2023年04月06日发布 | 401阅读
脑血管-动静脉畸形

复合手术室完成复杂脑血管畸形切除术

阴晓峰

山西医科大学第二医院

达人收藏

突发左上肢活动障碍1天


患者于1天前突发左上肢活动障碍,表现为持物不能,无法抬举,伴左上肢疼痛,无恶心、呕吐,大小便失禁,就诊于当地县人民医院行头颅ct:右颞枕高密度影,进一步头颅核磁:右颞枕血管畸形。患者家属为求进一步治疗,就诊于我院,门诊以“脑血管畸形”收住我科,患者自发病以来,精神、睡眠、食欲可,大小便正常,体重未见明显变化。


查体:神志清楚,言语流利,对答切题,双侧瞳孔等大等圆,直径约3mm,对光反射灵敏,左上肢肌力2级,余肢体肌力5级,双侧巴氏征阴性。


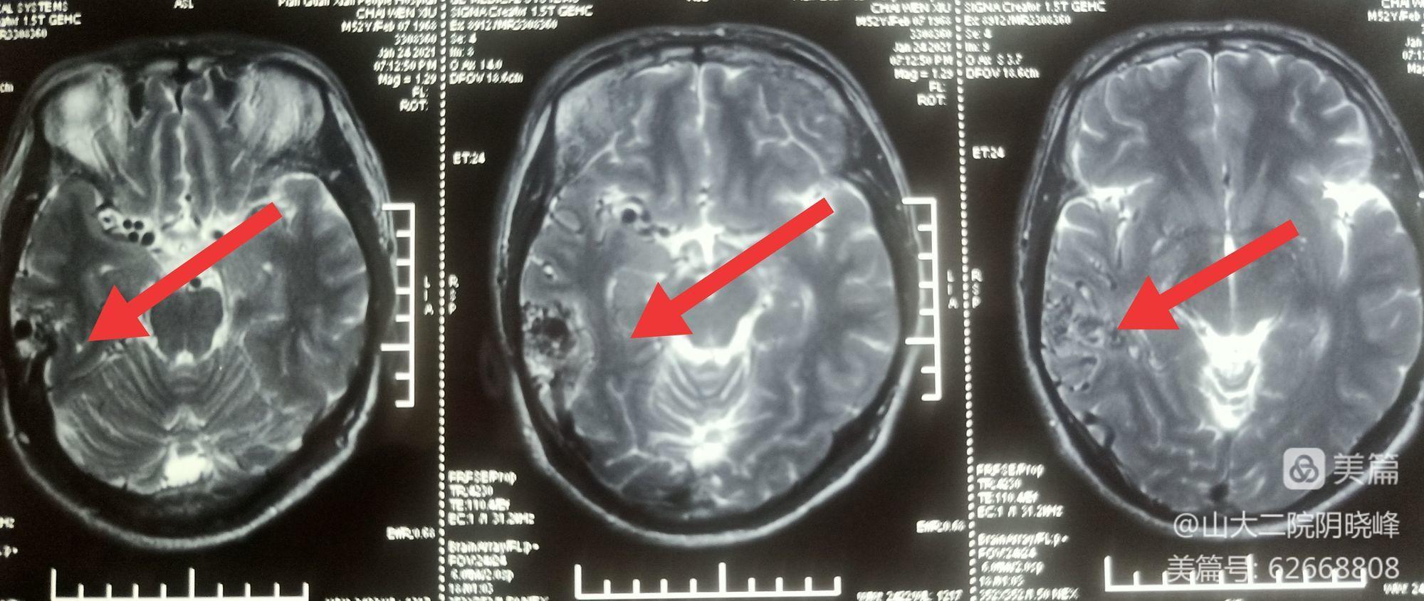
辅助检查:头颅核磁:右侧颞枕交界区可见迂曲流空信号影

术前头颅CT:右侧颞枕高密度影

术前头颅核磁:右侧颞枕交界区可见迂曲流空信号。

科室讨论后考虑:动静脉畸形伴出血可能(spetzler-martin三级)。完善相关检查及化验,行手术治疗

术前DSA明确供血动脉

术前DSA明确引流静脉

术前DSA

术中体位及切口

术中视频剪辑及手术要点


(1)骨窗暴露充分(2)辨认供血动脉,穿支动脉及过路动脉,环形游离畸形血管团,打开畸形团周围所有脑沟(3)阻断所有供血动脉,直至引流静脉变暗,切断供血动脉(4)然后切断引流静脉及畸形血管团。(5)术后保留气管插管镇痛镇静,控制血压。

手术部分视频剪辑

术中DSA复查造影:未见动静脉畸形显影,证实病灶全切。


术后第1天复查

  临床预后


患者术后平稳,无明显神经功能障碍。术后3天NIHSS评分1分,mRS评分1级。

最新评论
发表你的评论
发表你的评论