【在李小勇脑脊液科治疗过程和结果】
患者男,59岁,黑龙江省海伦市人。
一、李小勇脑脊液科入院前病史
患者于2022年3月16日早晨起床后,无诱因突发头痛,恶心及呕吐,嗜睡,急就诊于当地黑龙江省海伦市某医院,查头颅CT扫描脑出血(片子丢失),因技术有限,120急救车转至上级的黑龙江省哈尔滨某三甲医院,再次复查头颅CT示出血量无明显增多(片子丢失),当天给予脑室外引流术,脑室外引流术后次日查头颅CT示脑出血脑室引流术后(图-1),医生考虑为动脉瘤出血。
图-1:2022年3月17日头颅CT
当天查头颅头DSA(图-2)示大脑后交通动脉瘤。
图-2:2022年3月17日头颅DSA
2022年3月18日(脑出血后3天),给予了脑动脉瘤栓塞术治疗。
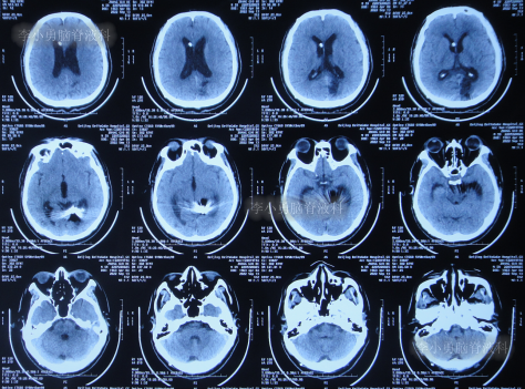
2022年3月23日(脑动脉瘤栓塞术后5天),查头颅CT示积血减少(图-3);术后身体恢复良好,能自行下地活动。
图-3:2022年3月23日头颅CT
第1次住院18天即2022年4月3日)出院回家,出院时身体无异常。
但出院回家后半个月即2022年4月18日,再次出现嗜睡,言语有时混乱,有走路不稳的症状,持续1周并没有好转反而逐渐加重,于是2022年4月25日(出院后22天),第2次返回给予手术的医院,查头颅核磁增强示脑积水(图-4);给予腰椎穿刺治疗。
图-4:2022年4月25日头颅核磁增强
2022年4月27日(入院治疗3天),脑脊液培养出细菌,给予抗感染治疗,查头颅CT示脑室扩张加重(图-5)。
图-5:2022年4月27日头颅CT
抗感染治疗28天即2022年5月25日,查头颅CT示仍脑积水(图-6),脑脊液仍有细菌。
图-6:2022年5月25日头颅CT
抗感染治疗41天即2022年6月7日,脑脊液化验细菌消失,但查头颅CT示仍脑积水(图-7)。
图-7:2022年6月7日头颅CT
2022年6月8日(第2次住院治疗44天),按计划进行了脑室腹腔分流术。
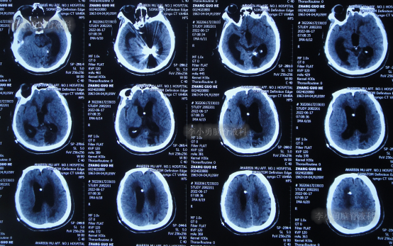
2022年6月13日(脑室腹腔分流术后5天),术后患者仍走路不稳,有时胡言乱语,言语不清,小便失禁,查头颅CT(图-8)示脑室仍有扩张。
图-8:2022年6月13日头颅CT
2022年6月17日(分流术后9天即第2次该院治疗53天),查头颅CT虽仍有脑积水(图-9),但仍让患者出院,出院时:仍走路不稳,有时胡言乱语,言语不清,小便失禁;转至当地的某医院进行治疗。
图-9:2022年6月17日头颅CT
在当地的某医院进行康复治疗1个月的时间,患者症状无改善,期间3次查头颅CT(图-10、图-11、图-12)均示仍脑积水。
图-10:2022年6月20日头颅CT
图-11:2022年7月1日头颅CT
图-12:2022年7月12日头颅CT
因患者症状一直没有改善,家属经过打听后于2022年7月22日来到北京北亚骨科医院的李小勇脑脊液科。
二、李小勇脑脊液科治疗过程和结果
2022年7月22日(脑动脉瘤栓塞术后126天,即脑室腹腔分流术40余天仍脑积水)住入李小勇脑脊液科;入院时:意识欠清,时有言语错乱,情感淡漠,小便失禁,坐着自己起不来,搀扶下能站立,但迈不开步,腹部有手术疤痕(图-13)。
图-13:入院时
入院时查头颅CT示脑室分流术后仍脑积水(图-14)。
图-14:2022年7月22日头颅CT
入院当天拔除了原脑室分流管+脑室外引流术(图-15)。
图-15:术后头颅CT
入院次日即2022年7月23日,引流出淡红色脑脊液(图-16)。
图-16:2022年7月23日
2022年7月26日(住院治疗4天),坐着变得能自己站起(图-17)。
图-17:2022年7月26日
2022年7月28日(入院治疗6天),引流出的脑脊液呈淡黄色稍浑浊(图-18)。
图-18:2022年7月28日
2022年7月30日(入院治疗8天),变得能自己慢慢走几步,但稍不稳,意识完全清楚,情感也明显好转(图-19)。
图-19:2022年7月30日
2022年8月3日(住院治疗12天),进行了脑室腹壁外引流术(图-20)。
图-20:2022年8月3日头颅CT
2022年8月27日(住院治疗36天),走路变正常,意识完全清楚,言语交流正常,大小便正常(图-21)。
图-21:2022年8月27日
2022年9月13日(住院治疗53天),常规查头颅CT示脑室引流术状态(图-22)。
图-22:2022年9月13日头颅CT
2022年10月11日(住院治疗80天),进行了脑室腹腔分流术。脑室腹腔分流术次日查头颅CT和身体均无异常(图-23)。
图-23:2022年10月12日头颅CT
2022年12月9日(李小勇脑脊液科治疗4月余)出院,出院时:身体一切正常(图-24),头颅CT未见异常(图-25)。
图-24:出院时
图-25:出院时头颅CT
〔本典型病例所涉及的图片和视频均经患者本人或家属同意,如有异议,请联系该内容发布方〕
*********专家简介***********
10.神经内科型脑膜炎(化脑/结脑/真菌/病脑)及其脑积水或顽固高颅压并发症。
交流咨询(中华脑脊液科医生群):13651375487(微信同号)




