患者男性,主因:“发现意识不清伴右侧肢体无力3小时”急诊入院。患者于入院前3小时被家人发现瘫倒在发上,当时患者意识欠清,言语不能,右侧肢体无力,伴小便失禁,后被120急救后送至当地医院行颅脑CT检查,结果提示:左侧底节区脑出血,转诊至我院,复查颅脑CT后,我科急诊以:“左侧底节区脑出血高血压病3级极高危组”收治入院。查体:血压166/105mmHg,神志嗜睡,呼叫睁眼,失语,可简单遵嘱配合,双侧瞳孔等大圆,约2.5m,对光反射迟钝,口角向左侧轻度歪斜,左侧肢体肌力4级,右侧肢体肌力0级,肌张力下降,右侧肢体腱反射减弱,右侧巴氏征(+)。颅脑CT左侧底节区脑出血。诊断左侧底节区脑出血,高血压病三级极高危。
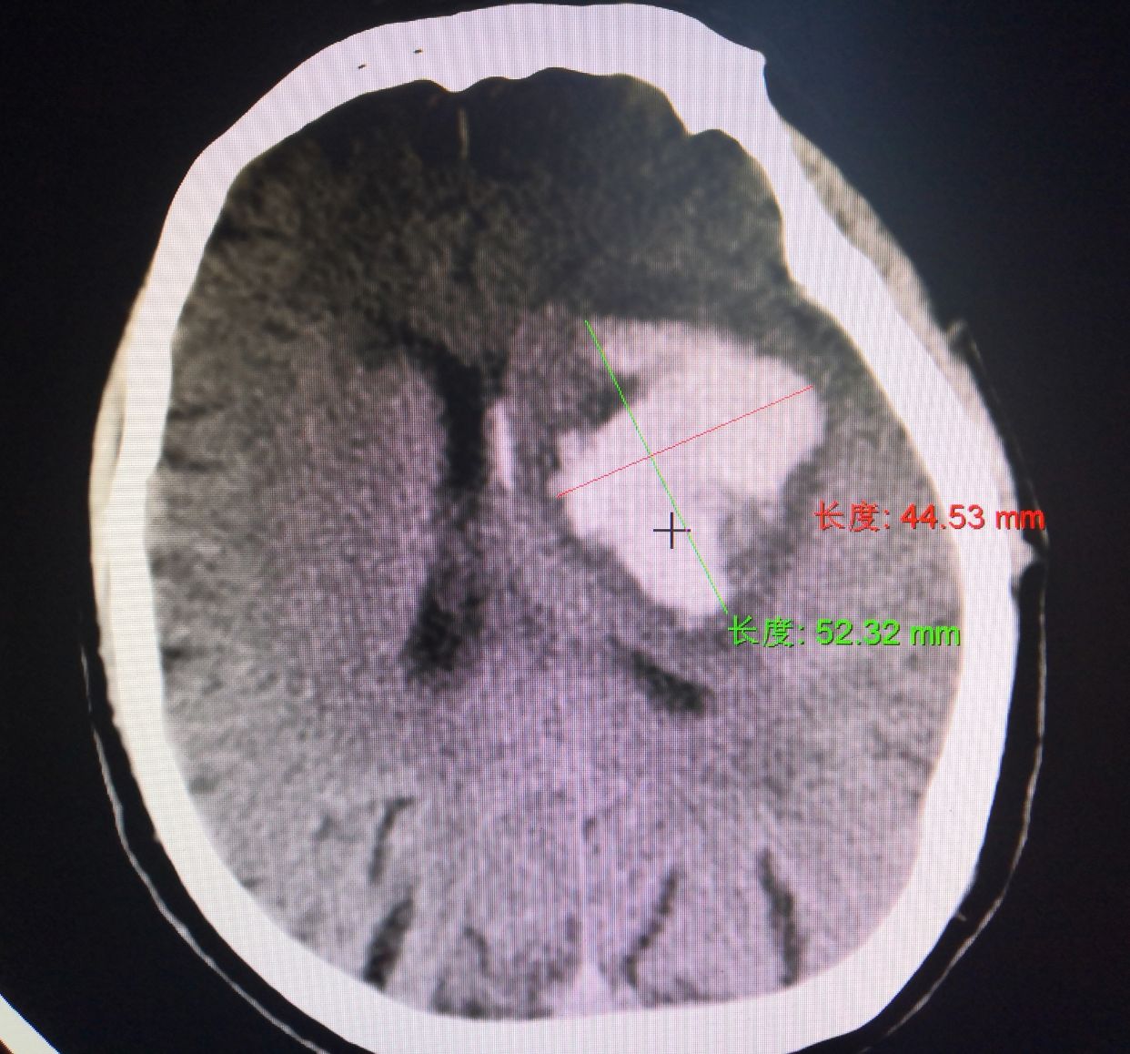
术前多田公式测量出血量约为63ml
采用经左额直切口长约4cm
确定穿刺置管方向
血肿清除过程中
血肿偏外侧,清除完后血肿腔贴敷速即纱
术后第一天,血肿清除率大于90%




