双侧椎动脉闭塞再通一例工作总结
男性,56岁,突发意识嗜睡,言语不能,吞咽困难,右侧肢体偏瘫于8月7日收住院。入院后急诊给予阿替普酶静脉溶栓,溶栓后造影显示双侧椎动脉闭塞,后交通未开放,仅右侧椎动脉有一穿支向基底动脉少量供血,考虑为原位狭窄后急性闭塞。核磁显示脑干及小脑多发急性梗死灶,拟双抗3周后行再通治疗。给予阿司匹林100mg及氯吡格雷75mg双抗3周后患者吸入性肺炎并反复消化道出血,停双抗治疗给予抗炎、抑酸药物治疗后感染控制,消化道出血停止,查血栓弹力图后重启双抗治疗一周,病情稳定,于今日在全麻下行左侧椎动脉再通术,手术顺利,详细情况如下
入院MR
入院造影影像
手术规划
因患者左侧椎动脉自PICA以远完全闭塞,右侧椎动脉经穿支仍向基底动脉有少量供血,故决定开通左侧椎动脉。
因患者发病已6周,术前需重新评估血管代偿情况。
因患者双侧椎动脉均较细,术中需谨慎操作,严防损伤双侧椎动脉形成夹层或伤及右侧椎动脉穿支血管或左侧PICA动脉等
术后严格控制血压,防再灌注损伤。给予抑酸治疗,防消化道再出血等
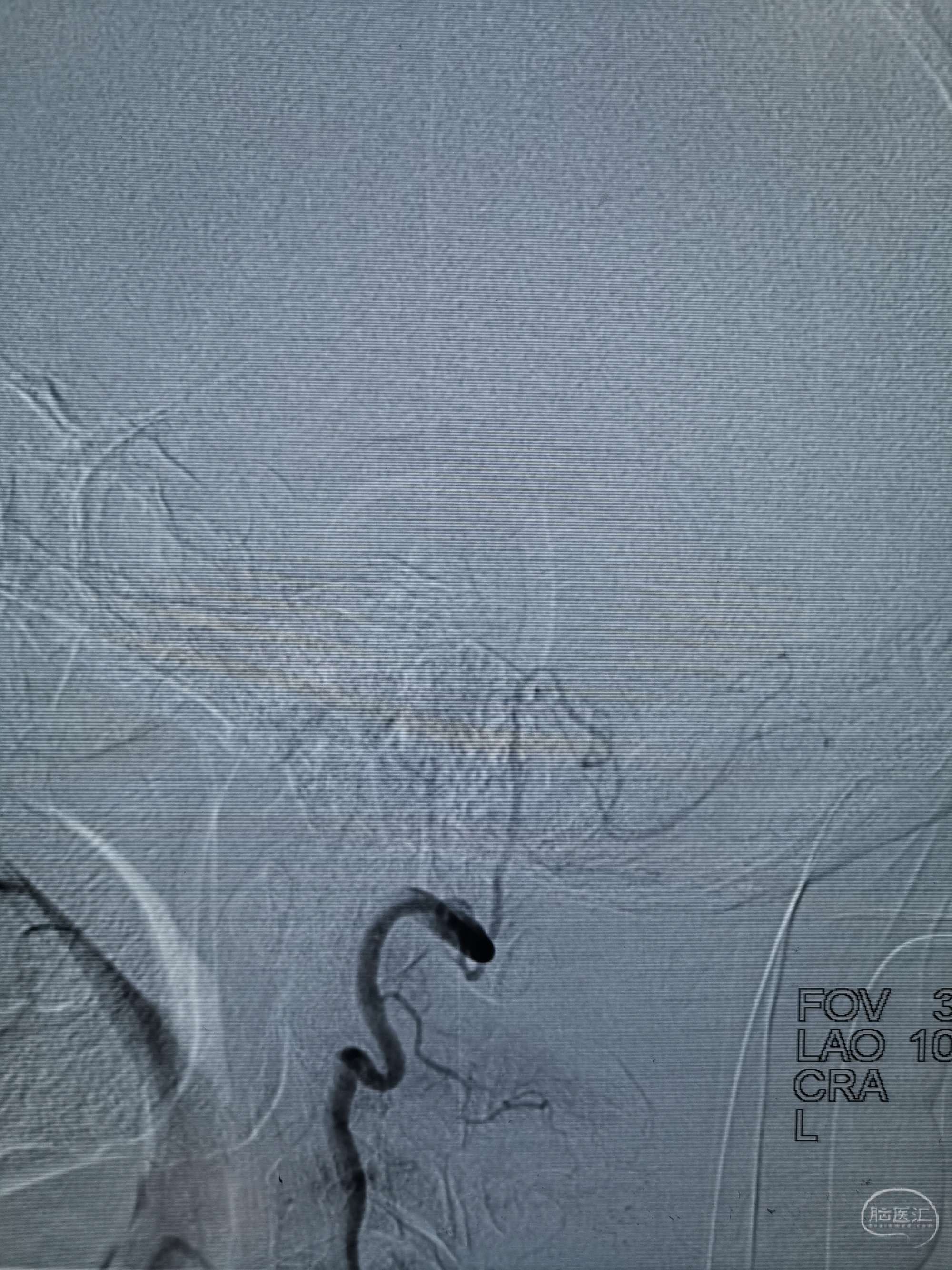
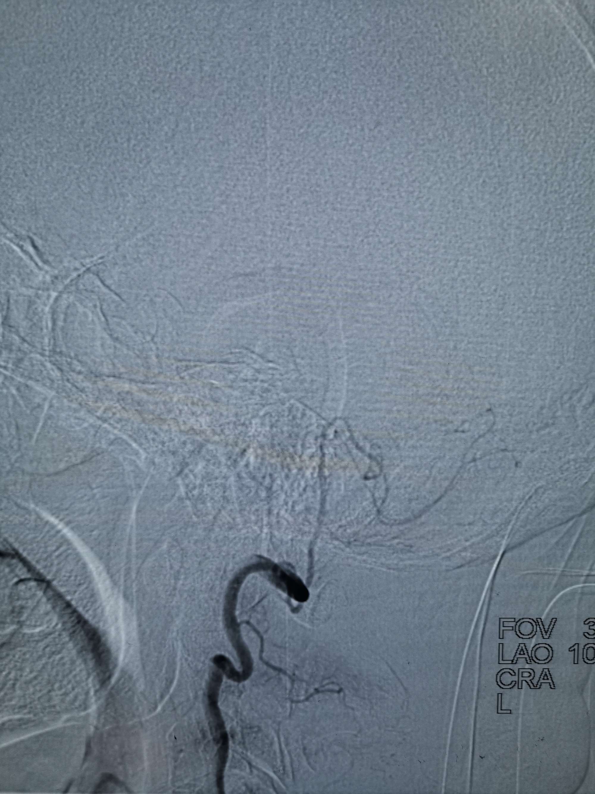
术前再次造影评估
右侧椎动脉穿支供血及左侧PICA供血较入院时略有改善,但改善不明显。故按计划行左侧椎动脉再通术
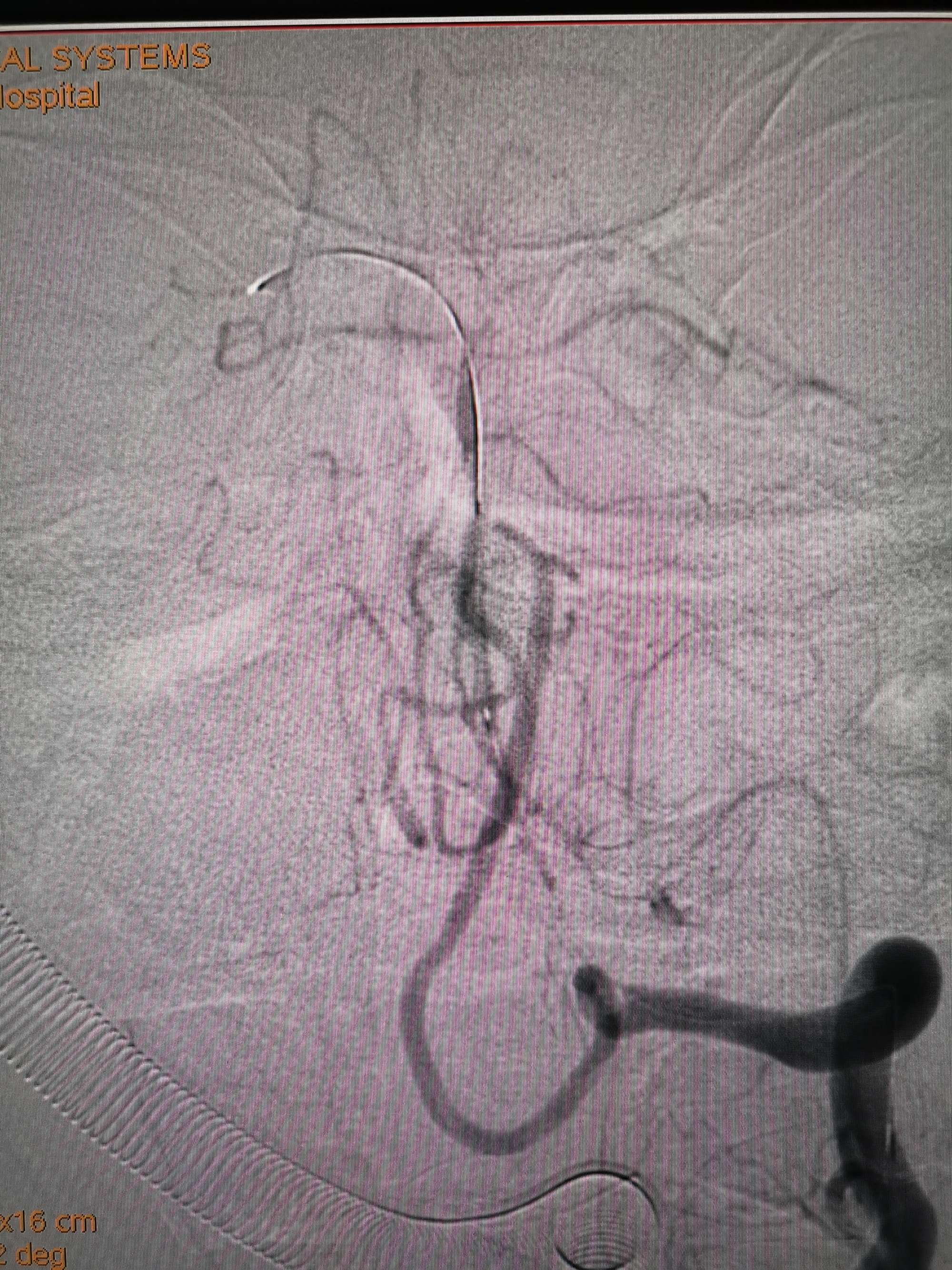
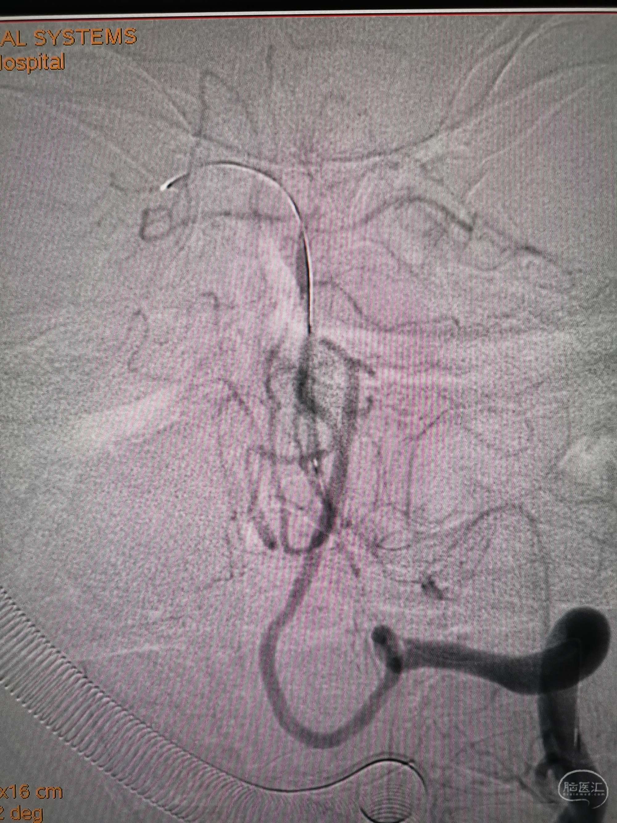
手术过程
在微导管支撑下先将微导丝和微导管穿过闭塞段,微导管超选造影证实位于基底动脉真腔后更换300cm外周交换导丝,撤出微导管后按从小到大,从远到近的原则行球囊扩张,本例手术选择了1.5✖️15、2.0✖️20、2.5✖️20球囊进行扩张,扩张满意后植入Enterprise支架,手术结束。
术后造影见左侧椎动脉闭塞段管腔恢复正常直径,远端血运良好。




