【在李小勇脑脊液科治疗过程和结果】
一、李小勇脑脊液科入院前病史
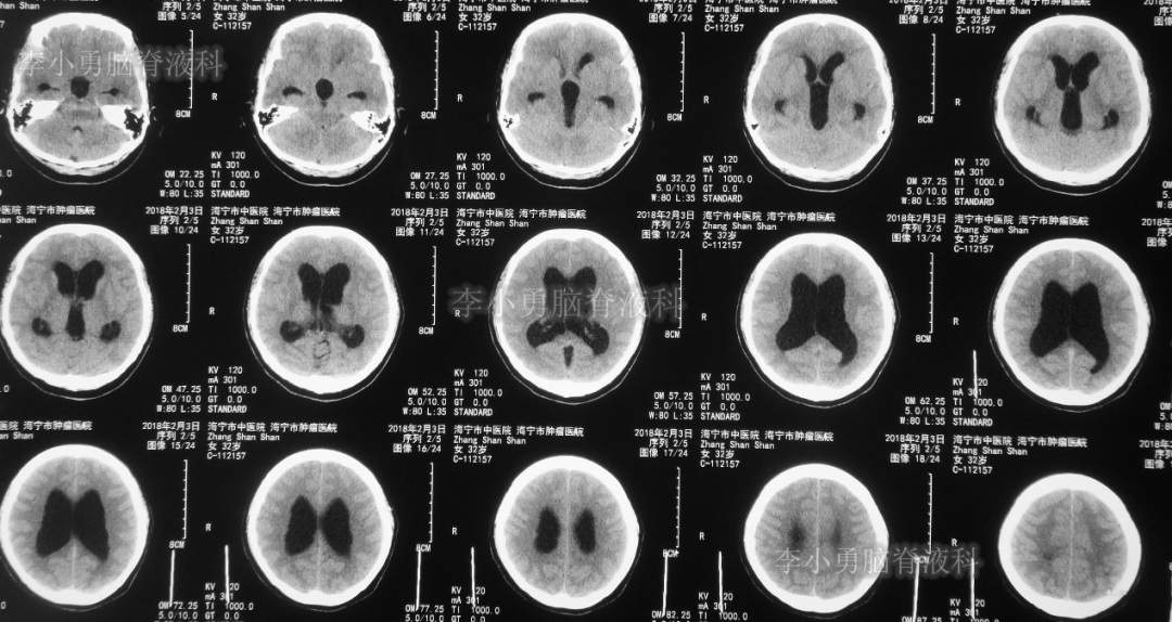
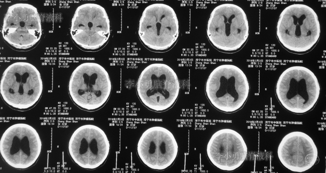
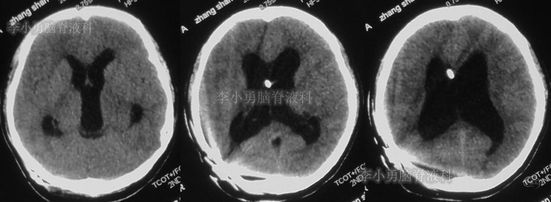
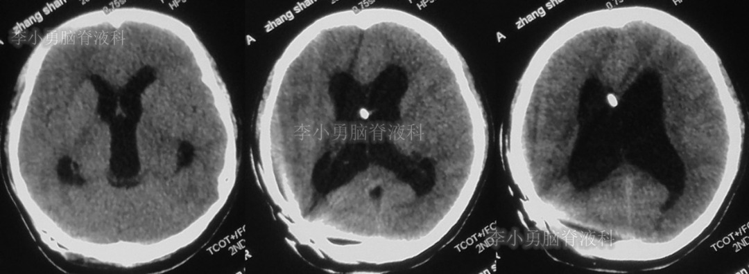
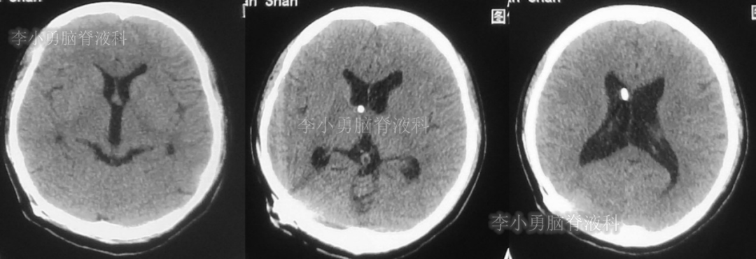
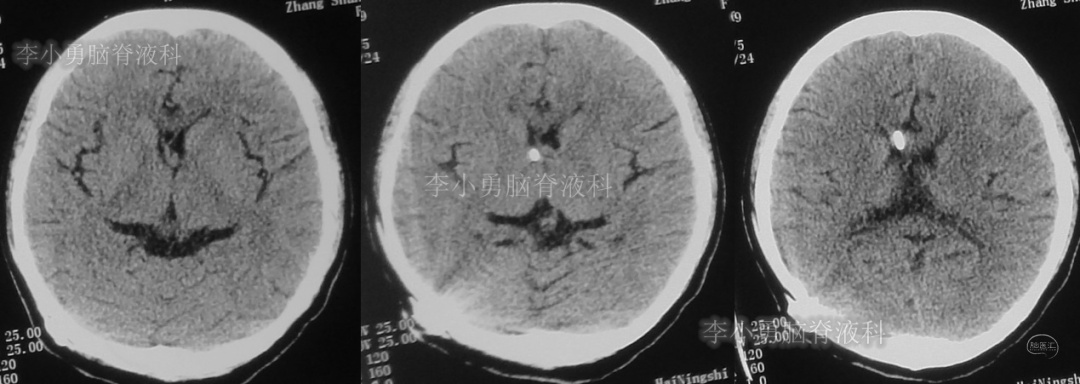
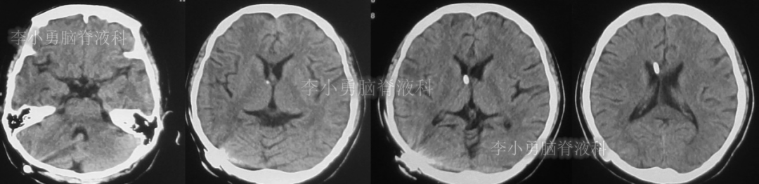
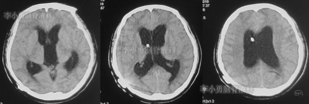
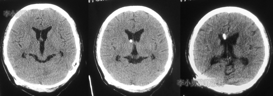
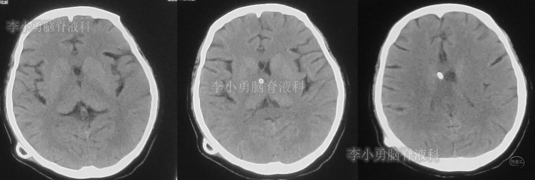
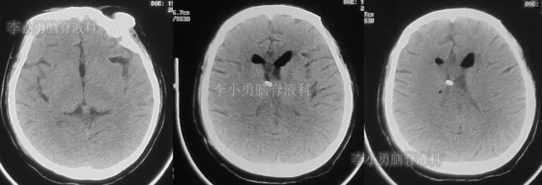
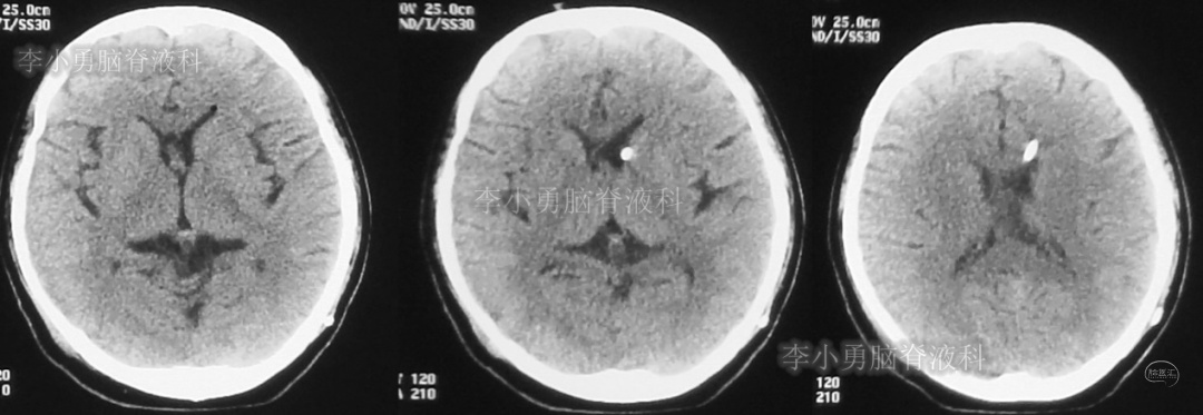
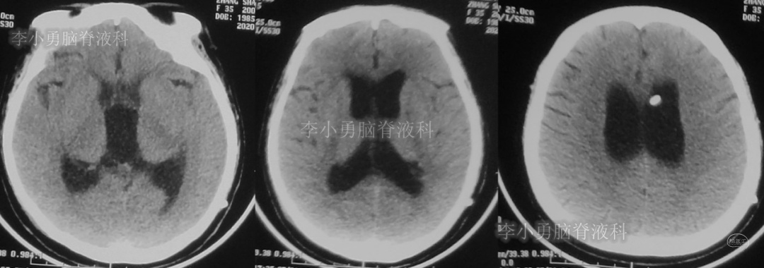
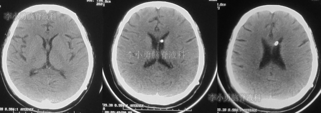
患者于2018年1月29日,突发头痛、头晕、恶心、呕吐,并高热40度。在当地医院门诊输入4天抗生素后发热缓解,但出现了双眼不能上视(眼球不能向上看)。5天后即2018年2月3日,在当地的第1家医院:浙江省海宁市某医院行头颅CT(图-1)发现脑室扩张,当地医院诊断为“梗阻性脑积水”。

图-1:2018年2月3日头颅CT
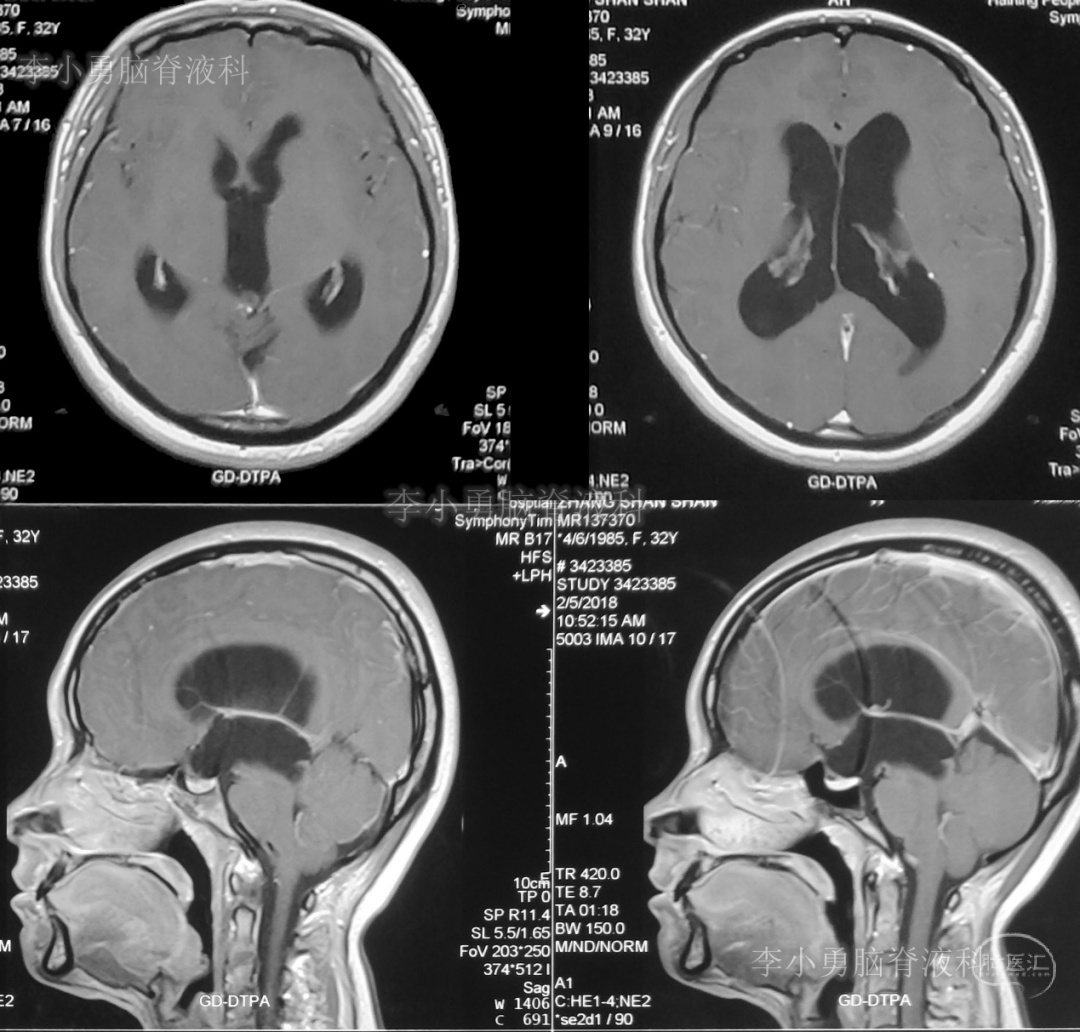
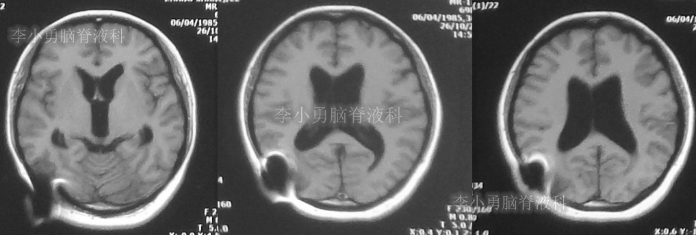
又2天后,即2018年2月5日,为求更好的治疗,患者转到第2家医院:浙江省杭州市的某三甲医院就诊,行头颅增强核磁共振检查(图-2)提示双侧脑室及第三脑室扩张,中脑导水管形态消失,第四脑室无扩张,未见颅内占位病变。

图-2:2018年2月5日头颅核磁

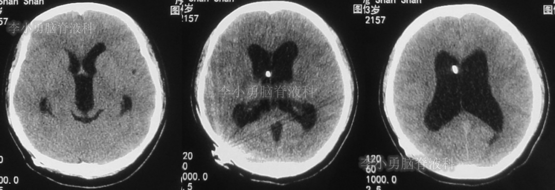
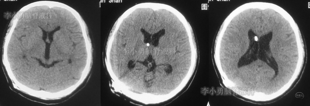
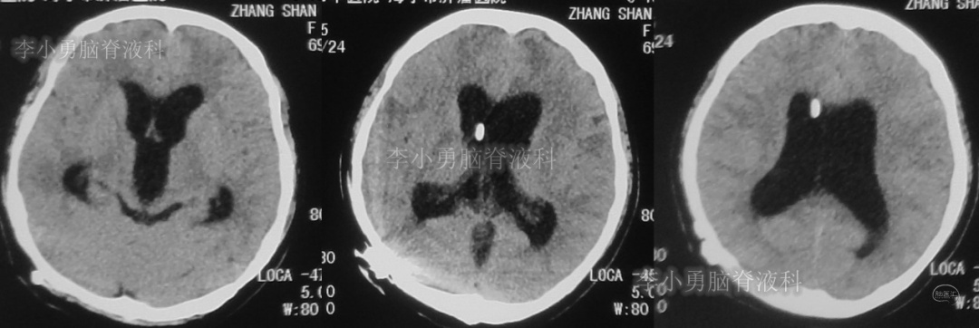
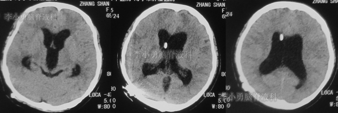
图-3:2018年2月15日头颅CT

图-4:2018年11月10日头颅CT
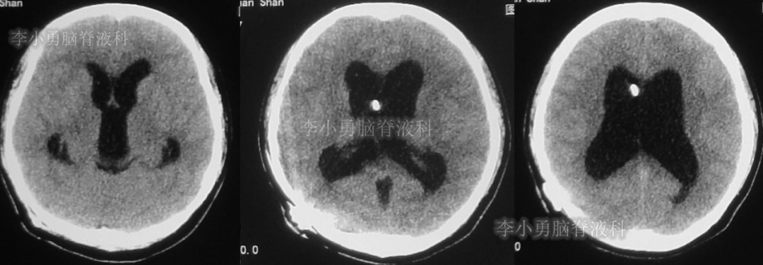
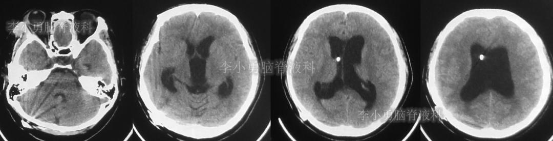
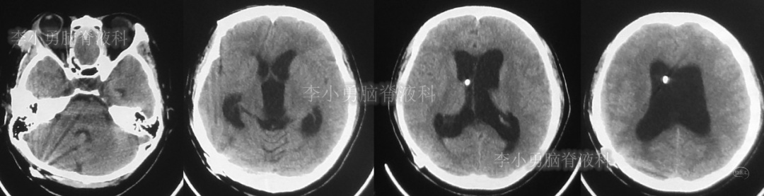
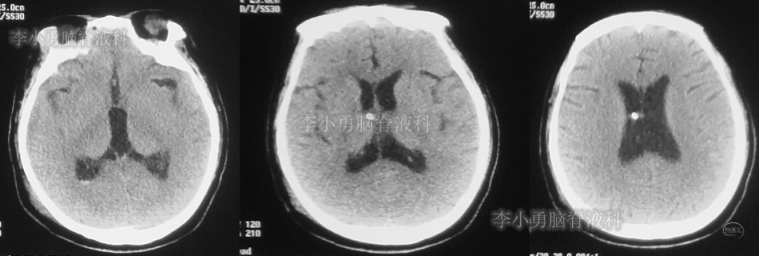
次日,即2018年11月11日,患者第2次到给予脑室腹腔分流术的医院,复查头颅CT(图-5)见脑积水仍严重。

图-5:2018年11月11日头颅CT
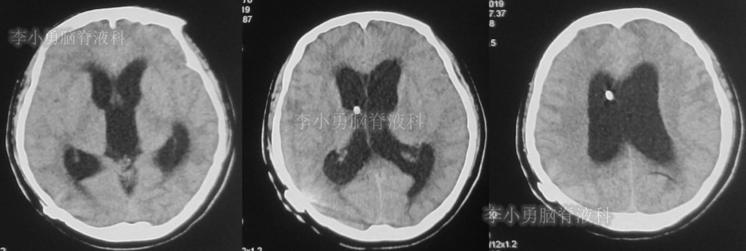
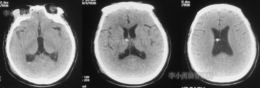
但第2次调压后2周,即2018年11月28日,再次到当地的第1家医院复查头颅CT(图-6)见脑积水缓解。

图-6:2018年11月28日头颅CT
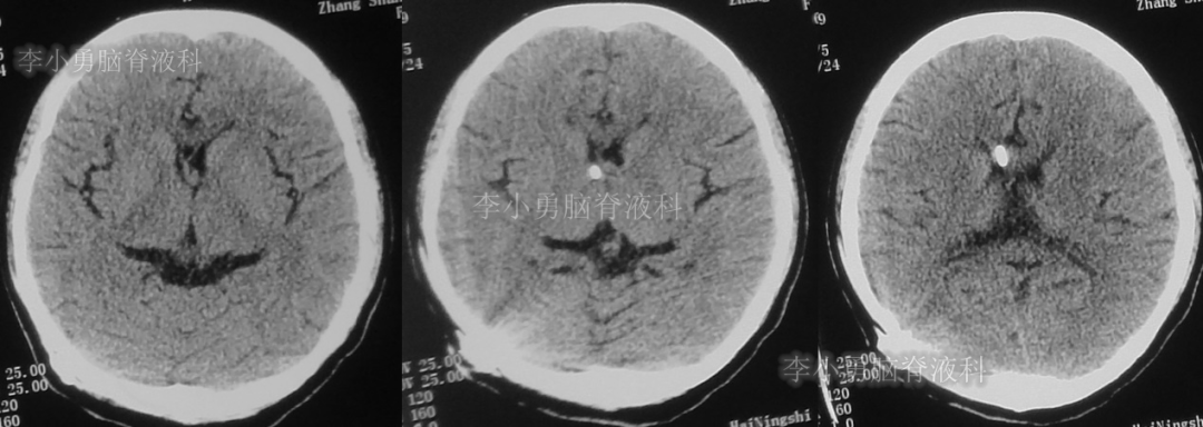
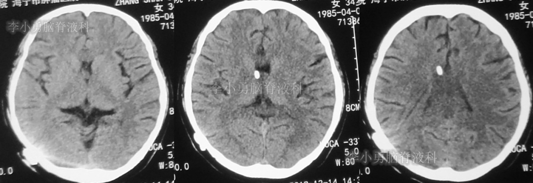
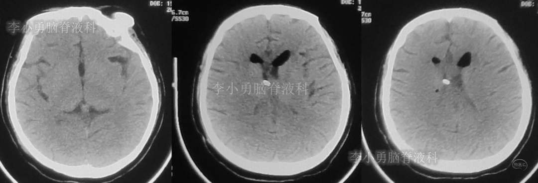
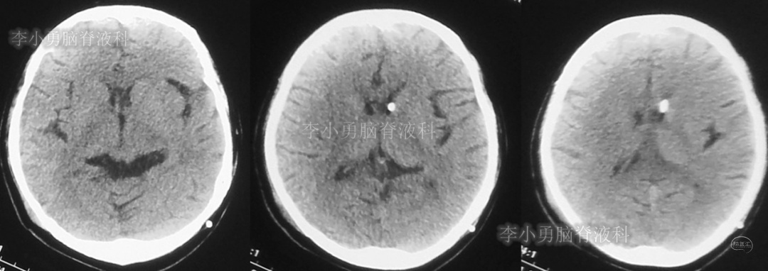
此次分流泵调压后1个月,即2018年12月11日,患者第3次出现头痛,而且头痛逐渐加重并昏迷,急到当地的第1家医院行头颅CT(图-7)见脑室从缩小又变成扩大状态。

图-7:2018年12月11日头颅CT
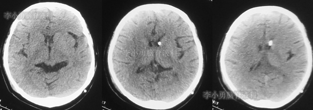
第3次调压后18天,即2018年12月29日,患者恢复好,在当地第1家医院复查头CT(图-8)见脑室明显缩小。

图-8:2018年12月29日头颅CT

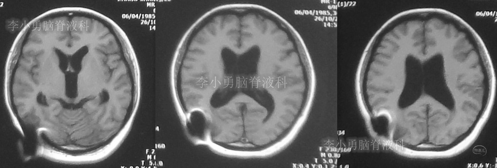
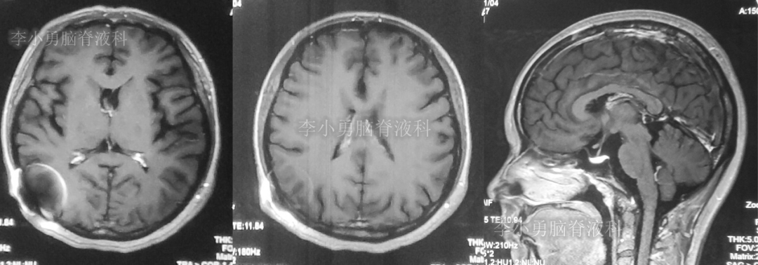
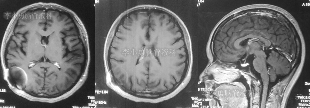
图-9:2019年10月22日头颅CT

图-10:2019年10月26日头颅核磁
第5次调压后13天,即2019年11月4日,患者意识没有完全恢复正常,呈模糊状态,仅能完成简单的遵嘱动作,再次复查头颅核磁共振(图-11)见脑室较前明显缩小。

图-11:2019年11月4日头颅核磁
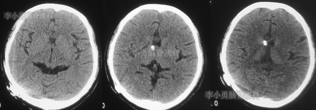
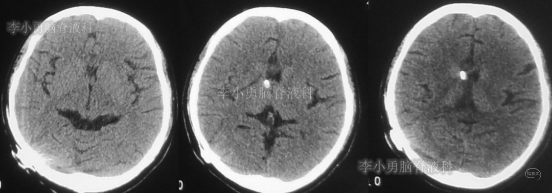
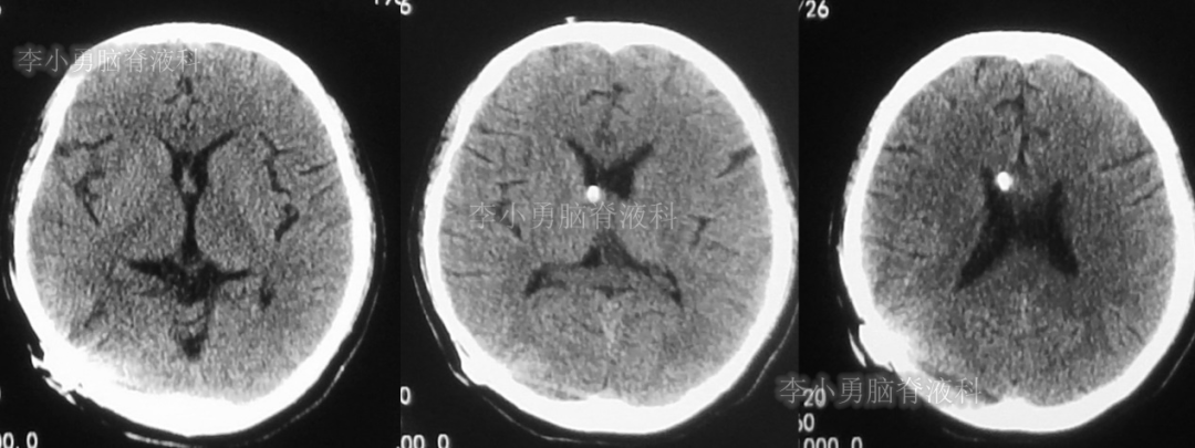
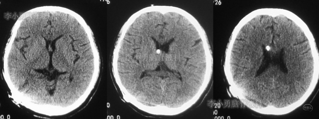
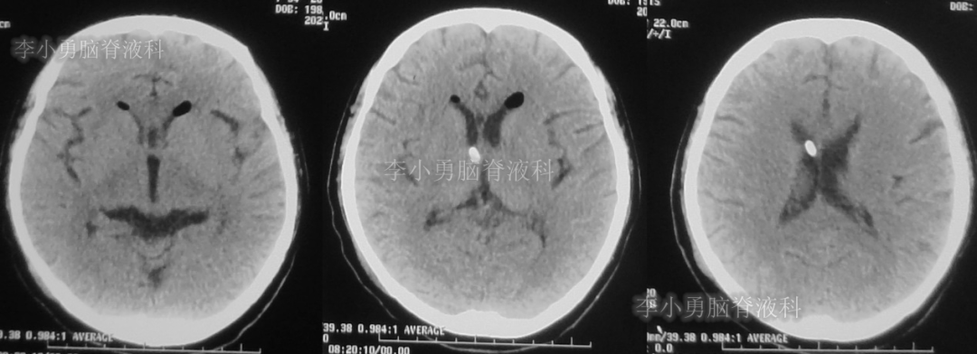
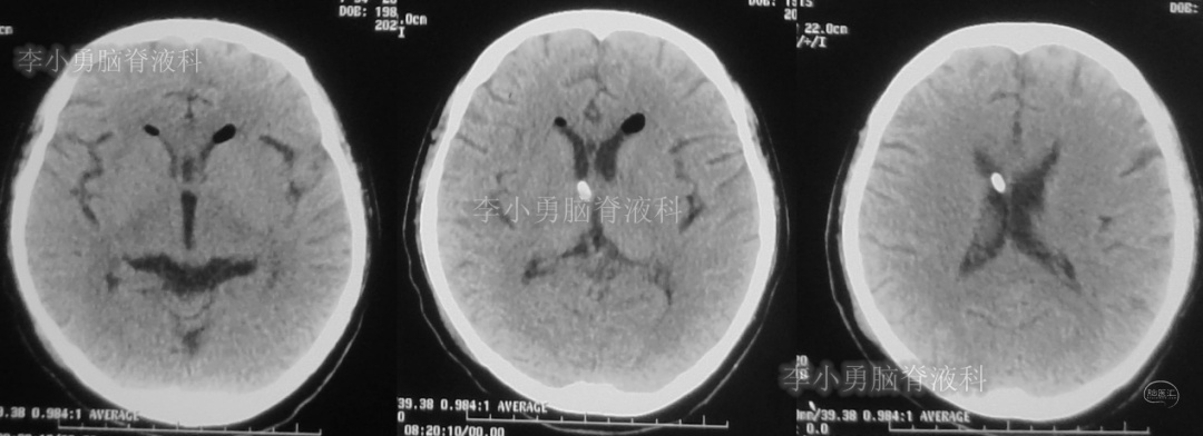
此后1个多月(2019年11月4日到2019年12月16日),患者意识一直无改善,一直呈模糊状态,多次复查头颅CT(图-12至图-20)见脑室大小反复变化不定,医生根据CT结果等反复多次调节分流泵压力(具体过程家属回忆不起)。但患者病情无好转却逐渐加重,逐渐不能咀嚼、吞咽及进食,卧床不起。

图-12:2019年11月8日头颅CT

图-13:2019年11月16日头颅CT

图-14:2019年11月19日头颅CT

图-15:2019年12月3日头颅CT

图-16:2019年12月10日头颅CT

图-17:2019年12月12日头颅CT

图-18:2019年12月13日头颅CT

图-19:2019年12月14日头颅CT

图-20:2019年12月16日头颅CT
2020年1月份(脑积水发病后2年,第1次脑室腹腔分流术后23个月),医生将原贝朗分流泵去除,更换为美敦力可调压抗虹吸分流泵。术后又反复调节分流泵压力,但患者病情仍无好转,并出现心率增快症状(此期间影像资料遗失)。在给予脑室腹腔分流术医院的医生建议下患者转往北京北亚骨科医院李小勇脑脊液科。
二、李小勇脑脊液科治疗经过和结果
患者于第1次分流后2年零6天,病情加重意识变差持续不缓解5个月,即2020年2月21日,乘救护车由杭州市转来北京的李小勇脑脊液科治疗。入院时:心率增快,110次/分;留置胃管,意识模糊,回答不准确,语言不清晰;双下肢肌张力高,双足强直下垂内旋(图-21)。

图-21:2020年2月21日入院时
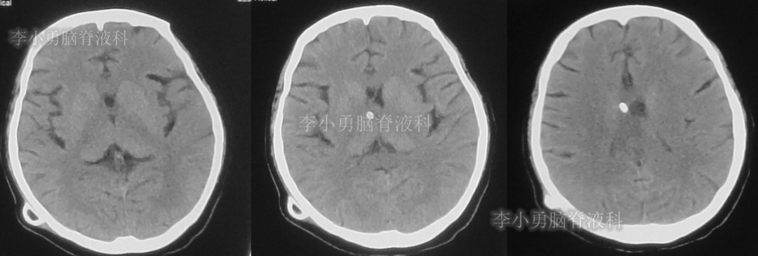
入院时(2020年2月21日)头颅CT(图-22)见脑室缩小,呈裂隙状。

图-22:2020年2月21日头颅CT

图-23:2020年2月25日

图-24:2020年2月25日头颅CT
脑室外引流术后第4天,即2020年2月28日,患者意识无明显变化,仍有发热,每日引流淡血性稍浑浊脑脊液约200ml(图-25),脑脊液及分流管导管头细菌培养回报为均为金黄色葡萄球菌。

图-25:2020年2月28日
脑室外引流术后第6天,即2020年3月2日,患者意识仍模糊,仍有发热,每日引流脑脊液约200ml(图-26),脑脊液细菌培养回报仍为金黄色葡萄球菌。

图-26:2020年3月2日
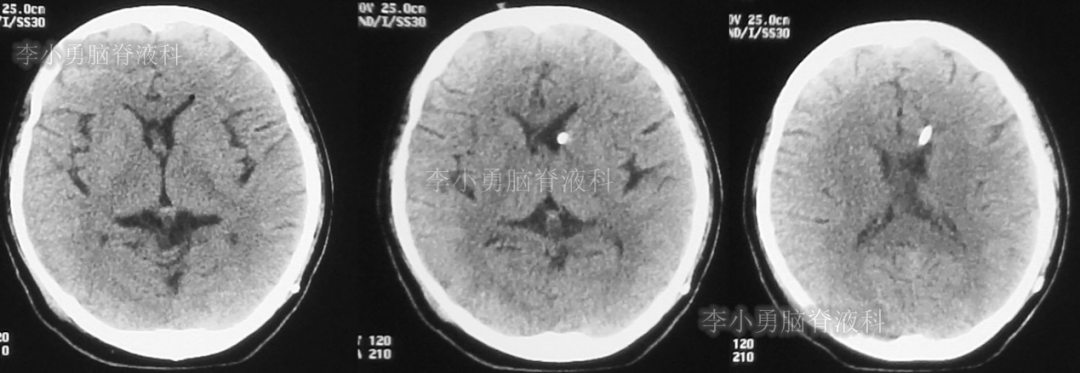
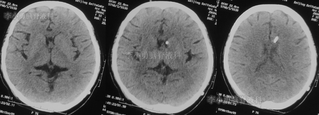
脑室外引流术后第7日,复查头颅CT(图-27)见脑室大小基本正常。

图-27:2020年3月3日头颅CT

图-28:2020年3月5日

图-29:2020年3月7日头颅CT
脑室外引流术后第12日即2020年3月10日,患者意识仍模糊,四肢仍僵硬(图-30);脑脊液细菌培养转为阴性,提示感染的金黄色葡萄球菌得到控制,复查头颅CT(图-31)见脑室正常大小。

图-30:2020年3月10日

图-31:2020年3月10日头颅CT

图-32:2020年3月11日头颅CT
脑室腹壁外引流术后6天即2020年3月16日,复查头颅CT无明显变化(图-33)。

图-33:2020年3月16日头颅CT
入院治疗27天,脑室腹壁外引流术后9天,患者症状无明显变化,神志稍模糊,可对答,仍有发热,最高体温38℃,肌张力仍高(图-34)。

图-34:2020年3月19日
入院治疗40天,脑室腹壁外引流术后21天,即2020年3月31日,患者神志模糊,不能对答,四肢肌张力高,体温恢复基本正常(图-35)。

图-35:2020年3月31日
脑室腹壁外引流术后29天,即2020年4月8日,复查头颅CT见脑室大小基本正常(图-36)。

图-36:2020年4月8日头颅CT
入院治疗70天,脑室腹壁外引流术后51天,即2020年4月30日,患者仍神志不清,不能对答,四肢肌张力高,双足下垂内翻(图-37)。

图-37:2020年4月30日
入院治疗85天,脑室腹壁外引流术后66天,即2020年5月15日,患者意识模糊,不对答,四肢增高的肌张力有所好转,能简单遵嘱动作,提示病情开始好转(图-38)。

图-38:2020年5月15日

图-39:2020年5月29日头颅CT

图-40:2020年6月10日头颅CT
入院治疗126天,脑室腹壁外引流术后107天,即2020年6月25日,头颅CT见脑室正常大小(图-41)行脑室腹腔分流术。

图-41:2020年6月25日头颅CT

图-42:2020年6月29日

图-43:2020年7月2日头颅CT
李小勇脑脊液科治疗140天即2020年7月9日(脑室腹腔分流术后14天),患者意识有好转,不能对答,但可完成遵嘱动作,四肢肌张力增高稍缓解,可在家人帮助下站立,迈步(图-44)。

图-44:2020年7月9日出院时
三、出院后随访
出院后1个月患者能简单语言交流。家属微信发来照片,患者能进行器械功能锻炼(图-45)。

图-45:出院后1个月
出院后4月半(140天),即2020年11月26日,患者能基本生活自理,自己吃饭,但动作仍显迟缓,面部表情较少(图-46)。

图-46:2020年11月26日

图-47:出院后5月余
出院后8个月即2021年3月9日,微信随访:日常生活完全正常,并重返工作岗位,还经常辅导孩子写作业(图-48)。

图-48:2021年3月9日
出院后2年余即2022年9月6日,微信随访:工作、日常生活一直挺正常(图-49)。

图-49:2022年9月6日出院后2年
〔本典型病例所涉及的图片和视频均经患者本人或家属同意,如有异议,请联系该内容发布方〕

*********专家简介***********
主任医师
10.神经内科型脑膜炎(化脑/结脑/真菌/病脑)及其脑积水或顽固高颅压并发症。
出诊时间:周二下午
交流咨询(中华脑脊液科医生群):13651375487(微信同号)