2022年09月22日发布 | 1528阅读
创伤重症-颅脑创伤

一例早期PEEK材料颅骨修补术后积液处理

张鑫旭

彭水县人民医院

达人收藏

15岁男性患者,车祸入院,硬膜外血肿形成脑疝,一侧瞳孔散大,急诊开颅清除血肿,加去骨瓣减压。

术后情况

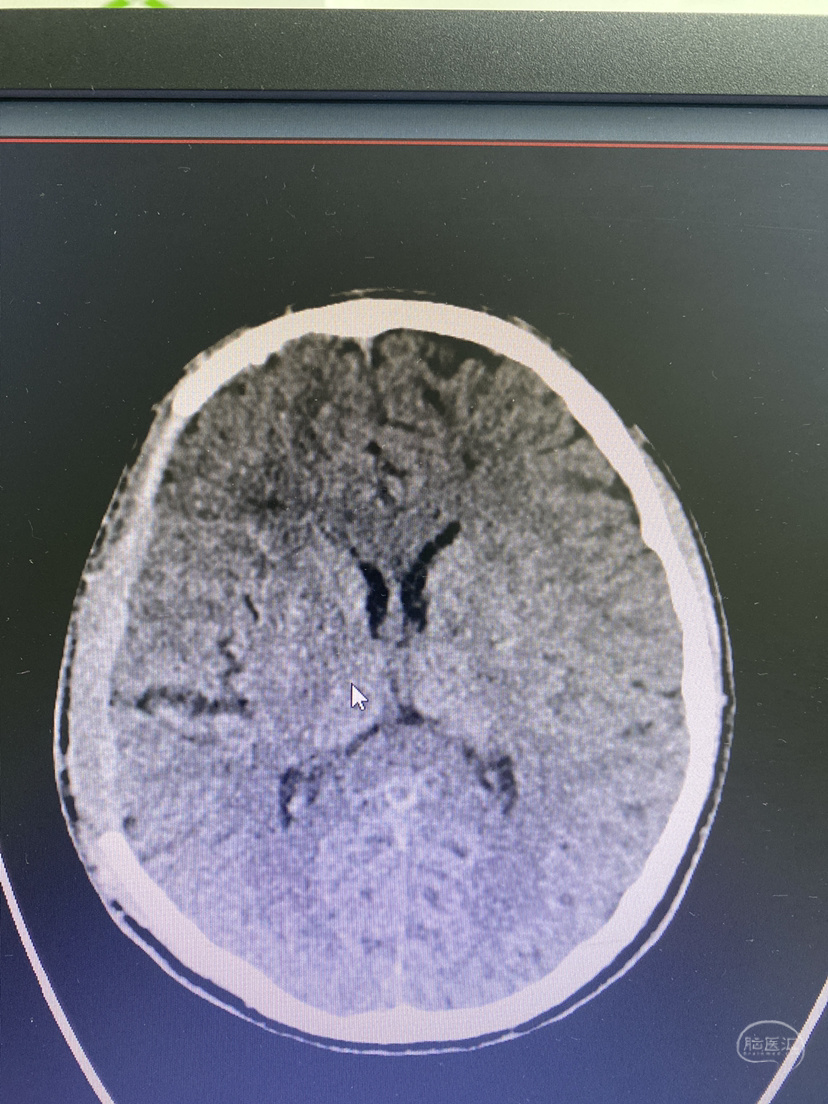
术后2月,修补前头颅CT

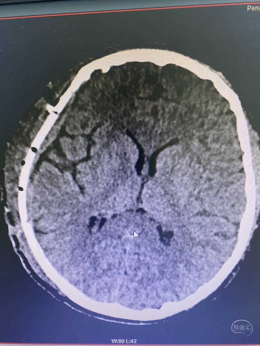
PEEK材料修补术后情况

术后一周出现皮下及硬膜外积液,但患者无神经症状。术中脑膜有破损,但严密缝合,常规负压引流,2天拔出引流管。但现在出现积液,考虑脑脊液吸收障碍?出血?予以穿刺抽液,呈陈旧性淡血性液体,不凝固,送细菌培养未见细菌生长,考虑脑脊液混合血液!不排除免疫原性积液,予以加压包扎,口服地塞米松,阿托伐他汀处理!

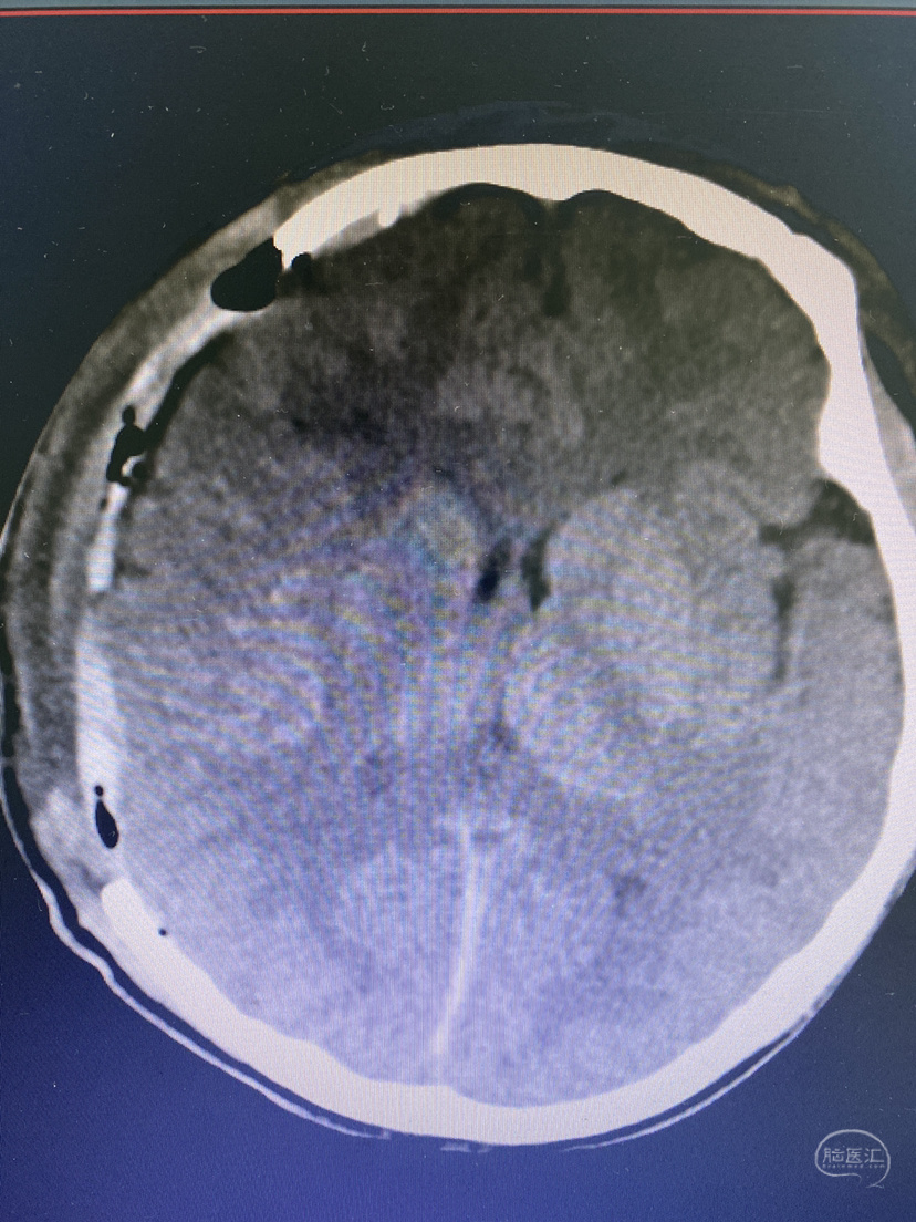
上诉处理后5天复查,积液明显减少!治疗有效!

最新评论
发表你的评论
发表你的评论