山西省人民医院神经外科
肿瘤四组
张刚利主任医师
郭建忠主任医师
贺宇波主治医师
本期病例分享:
患者中年女性,主因"左额疼痛伴面部麻木半年"入院,以左侧中耳炎治疗未见缓解。
查体:左额疼痛感觉过敏,左侧口角为主感觉减退,伴左侧听力下降,左侧咀嚼肌无力。
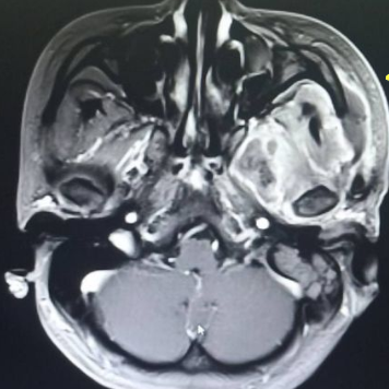
颅脑核磁示:左侧颞下窝占位。
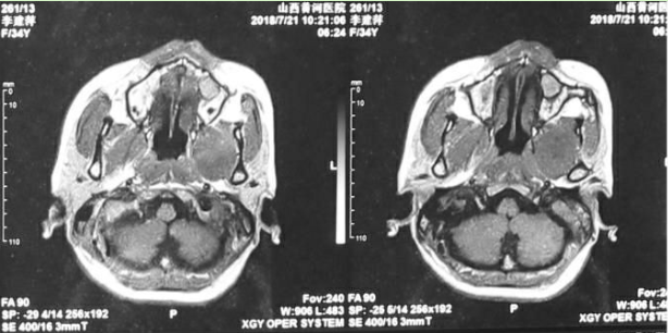
术前核磁
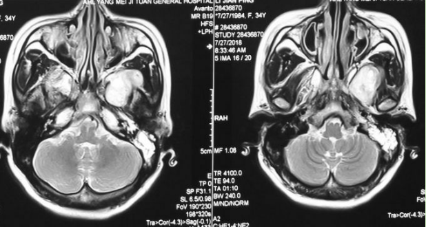
术前增强MRI
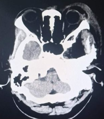
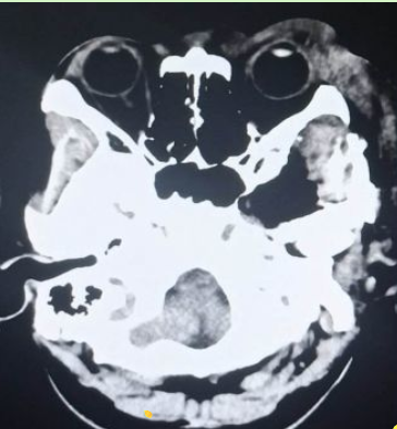
术前CT显示肿瘤和扩大的卵圆孔
结合术前颞骨CT薄层扫描+增强核磁,我们应该选择入路?
内镜侧颅底入路?
硬膜下入路?
硬膜外入路?
FUKUSHIMA侧颅底入路文献复习
第一步:皮瓣设计,注意保护面神经额支,眶上神经
第二步:显露并离断颧弓,牵拉颞肌显露中颅底骨质
第三步:铣下颞骨骨瓣
第四步:磨除残余颞骨和中颅底骨质,显露V2-V3之间lateral loop区域
第五步:如有必要,继续磨除下内侧骨质显露颞下窝区翼管神经,咽鼓管。向前方可到达V2和上颌动脉区域。
手术操作步骤
手术切口设计
翻开皮瓣暴露颞肌
显露颧弓和部分眶外侧壁
离断颧弓向下牵拉颞肌显示中颅底
磨除骨质显示中颅底硬膜
继续磨除中颅底骨质
继续磨除骨质显示圆孔,卵圆孔以及V2-V3
切开瘤膜,分块切除肿瘤
分离瘤膜边界,完整切除肿瘤
肿瘤残腔显示
术后第一天CT显示
术前术后中颅底对比
术后增强核磁显示
术后病理诊断符合神经鞘瘤
出院情况:
1.患者术后无发热,头痛,头晕不适,左颞软组织稍肿胀;
2.左侧面部感觉好转,仍有轻度麻木症状,咀嚼有力;
3.左耳听力明显好转,可正常接听电话,左侧额纹正常。




