

十月份我们科室承办了苏州市脑卒中与颅底手术的学习班,非常荣幸邀请了很多神经外科大佬来参会,学习到了很多新的理念,收获颇丰!

那我们科在脑卒中方面做了哪些工作呢?今天给各位看官老爷们汇报一下!脑卒中分为出血性卒中和缺血性卒中。其中颅内动脉瘤破裂出血和脑血管狭窄导致的脑梗塞是常见的代表性疾病!

病例一、颅内动脉瘤破裂出血(开颅动脉瘤夹闭术)
袁某某,女性,65岁,“突发意识障碍3小时”急诊入院。查体:神志中昏迷,双侧瞳孔4 mm,对光反射消失,Hunt-Hess IV级,左侧肢体刺痛屈曲,右侧肢体刺痛异常屈曲,病理征阳性。

CT检查提示左侧外侧裂,鞍上池以及脑室出血;CTA提示左侧后交通动脉瘤破裂出血。如此高等级的动脉瘤破裂出血,预后极差,九死一生!

急诊行左侧后交通动脉瘤夹闭+血肿清除+双侧脑室穿刺引流术。术后予以扩容,改善微循环,控制血压等综合治疗。尽一切可能,最快的清除脑内血肿!

术后三个月来我科随访,患者神志清,反应迟钝,遗留右侧肢体活动障碍,但家属知道该病情的凶险,表示很欣慰,同样给了我们很大的鼓舞,但对于高级别动脉瘤破裂出血治疗,我们还任重而道远。

病例二、颅内动脉瘤破裂出血(介入栓塞治疗)
吴某某,56岁,女性,因“右侧眼睑下垂一周”入院
查体:神志清,右眼瞳孔4mm,对光反射消失,右眼睑下垂

DSA提示右侧后交通动脉瘤,左侧颈内动脉末端动脉瘤,左侧后交通圆锥,左侧海绵窦夹层动脉瘤。

下面这个动脉瘤像不像一颗爱心,可是它很“凶残”。随时可能破裂出血,危急患者生命。

我们术中先解决右侧后交通责任动脉瘤,再解决左侧颈内动脉末端以及海绵窦夹层动脉瘤,手术顺利,动脉瘤消失,可谓一箭三雕🐮!

分享完出血性卒中病例,再分享一下缺血性卒中的精彩病例。

病例三、颈动脉狭窄(CEA内膜剥脱术)
刘某某,男性,70岁,因“反复头晕半年,加重一个月”入院。
查体:神志清,言语正常,肢体活动可,左侧肢体稍乏力。

MR提示右侧多发腔隙性脑梗塞,CTA提示右侧颈内动脉起始处狭窄90%。

术中暴露充分颈动脉,切开颈内动脉后可见粥样斑块,切除斑块,缝合,一气呵成!天下武功,唯快不破。。。

术后随访
CTA提示右侧颈内动脉狭窄消失,患者头晕症状消失

病例四、左侧大脑中动脉狭窄(搭桥手术)
张某,男性,72岁,因“右侧肢体乏力不适三个月”入院。

CT及CTA提示左侧大脑灌注不足,左侧大脑中动脉M1狭窄。考虑此处串通支较多,予以搭桥手术。

术中游离颞浅动脉,暴露大脑中动脉M4段,行STA-MCA吻合术。

半年后患者来我科复查DSA。颞浅动脉与M4血管吻合满意,颈外动脉造影可见大脑中动脉显影,天堑造通途。。。

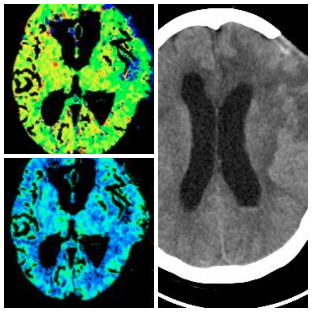
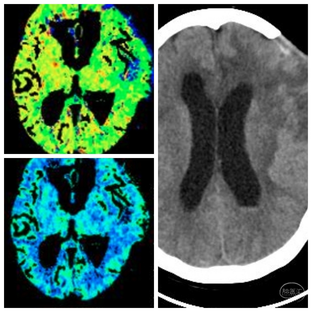
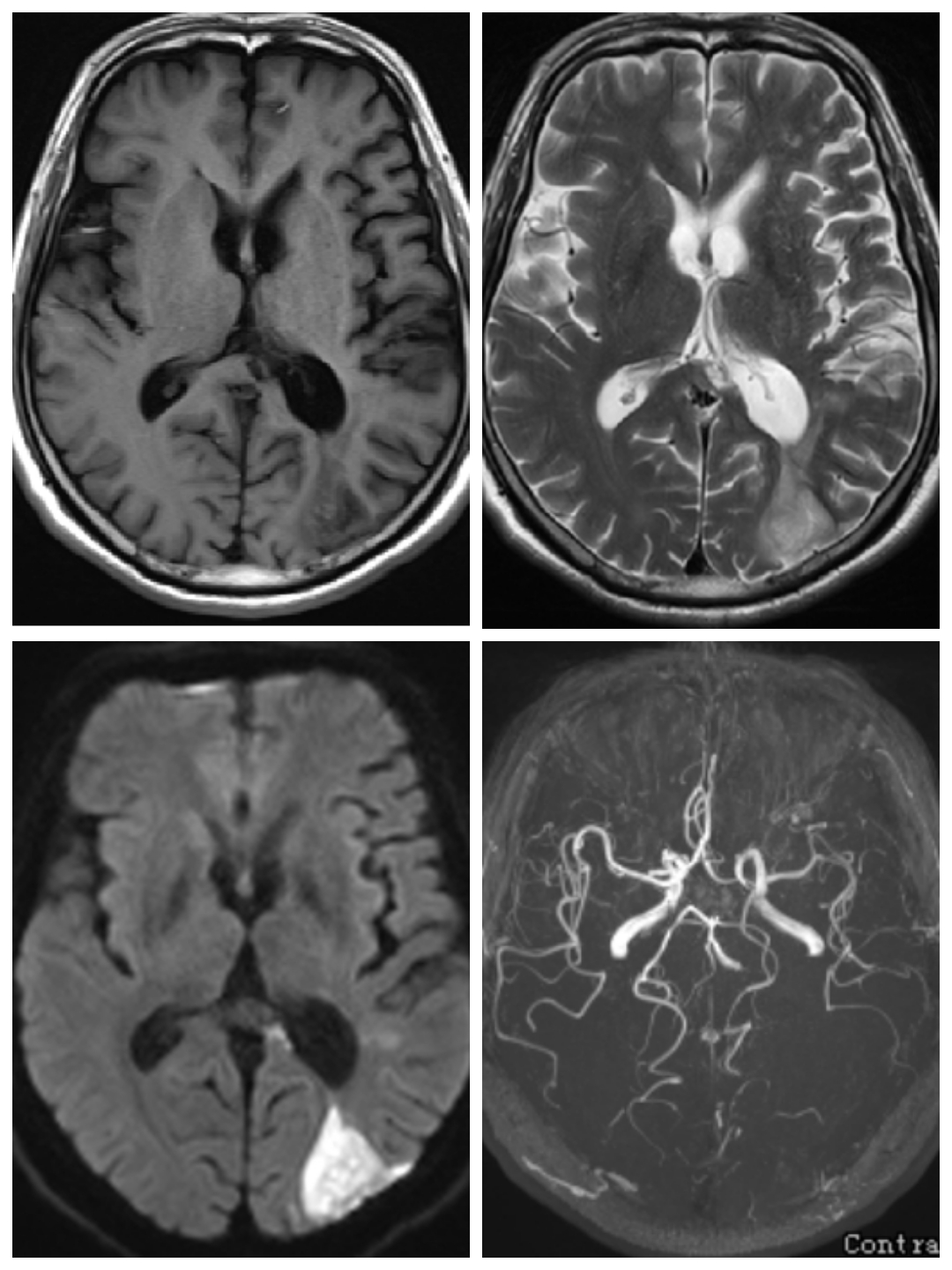
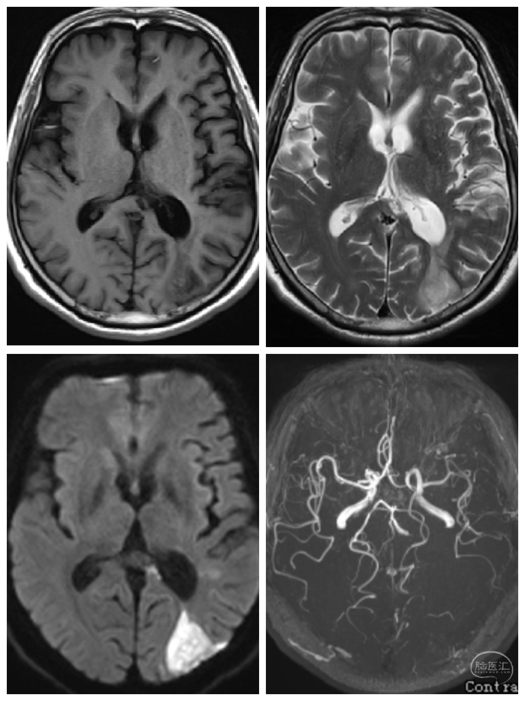
病例五 、左侧颈内动脉末端狭窄
刘某,女性,69岁,因“视物模糊伴头晕不适一个月”入院。

MRI提示左枕叶脑梗塞,粗看MRA还可以,左侧血管较右侧血管稍稀疏纤细一点。

进一步DSA检查提示左侧颈内动脉末端狭窄~果然比MRA精准

予以双导丝双球囊扩张,稀疏的颅内血管终于开枝散叶。术后患者症状改善,治疗效果非常满意。

对于脑卒中的治疗,我们整个医疗团队会奋力前行,雄关漫道真如铁,而今迈步从头越。看到科室优秀的小伙伴们,真是自惭形秽,我还要继续努力才行!