患者ZDY,男性,80岁,因发作性晕厥5年,加重1周入院。既往脑梗死、高血压病、糖尿病、冠心病病史多年。患者缘于5年前在行走时突发晕厥,倒地后被路人扶起,数分钟后逐渐缓解,不伴有肢体抽搐,无恶心、呕吐。此后曾多次出现晕厥,症状类似。1周前上诉症状再次发作,为进一步治疗入院。
入院查体:右上肢血压180/100mmHg,左上肢血压120/70mmaHg。心肺未见异常。专科情况:神清,语明,听力下降,颅神经未见异常。四肢肌力5级,肌张力正常,双侧病理征(-)。NIHSS评分0分。
诊断:
1、晕厥原因待查
2、脑梗死
3、高血压病3级(极高危)
4、糖尿病
5、冠心病

头CT示右侧颞叶陈旧性梗死。

核磁磁敏感未见颅内顺磁性物质沉积。

MRA示颅内血管动脉硬化改变。
彩超示左侧锁骨下动脉起始部管腔不清晰,未录到血流信号,左椎动脉反向血流,提示左侧锁骨下动脉窃血。右侧颈动脉窦部斑块形成,局部狭窄70%,峰值血流280cm/s。
诊疗分析:
患者临床表现为反复晕厥发作,系后循环缺血表现,彩超提示左锁骨下动脉窃血及右侧颈动脉窦部狭窄,应进一步完善脑血管造影评估血管及侧枝代偿情况。

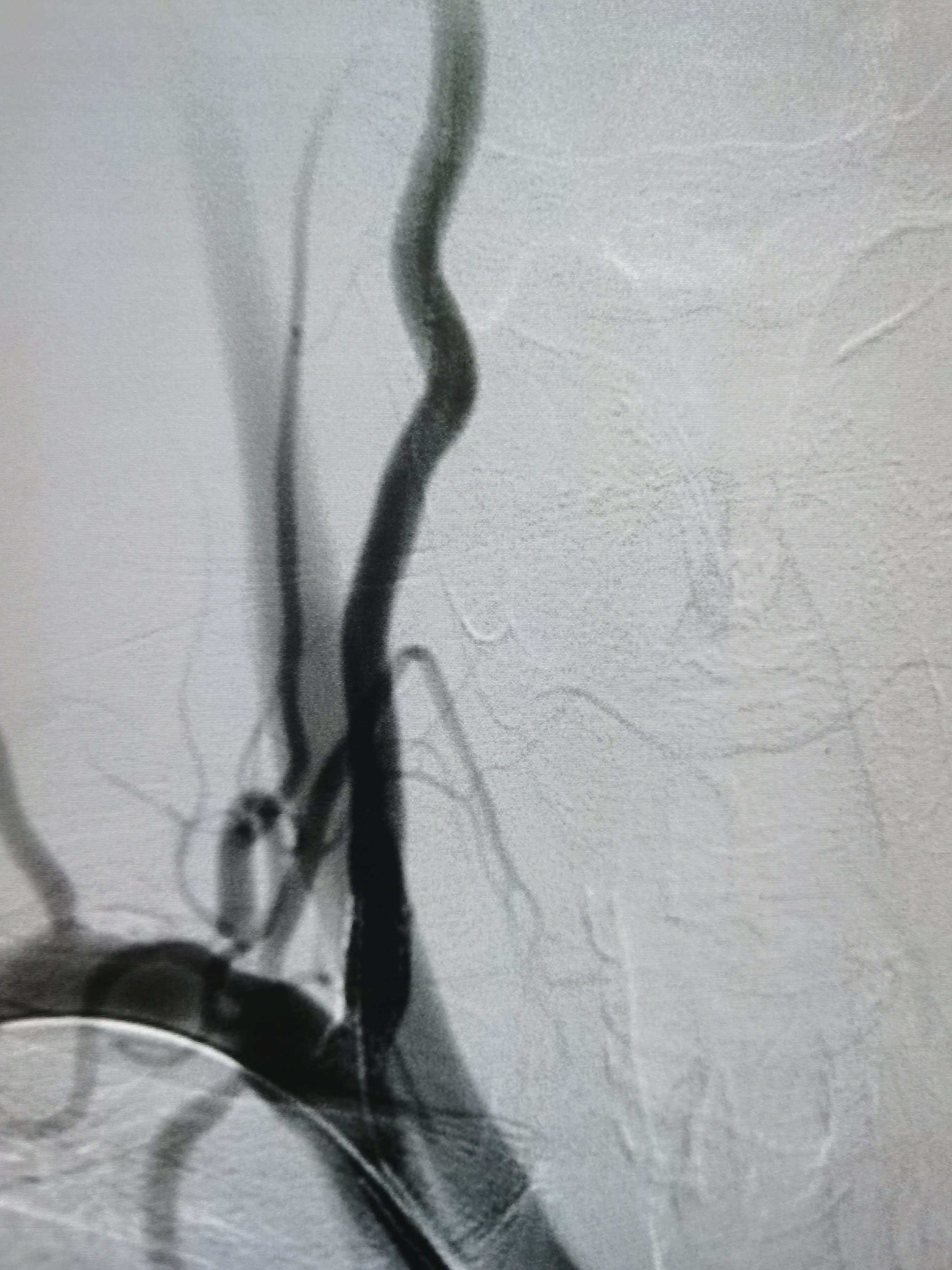
DSA示右椎动脉优势,起始部极重度狭窄,左侧椎动脉完全反向血流,动脉晚期可见左侧锁骨下动脉闭塞端。

右椎动脉起始部极重度狭窄。

右颈内动脉窦部重度狭窄,局部斑块不稳定。

右颈颅内段动脉硬化,右侧后交通动脉开放。

右颈颅内段动脉硬化,右侧后交通动脉开放。

左侧颈内动脉起始部粥样硬化斑块,狭窄50%。

左颈内动脉颅内段动脉硬化改变。

左颈内动脉颅内段动脉硬化改变。

左侧锁骨下动脉起始部完全闭塞。
造影分析:
1、造影明确左侧锁骨下动脉起始部完全闭塞,右椎造影可见左椎返流,晚期可见圆钝的锁骨下动脉闭塞端,结合病史考虑闭塞时间较长。
2、右椎动脉起始部极重度狭窄,系责任血管。
3、右侧颈内动脉起始部重度狭窄,局部斑块不稳定,且右侧后交通动脉开放。
4、结合患者病史及临床表现考虑后循环缺血明确,经脑血管造影评估后拟先行右侧椎动脉起始部支架成形术,再行右侧颈内动脉起始部支架成形术。
5、手术风险在于术后高灌注出血风险,向患者家属详细交代病情及手术风险后家属同意手术治疗。

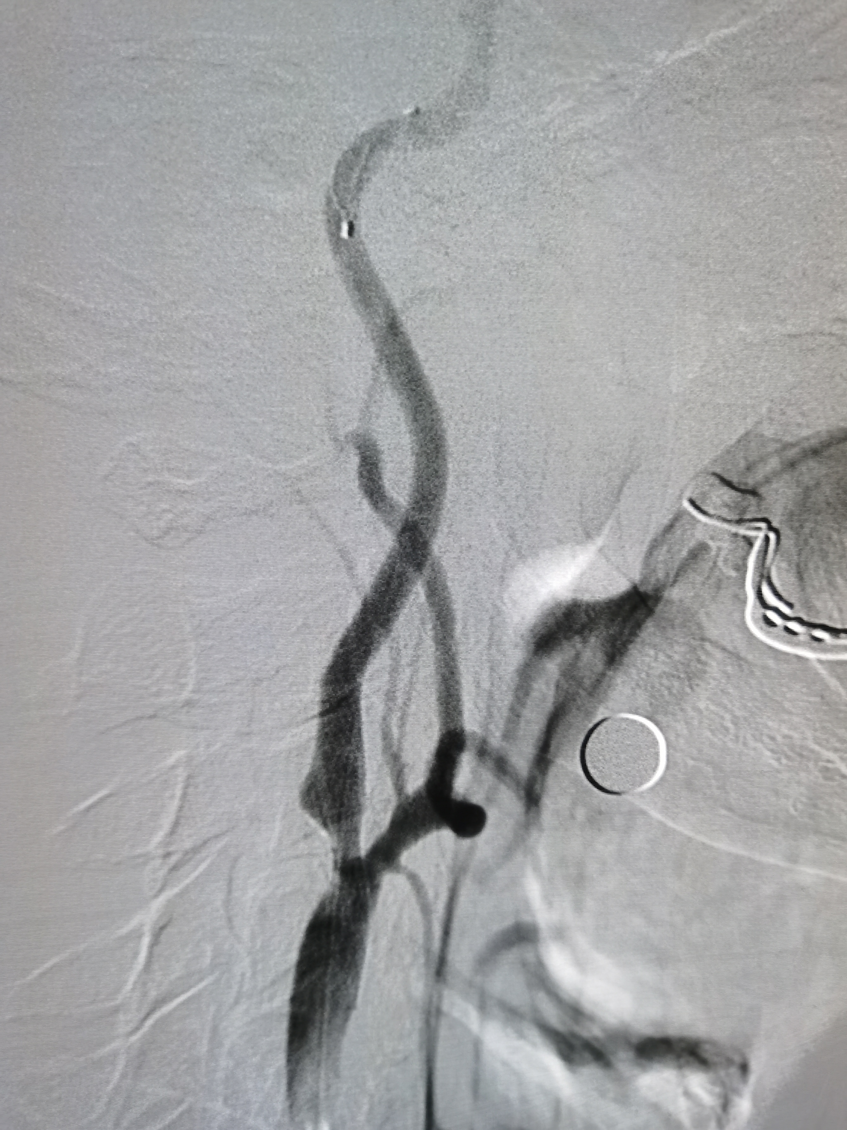
5.0/15支架定位

支架释放后狭窄解除


将导引导管调至右侧颈总末端,送入远端保护伞,4/30球囊预扩。

7-9/40支架定位

支架释放后狭窄改善,考虑患者高龄,颅内动脉硬化,担心术后高灌注出血,遂未再进行大球囊后扩。

撤出保护伞,造影见狭窄改善明显。


术前术后对比
术毕,撤出各级导管,缝合股动脉。术后给予积极控制血压,避免高灌注损伤,患者病情平稳,无不适主诉。
术者体会:
1、本例患者反复晕厥发作,考虑后循环缺血。经无创血管检查及脑血管造影证实了后循环窃血及极重度狭窄,符合责任血管。
2、右侧颈内动脉起始部重度狭窄合并不稳定斑块,且同侧后交通开放,同期处理可增加后循环血供且减少斑块脱落导致卒中风险。
3、前后循环同期处理,步骤上应先处理后循环,避免处理颈动脉过程中出现严重窦反射造成低血压引起后循环缺血加重。
