39岁女性患者,2018年以反复右侧肢体无力及言语不利查头MRI发型散在梗塞,MRA考虑烟雾病。于2018.10于我院行左侧颞浅动脉-大脑中动脉搭桥联合间接贴敷手术。

核磁显示双侧多发散在梗塞,左侧严重,与临床症状符合

DSA:双侧颈内末端闭塞,后循环向前代偿,左侧硬膜少量代偿,Suzuki分期4期。

手术顺利,术中桥血管通畅

患者于2019.4再次与我科行右侧颞浅动脉-大脑中动脉搭桥手术,手术顺利,吻合12针,ICG造影血流通畅。患者目前已出院。
缺血型烟雾病搭桥-1
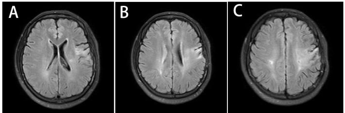
39岁女性患者,2018年以反复右侧肢体无力及言语不利查头MRI发型散在梗塞,MRA考虑烟雾病。于2018.10于我院行左侧颞浅动脉-大脑中动脉搭桥联合间接贴敷手术。
核磁显示双侧多发散在梗塞,左侧严重,与临床症状符合
DSA:双侧颈内末端闭塞,后循环向前代偿,左侧硬膜少量代偿,Suzuki分期4期。
手术顺利,术中桥血管通畅
患者于2019.4再次与我科行右侧颞浅动脉-大脑中动脉搭桥手术,手术顺利,吻合12针,ICG造影血流通畅。患者目前已出院。