2023年02月25日发布 | 132阅读
神经介入-动脉瘤
脑血管-动脉瘤

未破裂前交通动脉瘤Atlas支架辅助弹簧圈栓塞!

张永森

河南医药大学第三附属医院

达人收藏

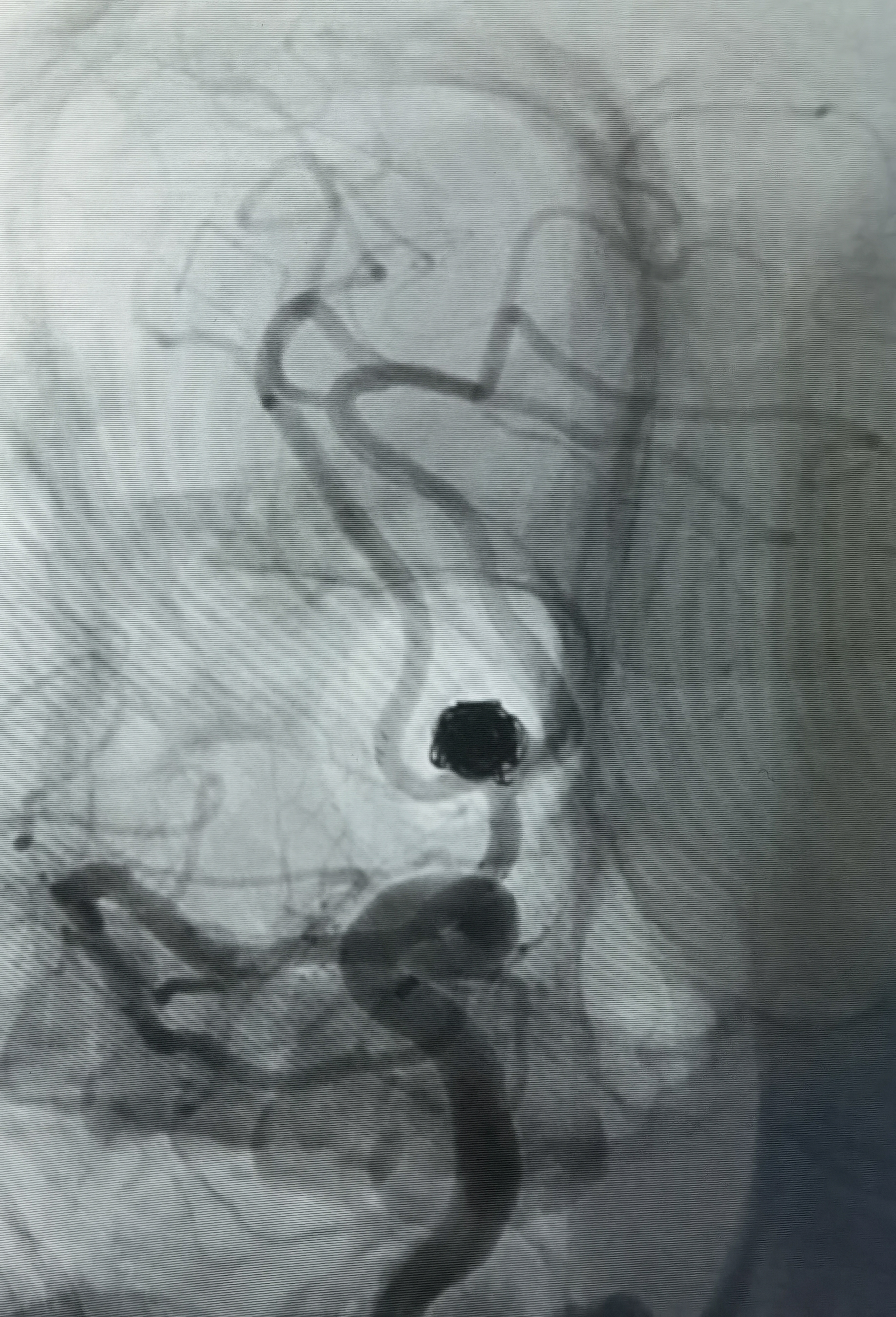
女性,63岁,体检发现动脉瘤,造影显示动脉瘤带子囊,破裂风险大,手术干预!

正位造影

侧位造影

三维旋转造影

工作位造影

Atlas支架释放后微导管进入瘤腔,双微导管栓塞

术后造影

最新评论
发表你的评论
发表你的评论