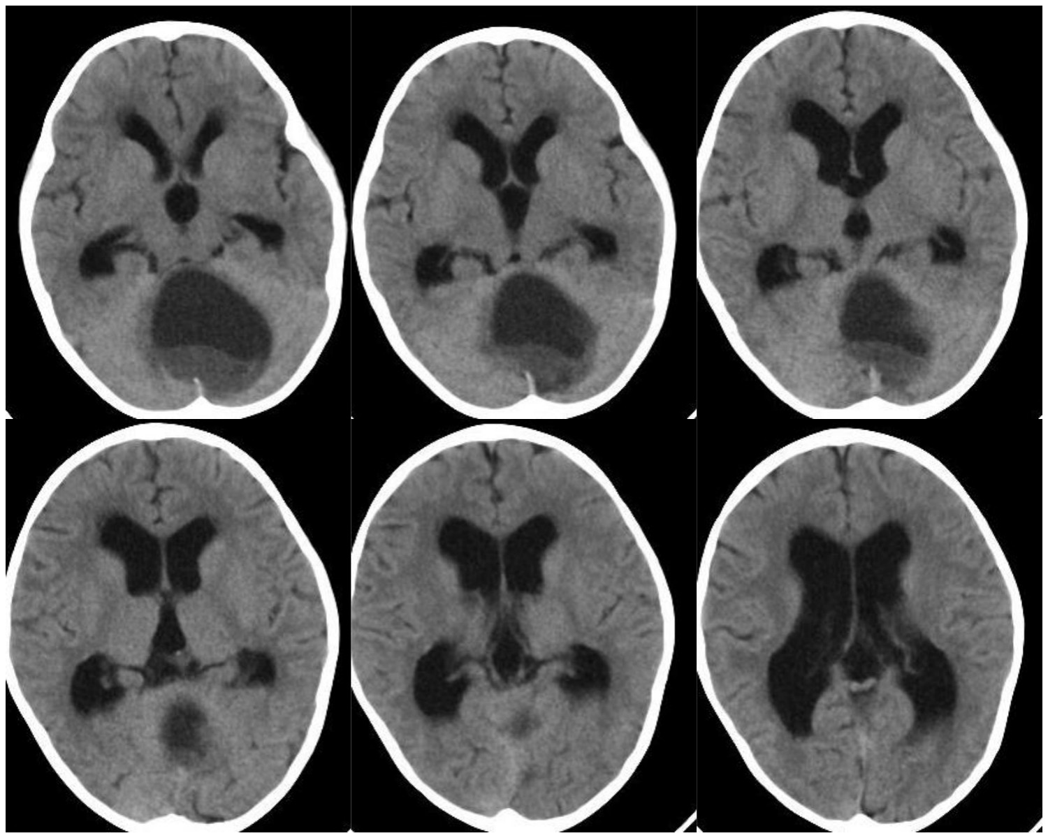
患儿高**,女,3岁,因“走路不稳4月、加重伴头晕1周”入院,就诊当地医院,CT检查发现第四脑室可疑占位伴脑积水。就诊我院,头颅磁共振提示后颅凹巨大囊实性占位伴幕上脑积水。
图1 术前头颅CT
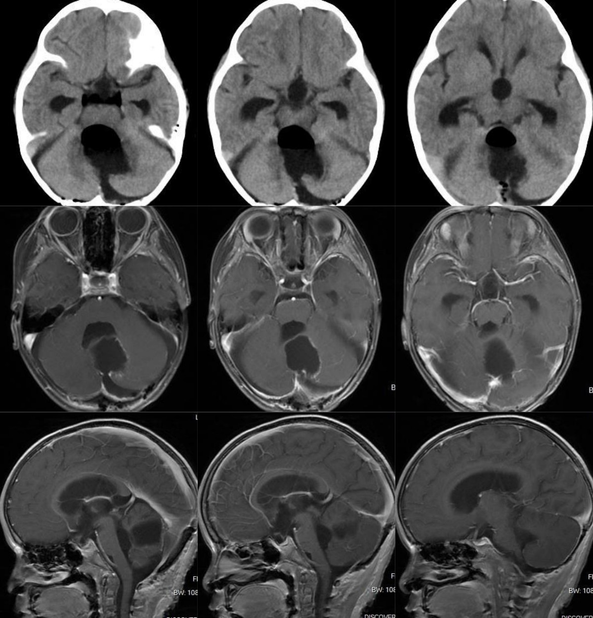
图2 术前增强头颅磁共振
完善术前检查后,在全麻下行后正中入路后颅凹肿瘤切除术,手术顺利。术后复查磁共振示肿瘤全切。病理确诊毛细胞星形细胞瘤。患儿术后恢复良好,步态平稳,双手抓物稳准。术后10天出院。
图3 术后CT、MR示肿瘤全切无残留,中脑导水管通畅。
图4 术后病理:毛细胞星形细胞瘤,WHO 1级
小结
毛细胞星形细胞瘤(pilocystic astrocytoma,PA)是儿童常见颅内肿瘤之一,好发于小脑半球及幕下中线结构。患儿常以头痛、呕吐、行走不稳、共济失调为首发症状。及时就诊并行脑部磁共振检查有助于诊断。肿瘤全切除为主要治疗方案,术后无需放化疗,大多预后良好。
中国科学技术大学附属第一医院(安徽省立医院)神经外科七病区
凌士营 主任医师
周一上午总院门诊
周四下午南区门诊
蒋辰 副主任医师
周三上午南区门诊
周四下午北区门诊
卢迪 主治医师,医学博士。




