【在李小勇脑脊液科治疗过程和结果】
患儿男,3岁,山东省滕州市人。
一、李小勇脑脊液科入院前病史
患儿有先天性脊髓栓系,出生后无明显不适症状,患儿1岁时即2020年8月,在第1家医院:山东省青岛市某儿童医院进行了脊髓栓系松解术,术后未见无异常,住院大概半月余出院。
脊髓栓系松解术后近2年即2022年5月11日(患儿近3岁),患儿诉右膝关节疼痛,就诊于第2家医院当地山东省滕州市某医院,行右膝X片检查未见异常(片子丢失),血钙数值正常,但于就诊当天出现发热,体温高达38.5度,因此住院给予退热、消炎处理。
住院治疗4天,但体温仍反复升高,且右膝疼痛加重,影响睡眠伴小便尿道疼痛,但尿常规检查示正常,继续给予退热、消炎治疗。
住院治疗7天即2022年5月18日,出现头痛,呕吐,体温再次升高为39.6度,心电图示室性心动过速,室早,考虑“心肌炎”,查头颅核磁(图-1)后并行腰穿见脑脊液呈金黄色,留取脑脊液送常规化验提示诊断为颅内感染,给予抗感染治疗。
图-1:2022年5月18日头颅核磁
在第2家医院治疗13天即2022年5月24日,患儿仍间断高热,在医生建议下当天转至上级的第3家医院山东省某省级三甲医院,查脊髓核磁(图-2)后行腰椎穿刺有脓液吸出,给予腰大池置管术,但未见脑脊液流出,给予消炎、营养脑神经治疗。
图-2:2022年5月24日脊髓核磁
第3家医院治疗16天即2022年6月9日,不但依然发热,而且查头颅CT示脑室稍扩张(图-3)。
图-3:2022年6月9日头颅核磁
在第3家医院治疗24天即2022年6月17日,因病情仍无改善,在医生建议下转入了第4家医院北京更高级的三甲医院,给予消炎、脱水、改善心肌供血。
该院治疗11天期间,体温变正常,期间两次查脊髓核磁(图-4、图-5)示脊髓栓系松解术后。
图-4:2022年6月23日脊髓核磁
图-5:2022年6月28日脊髓核磁
但该院治疗12天即2022年6月29日,复查头颅核磁脑室扩张进一步加重(图-6)。
图-6:2022年6月29日头颅核磁
为治疗脑积水,在第4家医院治疗13天后转住入北京北亚骨科医院的李小勇脑脊液科。
二、在李小勇脑脊液科治疗过程和结果
2022年7月1日(脊髓栓系松解术2年,间断发热1月余,脑室进行性扩张3周)住入李小勇脑脊液科,入院时:精神差,痛苦面容,右腿活动差不能走路,大小便可感知但控制不住,后腰下方骶骨部有手术疤痕(图-7)。
图-7:2022年7月1日入院时
入院当天查头颅CT示脑室扩张(图-8)。
图-8:2022年7月1日入院时头颅CT
入院次日进行了脑室外引流术(图-9);引流出的脑脊液浑浊有絮状物(图-10)。
图-9:2022年7月2日头颅CT
图-10:2022年7月2日
入院治疗10天即2022年7月10日,精神变好,但搀扶走路时膝盖不能弯曲(图-11)。
图-11:2022年7月10日
住院治疗18天即2022年7月18日,查头颅CT示脑室有缩小(图-12)。
图-12:2022年7月18日头颅CT
入院治疗25天即2022年7月25日,家长扶着两个胳膊能自己迈步,膝盖变得能弯曲(图-13);次日按计划进行了脑室腹壁外引流术。
图-13:2022年7月25日
住院治疗34天即2022年8月3日,引流出的脑脊液已变清亮透明,走路也进一步好转为:能自己扶着扶手走路(图-14)。
图-14:2022年8月3日
住院治疗63天即2022年9月1日,常规查头颅CT示脑室引流术后状态(图-15)。
图-15:2022年9月1日头颅CT
住院治疗73天即2022年9月11日,患儿大小便已变正常,变得能自己走路,但右腿走路差些(图-16)。
图-16:2022年9月11日
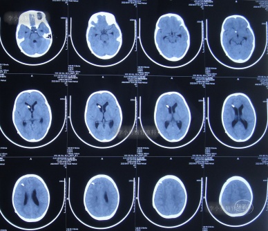
2022年10月12日(住院治疗104天),已夹闭脑室引流管3天,查头颅CT示脑室未见异常(图-17)。
图-17:2022年10月12日头颅CT
2022年10月19日(住院治疗111天),拔除了脑室引流术,拔管前和拔管后头颅CT(图-18)对比。
图-18:2022年10月19日拔管前后头颅CT对比
2022年10月25日(李小勇脑脊液科治疗117天),出院时:精神状态挺好,大小便正常,虽右腿走路稍差但走路速度变快,变稳(图-19);出院时头颅CT示未见异常(图-20)。
图-19:2022年10月25日出院时
图-20:出院时头颅CT
〔本典型病例所涉及的图片和视频均经患者本人或家属同意,如有异议,请联系该内容发布方〕
*********专家简介***********
提出“脑脊液神经外科学”理念和理论
出诊地点一:北京北亚骨科医院李小勇脑脊液科
出诊时间:周二下午
交流咨询(中华脑脊液科医生群):13651375487(微信同号)




