简要病史:患者雷某,女, 43岁,因发热、乏力9天于2月12日入我院全科医学科。9天前无明显发热,持续性38.5℃-39.5℃,最高体温40.3℃,在广州某医院进行治疗未见明显缓解,转入我院。
入院时情况:神志清楚,急性病容,精神差,双侧瞳孔等大等圆,直径2.5mm,对光灵敏,四肢肌力5级,肌张力不高,双侧巴氏征(-)。
入院诊断:发热查因:肺部感染?颅内感染?肝脓肿?

入院后完善血常规、肝肾功能、CRP、PCT、血沉、免疫功能检测、结核抗体检测、血培养+药敏、肿瘤标志物检测等。

入院胸腹部CT提示肺部感染:病毒性?真菌性?
肝脏多发病变?

进一步增强扫描提示肝脏多发囊肿
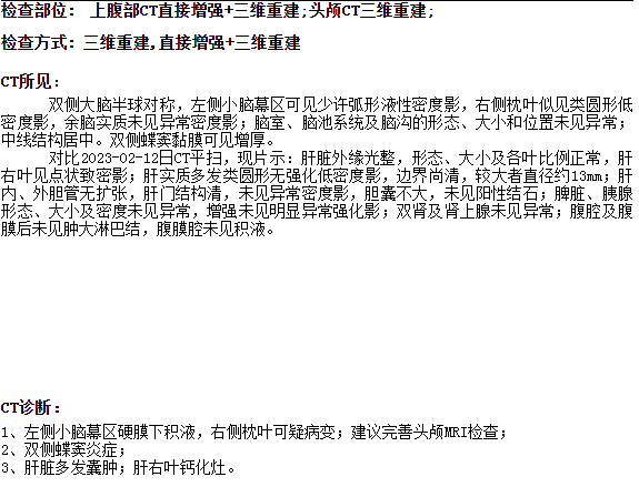
头颅CT提示小脑、小脑幕病变

头颅MRI提示双侧小脑幕下、左侧小脑半球脑膜炎并脓肿形成?
综合考虑:患者诊断为颅内感染合并脑脓肿形成,继发肺部感染。
抗生素方案由头孢他啶+奈诺沙星,升级为万古+美平
患者确诊颅内感染后转入神经内科进一步治疗。
经积极抗感染后,患者发热症状明显好转、头痛症状减轻。
由于后颅窝病变,幕下压力高,患者家属担心腰穿风险,拒绝腰椎穿刺术。
2月26日患者再次高热,后转入ICU行腰椎穿刺术,留取脑脊液标本化验+NGS。

脑脊液常规+生化检查提示颅内感染,但白细胞正常,考虑感染已被控制。病毒检测(-),结核定量试验(-)。NGS提示牙髓卟啉单胞菌属,微单胞菌属,坦纳菌属,产线菌属,普雷岆菌属,均为牙源性感染相关厌氧菌,考虑化脓性脑膜炎。

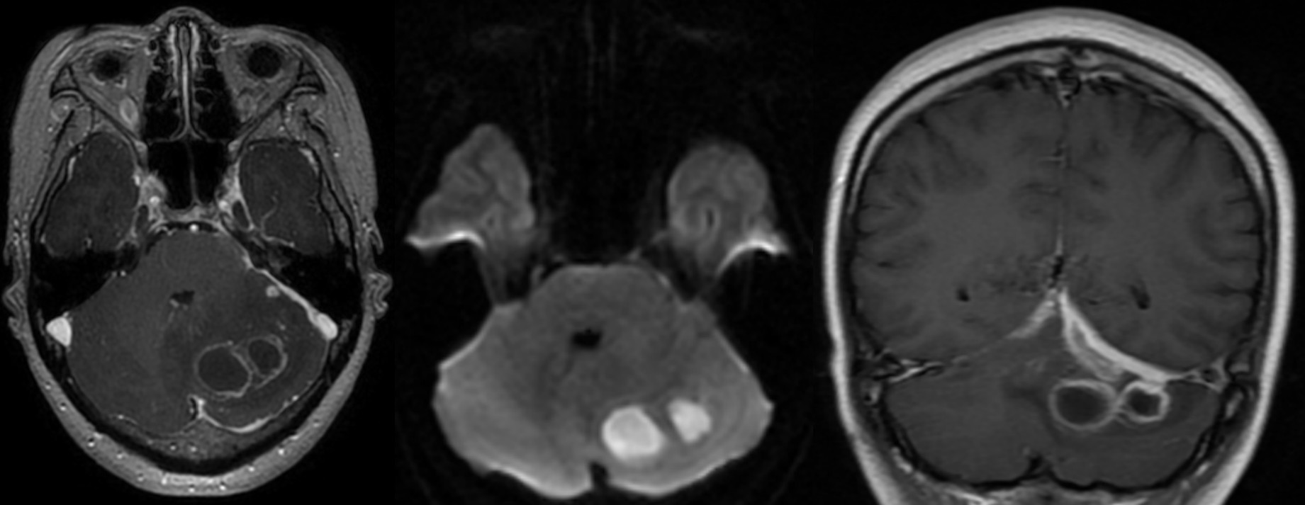
复查头颅MRI提示小脑幕下脓肿较前缩小。
经全院大会诊,脑脊液性状及症状提示颅内感染控制,脓肿仍需处理,遂转神经外科治疗。
我科提出两个方案:
1.目前脓肿较前缩小,可继续抗感染治疗,动态复查头颅MRI观察脓肿变化。
2.微创脓肿穿刺术,或开颅清除脓肿腔,但多发脓肿不能完全清除。
家属犹豫,反复商量后决定要求出院,自行到长沙求诊
2天后患者返院,要求继续在我院治疗,住神经内科抗感染治疗,后愿意接受手术治疗,转入神经外科。

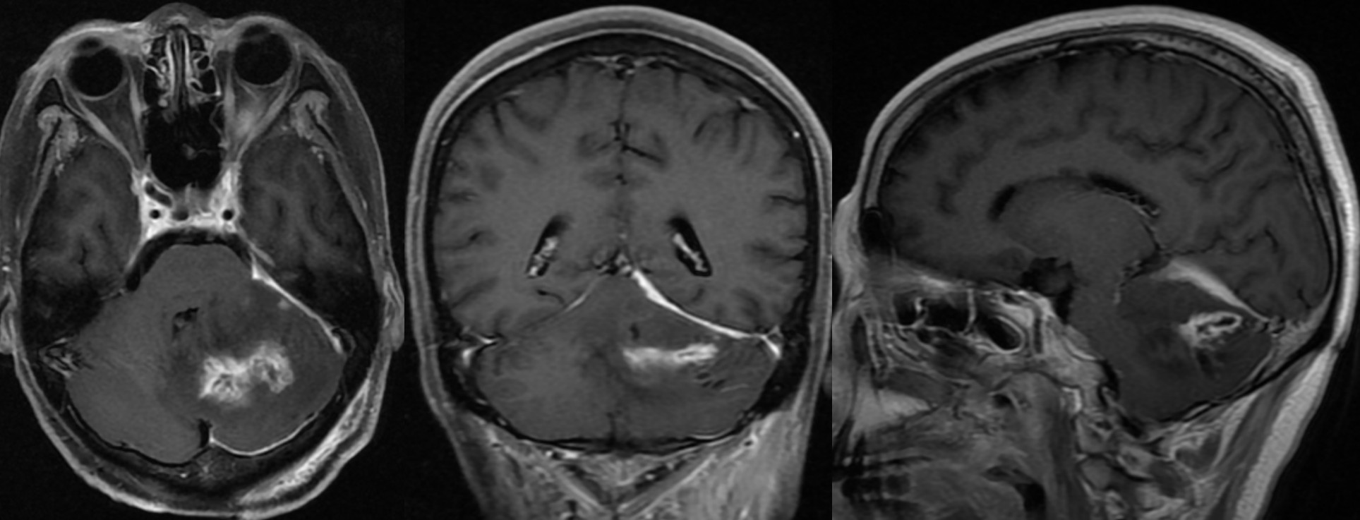
复查头颅MRI提示小脑幕区脓腔缩小,左侧小脑半球脓腔扩大,周围水肿较重,占位效应明显,脑干明显受压。

脑脊液糖上升。NGS提示未检出细菌、病毒、结核杆菌等。
患者头痛头晕症状进一步加重,精神变差。
拟全麻下行脓肿穿刺引流术。

3月21日在全麻下行脓肿穿刺引流术。
由于两个脓肿腔均较小,直径分别为1.6cm,1.0cm,术中使用B超引导双通道穿刺引流,术中抽吸脓液,并甲硝唑盐水反复灌洗。

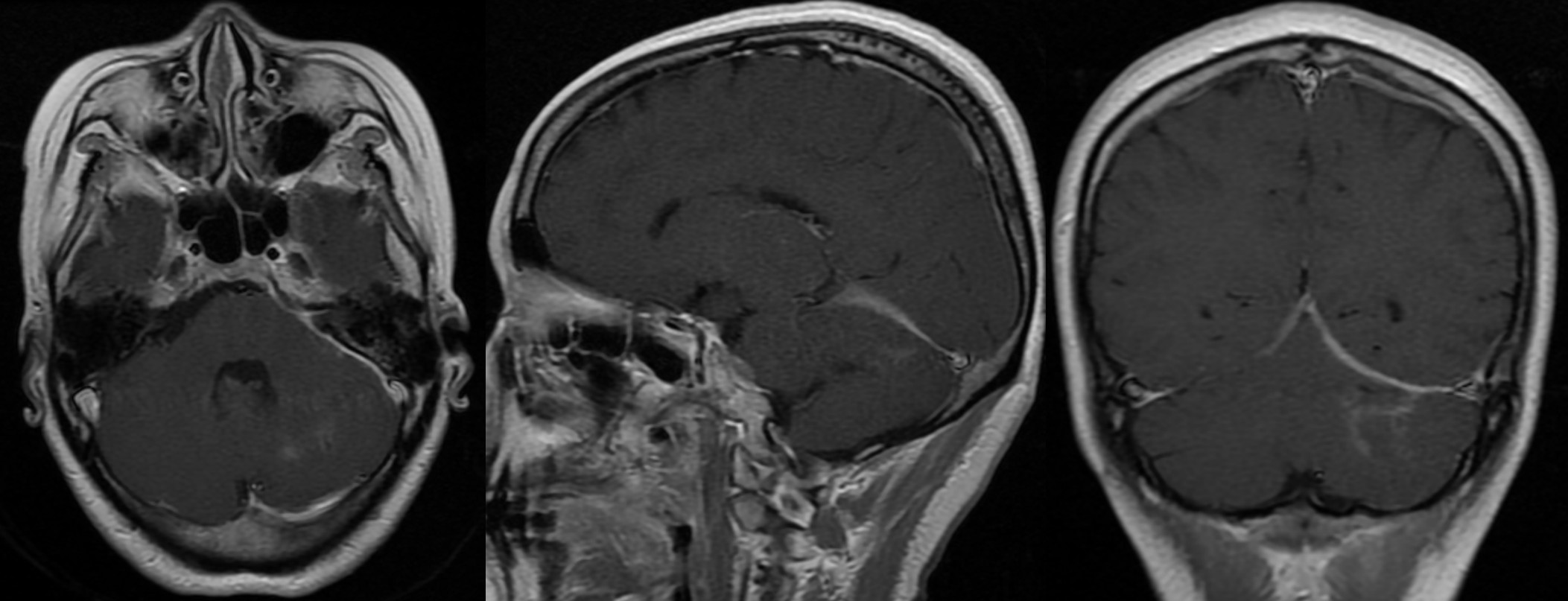
3月23日复查头颅MRI提示脓腔基本消失,仍可见脓肿壁,占位效应减轻。

4月20日复查头颅MRI平扫+增强提示脓肿已消失,小脑幕硬膜增厚程度较前明显减轻。
4月26日,历经2个多月,一位少见的颅内感染患者终于笑容满面出院了。(没有留下患者满脸笑容的照片是我的一大遗憾,期待下次随诊)