【在李小勇脑脊液科治疗过程和结果】
患者男,45岁,河北省新乐市人。
一、李小勇脑脊液科入院前病史
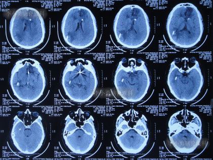
患者于2022年7月8日凌晨突发头痛,伴有胡言乱语,右下肢明显乏力,被家属送至附近的陕西省榆林市某医院,查头颅CT示脑出血(图-1),考虑脑动脉瘤破裂;当即给予了DSA检查发现前交通动脉瘤(图-2)。
图-1:2022年7月8日头颅CT
图-2:2022年7月8日头颅DSA
因此,当天进行了脑动脉瘤栓塞术,栓塞术后立即行右侧脑室外引流术及腰大池外引流术(图-3)。
图-3:2022年7月8日术后头颅CT
脑动脉瘤栓塞术后4天即2022年7月12日,查头颅CT示仍有积血(图-4)。
图-4:2022年7月12日头颅CT
脑动脉瘤栓塞术后7天即2022年7月15日(脑室外引流术后1周),发现脑脊液中白细胞很高,并出现脑脊液浑浊的现象,考虑化脓性脑膜炎,但避免长时间引流加重颅内感染故给予拔除了脑室外引流管,之后给予间断腰椎穿刺治疗鞘内用药,给予抗感染治疗。
拔除引流管后10天即2022年7月25日(脑动脉瘤栓塞术后17天),查头颅CT示脑室周水肿,仍有少量积血(图-5);仍间断发热,且脑脊液白细胞仍高,脑脊液浑浊。
图-5:2022年7月25日头颅CT
因病情未见好转,患者在该院治疗25天即2022年8月2日(脑动脉瘤栓塞术后25天),转到家乡的河北省某三甲医院继续治疗,查头颅CT示脑动脉瘤栓塞术后状态(图-6),仍间断高热,给予每日行腰椎穿刺治疗。
图-6:2022年8月2日头颅CT
每天进行腰椎穿刺治疗后,患者体温变正常仅4天,之后仍间断发热,且脑脊液浑浊更重,脑脊液中培养出真菌(具体不详),继续抗感染但不见好转。
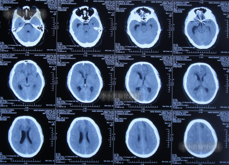
该院治疗20余天时间内,虽每天进行腰穿治疗,但期间3次查头颅CT均显示脑室持续的扩张(图-7、图-8、图-9)。
图-7:2022年8月9日头颅CT
图-8:2022年8月14日头颅CT
图-9:2022年8月15日头颅CT
在该院治疗22天即2022年8月24日,患者病情不但没有好转,反而越来越重:脑室扩张,颅内感染加重,且记忆力出现减退,发热时会胡言乱语,右腿无力不能走路。因此,通过网络查询找到了北京北亚骨科医院的李小勇脑脊液科。
二、在李小勇脑脊液科治疗过程和结果
2022年8月24日(前交通动脉瘤栓塞术后间断发热47天)住入李小勇脑脊液科,入院时:体温稍高,意识欠清,记忆力不好,时有对答不对题,右腿无力不能走路(图-10)。既往病史:患有高血压5年,但未规律服用药物,未规律检测血压。
图-10:2022年8月24日入院时
入院时头颅CT示脑室扩张,动脉瘤栓塞术后(图-11)。
图-11:入院时头颅CT
入院后次日进行了脑室外引流术(图-12)。
图-12:2022年8月25日术后头颅CT
脑室外引流术后2天即2022年8月27日,引流出脓性脑脊液(图-13)。
图-13:2022年8月27日
脑室外引流术后4天即2022年8月29日,患者出现意识差,查头颅CT示左侧脑室仍扩张(图-14)。
图-14:2022年8月29日头颅CT
当天给予了左侧脑室外引流术,术后当天查头颅CT示脑室内有2根管(图-15);术后脑脊液化验出真菌。
图-15:2022年8月29日术后头颅CT
2022年9月8日(住院治疗15天),意识变完全正常,变得能下床活动,坐立变正常,但腿仍有些无力自己走不了路(图-16);引流出的脓性脑脊液也基本变正常。
图-16:2022年9月8日
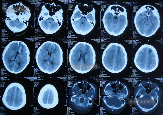
2022年9月14日(住院治疗21天),体温变正常,查头颅CT示双侧脑室均变小(图-17)。
图-17:2022年9月14日头颅CT
2022年9月27日(住院治疗34天),患者出现意识差,查头颅CT示颞角扩张(图-18)。
图-18:2022年9月27日头颅CT
当天进行了颞角和侧脑室腹壁外引流术(图-19)。
图-19:2022年9月27日术后头颅CT
2022年10月12日(住院治疗49天),脑脊液真菌彻底消灭,查头颅CT示颞角缩小(图-20)。
图-20:2022年10月12日头颅CT
2022年11月17日(住院治疗85天),变得能自己走路了,但右腿力量稍差,引流出的脑脊液一侧清亮,另一侧呈淡黄色(图-21)。
图-21:2022年11月17日
2022年11月25日(住院治疗93天),患者自己走路已变基本正常,言语交流也变正常,记忆力也改善很多,两侧引流出的脑脊液均变清亮(图-22)。
图-22:2022年11月25日
脑脊液各项化验均正常后于2022年12月14日(住院治疗112天),进行了脑室腹腔分流术(图-23)。
图-23:2022年12月14日头颅CT
2022年12月27日(李小勇脑脊液科治疗125天)康复出院,出院时:神清气爽,心情愉悦,走路基本正常,言语交流正常(图-24);出院时头颅CT示未见异常(图-25)。
图-24:2022年12月27日出院时
图-25:出院时头颅CT
〔本典型病例所涉及的图片和视频均经患者本人或家属同意,如有异议,请联系该内容发布方〕
*********专家简介***********
中国博士/美国博士后
出诊地点一:北京北亚骨科医院李小勇脑脊液科
出诊时间:周二下午
交流咨询(中华脑脊液科医生群):13651375487(微信同号)




