病例
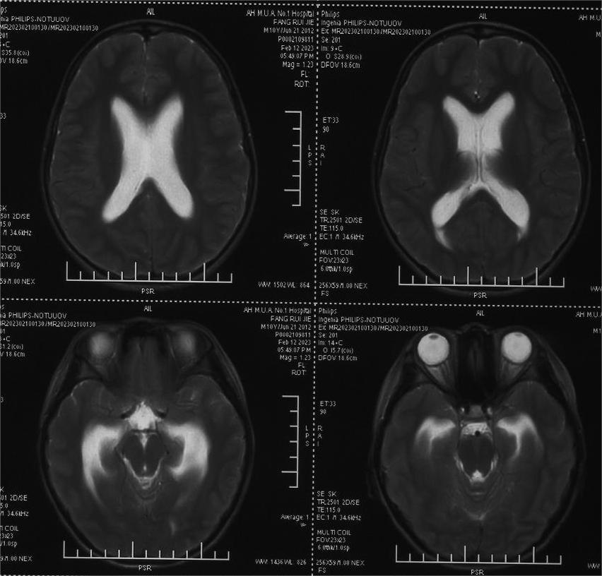
患儿方x,10岁9月,因“头痛、呕吐1月,外院行三脑室底造瘘术后2周”入院。患儿1月前无明显诱因下出现头痛,严重时伴有喷射性呕吐,就诊当地医院,检查发现松果体区占位、脑积水,行三脑室底造瘘术(图1)。术后患者头痛呕吐症状明显缓解,但新出现间断癫痫大发作,予以丙戊酸钠+氯硝西泮抗癫痫抗癫痫治疗,控制满意。就诊我院,神经系统查体未见明显异常。脑MRI检查提示松果体区占位(图 2A-C)。

图1,术前脑室稍扩大
手术
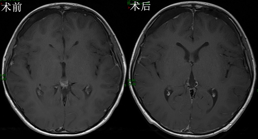
完善术前检查后,在全麻下行内镜下经幕下小脑上入路切除松果体区囊肿。俯卧位,枕下正中切口,骨窗充分暴露窦汇和双侧横窦。剪开、悬吊硬膜,经幕下小脑上探查松果体区,见囊肿位于第三脑室后部,锐性分离周围缘蛛网膜,完整切除囊肿,第三脑室结构清晰可见,保护完好(附视频)。术后MRI示囊肿消失(图2)。患儿恢复良好,无后遗症,1周出院。
术后病理报为松果体囊肿。免疫组化结果显示:松果体细胞:S-100(2+),CD56(3+),Syno(3+),NF(3+),NSE(3+),INI1(+),AE1/AE3(-),CK18(-),GFAP(-),Olig2(-),IDH1(-),P53(-),ChrA(个别+),CD34(-),BRAF-V600E(-),Ki-67(+,<1%)。胶质成分:GFAP(3+),Olig2(个别细胞+),IDH1(-),S-100(1+),CD56(2+),Syno(1+),NF(-),NSE(-),INI1(+),AE1/AE3(-),CK18(-),P53(-),ChrA(-),CD34(-),BRAF-V600E(-),Ki-67(+,<1%)。



图2,术后MRI检查,A、B、C分别为冠矢轴位手术前后增强MRI
讨论
松果体区肿瘤起源于松果体本身及周围组织,病理类型复杂多样,常见肿瘤有生殖细胞肿瘤、松果体细胞瘤和胶质瘤,也可见其它肿瘤如脑膜瘤、乳头状肿瘤、转移瘤、松果体囊肿、表皮样囊肿等。术前定性困难,需要活检或手术切除才能明确诊断。
本例患儿,首发头痛呕吐、脑室扩大,外院行三脑室底造瘘后,症状显著缓解,但肿瘤性质仍不明,又经历了第二次手术。所幸本例肿瘤全切除,病理为良性肿瘤,术后无需放化疗,能够治愈。我们认为,幕下小脑上中线或旁中线入路内镜手术可以安全切除边界清楚的松果体区肿瘤,本例切除肿瘤仅用时30分钟。直接切除肿瘤既能缓解脑积水,又能明确诊断;对于良性或低度恶性肿瘤有望治愈。因此,对于松果体区肿瘤,能够切除者尽量切除,避免多次手术。