病史:男性,62岁,主因突发意识不清5小时余入院;
查体:T:36.5℃ P:86次/分 R:20次/分 BP:240/143mmHg 昏迷,刺痛不睁眼,无应答,左肢刺激可回缩,右侧刺激屈曲,GCS6分,双侧瞳孔直径左:右=2:2mm,光反射迟钝,四肢肌力检查不合作,肢体肌张力高,双巴氏征(+);
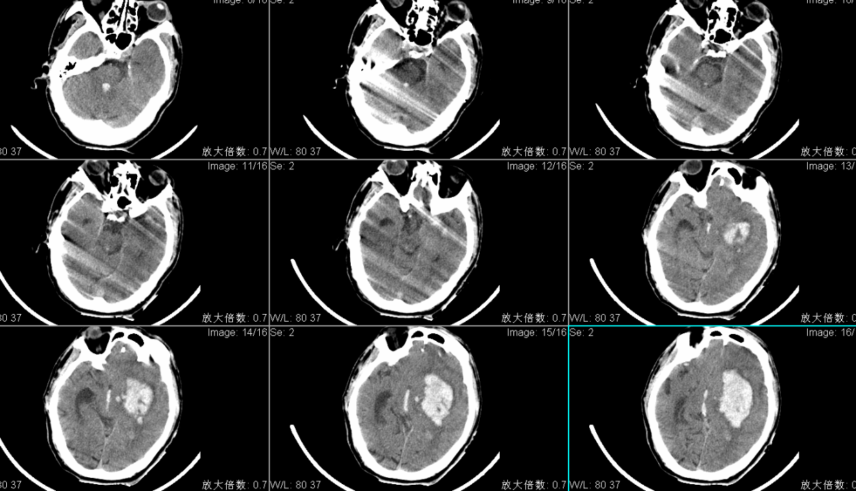
头CT显示左侧基底节区脑出血多田公式计算约100ml;
手术入路:神经内镜辅助经左额入路脑出血清除术。


头CT显示左侧基底节区脑出血多田公式计算约100ml;

术后CT复查左侧基底节区脑出血基本清除。
