患者,女性,51岁,哈萨克族,以“突发剧烈头痛伴恶心、呕吐2天”收住。在当地发病后就诊当地医院行头颅CTA:双侧颈内动脉颅内段动脉瘤,转入我院。神经系统查体:未见明显阳性体征。外院头颅CT:自发性蛛网膜下腔出血。头颅CTA:颅内多发动脉瘤(未带影像资料)。
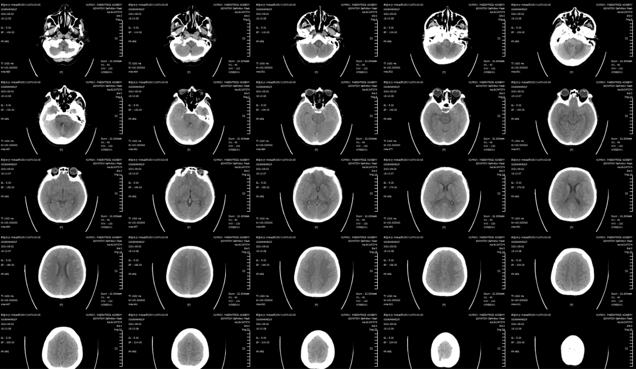
入院复查头颅CT:蛛网膜下腔少量出血!
与患者家属详细交代病情及风险后,患者家属要求行全脑血管造影术明确诊断后行介入栓塞术。
患者完善术前检查及准备后,全麻下行全脑血管造影术。
右侧颈内动脉正侧位造影:颈内动脉多发动脉瘤(眼动脉段及后交通段)。
右侧颈内动脉三维重建:颈内动脉多发动脉瘤(眼动脉段及后交通段)
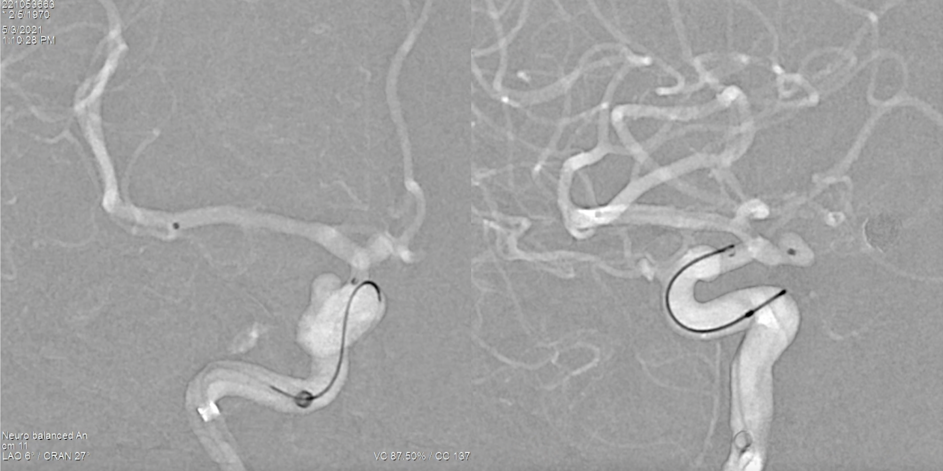
左侧颈内动脉正侧位造影:颈内动脉后交通动脉瘤。
右侧颈内动脉三维重建:颈内动脉多发动脉瘤(眼动脉段及后交通段)
7F长鞘+6F Navien建立左侧颈内动脉栓塞通路后,栓塞微导管超选进入动脉瘤瘤腔内。
行单纯栓塞,工作位造影及蒙片显示:动脉瘤栓塞完全!撤除栓塞导管。
术后左侧颈内动脉正侧位造影显示:动脉瘤栓塞完全!各级血管通畅。撤除通路系统。
将7F长鞘+6F Navien再次超选至右侧颈内动脉建立通路系统后,Headway-21支架导管及Echelon-10栓塞微导管超选到位!
选择Lvis 3.5*20mm支架半释放辅助下先行后交通动脉瘤栓塞,动脉瘤栓塞满意后,撤除栓塞微导管。
将Echelon-10微导管超选入眼动脉段动脉瘤瘤腔内,行首枚弹簧圈栓塞。
造影确认动脉瘤栓塞完全后撤除各级栓塞导管。
术后右侧颈内动脉正侧位造影:动脉瘤栓塞完全!
术后三维旋转造影:动脉瘤栓塞完全!
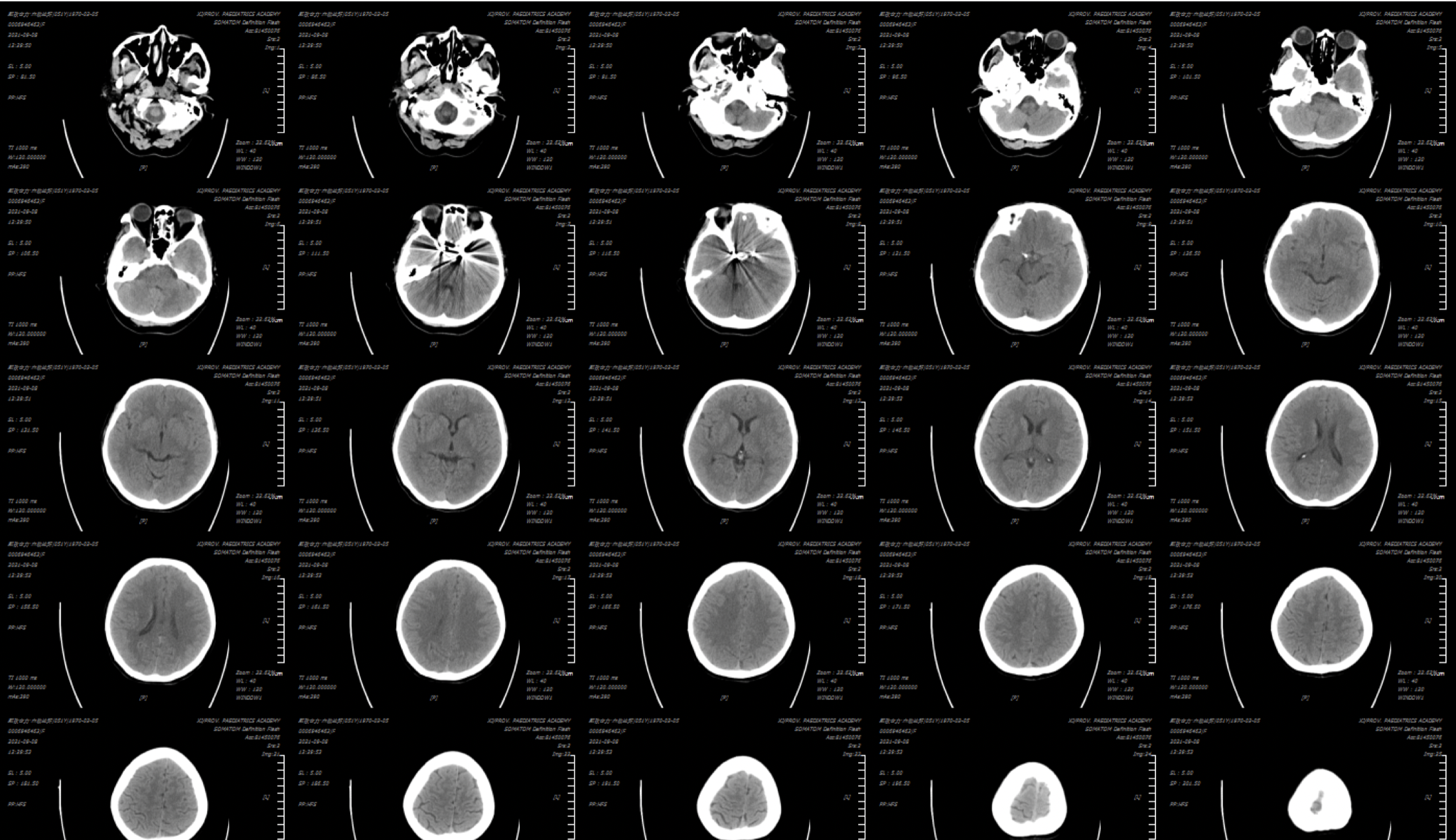
术后复查头颅CT:颅内未见明显异常!
术后3月复查右侧颈内动脉正侧位造影:动脉瘤栓塞满意,未见残留及复发。
术后3月复查右侧颈内动脉正侧位造影:动脉瘤栓塞满意,未见残留及复发。
术后3月复查左侧颈内动脉正侧位造影:动脉瘤栓塞满意,未见残留及复发。
术后3月复查左侧颈内动脉正侧位造影:动脉瘤栓塞满意,未见残留及复发。




