
龙珠是龙的精华所在,是吉祥的象征。双龙戏珠表达了人们对美好生活的向往和追求。今天,我们来介绍下神经介入手术的必杀技-双微管技术。

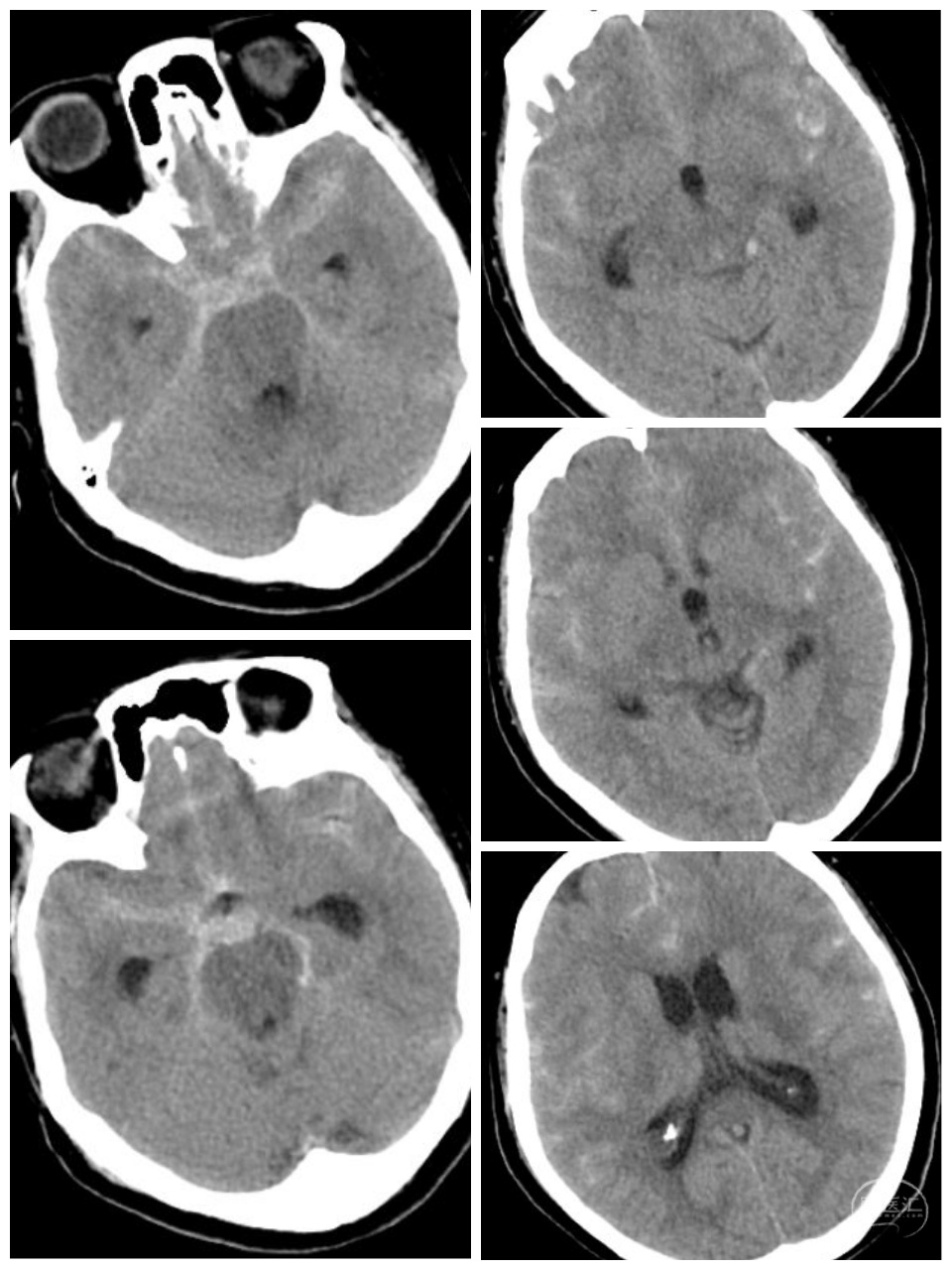
女性,66岁,突发剧烈头痛2小时。Hunt-Hess二级。

右侧颈内动脉-后交通动脉段分叶状动脉瘤。

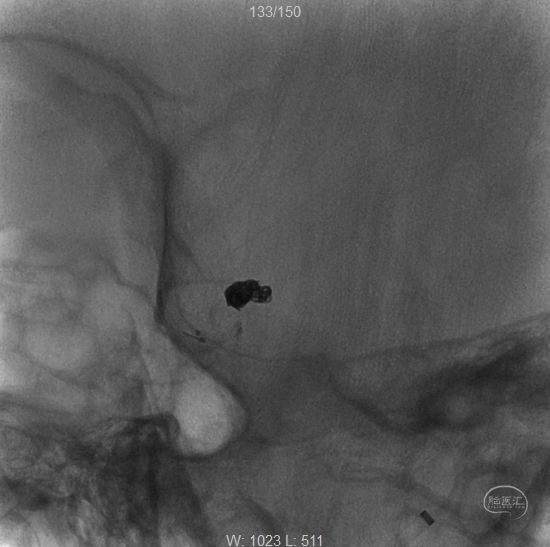
正侧位

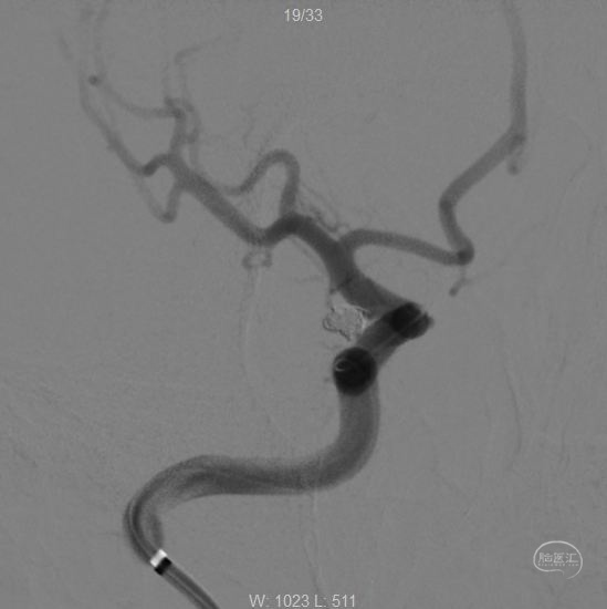
三维

其他血管情况

两根微导管到位(箭头示微导管2),先经过微导管1植入一枚,三维Target3-4弹簧圈,不解脱。

再经过微导管2植入一枚,三维Target2-6弹簧圈。

再经过微导管2,植入一枚二维target2-4弹簧圈。

解脱第一枚弹簧圈,经过微导管1,继续填塞,二维Target2-4、APB1.5-4-3D-ES、APB1.5-2- HX-ES、APB1-4-3D-ES各一枚。

撤出微导管1,可见该微导管占据的缝隙,此处仍空虚。

造影

继续经过微导管2植入:APB1-3-3D-ES、二维Target1-2各一枚。

术后工作位造影

换角度观察,栓塞满意。

正位

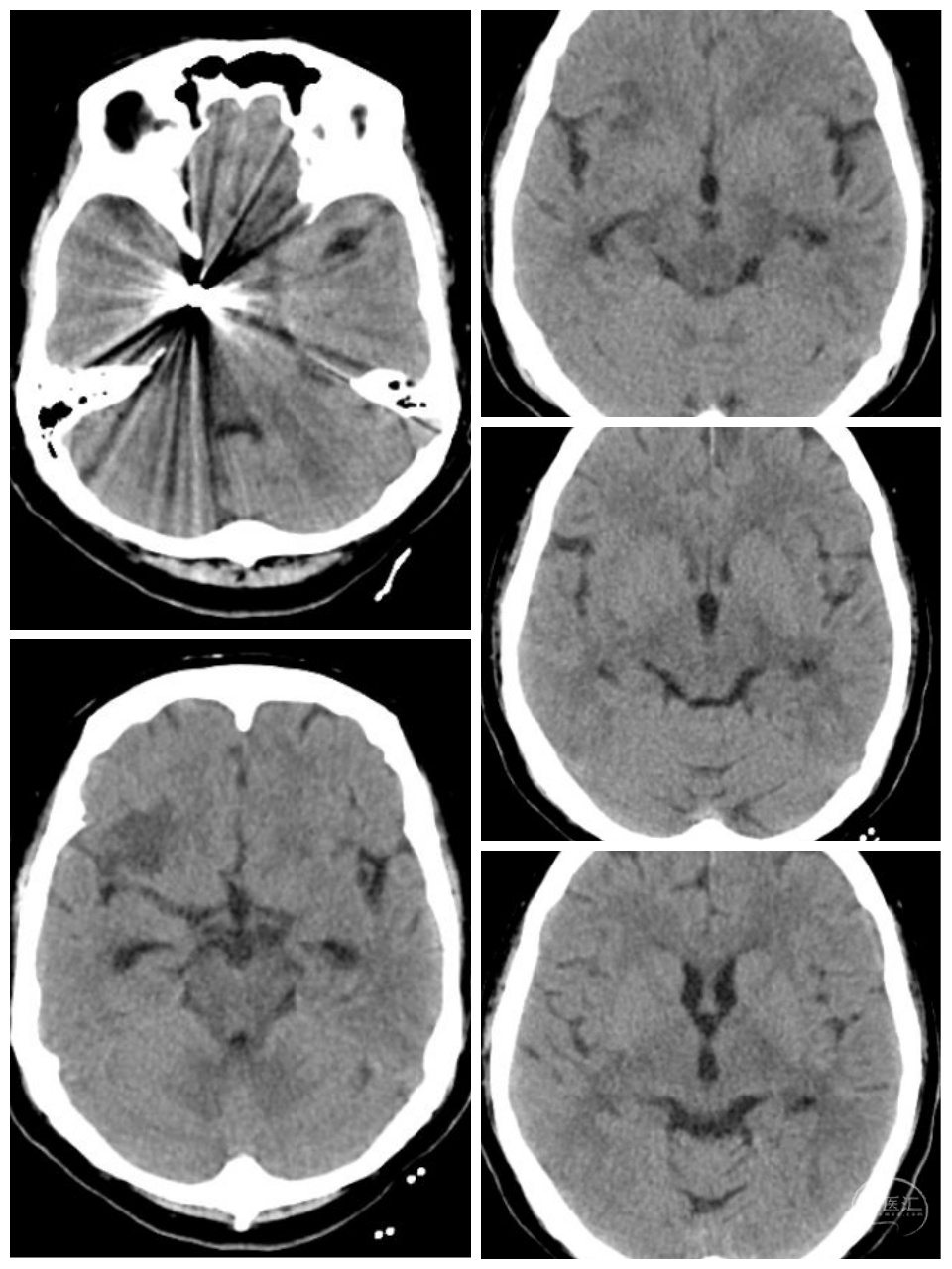
术后第二天CT:未见异常,术后一周顺利出院。

除了双微导管技术,神经介入手术还包括很多技术,但任何一项技术想要如火纯青,只能苦练。就像降龙十八掌,每一掌都有“排山倒海”之力。从“亢龙有悔”到“神龙摆尾”只有十八式,却是绝顶武功之一。然而,真正练成的寥寥无几,主要是功力不够,所以勤学苦练才是王道!