2022.11.30入院CT
2022.11.30入院CT
CTA
镇静+局麻下EVD
2022.12.02复查(EVD术后),无新增异常,予以局部使用尿激酶
2022.12.02复查(EVD术后),无新增异常,予以局部使用尿激酶
2022.12.03
2022.12.03
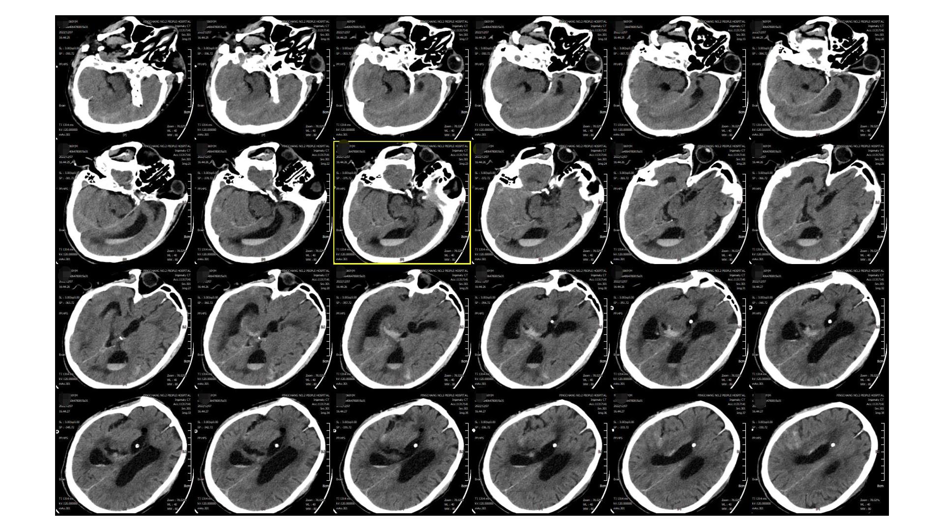
2022.12.07
2022.12.07
2022.12.12
2022.12.12,血肿基本干净,留取脑脊液送检无颅内感染征象,予以拔除EVD引流管,腰穿释放蛛网膜下腔血性脑脊液




