chen juping
现病史:患者,女,因“左侧颈眼动脉瘤支架辅助栓塞术后1年余”入院。患者2021-5-24因“头晕”就诊于华山医院查头颅CTA、DSA诊断左侧颈眼动脉瘤,随后在全麻下行“左侧颈眼动脉瘤支架辅助栓塞术”,术顺,术后恢复可,予以阿司匹林、氯吡格雷抗血小板,阿托伐他汀钙片降脂稳定斑块。3月后华山医院复查脑血管造影动脉瘤未见明显复发或残留,停用降脂药物。目前患者无明显不适主诉,口服阿司匹林抗血小板治疗,为行脑血管造影收入我科。
既往史:一般健康状况良好。否认肝炎史。否认结核史。否认疟疾史。否认脑血管病史。否认精神病史。骨密度提示骨质疏松,服用钙片对症,有高血压史,服用厄贝沙坦1片qd。否认心脏病史。否认糖尿病史。有手术史,2021-5-24华山医院在全麻下行“左侧颈眼动脉瘤支架辅助栓塞术”,3月后复查脑血管造影;6-7年前当地医院子宫肌瘤切除术。 否认外伤史。 否认输血史。否认食物、药物过敏史。否认预防接种史。
个人史:出生于原籍,久居原籍,否认疫区接触史。无化学性物质、放射性物质、毒物质接触史。无吸烟史。无饮酒史。
辅助检查:
2022-09-27 我院 胸部CT平扫:右上肺前段小磨玻璃影,炎性可能大。请结合临床,随访。甲状腺双侧叶密度欠均,请超声检查。
诊断明确:
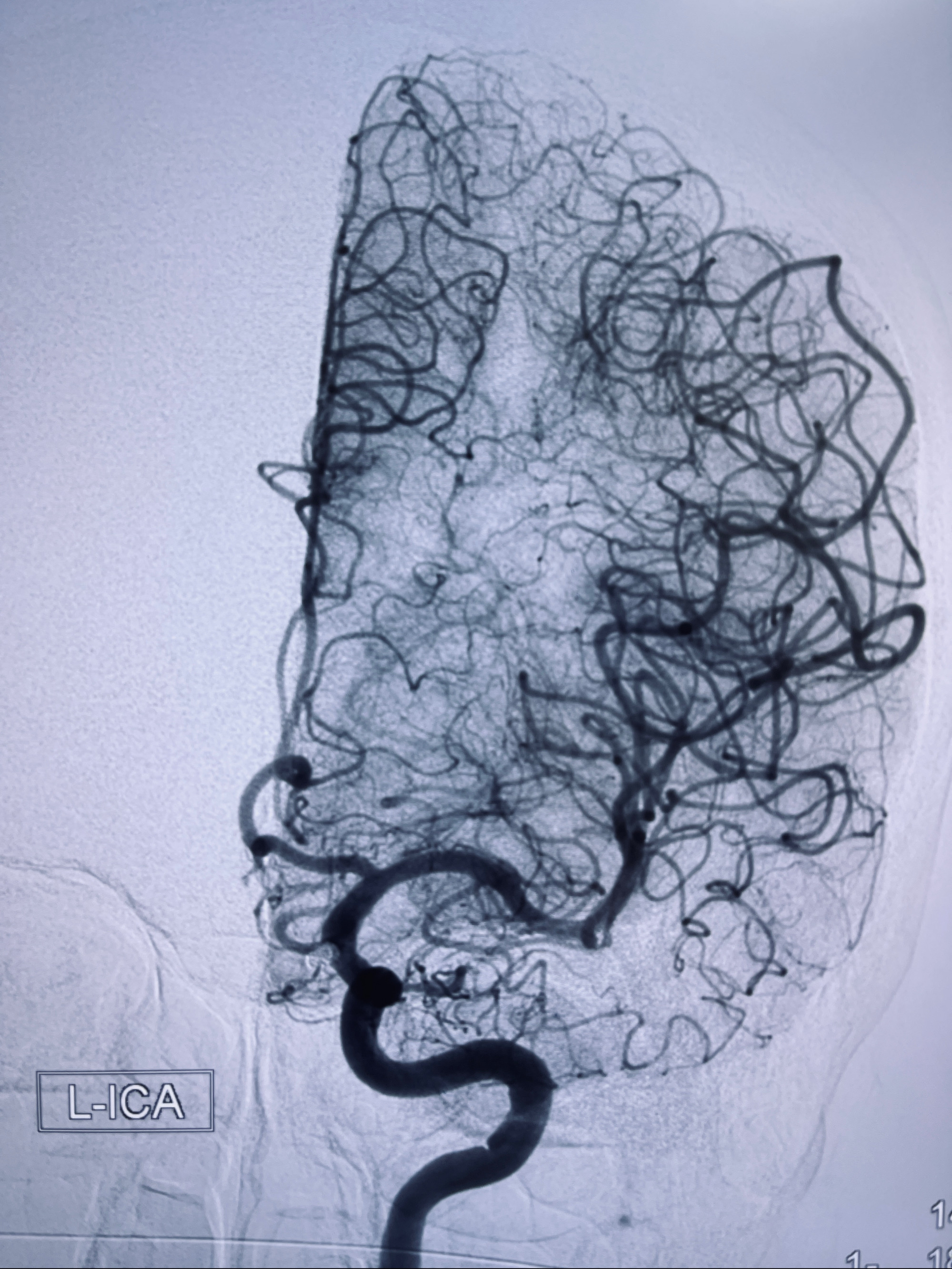
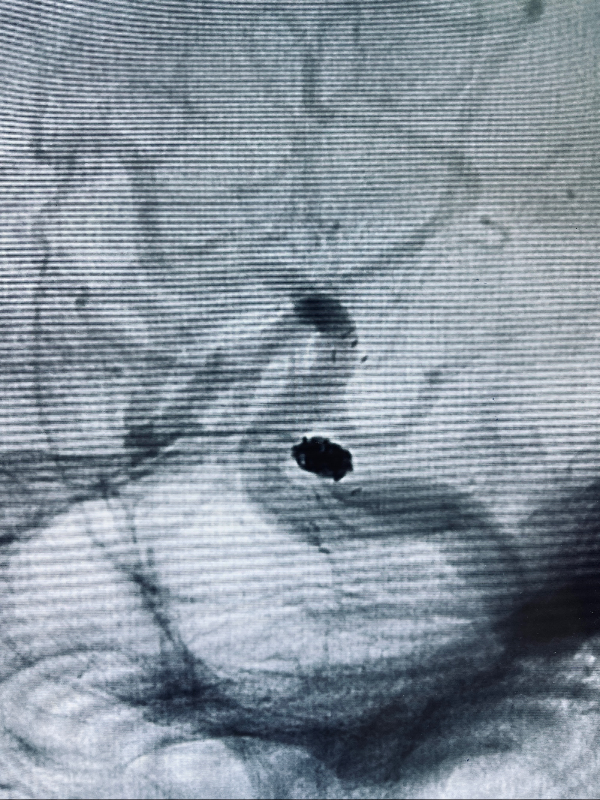
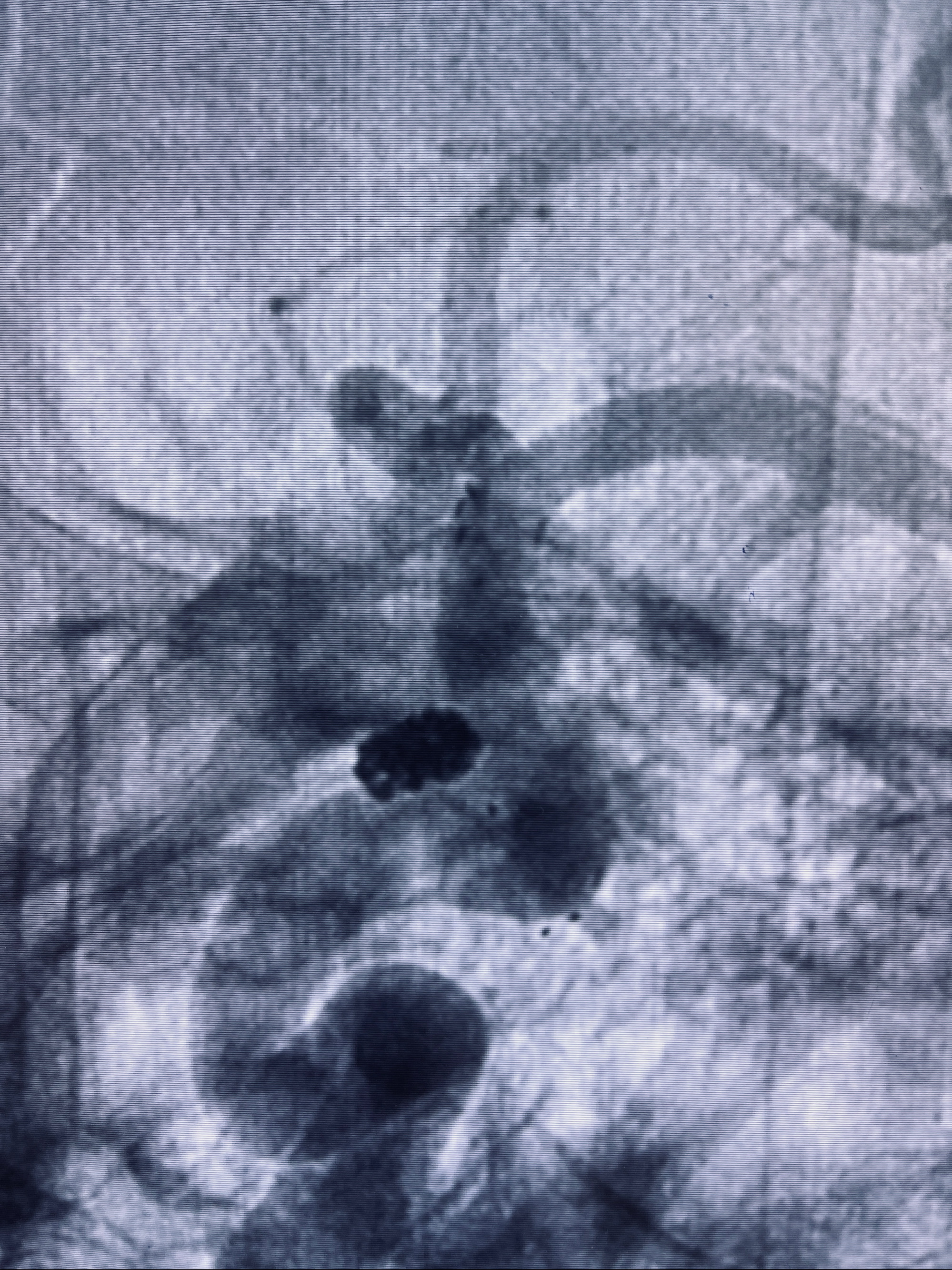
1.左侧颈内动脉眼动脉段动脉瘤(支架辅助栓塞术后)
2.高血压
3.子宫平滑肌瘤(术后)
4.骨质疏松
2022-09-29复查DSA















治疗策略:
患者支架内血栓,给予阿司匹林+立普妥+依折麦布强化降脂干预