病例1 中年女性,因头痛、头晕一月余入院。诊断:烟雾病。

磁共振灌注提示:左侧大脑半球低灌注改变。


DSA示:左侧大脑中动脉闭塞,烟雾样血管形成。

DSA示颞浅A未向颅内代偿。

颞浅A-M4端侧吻合16针,荧光造影显示:吻合血管通畅。
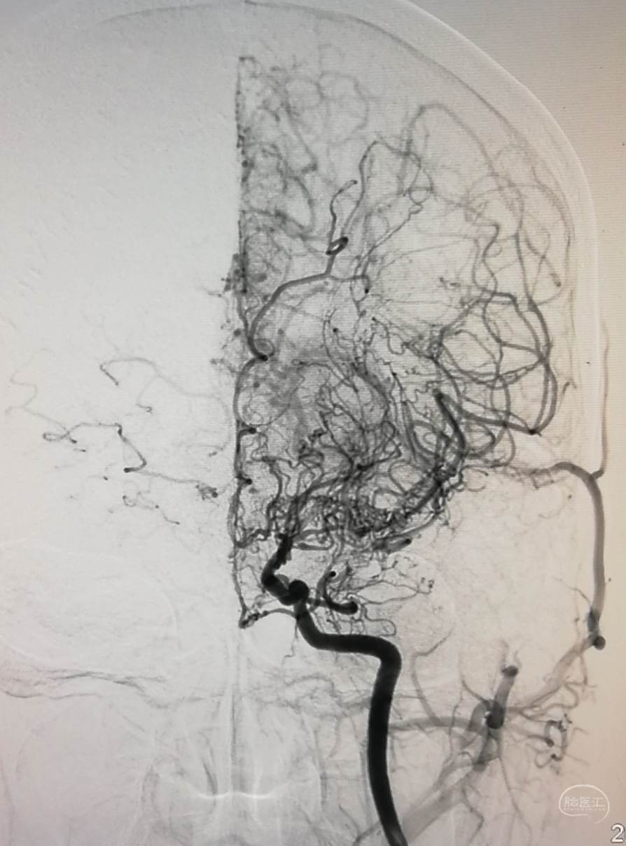
病例2 中年女性,因头昏、记忆力下降1年余入院。诊断:烟雾病。

DSA示:左侧大脑前、大脑中动脉闭塞,烟雾样血管形成。

DSA示颞浅A未向颅内代偿。

磁共振灌注提示:双侧大脑半球低灌注改变。


颞浅A-M4端侧吻合14针,荧光造影显示:吻合血管通畅。
病例3 中年女性,因头痛、头昏、反应迟钝半年余。诊断:烟雾病。

磁共振灌注提示:双侧大脑半球低灌注改变。


DSA示:左侧大脑前、大脑中动脉闭塞,烟雾样血管形成。

DSA示颞浅A未向颅内代偿。

颞浅A-M4端侧吻合14针,荧光造影显示:吻合血管通畅。
病例4 中年男性,因头痛、一侧肢体无力二月余。诊断:烟雾病。

磁共振灌注提示:双侧大脑半球低灌注改变。


DSA示:左侧大脑前、大脑中动脉闭塞,烟雾样血管形成。

DSA示颞浅A未向颅内代偿。

术前彩色荧光造影示:缺血区。

颞浅A-M4端侧吻合14针,荧光造影显示:吻合血管通畅。

术后荧光造影示:缺血改善。
病例5 中年女性,因头昏、反应迟纯1年余。诊断:烟雾病。

磁共振灌注提示:双侧大脑半球低灌注改变。


DSA示:左侧大脑前、大脑中动脉闭塞,烟雾样血管形成。

DSA示颞浅A未向颅内代偿。

颞浅A-M4端侧吻合14针,荧光造影显示:吻合血管通畅。
手术团队
张广林主任简介:副主任医师,副教授,第四军医大学神经外科学博士,省人民医院脑血管病一区三级医师组长。师从我国著名神经外科专家高国栋、赵振伟教授,从事脑血管病的介入及显微手术治疗二十余年。先后在解放军153中心医院、郑大一附院、河南省人民医院工作,曾荣获解放军科技进步三等奖3项,河南省卫生厅科技进步一等奖1项,发表SCI 5篇,中华及一级核心期刊二十余篇,参与国家级课题2项。07年河南较早开展了烟雾病颅内外血管搭桥手术,开展了脑血管狭窄、动脉瘤开颅及介入手术,是我省为数不多的熟练掌握脑血管病复合手术的专家之一。2019.11开展了国内首例大脑中动脉斑块剥脱及颅内外血管搭桥手术,目前脑血管病(烟雾病、脑动脉瘤、脑出血、脑肿瘤等)年III级以上手术量超过600例,手术成功率达95%以上。
常晓赞:神经外科博士,主治医师。先后就读第四军医大学(本、硕士),第二军医大学(博士),师从我国长海医院著名神经外科专家刘建民教授。曾在济南军区总医院、山东省肿瘤医院神经外科工作,主要从事脑血管病、脑肿瘤的介入及手术治疗,临床经验丰富。