2022年12月25日发布 | 364阅读
脑血管-自发性颅内出血
创伤重症-神经重症技术及患者管理
脑肿瘤-淋巴瘤
功能-新适应证和新技术

立体定向框架下颅内占位性病变活检术

王衍刚

焦作市人民医院

达人收藏

患者女性,66岁

主因“反应迟纯20余天,肌力下降5天。”入院。

现病史:20余天前,患者无明显诱因出现反应迟纯,伴小便失禁,答不切题等,未诊治,5天前,患者开始出现肌力下降,伴行走困难等,昨日出现行走不能,大小便失禁,无法自理,为求进一步治疗来诊,门诊CT提示颅内占位性病变,遂以“颅内占位性病变”收住院。

既往有"高血压","冠心病",甲状腺腺瘤病史,自服阿司匹林等药物治疗。有精神类疾病史,近期口服奥氮平治疗,遗留情绪不稳定症状。

专科检查

意识模糊,精神差,可睁眼,可发音,答不切题,较为淡漠,双侧瞳孔等大等圆,直径约为2.0mm,对光反射灵敏,四肢可简单遵嘱活动,四肢肌力约4级,双下肢无明显水肿。生理反射存在,病理反射未引出。

增强MRI呈跨胼胝体团块样强化灶

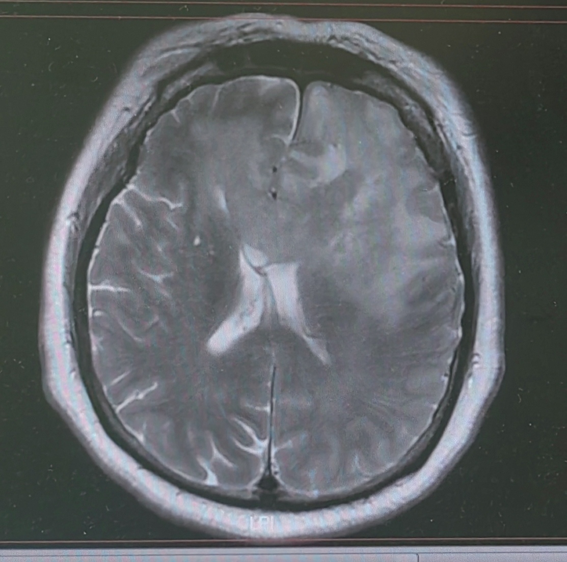
T2可见双侧额叶、胼胝体及左侧颞叶稍高信号病灶伴水肿

DWI呈高信号

结合病变影像学特点,怀疑中枢神经系统淋巴瘤,讨论后决定先行活检明确病理性质。完善检查,待患者停用阿司匹林一周后,局麻+镇痛镇静下行立体定向框架下取活检术。

安装立体定向框架后,CT下薄层扫描,获取定位数据

CT及术前MRI数据导入手术计划系统,CT与MRI数据融合后,确定活检靶点及坐标

右美托咪定镇静+布托啡诺镇痛+利多卡因局麻,面罩吸氧下,行经左额钻孔,立体定向框架下活检术。

术中,取出标本

术中取出标本后送检快速冰冻病检,结果回示:可见肿瘤细胞,具体性质待常规病检明确。手术结束,留取标本送检常规病理。

手术骨孔

术后CT可见取材部位(气泡影)位于病变靶区(胼胝体前缘)

术后患者一般情况平稳。

最新评论
发表你的评论
发表你的评论