患者男性,47岁。突发头痛伴恶心呕吐4小时余入院。
PE:BP128/89mmHg,神志清楚,精神极差。刺痛后睁眼,问答切题,配合查体。双瞳孔等大等圆,d=3.0mm,对光反射灵敏。颈抵抗。心肺腹(-)。四肢肌力V级,肌张力正常。
入院CT提示蛛网膜下出血,右额叶出血。
入院CT检查
入院后完善相关术前检查。准备急诊在局麻下行全脑血管造影术。
患者进入导管室后,平卧病床约五分钟无明显诱因下出现癫痫大发作,立即地西泮10mg静脉推注后缓解。
立即行脑血管造影。
右侧颈内动脉造影。
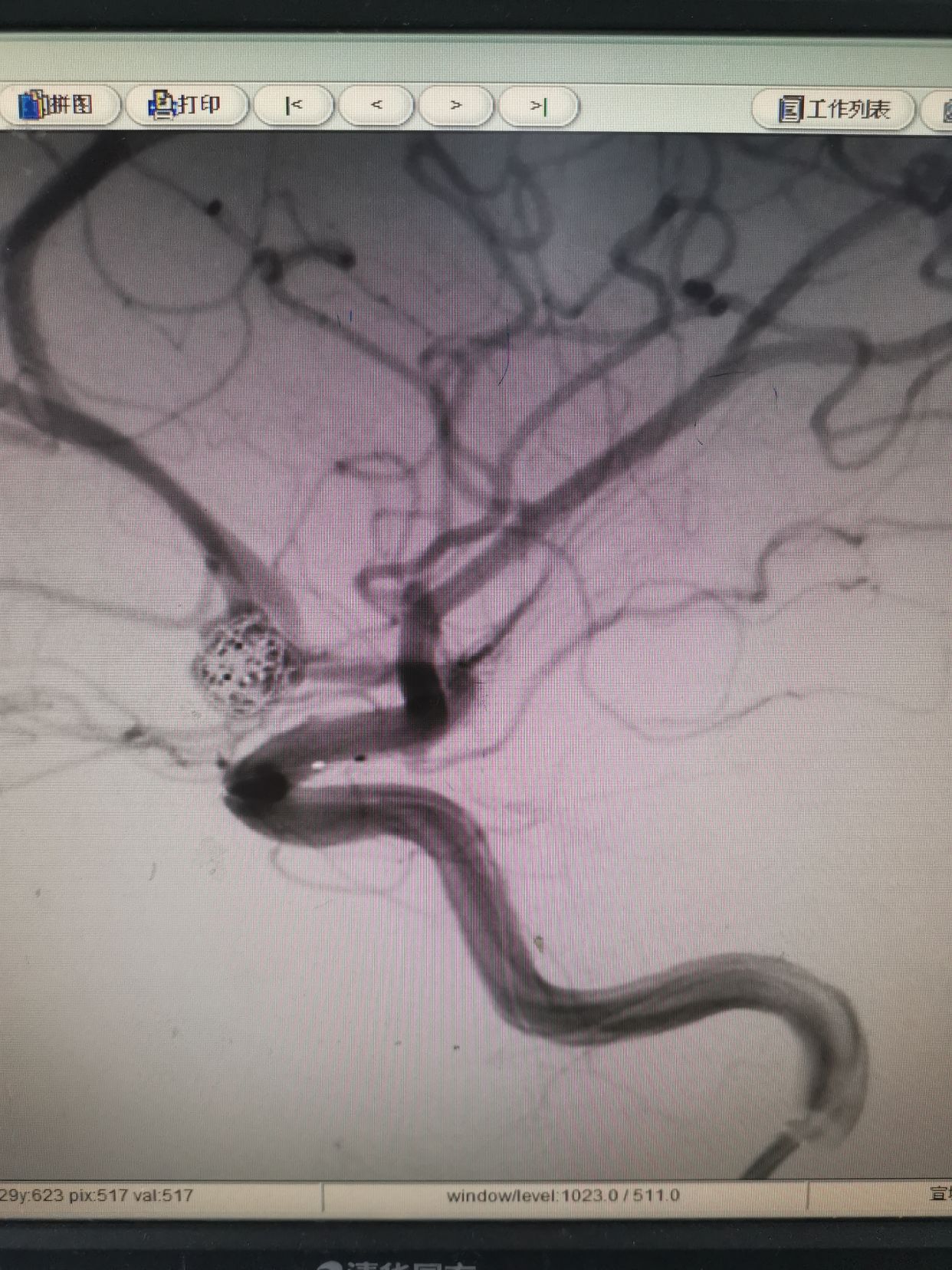
左侧颈内动脉造影,发现一宽颈前交通动脉瘤。
造影过程中,患者出现意识障碍加深,烦躁,不能配合,考虑颅内出的增加可能。术中请麻醉科老师急诊行气管插管麻醉。后行左侧颈内动脉3D造影。
左侧颈内动脉3D
左侧颈内动脉3D
左侧颈内动脉3D
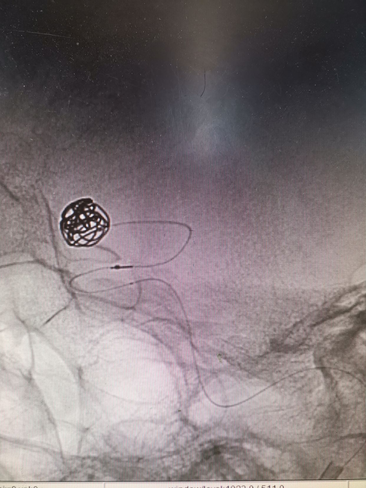
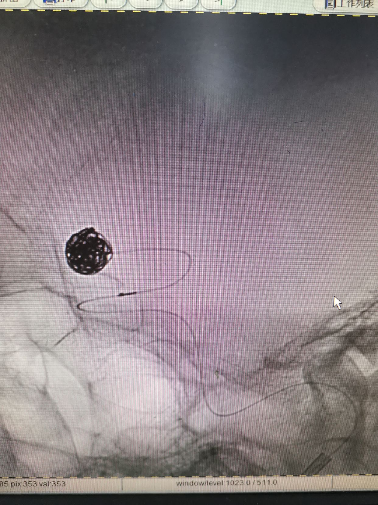
造影结束。患者全麻状态,观察患者瞳孔,右侧瞳孔散大,对光反射消失。立即行CT检查发现右额叶脑内血肿较前明显增加,脑内血肿形成。相关病情告知家属。拟立即快速行弹簧圈填塞术,术后直接入手术室行右侧开颅脑内血肿清楚术+去骨瓣减压术。
微导管到位后,填入Cosmos Complex 7mm/22cm
继续填入Complex 6mm/26cm
继续填入Complex 6mm/18cm
继续填入Complex 5mm/15cm
术后动脉瘤不显影,双侧大脑前显影。右侧略差。
介入填塞过程顺利,用时大约半小时,期间予20%甘露醇250ml静滴。后立即转入手术室行右侧开颅脑内血肿清除术。
术后即刻CT。术后给予对症支持治疗。
术后第八天CT




