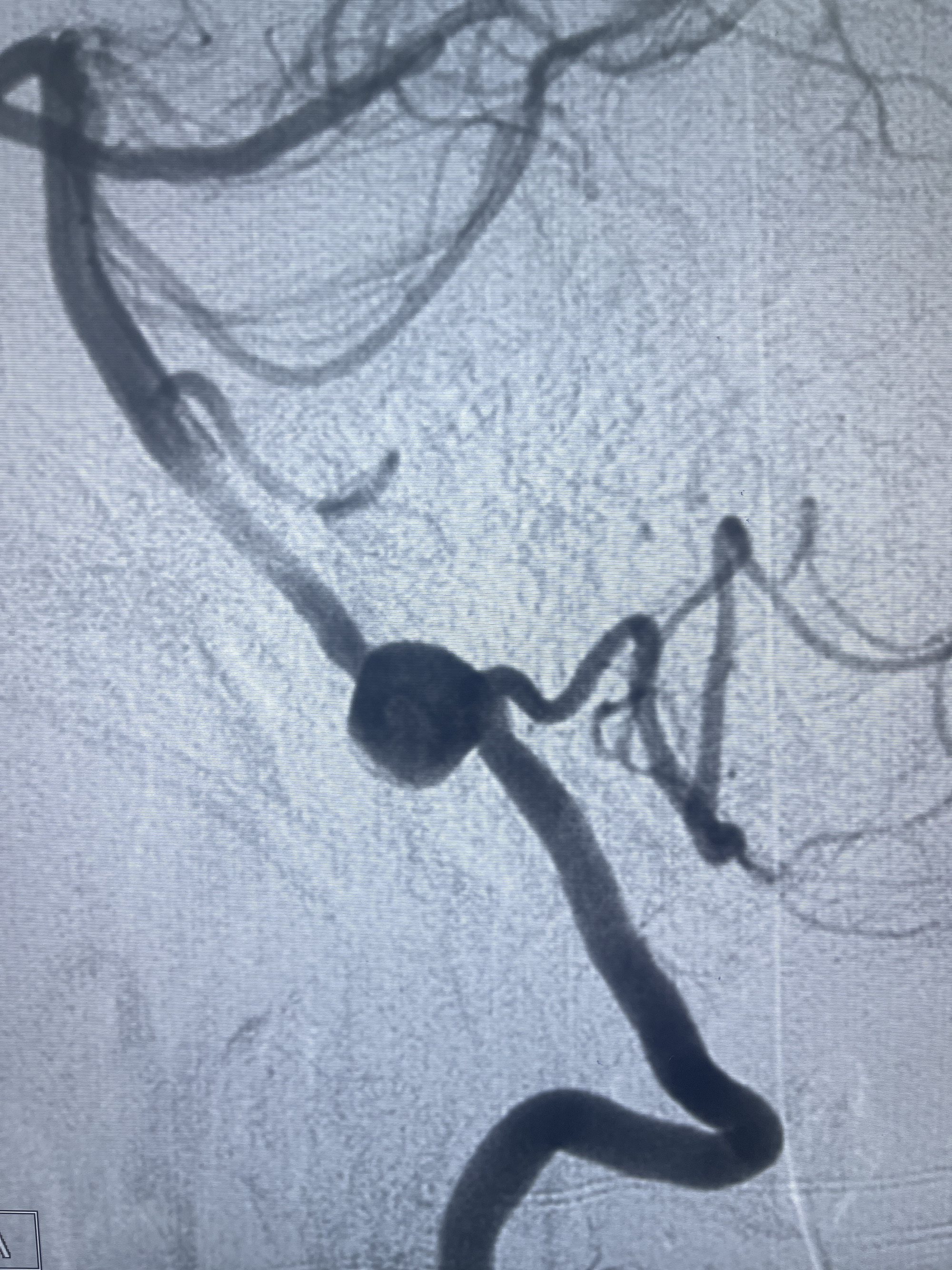
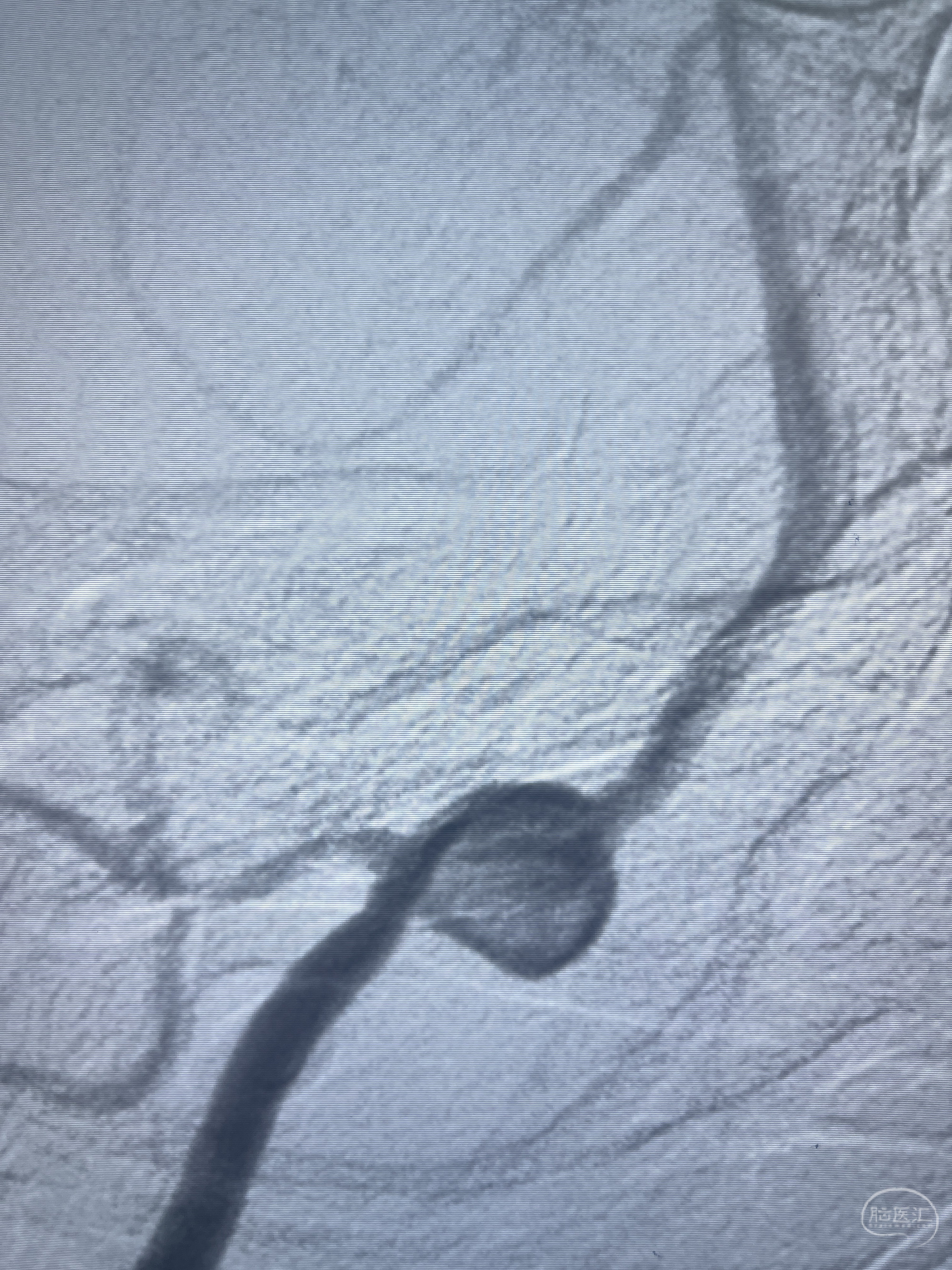
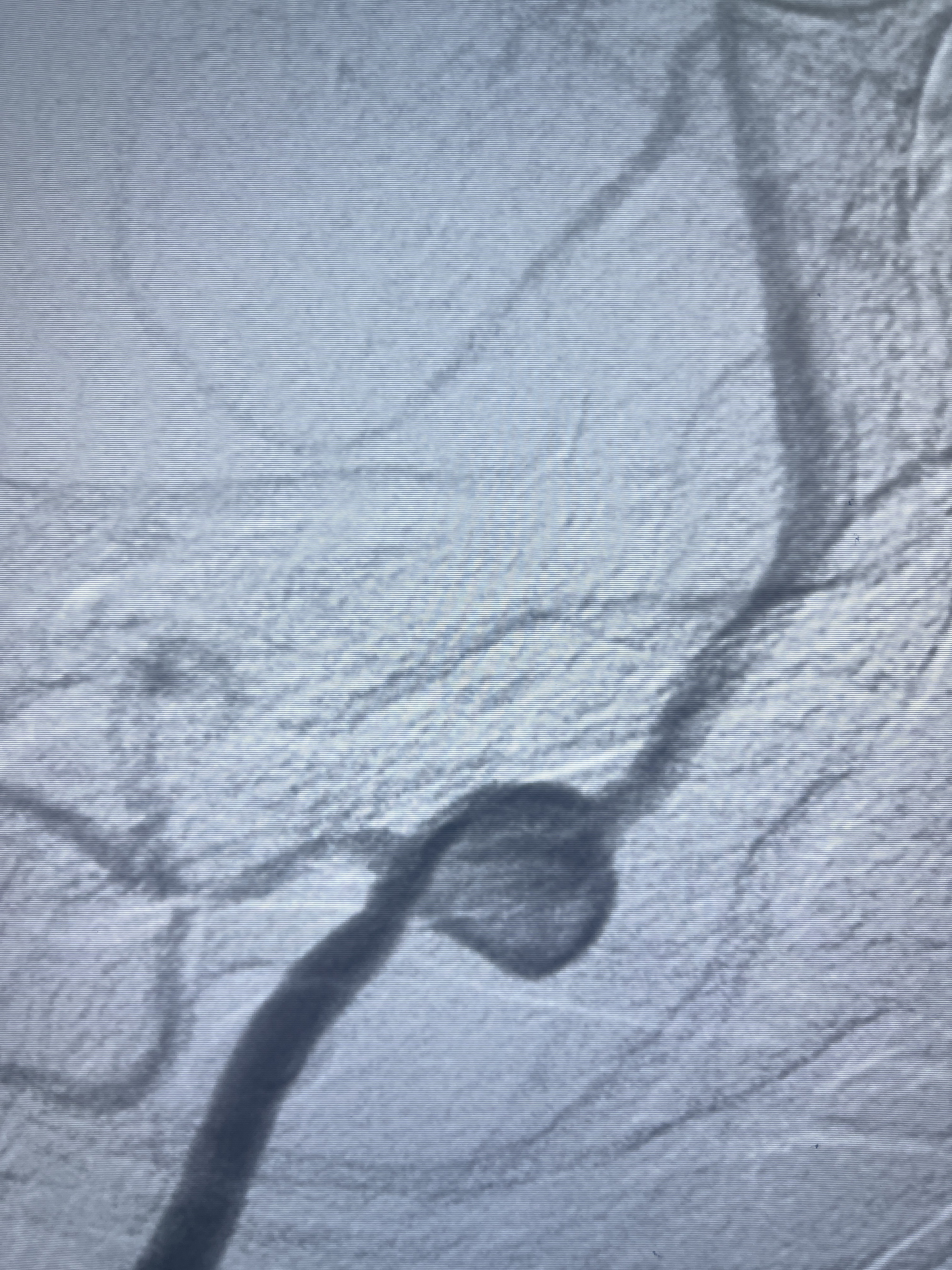
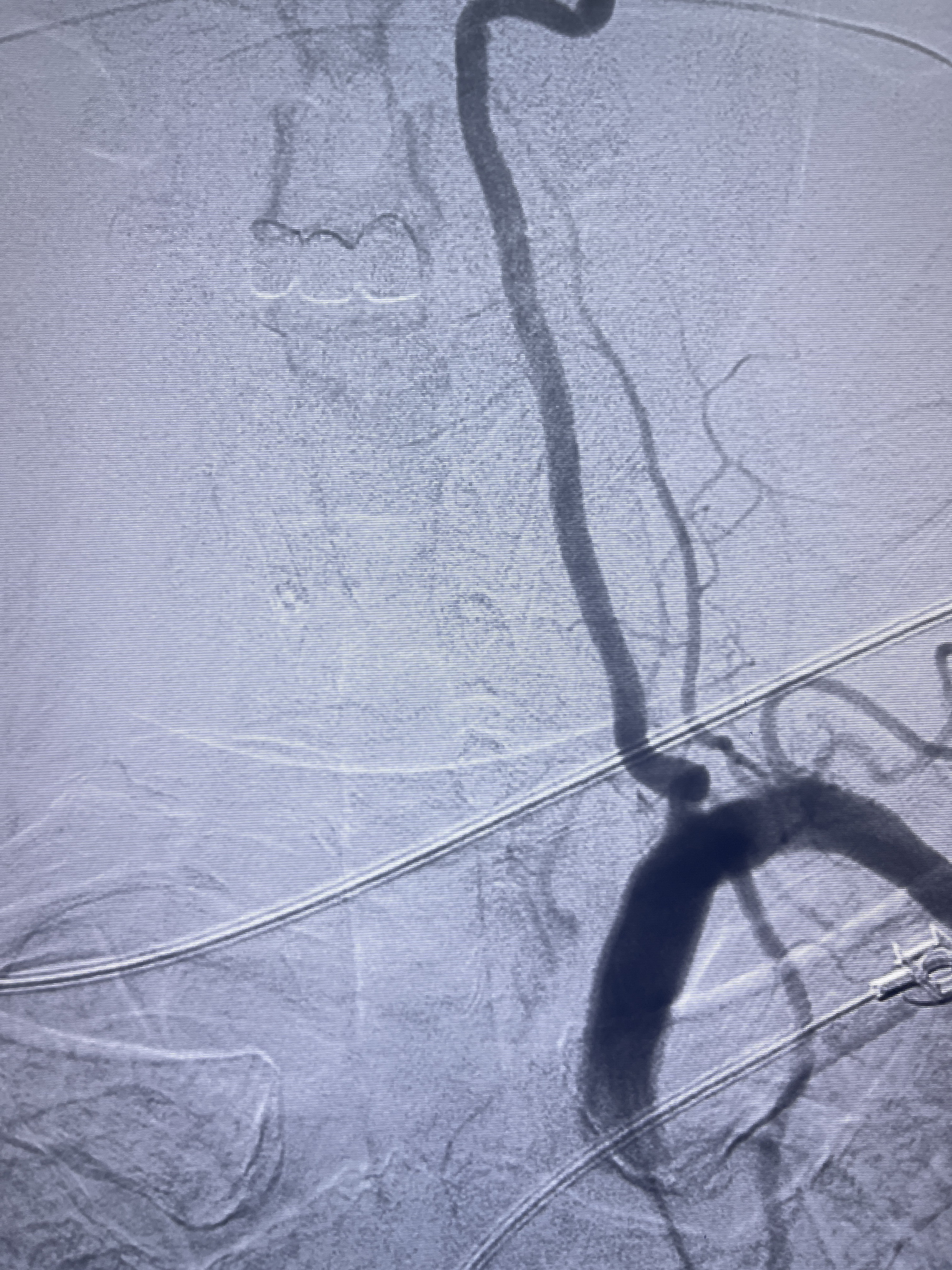
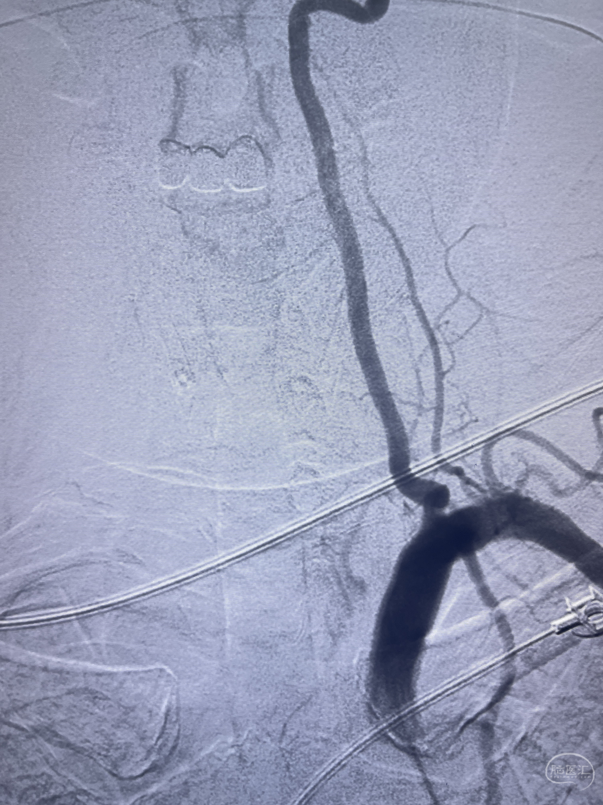
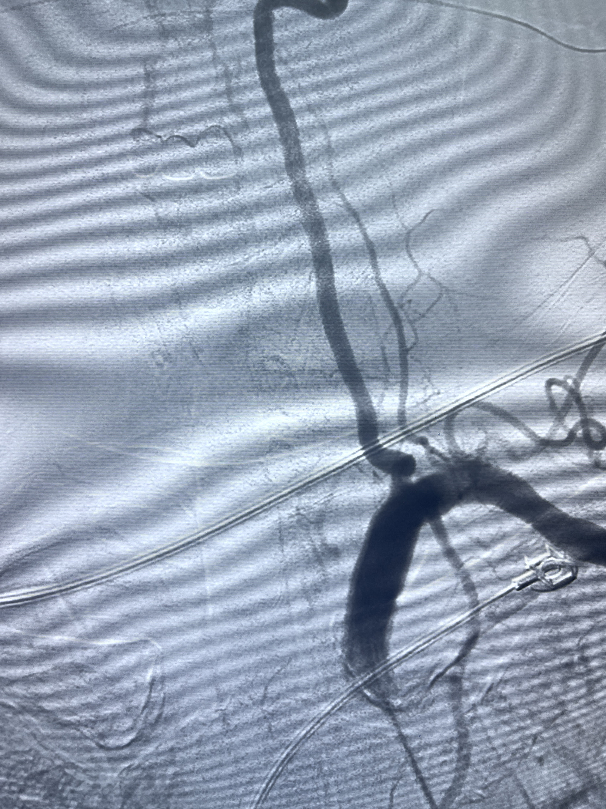
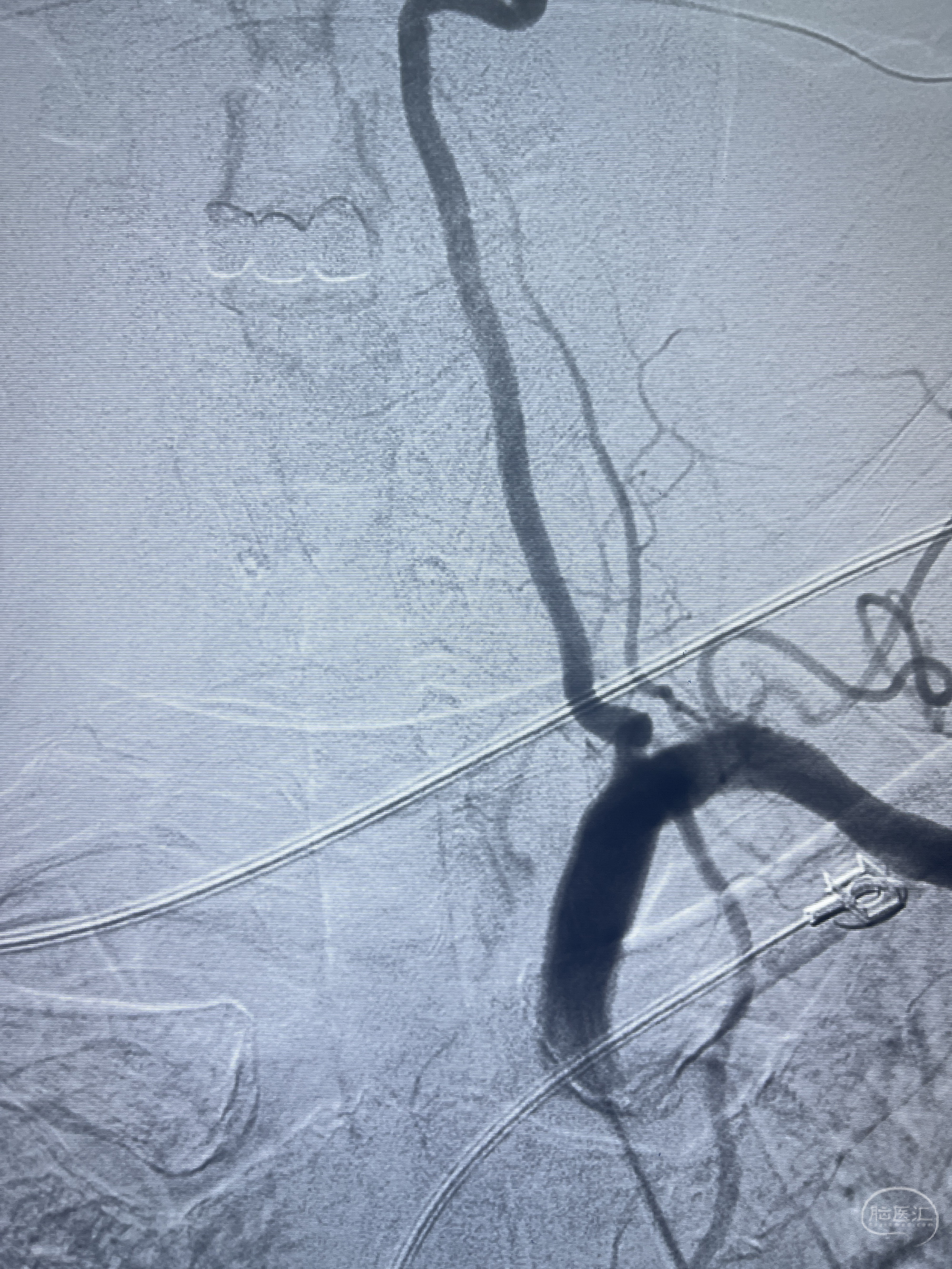
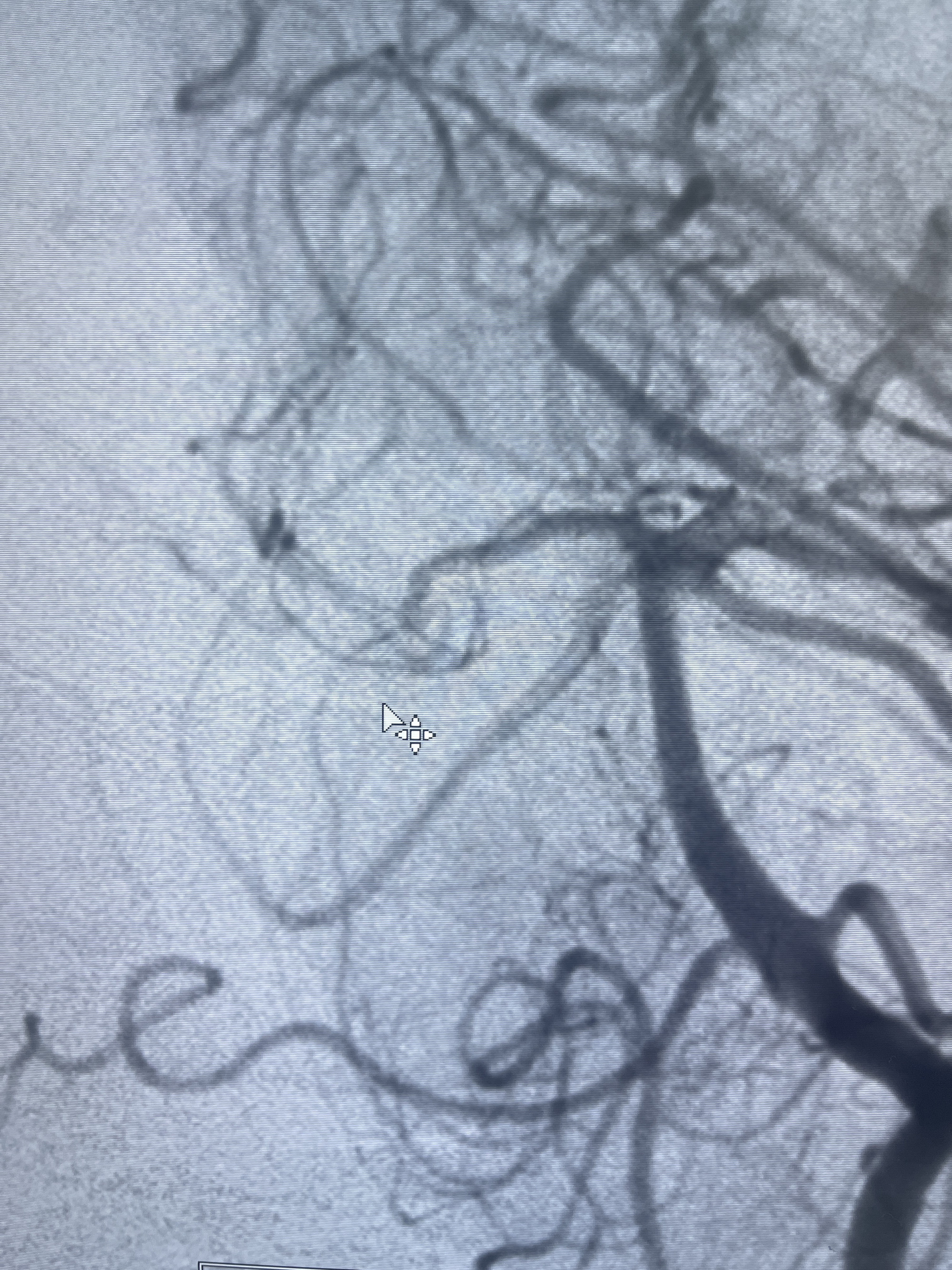
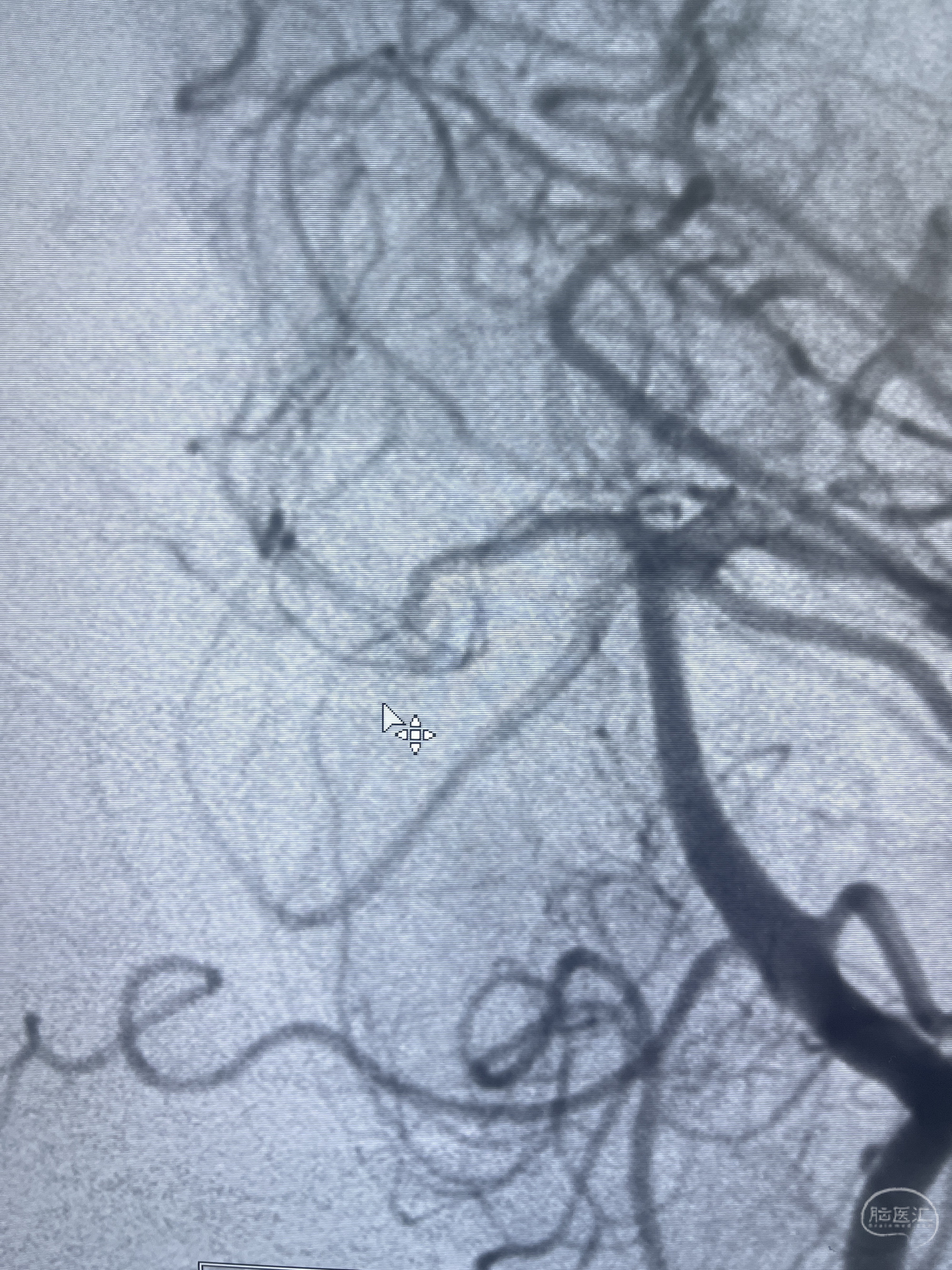
202.04.28脑血管造影:右侧大脑后动脉远段闭塞,右侧椎动脉V4段可见“囊状造影剂填充影”,大小7.64*7.65mm,可见PICA由动脉瘤发出;
 
  
  
  
  
  
  
  
  
  
  
  
  
  
  
  
  
  
  
 治疗策略:
1.普通支架辅助弹簧圈栓塞?
2.密网支架辅助弹簧圈栓塞?




