2023年04月06日发布 | 385阅读
神经介入-动脉瘤
脑血管-动脉瘤

一波三折的血泡动脉瘤Lvis支架辅助弹簧圈栓塞!

张永森

河南医药大学第三附属医院

达人收藏

患者女性,70岁,自发性蛛网膜下腔出血入地医院,入院时清醒,Hunt分级2级,当地医学院外请专家手术,术中发现左侧颈内动脉眼动脉段侧壁动脉瘤,大小约4mm,右侧颈内动脉床突上段背侧有一瘤状突起,约1mm,当时把左侧动脉瘤支架辅助栓塞了,术后恢复良好,术后12天患者突发昏迷,紧急气管插管,呼吸弱,呼吸机辅助呼吸,患者深昏迷,复查头颅CT又出血了,还是蛛网膜下腔出血,出血到是不多,家属要求转院治疗,转至我院,入院后患者意识恢复至浅昏迷,留置气管插管,病情稍稳定后行头颈联合CTA提示右侧颈内动脉床突上段动脉瘤,大小约3.4*4mm,至此病史基本明确,患者右侧颈内动脉血泡样动脉瘤,与家属谈话拟手术治疗,患者家属因为对当地医院不满意,有情绪!目前已经花费不少了,且患者还处于昏迷状态,暂时决定不手术,保守治疗。经治疗患者逐渐清醒,再次与患者家属沟通,家属决定手术治疗,不巧正赶上清明节,家属要求过清明节后手术,清明节这天患者突发头痛,短暂昏迷后意识又恢复至模糊,这次家属不再犹豫了,在清明节这天急诊手术了!(中间沟通好多次,反复强调血泡的危险性)。

第一次发病时CT

当地医院手术时造影,左侧颈内动脉眼动脉段动脉瘤

栓塞后

当地医院造影右侧颈内动脉床突上段瘤样突起,约1mm,未处理!

来到我院行CTA检查已经明确右侧颈内动脉血泡样动脉瘤,瘤体增大!

三维旋转造影

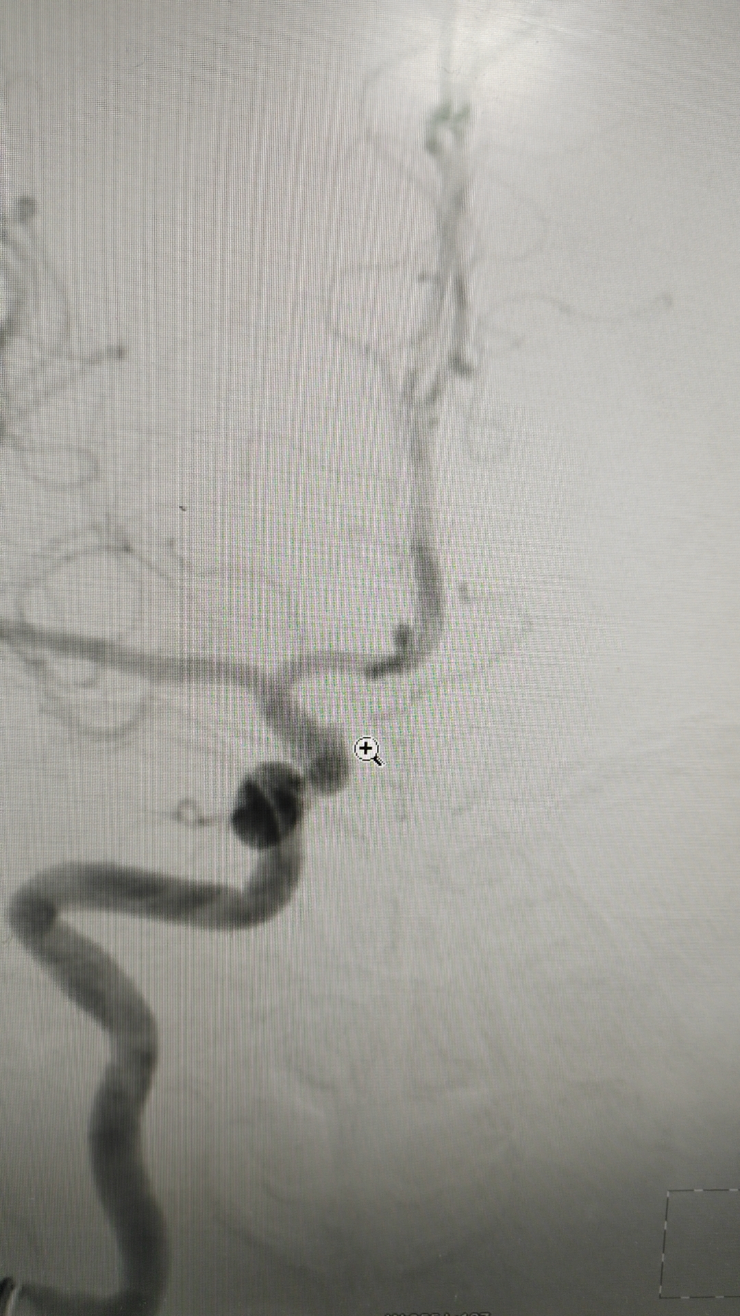
第三次出血后急诊上台,造影显示动脉瘤增大

工作位造影,瘤体约6.1*5.5mm,更加确认是血泡样动脉瘤!

3D成像!

微导管塑形

支架导管到位后栓塞导管到位

首圈6*18成篮

第二枚5*15

Lvis支架半释放后准备处理瘤颈,手头上没有3.5*15的支架了,选择3.5*20,颈内动脉虹吸弯处担心双支架可能打开不良,拟单支架辅助,所以瘤颈处理很关键,最好能出来铆钉效果!

瘤颈处理满意,按摩支架!

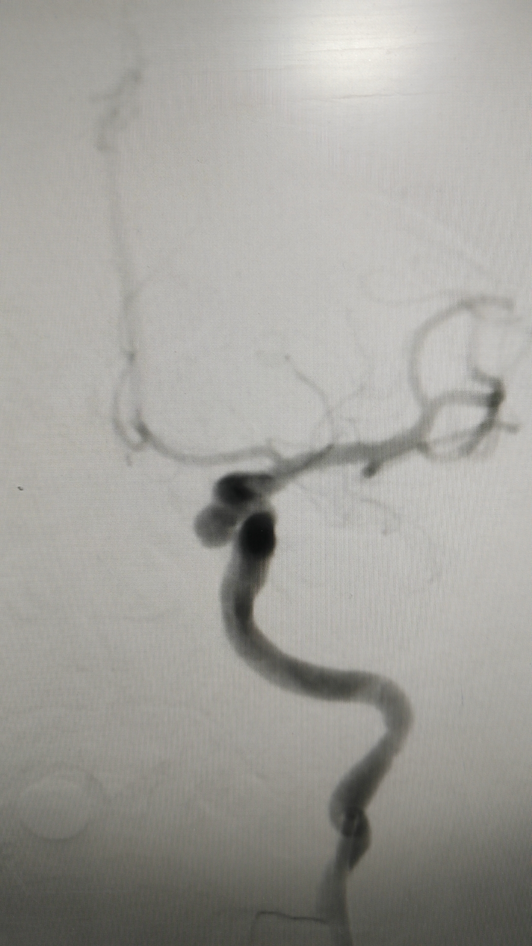
术后工作位造影

换个位置可以看见瘤颈填塞满意,铆钉效果出来了!

术后正位造影

术后侧位造影

术后顺便造了左侧颈内动脉

左侧颈内动脉侧位造影,动脉瘤位于眼动脉窝

术者体会:蛛网膜下腔出血患者如果发现多发动脉瘤,术中术者对责任动脉瘤的判断非常重要,一般情况下急性期先处理责任动脉瘤,二期处理非责任动脉瘤,当无法确认时最好同时处理!现在分析患者责任动脉瘤应该就是右侧颈内动脉血泡动脉瘤,左侧眼动窝动脉瘤为非责任动脉瘤,左侧动脉瘤从侧位造影上看也可能是海绵窦段动脉瘤,另外临床上眼动窝动脉瘤破裂很少见,所以应该重视右侧那个瘤样突起!想到血泡可能!否则容易出现不良后果!

最新评论
发表你的评论
发表你的评论