【在李小勇脑脊液科治疗过程和结果】
患者男,15岁,河南省周口市人。
一、李小勇脑脊液科入院前病史
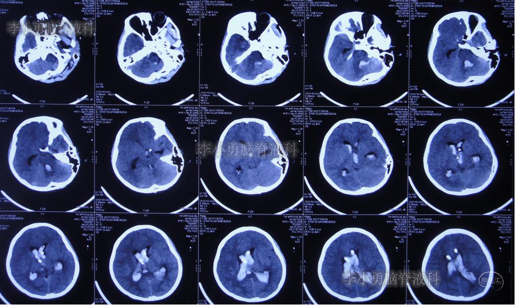
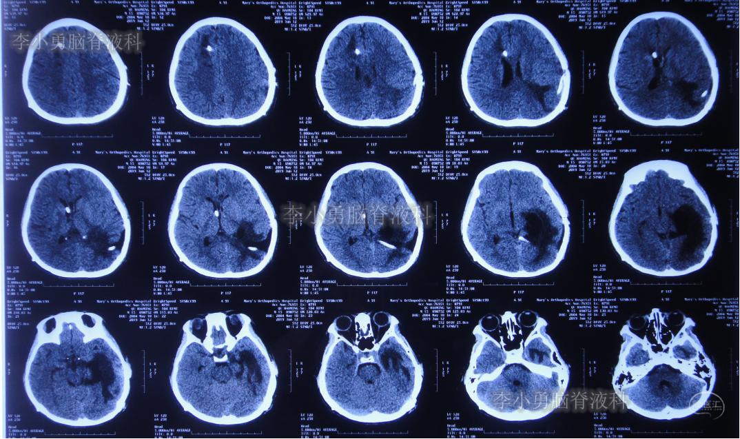
2019年3月26日患者突发头痛及呕吐,随后出现晕厥。急救车送至河南省周口市某医院。行头颅CT(图-1):脑室内出血,次日急诊给予行双侧脑室外引流术(图-2)(第一次的脑室外引流术)。
图-1:2019年3月26日头颅CT:脑室内出血
图-2:2019年3月27日头颅CT:双侧脑室外引流术后
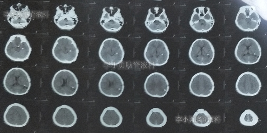
双侧脑室外引流5天后即2019年3月31日,脑脊液颜色由血性明显变淡,意识转清,肢体活动良好,给予复查头颅CT(图-3):脑室不大,残留少许积血。
图-3:2019年3月31日头颅CT:残留少许积血
双侧脑室外引流6天即2019年4月1日,给予常规拔除双侧脑室外引流管。但当晚再次出现剧烈头痛、烦躁及恶心,复查头颅CT(片子遗失)示脑室内再次出血,给予“对症处理”。
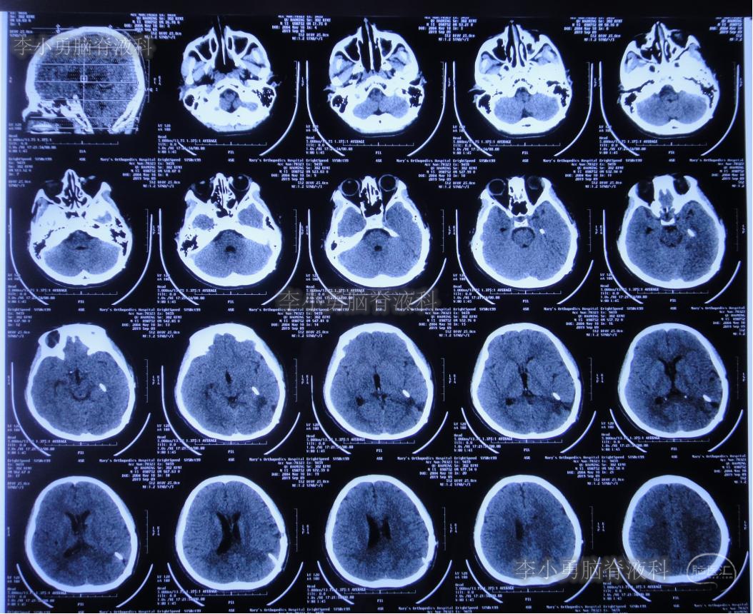
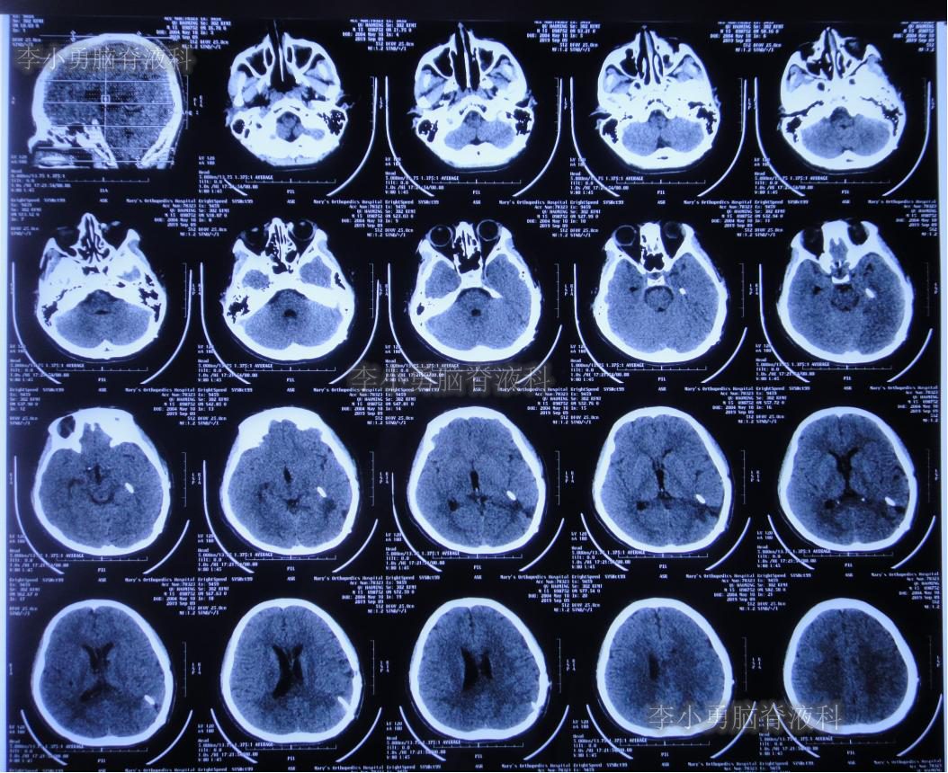
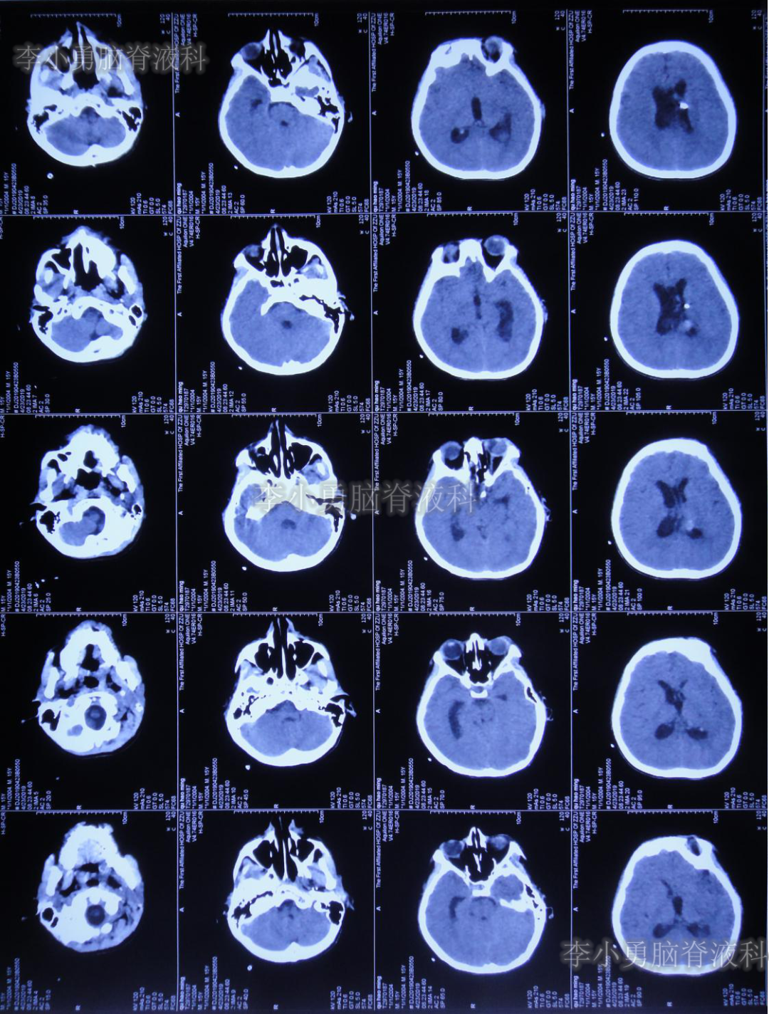
次日即2019年4月2日给予行腰椎穿刺术,引流出血性脑脊液;但腰椎穿刺术刚结束突然晕厥,再次复查头颅CT(图-4):脑室内出血量较前明显增多,四脑室及中央导水管铸形。
图-4:2019年4月2日头颅CT:脑室内积血明显增多
当日急诊进行了脑室外引流术(第二次行脑室外引流术),医生感病情复杂,建议转上级医院治疗。
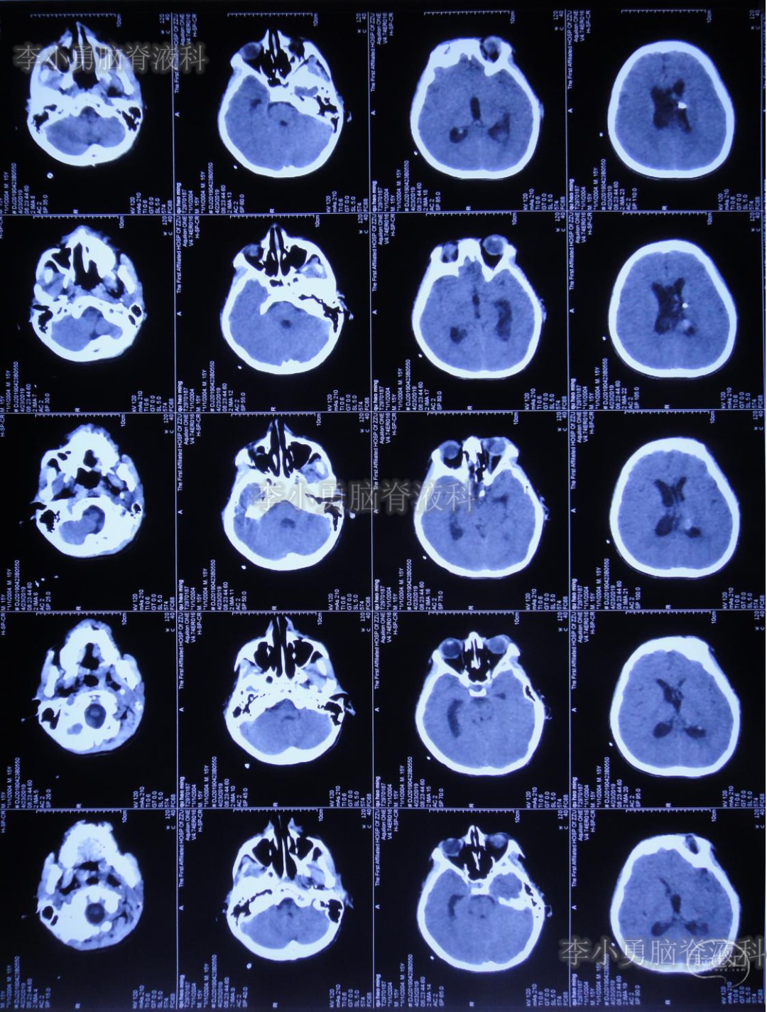
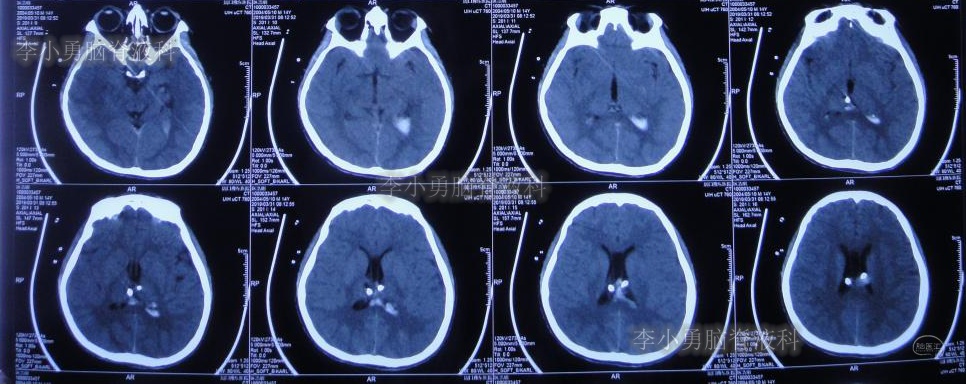
次日2019年4月3日(脑出血后8天),转至河南省郑州市某三甲医院;入院当日头颅CT(图-5)及CTA(图-6)检查结果:出血量较昨日无增加,动脉血管未见明显异常。
图-5:2019年4月3日头颅CT:出血量无增加
图-6:2019年4月3日头颅CTA:未见明显异常
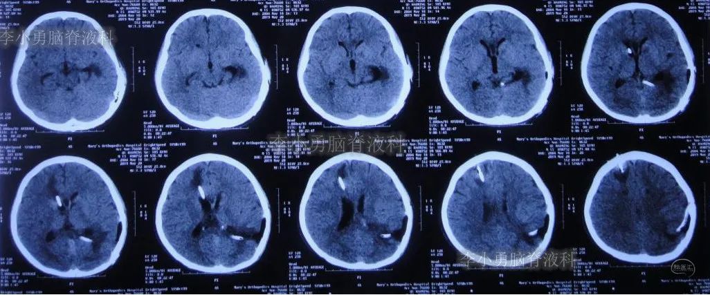
继续给予脑室外引流1周后即2019年4月11日,再次复查头颅CT(图-7):脑室内积血明显减少,脑室不大。
图-7:2019年4月11日头颅CT:脑室内积血明显减少
复查完头颅CT后当天再次“常规”给予拔除脑室外引流管。此后每日行腰椎穿刺释放脑室内残留血性脑脊液。
为明确脑室内出血原因,拔除脑室外引流管1周后即2019年4月18日,行脑血管造影(片子遗失)检查:左侧“脑室内动脉瘤”。
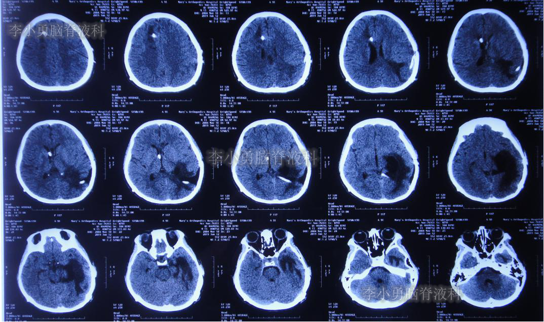
为防止动脉瘤破裂,停止了每日的腰椎穿刺治疗,并积极完善动脉瘤夹闭术前准备。拔除第二次脑室外引流管后12天即2019年4月23日,患者出现哭闹、呕吐、发热及烦躁症状,紧急检查头颅CT(图-8):脑室较前略扩大,未见明显积血。
图-8:2019年4月23日头颅CT:脑室略扩大
为预防动脉瘤再次破裂,于当日下午行脑室内“动脉瘤切除术”+术区脑室外引流术。
术后次日患者意识转为清醒,常规行头颅CT(片子遗失)检查:呈术后改变。
但是术后第3天即2019年4月26日,开始出现发热,体温最高38.8℃,且引流管内可见脓血性分泌物,术后给予送检的脑脊液培养示鲍曼不动杆菌。给予抗感染治疗,并继续术区的脑室外引流。
脑室内“动脉瘤切除术”后第5天即2019年4月28日,引流管堵塞,给予按压引流管后复通,但每日仅引流出少量脓性脑脊液。
脑室内动脉瘤切除术后2周即2019年5月6日早晨,复查头颅CT(片子遗失)示脑室扩大,积脓。
因患者情况逐渐恶化,意识又再次转为不清,且引流出脓性脑脊液,并出现脑室扩大,病情越来越严重,家属甚是着急,当地一位医生好心的介绍下,家属转住入北京北亚骨科医院的李小勇脑脊液科。
二、在李小勇脑脊液科治疗经过和结果
2019年5月7日(脑出血后42天即动脉瘤切除术后14天),凌晨3点到达李小勇脑脊液科。入院时:营养偏差,意识朦胧状态,呼唤可以睁眼,无问答反应,精神差,平车推入病房,查体不合作(图-9)。
图-9:入院时情况:引流管内脓性液体
入院当日行头颅CT(图-10):脑室内“动脉瘤切除术”后改变,术区可见引流管影,脑室扩大。
图-10:2019年5月7日头颅CT:引流术后,脑室扩大
入院次日即2019年5月8日,进行了右侧脑室外引流术,并保留原来脑室外引流管(注:脑室内有两根管)。术后常规复查头颅CT(图-11)。
图-11:2019年5月9日头颅CT:引流出淡黄色脑脊液
图-12:2019年5月16日复查头颅CT:左侧颞角扩大并周边水肿
图-13:2019年5月16日自行进食,看手机
图-14:2019年5月28日头颅CT:脑室较前缩小,水肿亦减轻
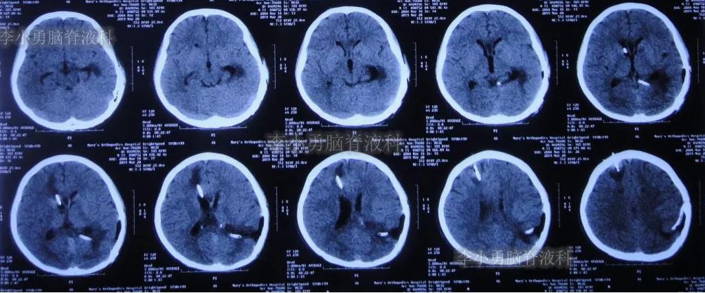
但是患者逐渐开始出现头部不适,轻度头痛,且近期记忆力很差。右侧脑室外引流术后25天即2019年6月3日,再次复查头颅CT(图-15):右侧颞角再次扩大并周边水肿明显,术区水肿。
图-15:2019年6月3日头颅CT:左侧颞角扩大并周围水肿
图-16:2019年6月12日头颅CT:左侧颞角进一步扩大并水肿加重
图-17:2019年6月13日头颅CT:拔除原术区引流管
拔管后患者头痛逐渐加重,记忆力逐渐减退。于拔管后11天即2019年6月24日复查头颅CT(图-18):左侧颞角积水加重。
图-18:2019年6月24日头颅CT:左侧颞角扩大加重
次日即2019年6月25日,进行了左侧颞角外引流术;术后次日复查头颅CT(图-19):左颞角引流管位置良好。
图-19:2019年6月26日头颅CT:左侧颞角引流术后
左侧颞角引流术后8天即2019年7月5日,病情好转为:下床能自己走路,转身时稍不稳(图-20)。
图-20:2019年7月5日已能自己走路
左侧颞角引流术后20天即2019年7月17日,复查头颅CT(图-21):左侧颞角积水消失,水肿消退;患者记忆力也逐渐好转。
图-21:2019年7月17日头颅CT:左侧颞角积水消失,水肿消退
左侧颞角引流术后33天即2019年8月1日,给予试夹闭右侧脑室外引流管,闭管前复查头颅CT(图-22)。
图-22:2019年8月1日夹闭前复查头颅CT
闭管40天后即2019年9月9日复查头颅CT(图-23):脑室仍无扩大。给予拔除右侧脑室外引流管并行左侧颞角-腹腔分流术。
图-23:2019年9月9日头颅CT:拔除右侧脑室外引流管后复查
2019年9月19日(李小勇脑脊液科治4个半月)出院,出院时:意识清楚,能自己走路基本正常,能自己吃饭,日常生活自理,但遗留动脉瘤切除术后记忆力差(图-24)。
图-24:2019年9月19日出院时
三、出院后随访
出院后2个月即2019年12月9日,复查头颅CT示脑室系统较出院时无明显变化(图-25);但患者记忆力仍差。
图-25:2019年12月9日头颅CT
出院后9个月即2020年7月6日,再次复查头颅CT(图-26):未见异常。家属叙述:肢体活动正常,记忆力较前有些改善但较同龄人仍差,已重返校园(图-27)。
图-26:2020年7月6日头颅CT:未见异常
图-27:2020年7月6日微信截图
〔本典型病例所涉及的图片和视频均经患者本人或家属同意,如有异议,请联系该微信公众号方〕
*********专家简介***********
中国博士/美国博士后
10.神经内科型脑膜炎(化脑/结脑/真菌/病脑)及其脑积水或顽固高颅压并发症。
出诊时间:周二下午
交流咨询(中华脑脊液科医生群):13651375487(微信同号)




